• 文献检索
  • 文档翻译
  • 深度研究
  • 学术资讯
  • Suppr Zotero 插件Zotero 插件
  • 邀请有礼
  • 套餐&价格
  • 历史记录
应用&插件
Suppr Zotero 插件Zotero 插件浏览器插件Mac 客户端Windows 客户端微信小程序
定价
高级版会员购买积分包购买API积分包
服务
文献检索文档翻译深度研究API 文档MCP 服务
关于我们
关于 Suppr公司介绍联系我们用户协议隐私条款
关注我们

Suppr 超能文献

核心技术专利:CN118964589B侵权必究
粤ICP备2023148730 号-1Suppr @ 2026

文献检索

告别复杂PubMed语法,用中文像聊天一样搜索,搜遍4000万医学文献。AI智能推荐,让科研检索更轻松。

立即免费搜索

文件翻译

保留排版,准确专业,支持PDF/Word/PPT等文件格式,支持 12+语言互译。

免费翻译文档

深度研究

AI帮你快速写综述,25分钟生成高质量综述,智能提取关键信息,辅助科研写作。

立即免费体验

Pumilio RNA 结合蛋白对突触密度的调节。

Regulation of synapse density by Pumilio RNA-binding proteins.

机构信息

Doctoral Program in Neurobiology and Behavior, Columbia University, New York, NY 10032, USA.

Lineberger Comprehensive Cancer Center, University of North Carolina at Chapel Hill, Chapel Hill, NC 27599, USA; Division of Hematology, Department of Medicine, School of Medicine, University of North Carolina at Chapel Hill, Chapel Hill, NC 27599, USA.

出版信息

Cell Rep. 2024 Oct 22;43(10):114747. doi: 10.1016/j.celrep.2024.114747. Epub 2024 Sep 18.

DOI:10.1016/j.celrep.2024.114747
PMID:39298318
原文链接:https://pmc.ncbi.nlm.nih.gov/articles/PMC11544588/
Abstract

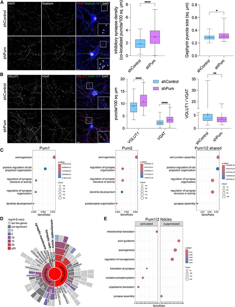
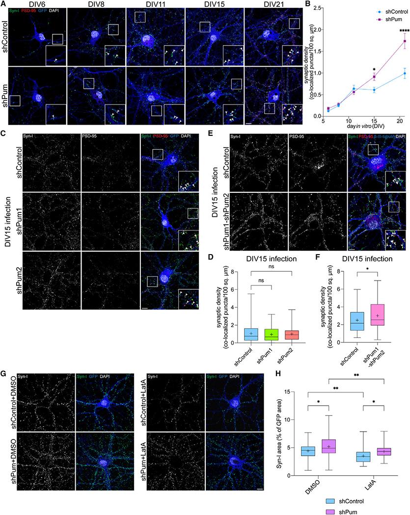
The formation, stabilization, and elimination of synapses are tightly regulated during neural development and into adulthood. Pumilio RNA-binding proteins regulate the translation and localization of many synaptic mRNAs and are developmentally downregulated in the brain. We found that simultaneous downregulation of Pumilio 1 and 2 increases both excitatory and inhibitory synapse density in primary hippocampal neurons and promotes synapse maturation. Loss of Pum1 and Pum2 in the mouse brain was associated with an increase in mRNAs involved in mitochondrial function and synaptic translation. These findings reveal a role for developmental Pumilio downregulation as a permissive step in the maturation of synapses and suggest that modulation of Pumilio levels is a cell-intrinsic mechanism by which neurons tune their capacity for synapse stabilization.

摘要

在神经发育和成年期,突触的形成、稳定和消除受到严格调控。Pumilio RNA 结合蛋白调节许多突触 mRNA 的翻译和定位,并在大脑中发育下调。我们发现,同时下调 Pumilio 1 和 2 会增加原代海马神经元中兴奋性和抑制性突触的密度,并促进突触成熟。小鼠大脑中 Pum1 和 Pum2 的缺失与参与线粒体功能和突触翻译的 mRNA 增加有关。这些发现揭示了发育下调 Pumilio 作为突触成熟的许可步骤的作用,并表明调节 Pumilio 水平是神经元调节其稳定突触能力的细胞内机制。

https://cdn.ncbi.nlm.nih.gov/pmc/blobs/4025/11544588/de3f1c35cd08/nihms-2031291-f0005.jpg
https://cdn.ncbi.nlm.nih.gov/pmc/blobs/4025/11544588/821133e69a90/nihms-2031291-f0002.jpg
https://cdn.ncbi.nlm.nih.gov/pmc/blobs/4025/11544588/9c68b03972bf/nihms-2031291-f0003.jpg
https://cdn.ncbi.nlm.nih.gov/pmc/blobs/4025/11544588/7f99739ee235/nihms-2031291-f0004.jpg
https://cdn.ncbi.nlm.nih.gov/pmc/blobs/4025/11544588/de3f1c35cd08/nihms-2031291-f0005.jpg
https://cdn.ncbi.nlm.nih.gov/pmc/blobs/4025/11544588/821133e69a90/nihms-2031291-f0002.jpg
https://cdn.ncbi.nlm.nih.gov/pmc/blobs/4025/11544588/9c68b03972bf/nihms-2031291-f0003.jpg
https://cdn.ncbi.nlm.nih.gov/pmc/blobs/4025/11544588/7f99739ee235/nihms-2031291-f0004.jpg
https://cdn.ncbi.nlm.nih.gov/pmc/blobs/4025/11544588/de3f1c35cd08/nihms-2031291-f0005.jpg

相似文献

1
Regulation of synapse density by Pumilio RNA-binding proteins.Pumilio RNA 结合蛋白对突触密度的调节。
Cell Rep. 2024 Oct 22;43(10):114747. doi: 10.1016/j.celrep.2024.114747. Epub 2024 Sep 18.
2
Post-transcriptional regulation of mouse neurogenesis by Pumilio proteins.Pumilio 蛋白对小鼠神经发生的转录后调控。
Genes Dev. 2017 Jul 1;31(13):1354-1369. doi: 10.1101/gad.298752.117. Epub 2017 Aug 9.
3
Pumilio differentially binds to mRNA 3' UTR isoforms to regulate localization of synaptic proteins.Pumilio与mRNA 3'UTR异构体差异性结合,以调节突触蛋白的定位。
EMBO Rep. 2025 Apr;26(7):1792-1815. doi: 10.1038/s44319-025-00401-z. Epub 2025 Feb 21.
4
MiR-134-dependent regulation of Pumilio-2 is necessary for homeostatic synaptic depression.miR-134依赖的Pumilio-2调控对于稳态突触抑制是必要的。
EMBO J. 2014 Oct 1;33(19):2231-46. doi: 10.15252/embj.201487921. Epub 2014 Aug 5.
5
The mRNA-Binding Protein RBM3 Regulates Activity Patterns and Local Synaptic Translation in Cultured Hippocampal Neurons.mRNA 结合蛋白 RBM3 调控培养海马神经元的活动模式和局部突触翻译。
J Neurosci. 2021 Feb 10;41(6):1157-1173. doi: 10.1523/JNEUROSCI.0921-20.2020. Epub 2020 Dec 11.
6
Pumilio proteins utilize distinct regulatory mechanisms to achieve complementary functions required for pluripotency and embryogenesis.Pumilio 蛋白利用不同的调控机制来实现多能性和胚胎发生所需的互补功能。
Proc Natl Acad Sci U S A. 2020 Apr 7;117(14):7851-7862. doi: 10.1073/pnas.1916471117. Epub 2020 Mar 20.
7
Dendritic localization of the translational repressor Pumilio 2 and its contribution to dendritic stress granules.翻译抑制因子Pumilio 2的树突定位及其对树突应激颗粒的作用
J Neurosci. 2006 Jun 14;26(24):6496-508. doi: 10.1523/JNEUROSCI.0649-06.2006.
8
Mouse Pum1 and Pum2 genes, members of the Pumilio family of RNA-binding proteins, show differential expression in fetal and adult hematopoietic stem cells and progenitors.小鼠Pum1和Pum2基因是RNA结合蛋白Pumilio家族的成员,在胎儿及成体造血干细胞和祖细胞中呈现差异表达。
Blood Cells Mol Dis. 2003 Jan-Feb;30(1):55-69. doi: 10.1016/s1079-9796(03)00003-2.
9
Pum2 Shapes the Transcriptome in Developing Axons through Retention of Target mRNAs in the Cell Body.Pum2 通过将靶 mRNAs 保留在细胞体中,来塑造发育轴突中的转录组。
Neuron. 2019 Dec 4;104(5):931-946.e5. doi: 10.1016/j.neuron.2019.08.035. Epub 2019 Oct 9.
10
Drosophila Pumilio protein contains multiple autonomous repression domains that regulate mRNAs independently of Nanos and brain tumor.果蝇 pumilio 蛋白包含多个自主抑制结构域,可独立于 Nanos 和脑肿瘤调节 mRNAs。
Mol Cell Biol. 2012 Jan;32(2):527-40. doi: 10.1128/MCB.06052-11. Epub 2011 Nov 7.

本文引用的文献

1
Mitochondria as central hubs in synaptic modulation.线粒体作为突触调节的中心枢纽。
Cell Mol Life Sci. 2023 Jun 2;80(6):173. doi: 10.1007/s00018-023-04814-8.
2
Dosage sensitivity to Pumilio1 variants in the mouse brain reflects distinct molecular mechanisms.在小鼠大脑中,对 Pumilio1 变异体的剂量敏感性反映了不同的分子机制。
EMBO J. 2023 Jun 1;42(11):e112721. doi: 10.15252/embj.2022112721. Epub 2023 Apr 18.
3
Fast and sensitive GCaMP calcium indicators for imaging neural populations.快速灵敏的 GCaMP 钙指示剂用于神经群体成像。
Nature. 2023 Mar;615(7954):884-891. doi: 10.1038/s41586-023-05828-9. Epub 2023 Mar 15.
4
clusterProfiler 4.0: A universal enrichment tool for interpreting omics data.clusterProfiler 4.0:用于解释组学数据的通用富集工具。
Innovation (Camb). 2021 Jul 1;2(3):100141. doi: 10.1016/j.xinn.2021.100141. eCollection 2021 Aug 28.
5
Developmental shift to mitochondrial respiration for energetic support of sustained transmission during maturation at the calyx of Held.在海氏复合体的成熟过程中,为了维持持续传递,能量支持从糖酵解向线粒体呼吸转变。
J Neurophysiol. 2021 Oct 1;126(4):976-996. doi: 10.1152/jn.00333.2021. Epub 2021 Aug 25.
6
Pumilio2 and Staufen2 selectively balance the synaptic proteome.Pumilio2 和 Staufen2 选择性地平衡突触蛋白组。
Cell Rep. 2021 Jun 22;35(12):109279. doi: 10.1016/j.celrep.2021.109279.
7
Cognitive aging is associated with redistribution of synaptic weights in the hippocampus.认知衰老与海马体中突触权重的再分配有关。
Proc Natl Acad Sci U S A. 2021 Feb 23;118(8). doi: 10.1073/pnas.1921481118.
8
Systematic Quantification of Synapses in Primary Neuronal Culture.原代神经元培养中突触的系统定量分析
iScience. 2020 Sep 7;23(9):101542. doi: 10.1016/j.isci.2020.101542. eCollection 2020 Sep 25.
9
Systematic Analysis of Targets of Pumilio-Mediated mRNA Decay Reveals that PUM1 Repression by DNA Damage Activates Translesion Synthesis.基于 pumilio 介导的 mRNA 降解靶点的系统分析揭示,DNA 损伤对 pum1 的抑制作用激活了跨损伤合成。
Cell Rep. 2020 May 5;31(5):107542. doi: 10.1016/j.celrep.2020.107542.
10
Nervous system-wide profiling of presynaptic mRNAs reveals regulators of associative memory.全神经系统突触前 mRNA 谱分析揭示了联想记忆的调节因子。
Sci Rep. 2019 Dec 30;9(1):20314. doi: 10.1038/s41598-019-56908-8.