• 文献检索
  • 文档翻译
  • 深度研究
  • 学术资讯
  • Suppr Zotero 插件Zotero 插件
  • 邀请有礼
  • 套餐&价格
  • 历史记录
应用&插件
Suppr Zotero 插件Zotero 插件浏览器插件Mac 客户端Windows 客户端微信小程序
定价
高级版会员购买积分包购买API积分包
服务
文献检索文档翻译深度研究API 文档MCP 服务
关于我们
关于 Suppr公司介绍联系我们用户协议隐私条款
关注我们

Suppr 超能文献

核心技术专利:CN118964589B侵权必究
粤ICP备2023148730 号-1Suppr @ 2026

文献检索

告别复杂PubMed语法,用中文像聊天一样搜索,搜遍4000万医学文献。AI智能推荐,让科研检索更轻松。

立即免费搜索

文件翻译

保留排版,准确专业,支持PDF/Word/PPT等文件格式,支持 12+语言互译。

免费翻译文档

深度研究

AI帮你快速写综述,25分钟生成高质量综述,智能提取关键信息,辅助科研写作。

立即免费体验

大鼠 Chiari 样畸形的手术建模:来自犬类形态学的启示。

Surgical modeling of Chiari-like malformation in rats: Insights from canine morphology.

机构信息

Department of Veterinary Surgery, College of Veterinary Medicine, Konkuk University, Seoul, Republic of Korea.

Department of Veterinary Radiology, College of Veterinary Medicine, Konkuk University, Seoul, Republic of Korea.

出版信息

PLoS One. 2024 Sep 19;19(9):e0310505. doi: 10.1371/journal.pone.0310505. eCollection 2024.

DOI:10.1371/journal.pone.0310505
PMID:39298416
原文链接:https://pmc.ncbi.nlm.nih.gov/articles/PMC11412529/
Abstract

BACKGROUND

Chiari-like malformation in dogs and Chiari malformation type 1 in humans are conditions characterized by a relatively small caudal cranial fossa, leading to cerebellar herniation. This study aimed to develop a rat model of Chiari-like malformation using surgical techniques based on morphological characteristics observed in dogs.

METHODS

Endocranial magnetic resonance images of both normal dogs and dogs diagnosed with Chiari-like malformation were retrospectively analyzed. Measurements of the caudal cranial fossa volume, rostral and medial fossa volume, and volume index were taken. The differences in caudal cranial fossa volume and volume index between normal dogs and those diagnosed with Chiari-like malformation were then utilized to create a rat model of Chiari-like malformation through surgical intervention. The measurements were conducted on both the rat Chiari-like malformation models and normal rats, with each measurement taken twice and the mean values calculated.

RESULTS

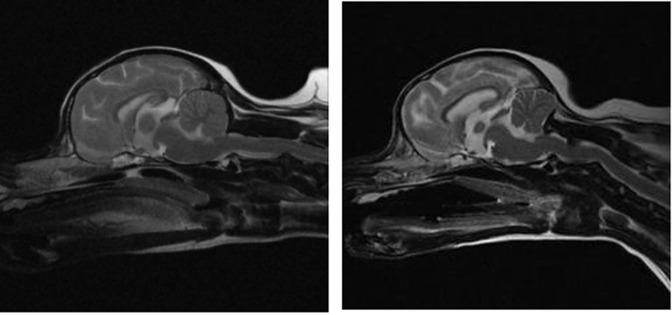
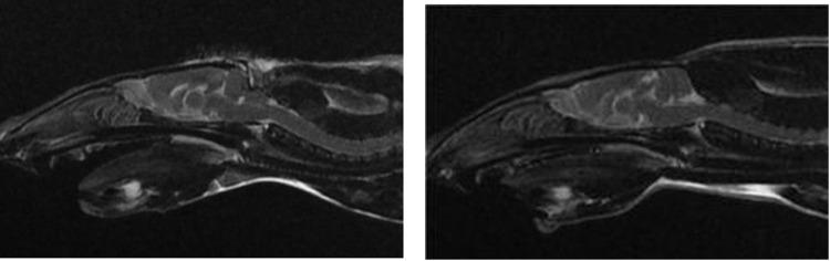
Significant differences were found between normal dogs and dogs diagnosed with Chiari-like malformation in terms of the volume of the caudal cranial fossa (27.62% reduction) and the volume index (23.36% reduction) (p<0.05). These differences were used to develop a rat model, which also showed significant reductions in both caudal cranial fossa volume (29.52%) and volume index (28.30%) compared to normal rats (p<0.05). The condition in the rat model was confirmed through magnetic resonance imaging, which revealed cerebellar herniation into the foramen magnum.

CONCLUSIONS

The study successfully established a rat model of Chiari-like malformation that accurately reproduces the morphological features observed in dogs. This model potentially serves as a valuable tool for investigating the pathological mechanisms and potential therapeutic approaches for Chiari-like malformation in veterinary medicine.

摘要

背景

犬的 Chiari 样畸形和人类的 Chiari 畸形 I 型是一种特征为颅后窝相对较小,导致小脑疝出的疾病。本研究旨在基于犬中观察到的形态学特征,采用手术技术来建立犬 Chiari 样畸形的大鼠模型。

方法

回顾性分析了正常犬和诊断为 Chiari 样畸形犬的颅内磁共振图像。测量颅后窝容积、颅前窝和颅中窝容积以及容积指数。然后,利用正常犬和 Chiari 样畸形犬的颅后窝容积和容积指数的差异,通过手术干预来建立 Chiari 样畸形大鼠模型。对大鼠 Chiari 样畸形模型和正常大鼠进行测量,每个测量重复两次,计算平均值。

结果

正常犬和 Chiari 样畸形犬在颅后窝容积(减少 27.62%)和容积指数(减少 23.36%)方面存在显著差异(p<0.05)。这些差异用于建立大鼠模型,与正常大鼠相比,大鼠模型的颅后窝容积(减少 29.52%)和容积指数(减少 28.30%)也显著降低(p<0.05)。磁共振成像证实了大鼠模型的小脑疝出到枕骨大孔。

结论

本研究成功建立了一种准确再现犬中观察到的形态学特征的大鼠 Chiari 样畸形模型。该模型可能成为兽医医学中研究 Chiari 样畸形病理机制和潜在治疗方法的有价值工具。

https://cdn.ncbi.nlm.nih.gov/pmc/blobs/a694/11412529/b6a62741a294/pone.0310505.g004.jpg
https://cdn.ncbi.nlm.nih.gov/pmc/blobs/a694/11412529/30d5e8febf52/pone.0310505.g001.jpg
https://cdn.ncbi.nlm.nih.gov/pmc/blobs/a694/11412529/7c2e8f7eb86b/pone.0310505.g002.jpg
https://cdn.ncbi.nlm.nih.gov/pmc/blobs/a694/11412529/258d71c07d62/pone.0310505.g003.jpg
https://cdn.ncbi.nlm.nih.gov/pmc/blobs/a694/11412529/b6a62741a294/pone.0310505.g004.jpg
https://cdn.ncbi.nlm.nih.gov/pmc/blobs/a694/11412529/30d5e8febf52/pone.0310505.g001.jpg
https://cdn.ncbi.nlm.nih.gov/pmc/blobs/a694/11412529/7c2e8f7eb86b/pone.0310505.g002.jpg
https://cdn.ncbi.nlm.nih.gov/pmc/blobs/a694/11412529/258d71c07d62/pone.0310505.g003.jpg
https://cdn.ncbi.nlm.nih.gov/pmc/blobs/a694/11412529/b6a62741a294/pone.0310505.g004.jpg

相似文献

1
Surgical modeling of Chiari-like malformation in rats: Insights from canine morphology.大鼠 Chiari 样畸形的手术建模:来自犬类形态学的启示。
PLoS One. 2024 Sep 19;19(9):e0310505. doi: 10.1371/journal.pone.0310505. eCollection 2024.
2
Chiari-like malformation and syringomyelia in normal cavalier King Charles spaniels: a multiple diagnostic imaging approach.正常骑士查理王小猎犬的Chiari样畸形和脊髓空洞症:一种多重诊断成像方法。
J Small Anim Pract. 2008 Sep;49(9):438-43. doi: 10.1111/j.1748-5827.2008.00578.x. Epub 2008 Jul 10.
3
Comparison of cerebral cranium volumes between cavalier King Charles spaniels with Chiari-like malformation, small breed dogs and Labradors.患有类 Chiari 畸形的骑士查理王小猎犬、小型犬和拉布拉多犬之间脑颅骨体积的比较。
J Small Anim Pract. 2009 Aug;50(8):399-405. doi: 10.1111/j.1748-5827.2009.00799.x.
4
Changes over time in craniocerebral morphology and syringomyelia in cavalier King Charles spaniels with Chiari-like malformation.具有类 Chiari 畸形的骑士查理王小猎犬的颅脑部形态和脊髓空洞症随时间的变化。
BMC Vet Res. 2012 Nov 8;8:215. doi: 10.1186/1746-6148-8-215.
5
Cephalometric oropharynx and oral cavity analysis in Chiari malformation Type I: a retrospective case-control study.颅面测量口咽和口腔分析在 Chiari 畸形 I 型:回顾性病例对照研究。
J Neurosurg. 2017 Feb;126(2):626-633. doi: 10.3171/2016.1.JNS151590. Epub 2016 May 6.
6
Analysis of the volumes of the posterior cranial fossa, cerebellum, and herniated tonsils using the stereological methods in patients with Chiari type I malformation.采用体视学方法对Ⅰ型Chiari畸形患者的后颅窝、小脑及扁桃体疝体积进行分析。
ScientificWorldJournal. 2012;2012:616934. doi: 10.1100/2012/616934. Epub 2012 May 2.
7
Increase in cerebellar volume in Cavalier King Charles Spaniels with Chiari-like malformation and its role in the development of syringomyelia.小脑体积增加在查理王小猎犬与 Chiari 样畸形和其在脊髓空洞症的发展中的作用。
PLoS One. 2012;7(4):e33660. doi: 10.1371/journal.pone.0033660. Epub 2012 Apr 10.
8
Morphology of the caudal fossa in Cavalier King Charles Spaniels.骑士查理王小猎犬颅后窝的形态学
Vet Radiol Ultrasound. 2009 Jan-Feb;50(1):37-46. doi: 10.1111/j.1740-8261.2008.01487.x.
9
Evaluation of the volumes of cranial cavities in Cavalier King Charles Spaniels with Chiari-like malformation and other brachycephalic dogs as measured via computed tomography.通过计算机断层扫描测量患有类似 Chiari 畸形的骑士查理王小猎犬及其他短头犬的颅腔容积评估。
Am J Vet Res. 2009 Apr;70(4):508-12. doi: 10.2460/ajvr.70.4.508.
10
Chiari-like Malformation.Chiari样畸形
Vet Clin North Am Small Anim Pract. 2016 Mar;46(2):231-42. doi: 10.1016/j.cvsm.2015.10.002. Epub 2015 Nov 27.

本文引用的文献

1
A Critical Update of the Classification of Chiari and Chiari-like Malformations.Chiari畸形和Chiari样畸形分类的重要更新
J Clin Med. 2023 Jul 11;12(14):4626. doi: 10.3390/jcm12144626.
2
Compromised Cranio-Spinal Suspension in Chiari Malformation Type 1: A Potential Role as Secondary Pathophysiology.1型Chiari畸形中颅颈悬吊功能受损:作为继发性病理生理学的潜在作用。
J Clin Med. 2022 Dec 15;11(24):7437. doi: 10.3390/jcm11247437.
3
Ventriculomegaly in Cavalier King Charles Spaniels with Chiari-like malformation: relationship with clinical and imaging findings.
查理士王小猎犬脑积水合并类似 Chiari 畸形:与临床和影像学发现的关系。
J Vet Med Sci. 2022 Sep 1;84(9):1185-1193. doi: 10.1292/jvms.22-0134. Epub 2022 Jul 12.
4
Reporting animal research: Explanation and elaboration for the ARRIVE guidelines 2.0.报告动物研究:ARRIVE 指南 2.0 的解释和说明。
PLoS Biol. 2020 Jul 14;18(7):e3000411. doi: 10.1371/journal.pbio.3000411. eCollection 2020 Jul.
5
Chiari type 1-a malformation or a syndrome? A critical review.Chiari Ⅰ型畸形还是综合征?批判性评价。
Acta Neurochir (Wien). 2020 Jul;162(7):1513-1525. doi: 10.1007/s00701-019-04100-2. Epub 2019 Oct 28.
6
Chiari I-a 'not so' congenital malformation?Chiari I型——并非那么“先天性”的畸形?
Childs Nerv Syst. 2019 Oct;35(10):1653-1664. doi: 10.1007/s00381-019-04296-9. Epub 2019 Jul 10.
7
Understanding and Treating Chiari-like Malformation and Syringomyelia in Dogs.理解与治疗犬类的 Chiari 样畸形和脊髓空洞症
Top Companion Anim Med. 2018 Mar;33(1):1-11. doi: 10.1053/j.tcam.2018.03.002. Epub 2018 Mar 15.
8
Chiari-like Malformation.Chiari样畸形
Vet Clin North Am Small Anim Pract. 2016 Mar;46(2):231-42. doi: 10.1016/j.cvsm.2015.10.002. Epub 2015 Nov 27.
9
Comparison of the endocranial- and brain volumes in brachycephalic dogs, mesaticephalic dogs and Cavalier King Charles spaniels in relation to their body weight.短头犬、中头犬和骑士查理王小猎犬的颅内体积与脑体积相对于其体重的比较。
Acta Vet Scand. 2014 May 13;56(1):30. doi: 10.1186/1751-0147-56-30.
10
GBM volumetry using the 3D Slicer medical image computing platform.使用 3D Slicer 医学影像计算平台进行 GBM 容积测量。
Sci Rep. 2013;3:1364. doi: 10.1038/srep01364.