Suppr超能文献

肝空肠吻合术后肝内胆管结石经右半肝切除术成功治疗:一例报告

Hepatolithiasis following hepaticojejunostomy successfully treated with right hepatectomy: A case report.

作者信息

Bam Prabin Kumar, Bhusal Amrit, Ghimire Gaurav, Ghimire Atal Bilas, Lamichhane Samit, Sapkota Aashish, Bhatt Nidhi, Yogi Tek Nath

机构信息

Department of Surgery; Chitwan Medical College (CMC), Bharatpur, Chitwan, Nepal.

Department of Radio-diagnostics and Imaging; BP Koirala Institute of Health Sciences (BPKIHS), Dharan, Sunsari, Nepal.

出版信息

Radiol Case Rep. 2024 Sep 12;19(12):5750-5753. doi: 10.1016/j.radcr.2024.08.054. eCollection 2024 Dec.

Abstract

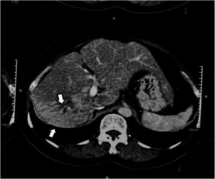
Hepatolithiasis is a rare condition requiring multidisciplinary treatment approach. In this case report we present a case of multiple hepatolithiasis successfully treated with right hepatectomy. A 54 years-old asymptomatic female with previous history of hepaticojejunostomy for recurrent CBD stone was diagnosed with hepatolithiasis during routine follow-up. Hepatolithiasis has multifactorial causation one of which is thought to be previous biliary surgery. This case report highlights the importance of routine ultrasound imaging during follow-up of the patient with history of previous biliary surgery for early detection of hepatolithiasis thus, mitigating further complications.

摘要

肝内胆管结石是一种需要多学科治疗方法的罕见病症。在本病例报告中,我们呈现了一例通过右半肝切除术成功治疗的多发性肝内胆管结石病例。一名54岁无症状女性,既往有因复发性胆总管结石行肝管空肠吻合术病史,在常规随访期间被诊断为肝内胆管结石。肝内胆管结石有多种病因,其中之一被认为是既往胆道手术。本病例报告强调了在有既往胆道手术史的患者随访期间进行常规超声检查对于早期发现肝内胆管结石的重要性,从而减轻进一步的并发症。

https://cdn.ncbi.nlm.nih.gov/pmc/blobs/3ec2/11416462/0844c50297e7/gr1.jpg

文献检索

告别复杂PubMed语法,用中文像聊天一样搜索,搜遍4000万医学文献。AI智能推荐,让科研检索更轻松。

立即免费搜索

文件翻译

保留排版,准确专业,支持PDF/Word/PPT等文件格式,支持 12+语言互译。

免费翻译文档

深度研究

AI帮你快速写综述,25分钟生成高质量综述,智能提取关键信息,辅助科研写作。

立即免费体验