• 文献检索
  • 文档翻译
  • 深度研究
  • 学术资讯
  • Suppr Zotero 插件Zotero 插件
  • 邀请有礼
  • 套餐&价格
  • 历史记录
应用&插件
Suppr Zotero 插件Zotero 插件浏览器插件Mac 客户端Windows 客户端微信小程序
定价
高级版会员购买积分包购买API积分包
服务
文献检索文档翻译深度研究API 文档MCP 服务
关于我们
关于 Suppr公司介绍联系我们用户协议隐私条款
关注我们

Suppr 超能文献

核心技术专利:CN118964589B侵权必究
粤ICP备2023148730 号-1Suppr @ 2026

文献检索

告别复杂PubMed语法,用中文像聊天一样搜索,搜遍4000万医学文献。AI智能推荐,让科研检索更轻松。

立即免费搜索

文件翻译

保留排版,准确专业,支持PDF/Word/PPT等文件格式,支持 12+语言互译。

免费翻译文档

深度研究

AI帮你快速写综述,25分钟生成高质量综述,智能提取关键信息,辅助科研写作。

立即免费体验

模仿由新冠病毒疫苗接种引发的吉兰-巴雷综合征的神经淋巴瘤病

Neurolymphomatosis mimicking a Guillain-Barré syndrome triggered by COVID-19 vaccination.

作者信息

Colombo Daniele, Falasca Laura, Monardo Francesca, D'Ambrosio Mario, Di Napoli Arianna, Salerno Antonio, Del Nonno Franca, Comanducci Giovanna

机构信息

Pathology Unit, National Institute for Infectious Diseases "Lazzaro Spallanzani," IRCCS, Rome, Italy.

Laboratory of Electron Microscopy, National Institute for Infectious Diseases "Lazzaro Spallanzani," IRCCS, Rome, Italy.

出版信息

Neuropathology. 2025 Feb;45(1):76-82. doi: 10.1111/neup.13003. Epub 2024 Sep 23.

DOI:10.1111/neup.13003
PMID:39311044
原文链接:https://pmc.ncbi.nlm.nih.gov/articles/PMC11787998/
Abstract

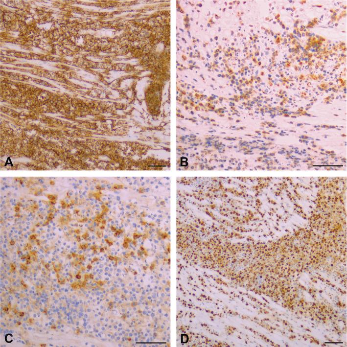
Guillain-Barré syndrome (GBS) is an acute disorder of the peripheral nervous system, causing flaccid paralysis, areflexia, and variable sensory involvement. Proximal as well distal muscles of the limbs can be involved, and in most severe and advanced cases progresses to respiratory failure and death. GBS is considered an autoimmune disease, and at the basis of the attack at the peripheral nervous system different mechanisms have been recognized, in particular viral infections or other immune stimulations. Cranial nerve involvement in patients with diffuse large B-cell lymphoma (DLBCL) and primary central nervous system lymphoma are rare conditions that could present with similar clinical features. Here we present a case of a 36-year-old man hospitalized for acute polyradiculoneuritis of the cranial nerves and lumbar roots that arose a 14 days after severe acute respiratory syndrome COVID-19 2 (Sars-CoV-2) vaccination. Most of the main criteria for the diagnosis of GBS were met, including clinical and electrophysiological criteria. Albuminocytologic dissociation and high protein level in cerebrospinal fluid were also found. Therefore, the patient was treated with a cycle of intravenous immunoglobulin (IVIG) with notable improvement of symptoms and gradual recovery of motility. A five months later, following SARS-CoV-2 infection, the patient presented with worsening of neurological symptoms and was readmitted to the hospital. He underwent instrumental tests again and was treated with repeated cycles of IVIG and then with a cycle of plasmapheresis without any improvement. In the following 10 days he developed very serious conditions; he was transferred to intensive care unit and deceased after 6 days. The cause of the neurological syndrome was determined only after autoptic analysis, which revealed the presence of primary peripheral nervous system (PNS) DLBCL. The reported case highlights that GBS-like presentation always requires a careful differential diagnosis, and physicians should also consider the possibility of an occult cancer.

摘要

吉兰 - 巴雷综合征(GBS)是一种急性周围神经系统疾病,可导致弛缓性麻痹、反射消失以及不同程度的感觉障碍。四肢近端和远端肌肉均可受累,在最严重和病情进展的病例中会发展为呼吸衰竭甚至死亡。GBS被认为是一种自身免疫性疾病,其对周围神经系统的攻击存在不同机制,尤其是病毒感染或其他免疫刺激。弥漫性大B细胞淋巴瘤(DLBCL)和原发性中枢神经系统淋巴瘤患者出现颅神经受累的情况较为罕见,可能表现出相似的临床特征。在此,我们报告一例36岁男性患者,因在严重急性呼吸综合征冠状病毒2(Sars-CoV-2)疫苗接种14天后出现颅神经和腰神经根急性多发性神经根炎而住院。该病例符合GBS诊断的大多数主要标准,包括临床和电生理标准。脑脊液中还发现了蛋白细胞分离和高蛋白水平。因此,患者接受了一个疗程的静脉注射免疫球蛋白(IVIG)治疗,症状明显改善,运动功能逐渐恢复。五个月后,该患者感染Sars-CoV-2后,神经症状恶化并再次入院。他再次接受了相关检查,并接受了重复疗程的IVIG治疗,随后进行了一个疗程的血浆置换,但均无改善。在接下来的10天里,他病情严重恶化;被转入重症监护病房,6天后死亡。仅在尸检分析后才确定了神经综合征的病因,结果显示存在原发性周围神经系统(PNS)DLBCL。该报告病例强调,类似GBS的表现始终需要仔细的鉴别诊断,医生还应考虑隐匿性癌症的可能性。

https://cdn.ncbi.nlm.nih.gov/pmc/blobs/f209/11787998/e98abeabf55a/NEUP-45-76-g003.jpg
https://cdn.ncbi.nlm.nih.gov/pmc/blobs/f209/11787998/ab1d1ea87f35/NEUP-45-76-g001.jpg
https://cdn.ncbi.nlm.nih.gov/pmc/blobs/f209/11787998/23a863201821/NEUP-45-76-g002.jpg
https://cdn.ncbi.nlm.nih.gov/pmc/blobs/f209/11787998/e98abeabf55a/NEUP-45-76-g003.jpg
https://cdn.ncbi.nlm.nih.gov/pmc/blobs/f209/11787998/ab1d1ea87f35/NEUP-45-76-g001.jpg
https://cdn.ncbi.nlm.nih.gov/pmc/blobs/f209/11787998/23a863201821/NEUP-45-76-g002.jpg
https://cdn.ncbi.nlm.nih.gov/pmc/blobs/f209/11787998/e98abeabf55a/NEUP-45-76-g003.jpg

相似文献

1
Neurolymphomatosis mimicking a Guillain-Barré syndrome triggered by COVID-19 vaccination.模仿由新冠病毒疫苗接种引发的吉兰-巴雷综合征的神经淋巴瘤病
Neuropathology. 2025 Feb;45(1):76-82. doi: 10.1111/neup.13003. Epub 2024 Sep 23.
2
A Case Report of Guillain-Barré Syndrome In Association with SARS-CoV-2 Vaccination in Malaysia.马来西亚与 SARS-CoV-2 疫苗接种相关的格林-巴利综合征病例报告。
Acta Neurol Taiwan. 2023 Dec 30;32(4):207-211.
3
Case Report: Post-COVID-19 Vaccine Recurrence of Guillain-Barré Syndrome Following an Antecedent Parainfectious COVID-19-Related GBS.病例报告:COVID-19 疫苗接种后,先前与 COVID-19 相关的吉兰-巴雷综合征后复发性吉兰-巴雷综合征。
Front Immunol. 2022 Jul 18;13:894872. doi: 10.3389/fimmu.2022.894872. eCollection 2022.
4
Acute motor-sensory axonal polyneuropathy variant of Guillain-Barré syndrome with a thalamic lesion and COVID-19: a case report and discussion on mechanism.伴有丘脑病变和新型冠状病毒肺炎的吉兰-巴雷综合征急性运动感觉轴索性多神经病变异型:一例报告及机制探讨
Front Neurol. 2023 Sep 14;14:1227505. doi: 10.3389/fneur.2023.1227505. eCollection 2023.
5
To be, or not to be… Guillain-Barré Syndrome.是,还是不是……吉兰-巴雷综合征。
Autoimmun Rev. 2021 Dec;20(12):102983. doi: 10.1016/j.autrev.2021.102983. Epub 2021 Oct 28.
6
A 44-Year-Old Hispanic Man with Loss of Taste and Bilateral Facial Weakness Diagnosed with Guillain-Barré Syndrome and Bell's Palsy Associated with SARS-CoV-2 Infection Treated with Intravenous Immunoglobulin.一名44岁的西班牙裔男性,味觉丧失且双侧面部无力,被诊断为吉兰-巴雷综合征和贝尔麻痹,与SARS-CoV-2感染相关,接受静脉注射免疫球蛋白治疗。
Am J Case Rep. 2020 Oct 31;21:e927956. doi: 10.12659/AJCR.927956.
7
Is Guillain-Barrè syndrome triggered by SARS-CoV-2? Case report and literature review.格林-巴利综合征是否由 SARS-CoV-2 引发?病例报告及文献复习。
Neurol Sci. 2021 Feb;42(2):607-612. doi: 10.1007/s10072-020-04553-9. Epub 2020 Jul 9.
8
A Clinical Case of COVID-19 Vaccine-Associated Guillain-Barré Syndrome.COVID-19 疫苗相关格林-巴利综合征的 1 例临床病例。
Am J Case Rep. 2022 Aug 10;23:e936896. doi: 10.12659/AJCR.936896.
9
A Case of Guillain-Barré Syndrome Associated With COVID-19.1例与新型冠状病毒肺炎相关的吉兰-巴雷综合征病例
J Investig Med High Impact Case Rep. 2020 Jan-Dec;8:2324709620961198. doi: 10.1177/2324709620961198.
10
Guillain-Barré Syndrome after Novel Coronavirus Disease 2019.新型冠状病毒病 2019 后吉兰-巴雷综合征。
J Emerg Med. 2021 Oct;61(4):e67-e70. doi: 10.1016/j.jemermed.2021.03.022. Epub 2021 Mar 26.

本文引用的文献

1
Association of Guillain-Barré syndrome following COVID-19 vaccination.接种 COVID-19 疫苗与格林-巴利综合征的关联。
Int J Immunopathol Pharmacol. 2023 Jan-Dec;37:3946320231199349. doi: 10.1177/03946320231199349.
2
Detection of anti-ganglioside antibodies in Guillain-Barré syndrome.格林-巴利综合征中抗神经节苷脂抗体的检测
Ann Transl Med. 2023 Apr 15;11(7):289. doi: 10.21037/atm-20-2285. Epub 2021 Apr 21.
3
Neurolymphomatosis: involvement of peripheral nervous system revealing hematologic malignancy, a report of nine cases.
神经淋巴瘤病:累及外周神经系统的血液系统恶性肿瘤,9 例报告。
J Peripher Nerv Syst. 2023 Jun;28(2):252-261. doi: 10.1111/jns.12541. Epub 2023 Mar 19.
4
Non-Hodgkin Lymphoma Developed Shortly after mRNA COVID-19 Vaccination: Report of a Case and Review of the Literature.mRNA COVID-19 疫苗接种后不久发生非霍奇金淋巴瘤:病例报告及文献复习。
Medicina (Kaunas). 2023 Jan 12;59(1):157. doi: 10.3390/medicina59010157.
5
Triggers of Guillain-Barré Syndrome: Predominates.吉兰-巴雷综合征的诱因:主要为。
Int J Mol Sci. 2022 Nov 17;23(22):14222. doi: 10.3390/ijms232214222.
6
No significant increase in Guillain-Barré syndrome after COVID-19 vaccination in adults: A vaccine adverse event reporting system study.成年人接种 COVID-19 疫苗后吉兰-巴雷综合征并无显著增加:一项疫苗不良事件报告系统研究。
Vaccine. 2022 Sep 22;40(40):5791-5797. doi: 10.1016/j.vaccine.2022.08.038. Epub 2022 Aug 22.
7
Rapid progression of marginal zone B-cell lymphoma after COVID-19 vaccination (BNT162b2): A case report.新冠病毒疫苗(BNT162b2)接种后边缘区B细胞淋巴瘤快速进展:一例报告
Front Med (Lausanne). 2022 Aug 1;9:963393. doi: 10.3389/fmed.2022.963393. eCollection 2022.
8
Association Between Incident Cancer and Guillain-Barré Syndrome Development: A Nationwide Case-Control Study.癌症发病与吉兰-巴雷综合征发病之间的关联:一项全国范围内的病例对照研究。
Neurology. 2022 Apr 12;98(15):e1555-e1561. doi: 10.1212/WNL.0000000000200015. Epub 2022 Mar 2.
9
To be, or not to be… Guillain-Barré Syndrome.是,还是不是……吉兰-巴雷综合征。
Autoimmun Rev. 2021 Dec;20(12):102983. doi: 10.1016/j.autrev.2021.102983. Epub 2021 Oct 28.
10
Guillain-​Barré Syndrome Associated with COVID-19 Vaccination.与 COVID-19 疫苗接种相关的格林-巴利综合征。
Emerg Infect Dis. 2021 Dec;27(12):3175-3178. doi: 10.3201/eid2712.211634. Epub 2021 Oct 14.