Suppr超能文献

小儿钝性腹主动脉损伤中髂动脉转位技术用于重建主动脉分叉

Iliac transposition technique for reconstruction of aortic bifurcation in pediatric blunt abdominal aortic injury.

作者信息

Hanif Hamza, Clark Ross, Chavez LeAnn, Miskimins Richard, Rana Muhammad Ali

机构信息

Department of Surgery, University of New Mexico School of Medicine, Albuquerque, NM.

Division of Vascular Surgery, Department of Surgery, University of New Mexico School of Medicine, Albuquerque, NM.

出版信息

J Vasc Surg Cases Innov Tech. 2024 Jul 11;10(6):101571. doi: 10.1016/j.jvscit.2024.101571. eCollection 2024 Dec.

Abstract

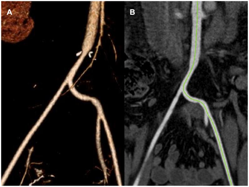
Blunt abdominal aortic injuries, especially in pediatric patients, represents a rare and critical challenge. We report a unique case of a 10-year-old boy who presented after a high-speed motor vehicle collision resulting in injury to the aortic bifurcation, alongside other intra-abdominal trauma. A novel surgical approach for aortoiliac reconstruction in a contaminated field was used. This technique consisted of the mobilization of the distal aorta and common iliac arteries, ligation of right internal iliac artery, and creation of aortoiliac and common to internal iliac artery anastomoses. This method demonstrates a potentially lifesaving technique in select patients.

摘要

钝性腹主动脉损伤,尤其是在儿科患者中,是一种罕见且严峻的挑战。我们报告了一例独特的病例,一名10岁男孩在高速机动车碰撞后出现,导致主动脉分叉损伤,同时伴有其他腹部创伤。我们采用了一种在污染区域进行主髂动脉重建的新颖手术方法。该技术包括游离远端主动脉和双侧髂总动脉、结扎右侧髂内动脉,以及创建主髂动脉和髂总动脉至髂内动脉的吻合口。这种方法在特定患者中显示出一种可能挽救生命的技术。

https://cdn.ncbi.nlm.nih.gov/pmc/blobs/3f17/11420477/02b258790380/gr1.jpg

文献AI研究员

20分钟写一篇综述,助力文献阅读效率提升50倍。

立即体验

用中文搜PubMed

大模型驱动的PubMed中文搜索引擎

马上搜索

文档翻译

学术文献翻译模型,支持多种主流文档格式。

立即体验