Suppr超能文献

一名患有变异型腹腔干肠系膜上动脉解剖结构的患者成功接受慢性肠系膜缺血的血管内治疗。

Successful endovascular treatment of chronic mesenteric ischemia in a patient with variant celiacomesenteric trunk anatomy.

作者信息

Sohn Camron, Coleman Daksha, Solis Maurice

机构信息

Department of Surgery, Mercer University School of Medicine, Columbus, GA.

South Georgia Medical Center CardioVascular Institute, Valdosta, GA.

出版信息

J Vasc Surg Cases Innov Tech. 2024 Aug 22;10(6):101604. doi: 10.1016/j.jvscit.2024.101604. eCollection 2024 Dec.

Abstract

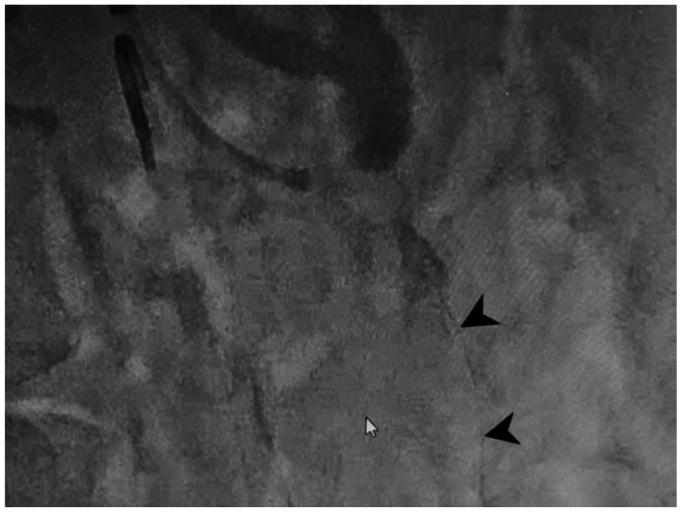
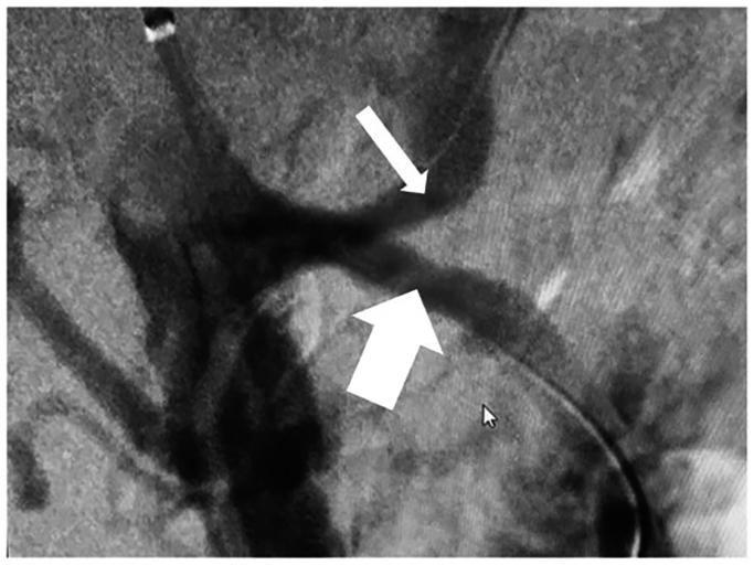
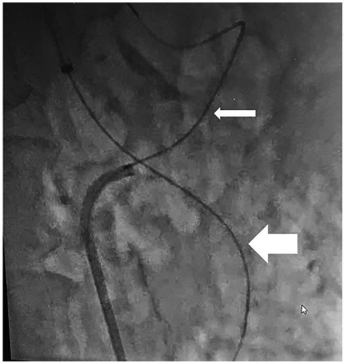
The celiacomesenteric trunk (CMT) is a rare anatomical variant where the celiac axis and superior mesenteric artery share a common origin. Despite its rarity, CMT has significant implications across various medical fields, particularly in surgical planning and interventional procedures. We report a case of chronic mesenteric ischemia owing to atherosclerotic stenosis at the CMT bifurcation, necessitating a complex interventional approach. Kissing covered stent angioplasty was successfully performed, resulting in revascularization, symptom resolution, and no restenosis at 1-year follow-up. This report highlights the feasibility and effectiveness of the kissing stent technique in managing complex CMT bifurcation obstructions in patients with chronic mesenteric ischemia.

摘要

腹腔肠系膜干(CMT)是一种罕见的解剖变异,即腹腔干和肠系膜上动脉有共同的起源。尽管CMT罕见,但它在各个医学领域都有重要意义,尤其是在手术规划和介入操作方面。我们报告一例因CMT分叉处动脉粥样硬化狭窄导致的慢性肠系膜缺血病例,需要采用复杂的介入方法。成功实施了吻合法覆膜支架血管成形术,实现了血管再通、症状缓解,且在1年随访时无再狭窄。本报告强调了吻合法支架技术在处理慢性肠系膜缺血患者复杂CMT分叉处梗阻方面的可行性和有效性。

https://cdn.ncbi.nlm.nih.gov/pmc/blobs/6492/11420501/d1037397a76d/gr1.jpg

文献检索

告别复杂PubMed语法,用中文像聊天一样搜索,搜遍4000万医学文献。AI智能推荐,让科研检索更轻松。

立即免费搜索

文件翻译

保留排版,准确专业,支持PDF/Word/PPT等文件格式,支持 12+语言互译。

免费翻译文档

深度研究

AI帮你快速写综述,25分钟生成高质量综述,智能提取关键信息,辅助科研写作。

立即免费体验