• 文献检索
  • 文档翻译
  • 深度研究
  • 学术资讯
  • Suppr Zotero 插件Zotero 插件
  • 邀请有礼
  • 套餐&价格
  • 历史记录
应用&插件
Suppr Zotero 插件Zotero 插件浏览器插件Mac 客户端Windows 客户端微信小程序
定价
高级版会员购买积分包购买API积分包
服务
文献检索文档翻译深度研究API 文档MCP 服务
关于我们
关于 Suppr公司介绍联系我们用户协议隐私条款
关注我们

Suppr 超能文献

核心技术专利:CN118964589B侵权必究
粤ICP备2023148730 号-1Suppr @ 2026

文献检索

告别复杂PubMed语法,用中文像聊天一样搜索,搜遍4000万医学文献。AI智能推荐,让科研检索更轻松。

立即免费搜索

文件翻译

保留排版,准确专业,支持PDF/Word/PPT等文件格式,支持 12+语言互译。

免费翻译文档

深度研究

AI帮你快速写综述,25分钟生成高质量综述,智能提取关键信息,辅助科研写作。

立即免费体验

不同氧疗方案对脂多糖诱导的急性肺损伤小鼠的抗炎及保护作用的比较研究。

Comparative study on the anti-inflammatory and protective effects of different oxygen therapy regimens on lipopolysaccharide-induced acute lung injury in mice.

机构信息

Department of Hyperbaric Oxygen Medicine, Affiliated Nantong Rehabilitation Hospital of Nantong University, Nantong, Jiangsu Province, China.

Department of Rehabilitation Medicine, Affiliated Nantong Rehabilitation Hospital of Nantong University, Nantong, Jiangsu Province, China.

出版信息

Med Gas Res. 2025 Mar 1;15(1):171-179. doi: 10.4103/mgr.MEDGASRES-D-24-00044. Epub 2024 Sep 25.

DOI:10.4103/mgr.MEDGASRES-D-24-00044
PMID:39324894
原文链接:https://pmc.ncbi.nlm.nih.gov/articles/PMC11515059/
Abstract

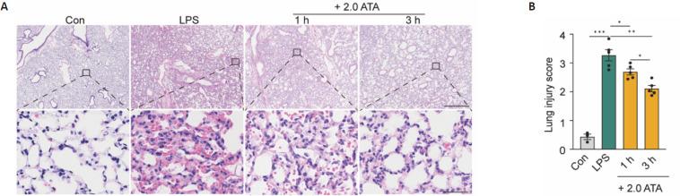
Oxygen therapy after acute lung injury can regulate the inflammatory response and reduce lung tissue injury. However, the optimal exposure pressure, duration, and frequency of oxygen therapy for acute lung injury remain unclear. In the present study, after intraperitoneal injection of lipopolysaccharide in ICR mice, 1.0 atmosphere absolute (ATA) pure oxygen and 2.0 ATA hyperbaric oxygen treatment for 1 hour decreased the levels of proinflammatory factors (interleukin-1beta and interleukin-6) in peripheral blood and lung tissues. However, only 2.0 ATA hyperbaric oxygen increased the mRNA levels of anti-inflammatory factors (interleukin-10 and arginase-1) in lung tissue; 3.0 ATA hyperbaric oxygen treatment had no significant effect. We also observed that at 2.0 ATA, the anti-inflammatory effect of a single exposure to hyperbaric oxygen for 3 hours was greater than that of a single exposure to hyperbaric oxygen for 1 hour. The protective effect of two exposures for 1.5 hours was similar to that of a single exposure for 3 hours. These results suggest that hyperbaric oxygen alleviates lipopolysaccharide-induced acute lung injury by regulating the expression of inflammatory factors in an acute lung injury model and that appropriately increasing the duration and frequency of hyperbaric oxygen exposure has a better tissue-protective effect on lipopolysaccharide-induced acute lung injury. These results could guide the development of more effective oxygen therapy regimens for acute lung injury patients.

摘要

急性肺损伤后氧疗可以调节炎症反应,减轻肺组织损伤。然而,急性肺损伤患者接受氧疗的最佳暴露压力、时间和频率仍不清楚。在本研究中,在 ICR 小鼠腹腔注射脂多糖后,1.0 个大气压绝对(ATA)纯氧和 2.0ATA 高压氧治疗 1 小时,降低了外周血和肺组织中促炎因子(白细胞介素-1β和白细胞介素-6)的水平。然而,只有 2.0ATA 高压氧增加了肺组织中抗炎因子(白细胞介素-10 和精氨酸酶-1)的 mRNA 水平;3.0ATA 高压氧处理没有显著效果。我们还观察到,在 2.0ATA 时,单次高压氧暴露 3 小时的抗炎作用大于单次高压氧暴露 1 小时。两次 1.5 小时暴露的保护作用与单次 3 小时暴露的保护作用相似。这些结果表明,高压氧通过调节急性肺损伤模型中炎症因子的表达来缓解脂多糖诱导的急性肺损伤,适当增加高压氧暴露的时间和频率对脂多糖诱导的急性肺损伤具有更好的组织保护作用。这些结果可以为急性肺损伤患者的氧疗方案提供指导。

https://cdn.ncbi.nlm.nih.gov/pmc/blobs/d404/11515059/97a2b0fb6202/MGR-15-171-g007.jpg
https://cdn.ncbi.nlm.nih.gov/pmc/blobs/d404/11515059/7c2afafe6428/MGR-15-171-g001.jpg
https://cdn.ncbi.nlm.nih.gov/pmc/blobs/d404/11515059/d159a6a0eadd/MGR-15-171-g002.jpg
https://cdn.ncbi.nlm.nih.gov/pmc/blobs/d404/11515059/ea63945d9a8e/MGR-15-171-g003.jpg
https://cdn.ncbi.nlm.nih.gov/pmc/blobs/d404/11515059/dc6a6357a64a/MGR-15-171-g004.jpg
https://cdn.ncbi.nlm.nih.gov/pmc/blobs/d404/11515059/d5e4ec8d4157/MGR-15-171-g005.jpg
https://cdn.ncbi.nlm.nih.gov/pmc/blobs/d404/11515059/a6fbc448f370/MGR-15-171-g006.jpg
https://cdn.ncbi.nlm.nih.gov/pmc/blobs/d404/11515059/97a2b0fb6202/MGR-15-171-g007.jpg
https://cdn.ncbi.nlm.nih.gov/pmc/blobs/d404/11515059/7c2afafe6428/MGR-15-171-g001.jpg
https://cdn.ncbi.nlm.nih.gov/pmc/blobs/d404/11515059/d159a6a0eadd/MGR-15-171-g002.jpg
https://cdn.ncbi.nlm.nih.gov/pmc/blobs/d404/11515059/ea63945d9a8e/MGR-15-171-g003.jpg
https://cdn.ncbi.nlm.nih.gov/pmc/blobs/d404/11515059/dc6a6357a64a/MGR-15-171-g004.jpg
https://cdn.ncbi.nlm.nih.gov/pmc/blobs/d404/11515059/d5e4ec8d4157/MGR-15-171-g005.jpg
https://cdn.ncbi.nlm.nih.gov/pmc/blobs/d404/11515059/a6fbc448f370/MGR-15-171-g006.jpg
https://cdn.ncbi.nlm.nih.gov/pmc/blobs/d404/11515059/97a2b0fb6202/MGR-15-171-g007.jpg

相似文献

1
Comparative study on the anti-inflammatory and protective effects of different oxygen therapy regimens on lipopolysaccharide-induced acute lung injury in mice.不同氧疗方案对脂多糖诱导的急性肺损伤小鼠的抗炎及保护作用的比较研究。
Med Gas Res. 2025 Mar 1;15(1):171-179. doi: 10.4103/mgr.MEDGASRES-D-24-00044. Epub 2024 Sep 25.
2
Hyperbaric oxygen attenuates lipopolysaccharide-induced acute lung injury.高压氧可减轻脂多糖诱导的急性肺损伤。
Intensive Care Med. 2002 May;28(5):636-41. doi: 10.1007/s00134-002-1262-1. Epub 2002 Apr 4.
3
High-altitude pulmonary edema can be prevented by heat shock protein 70-mediated hyperbaric oxygen preconditioning.热休克蛋白70介导的高压氧预处理可预防高原肺水肿。
J Trauma Acute Care Surg. 2014 Oct;77(4):585-91. doi: 10.1097/TA.0000000000000408.
4
Effects of long term normobaric hyperoxia exposure on lipopolysaccharide-induced lung injury.长期常压高氧暴露对脂多糖诱导肺损伤的影响。
Exp Lung Res. 2020 Feb-Mar;46(1-2):44-52. doi: 10.1080/01902148.2020.1725183. Epub 2020 Feb 18.
5
Hyperbaric oxygen increases the lung's susceptibility to inhaled lipopolysaccharide in mice.高压氧会增加小鼠肺部对吸入脂多糖的易感性。
Lung. 2002;180(2):105-17. doi: 10.1007/s004080000085.
6
Inhibition of glycolysis alleviates lipopolysaccharide-induced acute lung injury in a mouse model.抑制糖酵解可减轻脂多糖诱导的小鼠急性肺损伤。
J Cell Physiol. 2019 Apr;234(4):4641-4654. doi: 10.1002/jcp.27261. Epub 2018 Sep 7.
7
Hyperbaric oxygen treatment ameliorates lung injury in paraquat intoxicated rats.高压氧治疗改善百草枯中毒大鼠的肺损伤。
Int J Clin Exp Pathol. 2015 Oct 1;8(10):13034-42. eCollection 2015.
8
Anti-inflammatory effects of novel curcumin analogs in experimental acute lung injury.新型姜黄素类似物在实验性急性肺损伤中的抗炎作用
Respir Res. 2015 Mar 24;16(1):43. doi: 10.1186/s12931-015-0199-1.
9
Asiaticoside alleviates lipopolysaccharide-induced acute lung injury by blocking Sema4D/CD72 and inhibiting mitochondrial dysfunction in RAW264.7 cell and mice.积雪草苷通过阻断 Sema4D/CD72 并抑制 RAW264.7 细胞和小鼠中的线粒体功能障碍来减轻脂多糖诱导的急性肺损伤。
Naunyn Schmiedebergs Arch Pharmacol. 2024 Oct;397(10):7573-7587. doi: 10.1007/s00210-024-03091-x. Epub 2024 Apr 26.
10
[Protective effect against monoammonium glycyrrhizinate on lipopolysaccharide-induced acute lung injury in mice].甘草酸单铵盐对脂多糖诱导的小鼠急性肺损伤的保护作用
Yao Xue Xue Bao. 2007 Sep;42(9):954-8.

本文引用的文献

1
Effects of Hyperbaric Oxygen Therapy on Long COVID: A Systematic Review.高压氧治疗对新冠后综合征的影响:一项系统综述
Life (Basel). 2024 Mar 26;14(4):438. doi: 10.3390/life14040438.
2
Hyperbaric oxygen effectively addresses the pathophysiology of long COVID: clinical review.高压氧有效解决了长期新冠的病理生理学问题:临床综述。
Front Med (Lausanne). 2024 Feb 15;11:1354088. doi: 10.3389/fmed.2024.1354088. eCollection 2024.
3
Oxygen therapy attenuates neuroinflammation after spinal cord injury.氧疗可减轻脊髓损伤后的神经炎症。
J Neuroinflammation. 2023 Dec 19;20(1):303. doi: 10.1186/s12974-023-02985-6.
4
Glucagon-like peptide 1 receptor activation: anti-inflammatory effects in the brain.胰高血糖素样肽1受体激活:对大脑的抗炎作用。
Neural Regen Res. 2024 Aug 1;19(8):1671-1677. doi: 10.4103/1673-5374.389626. Epub 2023 Dec 11.
5
Hyperbaric Oxygen Therapy Counters Oxidative Stress/Inflammation-Driven Symptoms in Long COVID-19 Patients: Preliminary Outcomes.高压氧疗法对抗长新冠患者氧化应激/炎症驱动的症状:初步结果
Metabolites. 2023 Sep 25;13(10):1032. doi: 10.3390/metabo13101032.
6
The Mechanisms of Action of Hyperbaric Oxygen in Restoring Host Homeostasis during Sepsis.高压氧在败血症中恢复宿主内环境稳定的作用机制。
Biomolecules. 2023 Aug 7;13(8):1228. doi: 10.3390/biom13081228.
7
Oxidative Stress Response Kinetics after 60 Minutes at Different (1.4 ATA and 2.5 ATA) Hyperbaric Hyperoxia Exposures.不同(1.4ATA 和 2.5ATA)高压高氧暴露 60 分钟后的氧化应激反应动力学。
Int J Mol Sci. 2023 Aug 2;24(15):12361. doi: 10.3390/ijms241512361.
8
Indications for oxygen therapy and the Undersea and Hyperbaric Medical Society.氧疗指征与水下及高压氧医学协会
Med Gas Res. 2023 Oct-Dec;13(4):219. doi: 10.4103/2045-9912.372064.
9
Hyperbaric oxygen therapy for long COVID (HOT-LoCO), an interim safety report from a randomised controlled trial.高压氧治疗长新冠(HOT-LoCO):一项随机对照试验的中期安全性报告。
BMC Infect Dis. 2023 Jan 20;23(1):33. doi: 10.1186/s12879-023-08002-8.
10
Hyperbaric oxygen for treatment of long COVID-19 syndrome (HOT-LoCO): protocol for a randomised, placebo-controlled, double-blind, phase II clinical trial.高压氧治疗长新冠综合征(HOT-LoCO):一项随机、安慰剂对照、双盲、二期临床试验方案。
BMJ Open. 2022 Nov 2;12(11):e061870. doi: 10.1136/bmjopen-2022-061870.