Suppr超能文献

DDIT3 通过上调间充质干细胞中的 DKK1 来减弱 Wnt/β-catenin 信号,从而将 BMP9 的成骨潜能转化为成脂潜能。

DDIT3 switches osteogenic potential of BMP9 to lipogenic by attenuating Wnt/β-catenin signaling via up-regulating DKK1 in mesenchymal stem cells.

机构信息

Key Laboratory of Biochemistry and Molecular Pharmacology of Chongqing, Chongqing Medical University, Chongqing 400016, China.

Department of Pharmacology, School of Pharmacy, Chongqing Medical University, Chongqing 400016, China.

出版信息

Aging (Albany NY). 2024 Sep 26;16(18):12543-12558. doi: 10.18632/aging.206091.

Abstract

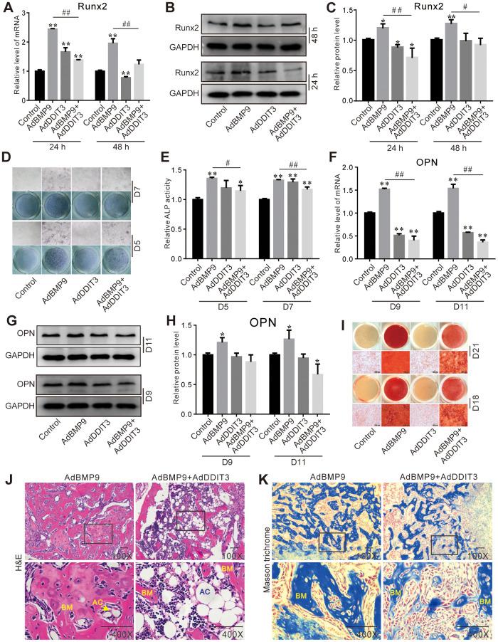
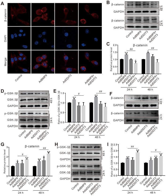
Bone morphogenetic protein 9 (BMP9) functions as a potent inducer of osteogenic differentiation in mesenchymal stem cells (MSCs), holding promise for bone tissue engineering. However, BMP9 also concurrently triggers lipogenic differentiation in MSCs, potentially compromising its osteogenic potential. In this study, we explored the role of DNA damage inducible transcript 3 (DDIT3) in regulating the balance between BMP9-induced osteogenic and lipogenic differentiation in MSCs. Utilizing techniques such as PCR, Western blot, histochemical staining, and experiments, we analyzed the osteogenic and lipogenic markers induced by BMP9 and delved into the underlying molecular mechanism. We found a significant upregulation of DDIT3 in C3H10T1/2 cells treated with BMP9. This upregulation led to a reduction in BMP9-induced osteogenic markers but an enhancement in lipogenic markers. Conversely, knocking down DDIT3 produced the opposite effects. Furthermore, BMP9-induced bone formation was decreased in the presence of DDIT3, but adipocyte formation was increased. Further investigations demonstrated that BMP9 increased the phosphorylation level of GSK-3β and promoted nuclear translocation of β-catenin, both of which were suppressed by DDIT3. Moreover, DDIT3 decreased the total β-catenin protein level while BMP9 increased the DKK1 protein level, which was further enhanced by DDIT3. Notably, knocking down DKK1 partially reversed the effect of DDIT3 on reducing BMP9-induced osteogenic markers and increasing lipogenic markers. Our findings indicated that DDIT3 enhances lipogenic differentiation by diminishing BMP9's osteogenic potential, possibly through inhibiting Wnt/β-catenin signaling via DKK1 upregulation in MSCs.

摘要

骨形态发生蛋白 9(BMP9)作为间充质干细胞(MSCs)成骨分化的有效诱导剂,为骨组织工程提供了前景。然而,BMP9 也同时触发 MSCs 的脂肪生成分化,可能会损害其成骨潜能。在这项研究中,我们探讨了 DNA 损伤诱导转录物 3(DDIT3)在调节 BMP9 诱导的 MSCs 成骨和脂肪生成分化平衡中的作用。我们利用 PCR、Western blot、组织化学染色和实验等技术,分析了 BMP9 诱导的成骨和脂肪生成标志物,并探讨了潜在的分子机制。我们发现,在 BMP9 处理的 C3H10T1/2 细胞中,DDIT3 的表达显著上调。这种上调导致 BMP9 诱导的成骨标志物减少,但脂肪生成标志物增加。相反,敲低 DDIT3 则产生相反的效果。此外,DDIT3 的存在降低了 BMP9 诱导的骨形成,但增加了脂肪细胞形成。进一步的研究表明,BMP9 增加了 GSK-3β的磷酸化水平,并促进了β-catenin的核转位,而这两种作用都被 DDIT3 所抑制。此外,DDIT3 降低了总β-catenin 蛋白水平,而 BMP9 增加了 DKK1 蛋白水平,而这一水平进一步被 DDIT3 所增强。值得注意的是,敲低 DKK1 部分逆转了 DDIT3 对降低 BMP9 诱导的成骨标志物和增加脂肪生成标志物的作用。我们的研究结果表明,DDIT3 通过增加 DKK1 的表达抑制 Wnt/β-catenin 信号通路,从而减弱 BMP9 的成骨潜能,增强脂肪生成分化。

https://cdn.ncbi.nlm.nih.gov/pmc/blobs/0073/11466488/23e8a404d36c/aging-16-206091-g001.jpg

文献检索

告别复杂PubMed语法,用中文像聊天一样搜索,搜遍4000万医学文献。AI智能推荐,让科研检索更轻松。

立即免费搜索

文件翻译

保留排版,准确专业,支持PDF/Word/PPT等文件格式,支持 12+语言互译。

免费翻译文档

深度研究

AI帮你快速写综述,25分钟生成高质量综述,智能提取关键信息,辅助科研写作。

立即免费体验