• 文献检索
  • 文档翻译
  • 深度研究
  • 学术资讯
  • Suppr Zotero 插件Zotero 插件
  • 邀请有礼
  • 套餐&价格
  • 历史记录
应用&插件
Suppr Zotero 插件Zotero 插件浏览器插件Mac 客户端Windows 客户端微信小程序
定价
高级版会员购买积分包购买API积分包
服务
文献检索文档翻译深度研究API 文档MCP 服务
关于我们
关于 Suppr公司介绍联系我们用户协议隐私条款
关注我们

Suppr 超能文献

核心技术专利:CN118964589B侵权必究
粤ICP备2023148730 号-1Suppr @ 2026

文献检索

告别复杂PubMed语法,用中文像聊天一样搜索,搜遍4000万医学文献。AI智能推荐,让科研检索更轻松。

立即免费搜索

文件翻译

保留排版,准确专业,支持PDF/Word/PPT等文件格式,支持 12+语言互译。

免费翻译文档

深度研究

AI帮你快速写综述,25分钟生成高质量综述,智能提取关键信息,辅助科研写作。

立即免费体验

抗黑色素瘤分化相关基因 5 抗体诱导的难治性皮肌炎并发间质性肺病采用托法替布治疗及其结局:一例报告。

Management of anti-melanoma differentiation-associated gene 5 antibody-induced refractory dermatomyositis complicated by interstitial pneumonia using tofacitinib and its outcomes: a case report.

机构信息

Department of Respiratory Medicine and Allergology, Sapporo Medical University School of Medicine, minami1-nishi16Chuo-Ku, Sapporo, Hokkaido, 060-8543, Japan.

Department of Respiratory Medicine, Steel Memorial Muroran Hospital, 1-45 Chiribetsucho, Muroran, Hokkaido, 050-0076, Japan.

出版信息

J Med Case Rep. 2024 Sep 28;18(1):471. doi: 10.1186/s13256-024-04793-9.

DOI:10.1186/s13256-024-04793-9
PMID:39334485
原文链接:https://pmc.ncbi.nlm.nih.gov/articles/PMC11438172/
Abstract

BACKGROUND

Clinical amyopathic dermatomyositis is characterized by cutaneous symptoms but lacks muscle symptoms. Anti-melanoma differentiation-associated gene 5 antibodies are frequently found in Japanese patients with clinical amyopathic dermatomyositis. Patients with rapidly progressive interstitial lung disease with positive anti-melanoma differentiation-associated gene 5 antibodies have poor prognoses, and majority of them are treated with combination immunosuppressive therapy; however, the best treatment is yet to be determined.

CASE PRESENTATION

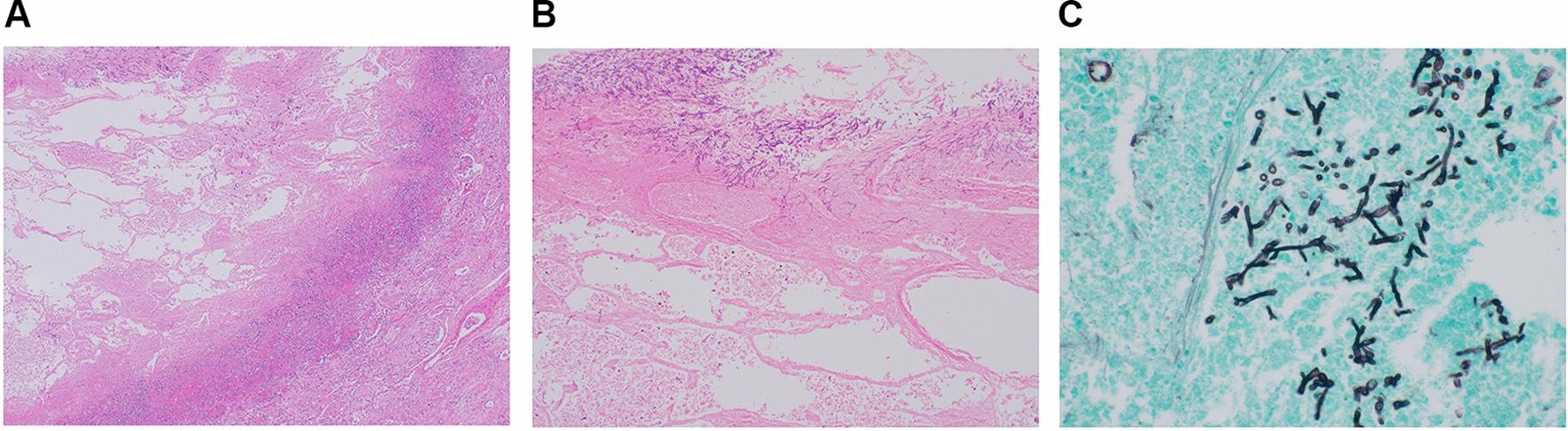
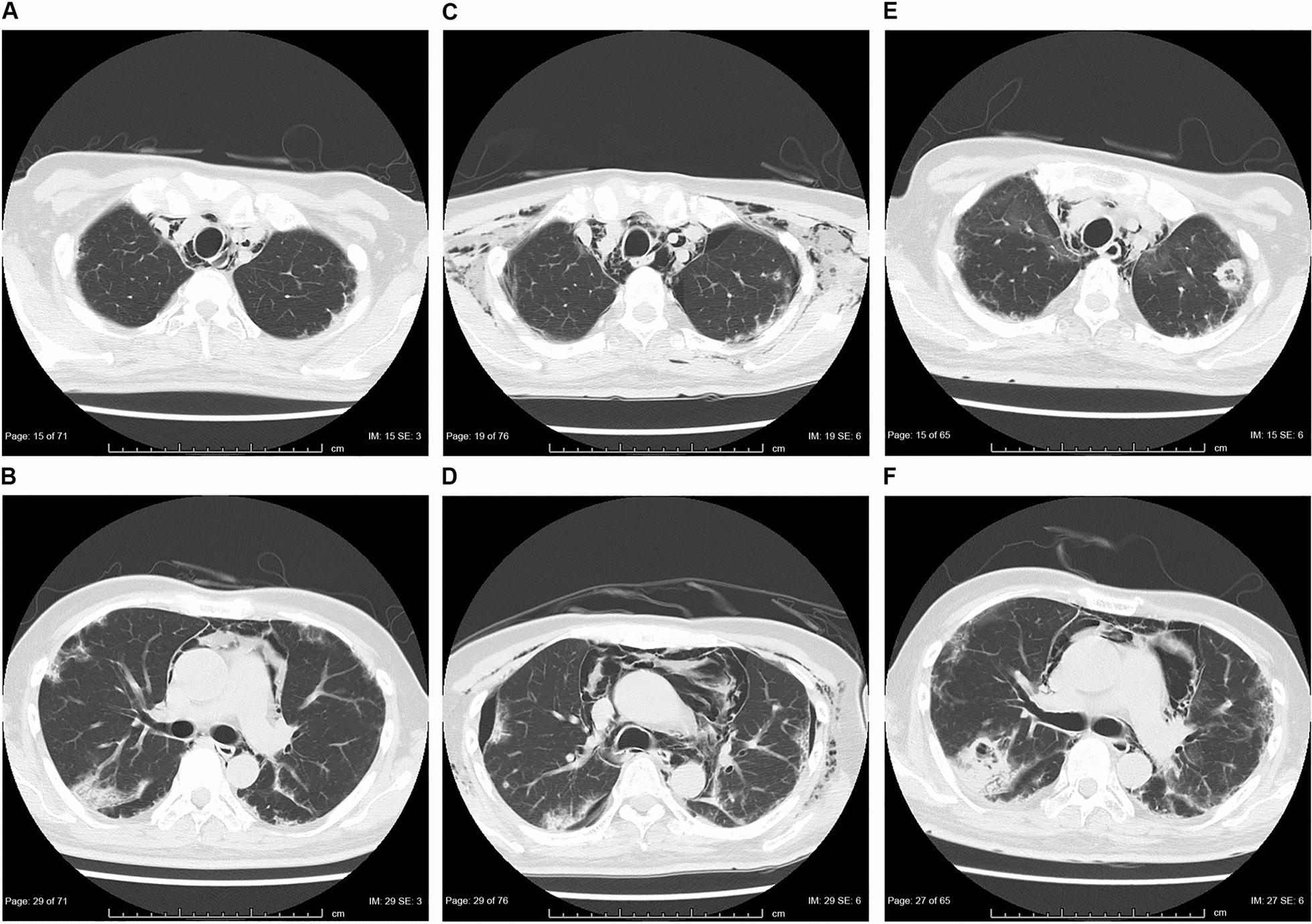
A 52-year-old Asian male patient presented with a chief complaint of dyspnea on exertion. He had a typical skin rash and rapidly progressive interstitial pneumonia. Additionally, anti-melanoma differentiation-associated gene 5 antibodies were detected; therefore, he was diagnosed with dermatomyositis-associated interstitial pneumonia. Respiratory failure worsened despite administering steroid pulse therapy, tacrolimus, and cyclophosphamide. Consequently, plasma exchange was performed on day 13 of admission. After a slight improvement, the patient's respiratory failure worsened. Thus, cyclophosphamide was replaced by tofacitinib on day 28. Although respiratory failure improved and the progression of interstitial pneumonia seemed under control, βD-glucan level increased and Aspergillus antigen was detected on day 49. Micafungin and voriconazole were administered, but the patient succumbed to worsening respiratory failure on day 61. The pathological autopsy revealed multiple nodular lesions with cavity formation in both lungs and the presence of Aspergillus with severe neutrophilic infiltration and necrosis, which supported the diagnosis of invasive pulmonary aspergillosis.

CONCLUSION

The patient with anti-melanoma differentiation-associated gene 5 antibody-related rapidly progressive interstitial lung disease, whose disease was difficult to control after the administration of triple immunosuppressive therapy (steroids, tacrolimus, and cyclophosphamide), showed good response with tofacitinib. Unfortunately, the patient died of invasive pulmonary aspergillosis owing to severe immunosuppression; thus, the signs of complications should be promptly detected.

摘要

背景

临床无肌病性皮肌炎的特征是皮肤症状,但缺乏肌肉症状。抗黑色素瘤分化相关基因 5 抗体在日本临床无肌病性皮肌炎患者中经常发现。具有阳性抗黑色素瘤分化相关基因 5 抗体的快速进展性间质性肺病患者预后较差,大多数患者接受联合免疫抑制治疗;然而,最佳治疗方法仍有待确定。

病例介绍

一名 52 岁亚洲男性患者以活动后呼吸困难为主诉就诊。他有典型的皮疹和快速进展性间质性肺炎。此外,检测到抗黑色素瘤分化相关基因 5 抗体;因此,他被诊断为皮肌炎相关间质性肺炎。尽管给予了类固醇脉冲治疗、他克莫司和环磷酰胺,但呼吸衰竭仍在恶化。因此,在入院第 13 天进行了血浆置换。在稍有改善后,患者的呼吸衰竭恶化。因此,在入院第 28 天将环磷酰胺替换为托法替尼。尽管呼吸衰竭得到改善,间质性肺炎的进展似乎得到控制,但β-D-葡聚糖水平升高,第 49 天检测到曲霉菌抗原。给予米卡芬净和伏立康唑,但患者在第 61 天因呼吸衰竭恶化而死亡。病理尸检显示双肺多个结节状病变伴空洞形成,存在曲霉菌,严重中性粒细胞浸润和坏死,支持侵袭性肺曲霉病的诊断。

结论

该患者具有抗黑色素瘤分化相关基因 5 抗体相关的快速进展性间质性肺病,在接受三联免疫抑制治疗(类固醇、他克莫司和环磷酰胺)后疾病难以控制,使用托法替尼后反应良好。不幸的是,由于严重的免疫抑制,患者死于侵袭性肺曲霉病;因此,应及时发现并发症的迹象。

https://cdn.ncbi.nlm.nih.gov/pmc/blobs/d00b/11438172/479bf726129f/13256_2024_4793_Fig4_HTML.jpg
https://cdn.ncbi.nlm.nih.gov/pmc/blobs/d00b/11438172/922226349ff3/13256_2024_4793_Fig1_HTML.jpg
https://cdn.ncbi.nlm.nih.gov/pmc/blobs/d00b/11438172/b7747c638102/13256_2024_4793_Fig2_HTML.jpg
https://cdn.ncbi.nlm.nih.gov/pmc/blobs/d00b/11438172/ae73ec312397/13256_2024_4793_Fig3_HTML.jpg
https://cdn.ncbi.nlm.nih.gov/pmc/blobs/d00b/11438172/479bf726129f/13256_2024_4793_Fig4_HTML.jpg
https://cdn.ncbi.nlm.nih.gov/pmc/blobs/d00b/11438172/922226349ff3/13256_2024_4793_Fig1_HTML.jpg
https://cdn.ncbi.nlm.nih.gov/pmc/blobs/d00b/11438172/b7747c638102/13256_2024_4793_Fig2_HTML.jpg
https://cdn.ncbi.nlm.nih.gov/pmc/blobs/d00b/11438172/ae73ec312397/13256_2024_4793_Fig3_HTML.jpg
https://cdn.ncbi.nlm.nih.gov/pmc/blobs/d00b/11438172/479bf726129f/13256_2024_4793_Fig4_HTML.jpg

相似文献

1
Management of anti-melanoma differentiation-associated gene 5 antibody-induced refractory dermatomyositis complicated by interstitial pneumonia using tofacitinib and its outcomes: a case report.抗黑色素瘤分化相关基因 5 抗体诱导的难治性皮肌炎并发间质性肺病采用托法替布治疗及其结局:一例报告。
J Med Case Rep. 2024 Sep 28;18(1):471. doi: 10.1186/s13256-024-04793-9.
2
Anti-MDA5 Antibody-positive Clinically Amyopathic Dermatomyositis with Rapidly Progressing Interstitial Lung Disease Successfully Treated by Initiation of Combined Immunosuppressive Therapy Plus Plasma Exchange and Subsequently Switching Tacrolimus to Tofacitinib.抗MDA5抗体阳性的临床无肌病性皮肌炎合并快速进展性间质性肺病,通过启动联合免疫抑制治疗加血浆置换,随后将他克莫司换为托法替布成功治疗。
Intern Med. 2024 Sep 15;63(18):2571-2578. doi: 10.2169/internalmedicine.2915-23. Epub 2024 Feb 12.
3
Successful dose escalation of tofacitinib for refractory dermatomyositis and interstitial lung disease with anti-melanoma differentiation-associated gene 5 antibodies.成功地增加托法替尼剂量治疗抗黑色素瘤分化相关基因 5 抗体相关的难治性皮肌炎和间质性肺病。
Mod Rheumatol Case Rep. 2021 Jan;5(1):76-81. doi: 10.1080/24725625.2020.1816674. Epub 2020 Sep 14.
4
Fatal outcome of anti-MDA5 juvenile dermatomyositis in a paediatric COVID-19 patient: a case report.一名儿童COVID-19患者中抗MDA5型幼年皮肌炎的致命结局:病例报告
Mod Rheumatol Case Rep. 2021 Jan;5(1):101-107. doi: 10.1080/24725625.2020.1832755. Epub 2020 Oct 20.
5
Successful treatment with tofacitinib for anti-melanoma differentiation-associated gene 5 antibody-positive juvenile dermatomyositis: case reports and review of the literature.托法替尼治疗抗黑色素瘤分化相关基因 5 抗体阳性的青少年皮肌炎的成功治疗:病例报告及文献复习。
Immunol Med. 2024 Jun;47(2):110-117. doi: 10.1080/25785826.2024.2336687. Epub 2024 Apr 1.
6
Fatal and extensive multiorgan hemorrhages in anti-melanoma differentiation-associated gene 5 antibody-positive dermatomyositis: An autopsy case report.抗黑色素瘤分化相关基因5抗体阳性皮肌炎中的致死性广泛性多器官出血:一例尸检病例报告
Medicine (Baltimore). 2020 Jan;99(3):e18600. doi: 10.1097/MD.0000000000018600.
7
A case of autoimmune pulmonary alveolar proteinosis during the course of treatment of rapidly progressive interstitial pneumonia associated with anti-MDA5 antibody-positive dermatomyositis.抗 MDA5 抗体阳性皮肌炎相关快速进展性间质性肺炎治疗过程中并发自身免疫性肺泡蛋白沉积症 1 例
BMC Pulm Med. 2024 Apr 8;24(1):170. doi: 10.1186/s12890-024-02989-9.
8
Tofacitinib for recurrence of antimelanoma differentiation-associated gene 5 antibody-positive clinically amyopathic dermatomyositis after remission: A case report.托法替布用于抗黑色素瘤分化相关基因5抗体阳性临床无肌病性皮肌炎缓解后复发:一例报告
Medicine (Baltimore). 2020 Sep 11;99(37):e21943. doi: 10.1097/MD.0000000000021943.
9
Tofacitinib for refractory interstitial lung diseases in anti-melanoma differentiation-associated 5 gene antibody-positive dermatomyositis.托法替布治疗抗黑色素瘤分化相关 5 基因抗体阳性皮肌炎的难治性间质性肺病。
Rheumatology (Oxford). 2018 Dec 1;57(12):2114-2119. doi: 10.1093/rheumatology/key188.
10
Recurrence of anti-MDA5 antibody-positive clinically amyopathic dermatomyositis after long-term remission: A case report.抗MDA5抗体阳性临床无肌病性皮肌炎长期缓解后复发:一例报告
Medicine (Baltimore). 2018 Jun;97(26):e11024. doi: 10.1097/MD.0000000000011024.

本文引用的文献

1
Chronic Pulmonary Aspergillosis During Convalescence From Severe COVID-19 Treated With Oral Itraconazole: A Report of Two Cases.口服伊曲康唑治疗重症 COVID-19 康复期慢性肺曲霉病:两例报告
Cureus. 2022 Jul 26;14(7):e27281. doi: 10.7759/cureus.27281. eCollection 2022 Jul.
2
Combination Therapy with Rituximab, Tofacitinib and Pirfenidone in a Patient with Rapid Progressive Interstitial Lung Disease (RP-ILD) Due to MDA5 Antibody-Associated Dermatomyositis: A Case Report.利妥昔单抗、托法替布和吡非尼酮联合治疗 MDA5 抗体相关性皮肌炎致快速进展性间质性肺病:病例报告。
Medicina (Kaunas). 2021 Dec 13;57(12):1358. doi: 10.3390/medicina57121358.
3
Dermatomyositis With Anti-MDA5 Antibodies: Bioclinical Features, Pathogenesis and Emerging Therapies.
抗 MDA5 抗体相关性皮肌炎:生物临床特征、发病机制和新兴治疗方法。
Front Immunol. 2021 Oct 20;12:773352. doi: 10.3389/fimmu.2021.773352. eCollection 2021.
4
Understanding and managing anti-MDA 5 dermatomyositis, including potential COVID-19 mimicry.理解和管理抗 MDA5 皮肌炎,包括潜在的 COVID-19 模拟。
Rheumatol Int. 2021 Jun;41(6):1021-1036. doi: 10.1007/s00296-021-04819-1. Epub 2021 Mar 27.
5
JAK Inhibitors: Prospects in Connective Tissue Diseases.JAK 抑制剂:在结缔组织疾病中的前景。
Clin Rev Allergy Immunol. 2020 Dec;59(3):334-351. doi: 10.1007/s12016-020-08786-6.
6
Multicenter Prospective Study of the Efficacy and Safety of Combined Immunosuppressive Therapy With High-Dose Glucocorticoid, Tacrolimus, and Cyclophosphamide in Interstitial Lung Diseases Accompanied by Anti-Melanoma Differentiation-Associated Gene 5-Positive Dermatomyositis.多中心前瞻性研究大剂量糖皮质激素、他克莫司和环磷酰胺联合免疫抑制治疗伴抗黑色素瘤分化相关基因 5 阳性皮肌炎的间质性肺病的疗效和安全性。
Arthritis Rheumatol. 2020 Mar;72(3):488-498. doi: 10.1002/art.41105. Epub 2020 Jan 27.
7
Tofacitinib in Amyopathic Dermatomyositis-Associated Interstitial Lung Disease.托法替布治疗无肌病性皮肌炎相关间质性肺疾病
N Engl J Med. 2019 Jul 18;381(3):291-293. doi: 10.1056/NEJMc1900045.
8
Tofacitinib for refractory interstitial lung diseases in anti-melanoma differentiation-associated 5 gene antibody-positive dermatomyositis.托法替布治疗抗黑色素瘤分化相关 5 基因抗体阳性皮肌炎的难治性间质性肺病。
Rheumatology (Oxford). 2018 Dec 1;57(12):2114-2119. doi: 10.1093/rheumatology/key188.
9
Successful treatment of plasma exchange for rapidly progressive interstitial lung disease with anti-MDA5 antibody-positive dermatomyositis: A case report.血浆置换成功治疗抗MDA5抗体阳性皮肌炎合并快速进展性间质性肺病:一例报告
Medicine (Baltimore). 2018 Apr;97(15):e0436. doi: 10.1097/MD.0000000000010436.
10
Effective Administration of Rituximab in Anti-MDA5 Antibody-Positive Dermatomyositis with Rapidly Progressive Interstitial Lung Disease and Refractory Cutaneous Involvement: A Case Report and Literature Review.利妥昔单抗有效治疗抗MDA5抗体阳性皮肌炎伴快速进展性间质性肺病及难治性皮肤受累:一例报告及文献综述
Case Rep Rheumatol. 2017;2017:5386797. doi: 10.1155/2017/5386797. Epub 2017 Oct 31.