• 文献检索
  • 文档翻译
  • 深度研究
  • 学术资讯
  • Suppr Zotero 插件Zotero 插件
  • 邀请有礼
  • 套餐&价格
  • 历史记录
应用&插件
Suppr Zotero 插件Zotero 插件浏览器插件Mac 客户端Windows 客户端微信小程序
定价
高级版会员购买积分包购买API积分包
服务
文献检索文档翻译深度研究API 文档MCP 服务
关于我们
关于 Suppr公司介绍联系我们用户协议隐私条款
关注我们

Suppr 超能文献

核心技术专利:CN118964589B侵权必究
粤ICP备2023148730 号-1Suppr @ 2026

文献检索

告别复杂PubMed语法,用中文像聊天一样搜索,搜遍4000万医学文献。AI智能推荐,让科研检索更轻松。

立即免费搜索

文件翻译

保留排版,准确专业,支持PDF/Word/PPT等文件格式,支持 12+语言互译。

免费翻译文档

深度研究

AI帮你快速写综述,25分钟生成高质量综述,智能提取关键信息,辅助科研写作。

立即免费体验

转移性髓样甲状腺癌表现为后纵隔意外肿块。

Metastatic Medullary Thyroid Carcinoma Presenting as an Incidental Posterior Mediastinal Mass.

作者信息

Goldberg Chaya, Diaz DeAnna, Brandler Tamar

机构信息

Rutgers Robert Wood Johnson, New Brunswick, New Jersey, USA.

出版信息

Cytopathology. 2025 Jan;36(1):71-74. doi: 10.1111/cyt.13449. Epub 2024 Sep 27.

DOI:10.1111/cyt.13449
PMID:39334533
原文链接:https://pmc.ncbi.nlm.nih.gov/articles/PMC11632166/
Abstract

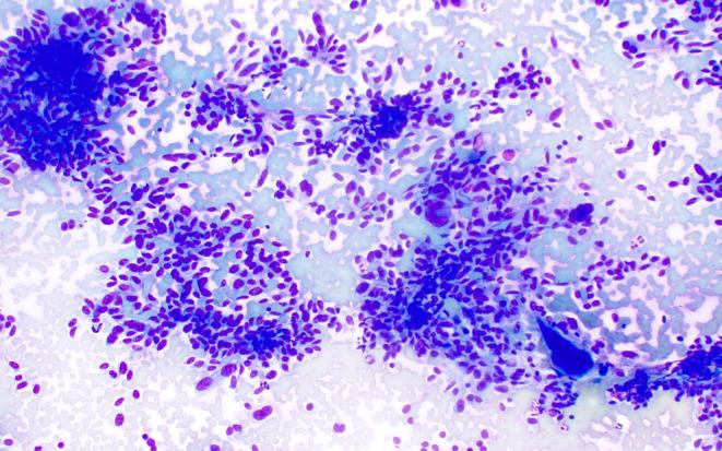
Medullary thyroid carcinoma (MTC) is an uncommon neuroendocrine tumour that is usually asymptomatic at its onset and therefore may not present clinically until the patient has developed advanced or metastatic disease. Common metastatic sites include cervical lymph nodes, liver, bone and lung. This is the case of a patient who presented with an incidental posterior mediastinal mass. Because the posterior mediastinum is an unusual location for MTC, MTC was not a consideration and preliminary histopathological testing did not include calcitonin, which would have been diagnostic. This case highlights the importance of testing for calcitonin more regularly when encountering a mass of unknown origin with neuroendocrine morphology, which may lead to earlier detection of MTC and thus improved prognosis.

摘要

甲状腺髓样癌(MTC)是一种罕见的神经内分泌肿瘤,起病时通常无症状,因此在患者出现晚期或转移性疾病之前可能不会出现临床症状。常见的转移部位包括颈部淋巴结、肝脏、骨骼和肺部。本文报道了一例患者,其偶然发现后纵隔肿块。由于后纵隔是MTC的不常见部位,因此未考虑MTC,初步组织病理学检查未包括降钙素,而降钙素本可用于诊断。该病例强调了在遇到具有神经内分泌形态的不明来源肿块时更常规地检测降钙素的重要性,这可能导致MTC的早期发现,从而改善预后。

https://cdn.ncbi.nlm.nih.gov/pmc/blobs/5d67/11632166/92cc3292f1b8/CYT-36-71-g004.jpg
https://cdn.ncbi.nlm.nih.gov/pmc/blobs/5d67/11632166/75b934a73aee/CYT-36-71-g002.jpg
https://cdn.ncbi.nlm.nih.gov/pmc/blobs/5d67/11632166/091ea51565c7/CYT-36-71-g007.jpg
https://cdn.ncbi.nlm.nih.gov/pmc/blobs/5d67/11632166/24036af189b5/CYT-36-71-g005.jpg
https://cdn.ncbi.nlm.nih.gov/pmc/blobs/5d67/11632166/14a201b24257/CYT-36-71-g003.jpg
https://cdn.ncbi.nlm.nih.gov/pmc/blobs/5d67/11632166/9d2bd5066b2a/CYT-36-71-g006.jpg
https://cdn.ncbi.nlm.nih.gov/pmc/blobs/5d67/11632166/e4dc19a26bf7/CYT-36-71-g001.jpg
https://cdn.ncbi.nlm.nih.gov/pmc/blobs/5d67/11632166/92cc3292f1b8/CYT-36-71-g004.jpg
https://cdn.ncbi.nlm.nih.gov/pmc/blobs/5d67/11632166/75b934a73aee/CYT-36-71-g002.jpg
https://cdn.ncbi.nlm.nih.gov/pmc/blobs/5d67/11632166/091ea51565c7/CYT-36-71-g007.jpg
https://cdn.ncbi.nlm.nih.gov/pmc/blobs/5d67/11632166/24036af189b5/CYT-36-71-g005.jpg
https://cdn.ncbi.nlm.nih.gov/pmc/blobs/5d67/11632166/14a201b24257/CYT-36-71-g003.jpg
https://cdn.ncbi.nlm.nih.gov/pmc/blobs/5d67/11632166/9d2bd5066b2a/CYT-36-71-g006.jpg
https://cdn.ncbi.nlm.nih.gov/pmc/blobs/5d67/11632166/e4dc19a26bf7/CYT-36-71-g001.jpg
https://cdn.ncbi.nlm.nih.gov/pmc/blobs/5d67/11632166/92cc3292f1b8/CYT-36-71-g004.jpg

相似文献

1
Metastatic Medullary Thyroid Carcinoma Presenting as an Incidental Posterior Mediastinal Mass.转移性髓样甲状腺癌表现为后纵隔意外肿块。
Cytopathology. 2025 Jan;36(1):71-74. doi: 10.1111/cyt.13449. Epub 2024 Sep 27.
2
Rare presentation of occult medullary carcinoma of the thyroid as a mediastinal mass.甲状腺隐匿性髓样癌罕见表现为纵隔肿块。
Hormones (Athens). 2012 Apr-Jun;11(2):210-4. doi: 10.14310/horm.2002.1350.
3
Unusual Presentation of Metastatic Medullary Thyroid Cancer Involving Bone Marrow, Kidneys, and Adrenal Gland: A Literature Review Based on a Case Report.骨髓、肾脏和肾上腺转移性腺样甲状腺癌的罕见表现:基于病例报告的文献复习。
Cancer Rep (Hoboken). 2024 Oct;7(10):e70022. doi: 10.1002/cnr2.70022.
4
Expression of somatostatin receptor 2A in medullary thyroid carcinoma is associated with lymph node metastasis.甲状腺髓样癌中生长抑素受体2A的表达与淋巴结转移相关。
APMIS. 2016 Oct;124(10):839-45. doi: 10.1111/apm.12584. Epub 2016 Aug 19.
5
F-18-Dopa Positron Emission Tomography/Computed Tomography Is More Sensitive Than Whole-Body Magnetic Resonance Imaging for the Localization of Persistent/Recurrent Disease of Medullary Thyroid Cancer Patients.F-18-多巴正电子发射断层扫描/计算机断层扫描比全身磁共振成像更敏感,可用于定位持续性/复发性甲状腺髓样癌患者的疾病。
Thyroid. 2019 Oct;29(10):1457-1464. doi: 10.1089/thy.2018.0351.
6
Unusual gastric mucosal infiltration by a medullary thyroid carcinoma: a case report.髓样甲状腺癌罕见的胃黏膜浸润:一例报告
J Med Case Rep. 2016 Jul 27;10:208. doi: 10.1186/s13256-016-0981-9.
7
Clinical and pathological analysis of 19 cases of medullary thyroid carcinoma without an increase in calcitonin.19例降钙素无升高的甲状腺髓样癌临床及病理分析
Exp Toxicol Pathol. 2017 Oct 2;69(8):575-579. doi: 10.1016/j.etp.2017.05.003. Epub 2017 May 25.
8
Serum Calcitonin-Negative Medullary Thyroid Carcinoma: A Case Series of 19 Patients in a Single Center.血清降钙素阴性髓样甲状腺癌:单中心 19 例患者的病例系列。
Front Endocrinol (Lausanne). 2021 Nov 5;12:747704. doi: 10.3389/fendo.2021.747704. eCollection 2021.
9
Diagnosis and pathologic characteristics of medullary thyroid carcinoma-review of current guidelines.甲状腺髓样癌的诊断与病理特征——现行指南综述
Curr Oncol. 2019 Oct;26(5):338-344. doi: 10.3747/co.26.5539. Epub 2019 Oct 1.
10
Ultrasonographic Features of Medullary Thyroid Carcinoma: Do they Correlate with Pre and PostOperative Calcitonin Levels?甲状腺髓样癌的超声特征:它们与术前和术后降钙素水平相关吗?
Asian Pac J Cancer Prev. 2016;17(7):3357-62.

本文引用的文献

1
Preoperative neck ultrasound combined with pathological data can significantly impact the outcome of medullary thyroid carcinoma.术前颈部超声联合病理数据可显著影响甲状腺髓样癌的预后。
Endocr J. 2023 Nov 28;70(11):1061-1067. doi: 10.1507/endocrj.EJ23-0273. Epub 2023 Sep 9.
2
Medullary thyroid carcinoma.甲状腺髓样癌
Expert Rev Anticancer Ther. 2023 Jul-Dec;23(9):943-957. doi: 10.1080/14737140.2023.2247566. Epub 2023 Aug 30.
3
A Comprehensive Review on Neuroendocrine Neoplasms: Presentation, Pathophysiology and Management.
神经内分泌肿瘤综述:临床表现、病理生理学与管理
J Clin Med. 2023 Aug 5;12(15):5138. doi: 10.3390/jcm12155138.
4
Diagnostic approach for mediastinal masses with radiopathological correlation.具有放射病理学相关性的纵隔肿块诊断方法
Eur J Radiol. 2023 May;162:110767. doi: 10.1016/j.ejrad.2023.110767. Epub 2023 Mar 11.
5
Diagnostic tests for medullary thyroid carcinoma: an umbrella review.甲状腺髓样癌的诊断检测:伞式综述。
Endocrine. 2023 Aug;81(2):183-193. doi: 10.1007/s12020-023-03326-6. Epub 2023 Mar 6.
6
Atypical Presentation of a Medullary Thyroid Carcinoma Producing Acth and Serotonin.产生促肾上腺皮质激素和血清素的甲状腺髓样癌的非典型表现。
Case Rep Oncol. 2019 Sep 27;12(3):742-748. doi: 10.1159/000502856. eCollection 2019 Sep-Dec.
7
Management of Medullary Thyroid Cancer.甲状腺髓样癌的治疗。
Endocrinol Metab Clin North Am. 2019 Mar;48(1):285-301. doi: 10.1016/j.ecl.2018.11.006. Epub 2018 Dec 26.
8
Advances in the Diagnosis and Management of Well-Differentiated and Intermediate-Differentiated Neuroendocrine Tumors of the Lung.肺高分化和中分化神经内分泌肿瘤的诊断与管理进展
Chest. 2017 May;151(5):1141-1146. doi: 10.1016/j.chest.2016.06.018. Epub 2016 Jun 29.
9
Thyroid cancer: ESMO Clinical Practice Guidelines for diagnosis, treatment and follow-up.甲状腺癌:ESMO 诊断、治疗及随访临床实践指南
Ann Oncol. 2012 Oct;23 Suppl 7:vii110-9. doi: 10.1093/annonc/mds230.
10
Medullary thyroid cancer: management guidelines of the American Thyroid Association.甲状腺髓样癌:美国甲状腺协会管理指南
Thyroid. 2009 Jun;19(6):565-612. doi: 10.1089/thy.2008.0403.