Suppr超能文献

新西兰无毛猫肥厚型心肌病及ALMS1变异的患病率

Prevalence of Hypertrophic Cardiomyopathy and ALMS1 Variant in Sphynx Cats in New Zealand.

作者信息

Seo Joonbum, Loh Yvonne, Connolly David J, Luis Fuentes Virginia, Dutton Emily, Hunt Hayley, Munday John S

机构信息

School of Veterinary Science, Massey University, Palmerston North 4442, New Zealand.

Animal Referral Centre (ARC Central), 8 Hereford Street, Freemans Bay, Auckland 1011, New Zealand.

出版信息

Animals (Basel). 2024 Sep 10;14(18):2629. doi: 10.3390/ani14182629.

Abstract

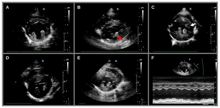
Recently, hypertrophic cardiomyopathy (HCM) in Sphynx cats has been associated with a variant in the gene encoding Alström syndrome protein 1 (ALMS1). The primary aims of this study were to describe the prevalence of HCM in Sphynx cats in New Zealand, and to assess the association between HCM and the ALMS1 variant in this population. In this prospective study, 55 apparently healthy Sphynx cats from registered Sphynx breeders and pet owners in New Zealand were screened by a cardiologist. A total of 42 of these cats had a repeat cardiac examination after median 1.8 years (range: 1.6-2.2). The frequency of the ALMS1 variant was 70.9% (11 homozygous and 28 heterozygous). At the median age of 5.8 years (range: 2.4-13.1), the prevalence of HCM was 40% (20 out of 55 cats). Three cats with HCM died during the study with congestive heart failure. All three cats had focal but extensive myocardial ischemia or infarction at necropsy. The ALMS1 variant was not associated with the HCM diagnosis. In summary, HCM was common in the studied cohort, suggesting Sphynx cats are predisposed to this disease. While the ALMS1 variant was also frequently detected, it was not associated with HCM in this population.

摘要

最近,无毛猫的肥厚型心肌病(HCM)与编码阿尔斯特伦综合征蛋白1(ALMS1)的基因变异有关。本研究的主要目的是描述新西兰无毛猫中HCM的患病率,并评估该人群中HCM与ALMS1变异之间的关联。在这项前瞻性研究中,一位心脏病专家对来自新西兰注册无毛猫繁育者和宠物主人的55只看似健康的无毛猫进行了筛查。其中共有42只猫在中位时间1.8年(范围:1.6 - 2.2年)后接受了重复心脏检查。ALMS1变异的频率为70.9%(11只纯合子和28只杂合子)。在中位年龄5.8岁(范围:2.4 - 13.1岁)时,HCM的患病率为40%(55只猫中有20只)。三只患有HCM的猫在研究期间死于充血性心力衰竭。所有三只猫在尸检时均有局灶性但广泛的心肌缺血或梗死。ALMS1变异与HCM诊断无关。总之,HCM在研究队列中很常见,表明无毛猫易患这种疾病。虽然也经常检测到ALMS1变异,但在该人群中它与HCM无关。

https://cdn.ncbi.nlm.nih.gov/pmc/blobs/4e69/11428990/1e88b76d4c2b/animals-14-02629-g001.jpg

文献检索

告别复杂PubMed语法,用中文像聊天一样搜索,搜遍4000万医学文献。AI智能推荐,让科研检索更轻松。

立即免费搜索

文件翻译

保留排版,准确专业,支持PDF/Word/PPT等文件格式,支持 12+语言互译。

免费翻译文档

深度研究

AI帮你快速写综述,25分钟生成高质量综述,智能提取关键信息,辅助科研写作。

立即免费体验