Suppr超能文献

TLR 表达揭示了 感染后的差异反应。

Toll-like Receptor Expression in Reveals Differential Responses after Infection.

机构信息

College of Aquaculture, Hunan Agricultural University, Changsha 410128, China.

Department of Animal Science and Technology, Hunan Biological and Electromechanical Polytechnic, Changsha 410127, China.

出版信息

Genes (Basel). 2024 Sep 20;15(9):1230. doi: 10.3390/genes15091230.

Abstract

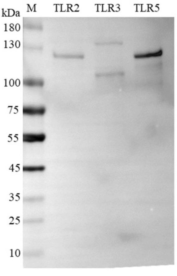
: Toll-like receptor (TLR), as an important pattern recognition receptor, is a bridge between non-specific immunity and specific immunity, and plays a vital role in the disease resistance of aquatic animals. However, the function of TLR in is still unclear. : The sequence characteristics and homology of three TLRs , and ) were determined in this investigation. Their annotation and orthologies were supported by phylogenetic analysis, functional domain prediction, and sequence similarity analysis. qPCR showed that the identified TLRs were expressed in all tissues, among the high expression of in the brain and liver and the high expression of and in the liver. mRNA expression increased 6.7-fold in the liver 12 h after infection, while the mRNA expression of was down-regulated by 0.29 times in liver and 0.31 times in spleen. The mRNA expression of was significantly up-regulated in four immune tissues, and it was up-regulated by 122.8 times in the spleen after 72 h infection. Finally, the recombinant proteins of extracellular LRR domains of these three TLRs were obtained by prokaryotic expression technology, and the binding tests were performed to discover their ability of binding pathogenic microorganisms. Microbial binding test showed that rPsTLR2, rPsTLR3 and rPsTLR5 can combine , , , , and , while rPsTLR3 can bind , , and . : Our findings suggested that TLRs may be crucial to turtles' innate immune response against microbes.

摘要

: 模式识别受体(TLR)作为一种重要的模式识别受体,是固有免疫和特异性免疫之间的桥梁,在水生动物的抗病性中起着至关重要的作用。然而,TLR 在 中的功能尚不清楚。 : 本研究旨在确定三种 TLRs ( 、 和 )的序列特征和同源性。通过系统进化分析、功能域预测和序列相似性分析,对其进行注释和直系同源分析。qPCR 结果显示,鉴定的 TLRs 在所有组织中均有表达,其中 在大脑和肝脏中高表达, 和 在肝脏中高表达。 感染后 12 h 肝脏中 mRNA 表达水平上调 6.7 倍,而肝脏中 mRNA 表达下调 0.29 倍,脾脏中下调 0.31 倍。 、 和 在四个免疫组织中的 mRNA 表达显著上调,感染 72 h 后脾脏中上调 122.8 倍。最后,通过原核表达技术获得了这三种 TLR 细胞外 LRR 结构域的重组蛋白,并进行了结合试验以发现它们与病原体结合的能力。微生物结合试验表明,rPsTLR2、rPsTLR3 和 rPsTLR5 可以与 、 、 、 、 和 结合,而 rPsTLR3 可以与 、 、 和 结合。 : 我们的研究结果表明,TLR 可能在龟类先天免疫抵抗微生物中起关键作用。

https://cdn.ncbi.nlm.nih.gov/pmc/blobs/fd76/11431187/a9185f4d7a6f/genes-15-01230-g001.jpg

文献AI研究员

20分钟写一篇综述,助力文献阅读效率提升50倍。

立即体验

用中文搜PubMed

大模型驱动的PubMed中文搜索引擎

马上搜索

文档翻译

学术文献翻译模型,支持多种主流文档格式。

立即体验