• 文献检索
  • 文档翻译
  • 深度研究
  • 学术资讯
  • Suppr Zotero 插件Zotero 插件
  • 邀请有礼
  • 套餐&价格
  • 历史记录
应用&插件
Suppr Zotero 插件Zotero 插件浏览器插件Mac 客户端Windows 客户端微信小程序
定价
高级版会员购买积分包购买API积分包
服务
文献检索文档翻译深度研究API 文档MCP 服务
关于我们
关于 Suppr公司介绍联系我们用户协议隐私条款
关注我们

Suppr 超能文献

核心技术专利:CN118964589B侵权必究
粤ICP备2023148730 号-1Suppr @ 2026

文献检索

告别复杂PubMed语法,用中文像聊天一样搜索,搜遍4000万医学文献。AI智能推荐,让科研检索更轻松。

立即免费搜索

文件翻译

保留排版,准确专业,支持PDF/Word/PPT等文件格式,支持 12+语言互译。

免费翻译文档

深度研究

AI帮你快速写综述,25分钟生成高质量综述,智能提取关键信息,辅助科研写作。

立即免费体验

长链非编码 RNA 通过 TPI1 和 PKM2 促进 GBM 自我更新和化疗耐药性。

LncRNA-Mediated TPI1 and PKM2 Promote Self-Renewal and Chemoresistance in GBM.

机构信息

Department of Neurosurgery, The Second Affiliated Hospital of Harbin Medical University, Harbin, 150086, China.

Future Medical Laboratory, The Second Affiliated Hospital of Harbin Medical University, Harbin, 150086, China.

出版信息

Adv Sci (Weinh). 2024 Nov;11(44):e2402600. doi: 10.1002/advs.202402600. Epub 2024 Sep 28.

DOI:10.1002/advs.202402600
PMID:39342418
原文链接:https://pmc.ncbi.nlm.nih.gov/articles/PMC11600202/
Abstract

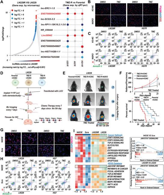
Temozolomide (TMZ) resistance is one of the major reasons for poor prognosis in patients with glioblastoma (GBM). Long noncoding RNAs (lncRNAs) are involved in multiple biological processes, including TMZ resistance. Linc00942 is a potential regulator of TMZ sensitivity in GBM cells is shown previously. However, the underlying mechanism of TMZ resistance induced by Linc00942 is unknown. In this study, the sequence of Linc00942 by rapid amplification of cDNA ends assay in TMZ-resistant GBM cells is identified and confirmed that Linc00942 contributes to self-renewal and TMZ resistance in GBM cells. Chromatin isolation by RNA purification followed by mass spectrometry (ChIRP-MS) and followed by Western blotting (ChIRP-WB) assays shows that Linc00492 interacted with TPI1 and PKM2, subsequently promoting their phosphorylation, dimerization, and nuclear translocation. The interaction of Linc00942 with TPI1 and PKM2 leads to increased acetylation of H3K4 and activation of the STAT3/P300 axis, resulting in the marked transcriptional activation of SOX9. Moreover, the knockdown of SOX9 reversed TMZ resistance induced by Linc00492 both in vitro and in vivo. In summary, Linc00942 strongly promotes SOX9 expression by interacting with TPI1 and PKM2 is found, thereby driving self-renewal and TMZ resistance in GBM cells. These findings suggest potential combined therapeutic strategies to overcome TMZ resistance in patients with GBM.

摘要

替莫唑胺(TMZ)耐药是胶质母细胞瘤(GBM)患者预后不良的主要原因之一。长链非编码 RNA(lncRNA)参与包括 TMZ 耐药在内的多种生物学过程。先前已经表明,Linc00942 是 GBM 细胞中 TMZ 敏感性的潜在调节因子。然而,Linc00942 诱导 TMZ 耐药的潜在机制尚不清楚。在这项研究中,通过快速扩增 cDNA 末端测定法在 TMZ 耐药性 GBM 细胞中鉴定出 Linc00942 的序列,并证实 Linc00942 有助于 GBM 细胞的自我更新和 TMZ 耐药性。RNA 纯化后染色质免疫沉淀测序(ChIRP-MS)和随后的 Western blot(ChIRP-WB)分析表明,Linc00942 与 TPI1 和 PKM2 相互作用,随后促进它们的磷酸化、二聚化和核易位。Linc00942 与 TPI1 和 PKM2 的相互作用导致 H3K4 的乙酰化增加和 STAT3/P300 轴的激活,从而导致 SOX9 的转录明显激活。此外,SOX9 的敲低在体外和体内均逆转了由 Linc00492 诱导的 TMZ 耐药性。总之,Linc00942 通过与 TPI1 和 PKM2 相互作用强烈促进 SOX9 的表达,从而驱动 GBM 细胞的自我更新和 TMZ 耐药性。这些发现表明,针对 Linc00942 的联合治疗策略可能克服 GBM 患者的 TMZ 耐药性。

https://cdn.ncbi.nlm.nih.gov/pmc/blobs/9259/11600202/d4a4feebd314/ADVS-11-2402600-g004.jpg
https://cdn.ncbi.nlm.nih.gov/pmc/blobs/9259/11600202/329cf7a51746/ADVS-11-2402600-g008.jpg
https://cdn.ncbi.nlm.nih.gov/pmc/blobs/9259/11600202/eab159940c65/ADVS-11-2402600-g007.jpg
https://cdn.ncbi.nlm.nih.gov/pmc/blobs/9259/11600202/cc59e3e5ceb3/ADVS-11-2402600-g005.jpg
https://cdn.ncbi.nlm.nih.gov/pmc/blobs/9259/11600202/feb81d757d2e/ADVS-11-2402600-g001.jpg
https://cdn.ncbi.nlm.nih.gov/pmc/blobs/9259/11600202/707e018a6858/ADVS-11-2402600-g003.jpg
https://cdn.ncbi.nlm.nih.gov/pmc/blobs/9259/11600202/649fd764a2de/ADVS-11-2402600-g002.jpg
https://cdn.ncbi.nlm.nih.gov/pmc/blobs/9259/11600202/d4a4feebd314/ADVS-11-2402600-g004.jpg
https://cdn.ncbi.nlm.nih.gov/pmc/blobs/9259/11600202/329cf7a51746/ADVS-11-2402600-g008.jpg
https://cdn.ncbi.nlm.nih.gov/pmc/blobs/9259/11600202/eab159940c65/ADVS-11-2402600-g007.jpg
https://cdn.ncbi.nlm.nih.gov/pmc/blobs/9259/11600202/cc59e3e5ceb3/ADVS-11-2402600-g005.jpg
https://cdn.ncbi.nlm.nih.gov/pmc/blobs/9259/11600202/feb81d757d2e/ADVS-11-2402600-g001.jpg
https://cdn.ncbi.nlm.nih.gov/pmc/blobs/9259/11600202/707e018a6858/ADVS-11-2402600-g003.jpg
https://cdn.ncbi.nlm.nih.gov/pmc/blobs/9259/11600202/649fd764a2de/ADVS-11-2402600-g002.jpg
https://cdn.ncbi.nlm.nih.gov/pmc/blobs/9259/11600202/d4a4feebd314/ADVS-11-2402600-g004.jpg

相似文献

1
LncRNA-Mediated TPI1 and PKM2 Promote Self-Renewal and Chemoresistance in GBM.长链非编码 RNA 通过 TPI1 和 PKM2 促进 GBM 自我更新和化疗耐药性。
Adv Sci (Weinh). 2024 Nov;11(44):e2402600. doi: 10.1002/advs.202402600. Epub 2024 Sep 28.
2
Lnc-TALC promotes O-methylguanine-DNA methyltransferase expression via regulating the c-Met pathway by competitively binding with miR-20b-3p.Lnc-TALC 通过竞争性结合 miR-20b-3p 调控 c-Met 通路促进 O-甲基鸟嘌呤-DNA 甲基转移酶表达。
Nat Commun. 2019 May 3;10(1):2045. doi: 10.1038/s41467-019-10025-2.
3
Nuclear factor I A promotes temozolomide resistance in glioblastoma via activation of nuclear factor κB pathway.核因子 I A 通过激活核因子 κB 通路促进胶质母细胞瘤对替莫唑胺的耐药性。
Life Sci. 2019 Nov 1;236:116917. doi: 10.1016/j.lfs.2019.116917. Epub 2019 Oct 12.
4
PDIA3P1 promotes Temozolomide resistance in glioblastoma by inhibiting C/EBPβ degradation to facilitate proneural-to-mesenchymal transition.PDIA3P1 通过抑制 C/EBPβ 降解促进 Temozolomide 耐药,从而促进神经前体细胞向间充质转化。
J Exp Clin Cancer Res. 2022 Jul 15;41(1):223. doi: 10.1186/s13046-022-02431-0.
5
Modulating lncRNA SNHG15/CDK6/miR-627 circuit by palbociclib, overcomes temozolomide resistance and reduces M2-polarization of glioma associated microglia in glioblastoma multiforme.通过帕博西尼调节 lncRNA SNHG15/CDK6/miR-627 通路,克服胶质母细胞瘤中替莫唑胺耐药并减少与胶质瘤相关的小胶质细胞 M2 极化。
J Exp Clin Cancer Res. 2019 Aug 28;38(1):380. doi: 10.1186/s13046-019-1371-0.
6
MALAT1 is a prognostic factor in glioblastoma multiforme and induces chemoresistance to temozolomide through suppressing miR-203 and promoting thymidylate synthase expression.MALAT1是多形性胶质母细胞瘤的一个预后因素,它通过抑制miR-203和促进胸苷酸合成酶的表达来诱导对替莫唑胺的化疗耐药性。
Oncotarget. 2017 Apr 4;8(14):22783-22799. doi: 10.18632/oncotarget.15199.
7
DNA-methylation-mediated activating of lncRNA SNHG12 promotes temozolomide resistance in glioblastoma.DNA 甲基化介导的长链非编码 RNA SNHG12 的激活促进胶质母细胞瘤对替莫唑胺的耐药性。
Mol Cancer. 2020 Feb 10;19(1):28. doi: 10.1186/s12943-020-1137-5.
8
The lncRNA TP73-AS1 is linked to aggressiveness in glioblastoma and promotes temozolomide resistance in glioblastoma cancer stem cells.长链非编码 RNA TP73-AS1 与胶质母细胞瘤的侵袭性有关,并促进胶质母细胞瘤肿瘤干细胞对替莫唑胺的耐药性。
Cell Death Dis. 2019 Mar 13;10(3):246. doi: 10.1038/s41419-019-1477-5.
9
Long noncoding RNA MALAT1 knockdown reverses chemoresistance to temozolomide via promoting microRNA-101 in glioblastoma.长链非编码 RNA MALAT1 敲低通过促进胶质母细胞瘤中的 microRNA-101 逆转替莫唑胺化疗耐药性。
Cancer Med. 2018 Apr;7(4):1404-1415. doi: 10.1002/cam4.1384. Epub 2018 Feb 26.
10
Centromere protein U mediates the ubiquitination and degradation of RPS3 to facilitate temozolomide resistance in glioblastoma.着丝粒蛋白U介导RPS3的泛素化和降解,以促进胶质母细胞瘤对替莫唑胺的耐药性。
Drug Resist Updat. 2025 May;80:101214. doi: 10.1016/j.drup.2025.101214. Epub 2025 Feb 21.

引用本文的文献

1
Engineered exosomes: a promising design platform for overcoming cancer therapy resistance.工程化外泌体:一种克服癌症治疗耐药性的有前景的设计平台。
Front Cell Dev Biol. 2025 Aug 6;13:1608480. doi: 10.3389/fcell.2025.1608480. eCollection 2025.
2
The role and therapeutic potential of glucose metabolism in multidrug resistance of cancer.葡萄糖代谢在癌症多药耐药中的作用及治疗潜力
Front Cell Dev Biol. 2025 Jun 19;13:1584630. doi: 10.3389/fcell.2025.1584630. eCollection 2025.
3
WTAP Mediated m6A Modification Stabilizes PDIA3P1 and Promotes Tumor Progression Driven by Histone Lactylation in Esophageal Squamous Cell Carcinoma.
WTAP介导的m6A修饰稳定PDIA3P1并促进食管鳞状细胞癌中组蛋白乳酸化驱动的肿瘤进展。
Adv Sci (Weinh). 2025 Jun 5:e06529. doi: 10.1002/advs.202506529.
4
P300-Mediated ARRB1 Lactylation Promotes Mitochondrial Dysfunction and Neuronal Apoptosis in Subarachnoid Hemorrhage Via Upregulating S100A9.P300介导的ARRB1乳酸化通过上调S100A9促进蛛网膜下腔出血中的线粒体功能障碍和神经元凋亡。
Neurochem Res. 2025 May 30;50(3):174. doi: 10.1007/s11064-025-04426-7.
5
Study on the mechanism of KIF18B affecting the malignant progression of glioblastoma cells.KIF18B影响胶质母细胞瘤细胞恶性进展的机制研究
Front Genet. 2025 Mar 5;16:1540342. doi: 10.3389/fgene.2025.1540342. eCollection 2025.
6
Exosome-transmitted LUCAT1 promotes stemness transformation and chemoresistance in bladder cancer by binding to IGF2BP2.外泌体传递的LUCAT1通过与IGF2BP2结合促进膀胱癌的干性转化和化疗耐药性。
J Exp Clin Cancer Res. 2025 Mar 3;44(1):80. doi: 10.1186/s13046-025-03330-w.
7
The promise of mitochondria in the treatment of glioblastoma: a brief review.线粒体在胶质母细胞瘤治疗中的前景:简要综述
Discov Oncol. 2025 Feb 9;16(1):142. doi: 10.1007/s12672-025-01891-y.
8
Long Non-Coding RNAs in Malignant Human Brain Tumors: Driving Forces Behind Progression and Therapy.人类恶性脑肿瘤中的长链非编码RNA:进展与治疗背后的驱动力
Int J Mol Sci. 2025 Jan 15;26(2):694. doi: 10.3390/ijms26020694.