• 文献检索
  • 文档翻译
  • 深度研究
  • 学术资讯
  • Suppr Zotero 插件Zotero 插件
  • 邀请有礼
  • 套餐&价格
  • 历史记录
应用&插件
Suppr Zotero 插件Zotero 插件浏览器插件Mac 客户端Windows 客户端微信小程序
定价
高级版会员购买积分包购买API积分包
服务
文献检索文档翻译深度研究API 文档MCP 服务
关于我们
关于 Suppr公司介绍联系我们用户协议隐私条款
关注我们

Suppr 超能文献

核心技术专利:CN118964589B侵权必究
粤ICP备2023148730 号-1Suppr @ 2026

文献检索

告别复杂PubMed语法,用中文像聊天一样搜索,搜遍4000万医学文献。AI智能推荐,让科研检索更轻松。

立即免费搜索

文件翻译

保留排版,准确专业,支持PDF/Word/PPT等文件格式,支持 12+语言互译。

免费翻译文档

深度研究

AI帮你快速写综述,25分钟生成高质量综述,智能提取关键信息,辅助科研写作。

立即免费体验

上皮样炎性肌纤维母细胞肉瘤:1例罕见病例报告

Epithelioid Inflammatory Myofibroblastic Sarcoma: A Report of a Rare Case.

作者信息

Ronanki Varun, Tejeswini Vaddatti, Venkata Renuka Inuganti, Raheema Shaik, S K Kanth Bakkamanthala

机构信息

Pathology, NRI Medical College, Guntur, IND.

出版信息

Cureus. 2024 Aug 30;16(8):e68184. doi: 10.7759/cureus.68184. eCollection 2024 Aug.

DOI:10.7759/cureus.68184
PMID:39347189
原文链接:https://pmc.ncbi.nlm.nih.gov/articles/PMC11439187/
Abstract

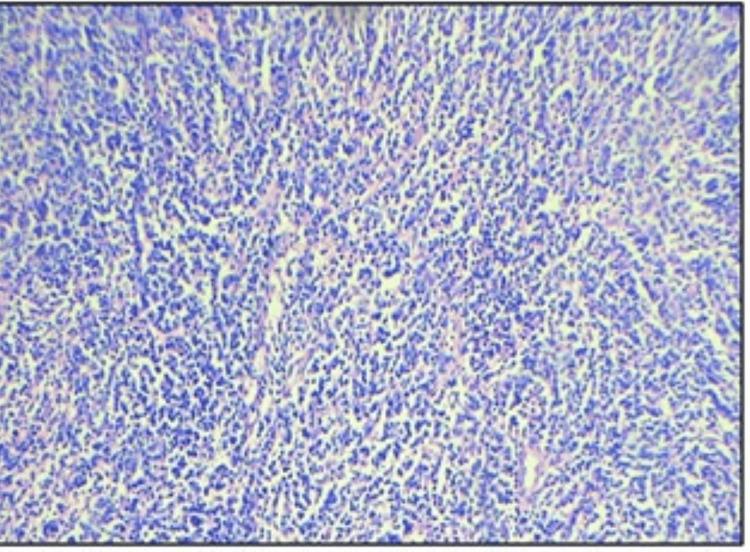
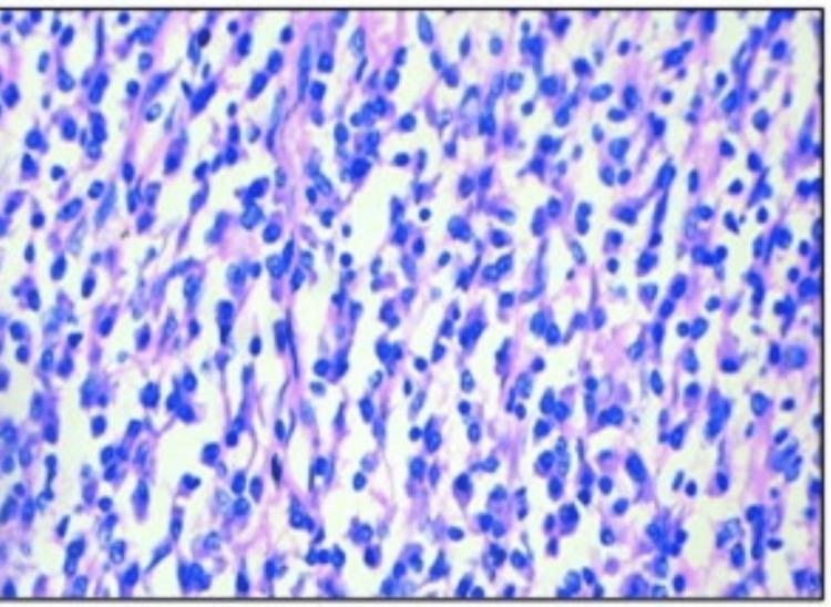
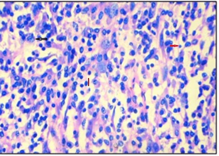
Epithelioid inflammatory myofibroblastic sarcoma (EIMS), a variant of inflammatory myofibroblastic tumor (IMT), is a rare malignant tumor commonly associated with anaplastic lymphoma kinase (ALK) gene fusions and is aggressive in nature with local recurrence. Here, we report a case of a 23-year-old female who presented with a cough and, upon investigations, was found to have a mass in the left upper lobe of the lung detected by chest computed tomography (CT). Biopsy revealed EIMS with ALK and desmin protein expression. The patient underwent a lobectomy via video-assisted thoracoscopic surgery (VATS). The postoperative period was uneventful.

摘要

上皮样炎性肌纤维母细胞肉瘤(EIMS)是炎性肌纤维母细胞瘤(IMT)的一种变体,是一种罕见的恶性肿瘤,通常与间变性淋巴瘤激酶(ALK)基因融合相关,具有侵袭性,易局部复发。在此,我们报告一例23岁女性病例,该患者因咳嗽就诊,经检查,胸部计算机断层扫描(CT)发现左肺上叶有一肿块。活检显示为伴有ALK和结蛋白蛋白表达的EIMS。患者接受了电视辅助胸腔镜手术(VATS)下的肺叶切除术。术后恢复顺利。

https://cdn.ncbi.nlm.nih.gov/pmc/blobs/7591/11439187/c872744a75ae/cureus-0016-00000068184-i08.jpg
https://cdn.ncbi.nlm.nih.gov/pmc/blobs/7591/11439187/d83f528e6d7f/cureus-0016-00000068184-i01.jpg
https://cdn.ncbi.nlm.nih.gov/pmc/blobs/7591/11439187/6aaa914382ec/cureus-0016-00000068184-i02.jpg
https://cdn.ncbi.nlm.nih.gov/pmc/blobs/7591/11439187/3752e6ffdab6/cureus-0016-00000068184-i03.jpg
https://cdn.ncbi.nlm.nih.gov/pmc/blobs/7591/11439187/221a09d3d056/cureus-0016-00000068184-i04.jpg
https://cdn.ncbi.nlm.nih.gov/pmc/blobs/7591/11439187/a8733c1e7764/cureus-0016-00000068184-i05.jpg
https://cdn.ncbi.nlm.nih.gov/pmc/blobs/7591/11439187/ac5e8f1d278a/cureus-0016-00000068184-i06.jpg
https://cdn.ncbi.nlm.nih.gov/pmc/blobs/7591/11439187/0ecbddb6e974/cureus-0016-00000068184-i07.jpg
https://cdn.ncbi.nlm.nih.gov/pmc/blobs/7591/11439187/c872744a75ae/cureus-0016-00000068184-i08.jpg
https://cdn.ncbi.nlm.nih.gov/pmc/blobs/7591/11439187/d83f528e6d7f/cureus-0016-00000068184-i01.jpg
https://cdn.ncbi.nlm.nih.gov/pmc/blobs/7591/11439187/6aaa914382ec/cureus-0016-00000068184-i02.jpg
https://cdn.ncbi.nlm.nih.gov/pmc/blobs/7591/11439187/3752e6ffdab6/cureus-0016-00000068184-i03.jpg
https://cdn.ncbi.nlm.nih.gov/pmc/blobs/7591/11439187/221a09d3d056/cureus-0016-00000068184-i04.jpg
https://cdn.ncbi.nlm.nih.gov/pmc/blobs/7591/11439187/a8733c1e7764/cureus-0016-00000068184-i05.jpg
https://cdn.ncbi.nlm.nih.gov/pmc/blobs/7591/11439187/ac5e8f1d278a/cureus-0016-00000068184-i06.jpg
https://cdn.ncbi.nlm.nih.gov/pmc/blobs/7591/11439187/0ecbddb6e974/cureus-0016-00000068184-i07.jpg
https://cdn.ncbi.nlm.nih.gov/pmc/blobs/7591/11439187/c872744a75ae/cureus-0016-00000068184-i08.jpg

相似文献

1
Epithelioid Inflammatory Myofibroblastic Sarcoma: A Report of a Rare Case.上皮样炎性肌纤维母细胞肉瘤:1例罕见病例报告
Cureus. 2024 Aug 30;16(8):e68184. doi: 10.7759/cureus.68184. eCollection 2024 Aug.
2
Primary pulmonary epithelioid inflammatory myofibroblastic sarcoma: a rare entity and a literature review.原发性肺上皮样炎性肌纤维母细胞肉瘤:一种罕见疾病及文献综述
J Pathol Transl Med. 2022 Jul;56(4):231-237. doi: 10.4132/jptm.2022.05.08. Epub 2022 Jul 7.
3
Case report: Epithelioid inflammatory myofibroblastic sarcoma treated with an ALK TKI ensartinib.病例报告:用ALK酪氨酸激酶抑制剂恩沙替尼治疗上皮样炎性肌纤维母细胞肉瘤。
Front Oncol. 2023 Mar 22;13:1084456. doi: 10.3389/fonc.2023.1084456. eCollection 2023.
4
A case report: Pathological complete response to neoadjuvant lorlatinib for Epithelioid inflammatory myofibroblastic sarcoma with EML4-ALK rearrangement.病例报告:新辅助洛拉替尼治疗伴有EML4-ALK重排的上皮样炎性肌纤维母细胞肉瘤的病理完全缓解。
Front Pharmacol. 2024 Jul 31;15:1401428. doi: 10.3389/fphar.2024.1401428. eCollection 2024.
5
Pulmonary epithelioid inflammatory myofibroblastic sarcoma with multiple bone metastases: case report and review of literature.伴有多发骨转移的肺上皮样炎性肌纤维母细胞肉瘤:病例报告及文献复习
Diagn Pathol. 2015 Jul 16;10:106. doi: 10.1186/s13000-015-0358-1.
6
Durable Clinical Response to ALK Tyrosine Kinase Inhibitors in Epithelioid Inflammatory Myofibroblastic Sarcoma Harboring Rearrangement: A Case Report.携带重排的上皮样炎性肌纤维母细胞肉瘤对ALK酪氨酸激酶抑制剂的持久临床反应:一例报告
Front Oncol. 2022 Feb 14;12:761558. doi: 10.3389/fonc.2022.761558. eCollection 2022.
7
ALK oncoproteins in atypical inflammatory myofibroblastic tumours: novel RRBP1-ALK fusions in epithelioid inflammatory myofibroblastic sarcoma.非典型炎性肌纤维母细胞瘤中的ALK癌蛋白:上皮样炎性肌纤维母细胞肉瘤中的新型RRBP1-ALK融合基因
J Pathol. 2017 Feb;241(3):316-323. doi: 10.1002/path.4836. Epub 2016 Dec 15.
8
Epithelioid inflammatory myofibroblastic sarcoma: a pitfall in the differential diagnosis of ALK-positive anaplastic large cell lymphoma.上皮样炎性肌纤维母细胞肉瘤:ALK 阳性间变性大细胞淋巴瘤鉴别诊断中的一个陷阱。
J Hematop. 2023 Jun;16(2):125-126. doi: 10.1007/s12308-023-00537-8. Epub 2023 Mar 14.
9
Mediastinal epithelioid inflammatory myofibroblastic sarcoma with the fusion: A case report and literature review.伴有融合的纵隔上皮样炎性肌纤维母细胞肉瘤:一例报告及文献复习
Respirol Case Rep. 2023 Dec 15;12(1):e01267. doi: 10.1002/rcr2.1267. eCollection 2024 Jan.
10
Epithelioid inflammatory myofibroblastic sarcoma: An aggressive intra-abdominal variant of inflammatory myofibroblastic tumor with nuclear membrane or perinuclear ALK.上皮样炎性肌纤维母细胞肉瘤:一种具有核膜或核周 ALK 的侵袭性腹腔内炎性肌纤维母细胞瘤变体。
Am J Surg Pathol. 2011 Jan;35(1):135-44. doi: 10.1097/PAS.0b013e318200cfd5.

本文引用的文献

1
Epithelioid inflammatory myofibroblastic sarcoma: a case report and brief literature review.上皮样炎性肌纤维母细胞肉瘤:1例报告并文献复习
Front Oncol. 2023 Sep 29;13:1212529. doi: 10.3389/fonc.2023.1212529. eCollection 2023.
2
Epithelioid Inflammatory Myofibroblastic Sarcoma Presenting as Gastrointestinal Bleed: Case Report and Literature Review.以胃肠道出血为表现的上皮样炎性肌纤维母细胞肉瘤:病例报告及文献复习
JPGN Rep. 2020 Dec 17;2(1):e019. doi: 10.1097/PG9.0000000000000019. eCollection 2021 Feb.
3
Case report: Epithelioid inflammatory myofibroblastic sarcoma treated with an ALK TKI ensartinib.
病例报告:用ALK酪氨酸激酶抑制剂恩沙替尼治疗上皮样炎性肌纤维母细胞肉瘤。
Front Oncol. 2023 Mar 22;13:1084456. doi: 10.3389/fonc.2023.1084456. eCollection 2023.
4
Primary pulmonary epithelioid inflammatory myofibroblastic sarcoma: a rare entity and a literature review.原发性肺上皮样炎性肌纤维母细胞肉瘤:一种罕见疾病及文献综述
J Pathol Transl Med. 2022 Jul;56(4):231-237. doi: 10.4132/jptm.2022.05.08. Epub 2022 Jul 7.
5
Primary Cutaneous Epithelioid Inflammatory Myofibroblastic Sarcoma Harboring RANBP2-ALK Fusion: Report of an Exceptional Case.携带RANBP2-ALK融合基因的原发性皮肤上皮样炎性肌纤维母细胞肉瘤:1例罕见病例报告
Am J Dermatopathol. 2022 Apr 1;44(4):302-305. doi: 10.1097/DAD.0000000000002096.
6
Clinical characteristics and outcomes of 17 cases of inflammatory myofibroblastic tumor at a University Hospital in China.中国某大学医院17例炎性肌纤维母细胞瘤的临床特征及预后
Oncol Lett. 2021 Jan;21(1):51. doi: 10.3892/ol.2020.12312. Epub 2020 Nov 18.
7
Epithelioid inflammatory myofibroblastic sarcoma: a case report.上皮样炎性肌纤维母细胞肉瘤:一例报告
J Thorac Dis. 2015 Oct;7(10):E513-6. doi: 10.3978/j.issn.2072-1439.2015.10.55.
8
Pulmonary epithelioid inflammatory myofibroblastic sarcoma with multiple bone metastases: case report and review of literature.伴有多发骨转移的肺上皮样炎性肌纤维母细胞肉瘤:病例报告及文献复习
Diagn Pathol. 2015 Jul 16;10:106. doi: 10.1186/s13000-015-0358-1.
9
Epithelioid inflammatory myofibroblastic sarcoma arising in the pleural cavity.发生于胸腔的上皮样炎性肌纤维母细胞肉瘤。
Gen Thorac Cardiovasc Surg. 2014 Mar;62(3):191-4. doi: 10.1007/s11748-013-0204-x. Epub 2013 Jan 24.
10
Epithelioid inflammatory myofibroblastic sarcoma: An aggressive intra-abdominal variant of inflammatory myofibroblastic tumor with nuclear membrane or perinuclear ALK.上皮样炎性肌纤维母细胞肉瘤:一种具有核膜或核周 ALK 的侵袭性腹腔内炎性肌纤维母细胞瘤变体。
Am J Surg Pathol. 2011 Jan;35(1):135-44. doi: 10.1097/PAS.0b013e318200cfd5.