• 文献检索
  • 文档翻译
  • 深度研究
  • 学术资讯
  • Suppr Zotero 插件Zotero 插件
  • 邀请有礼
  • 套餐&价格
  • 历史记录
应用&插件
Suppr Zotero 插件Zotero 插件浏览器插件Mac 客户端Windows 客户端微信小程序
定价
高级版会员购买积分包购买API积分包
服务
文献检索文档翻译深度研究API 文档MCP 服务
关于我们
关于 Suppr公司介绍联系我们用户协议隐私条款
关注我们

Suppr 超能文献

核心技术专利:CN118964589B侵权必究
粤ICP备2023148730 号-1Suppr @ 2026

文献检索

告别复杂PubMed语法,用中文像聊天一样搜索,搜遍4000万医学文献。AI智能推荐,让科研检索更轻松。

立即免费搜索

文件翻译

保留排版,准确专业,支持PDF/Word/PPT等文件格式,支持 12+语言互译。

免费翻译文档

深度研究

AI帮你快速写综述,25分钟生成高质量综述,智能提取关键信息,辅助科研写作。

立即免费体验

家族性腺瘤性息肉病中的桥小脑角颅咽管瘤

Cerebellopontine angle craniopharyngioma in familial adenomatous polyposis.

作者信息

Bose Sayantan, Balogun James, du Plessis Daniel, Bailey Matthew, Lalloo Fiona, Pathmanaban Omar

机构信息

Department of Neurosurgery, Salford Royal NHS Foundation Trust, Salford, United Kingdom.

Department of Cellular Pathology, Salford Royal NHS Foundation Trust, Salford, United Kingdom.

出版信息

Surg Neurol Int. 2024 Sep 20;15:340. doi: 10.25259/SNI_315_2024. eCollection 2024.

DOI:10.25259/SNI_315_2024
PMID:39372988
原文链接:https://pmc.ncbi.nlm.nih.gov/articles/PMC11450800/
Abstract

BACKGROUND

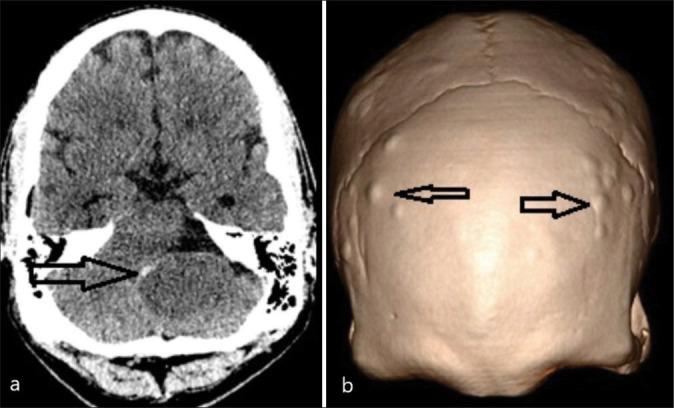
Craniopharyngiomas are benign tumors arising in the sellar and suprasellar regions. Although ectopic tumors do occur, it is usually due to local spread or recurrent tumors. Purely ectopic cerebellopontine angle (CPA) or 4 ventricle tumors are extremely rare and have been found to be significantly associated with familial adenomatous polyposis (FAP), a genetic disorder.

CASE DESCRIPTION

Only four cases of ectopic CPA craniopharyngioma associated with FAP have been reported to date. Here, we present the 5 case of ectopic CPA craniopharyngioma on a background of FAP. The previously described cases have been elaborated as well.

CONCLUSION

CPA tumor with a background of FAP should raise a differential diagnosis of craniopharyngioma, and similarly, a CPA primary ectopic craniopharyngioma may raise suspicion of underlying APC gene mutation.

摘要

背景

颅咽管瘤是起源于鞍区和鞍上区域的良性肿瘤。虽然异位肿瘤确实会发生,但通常是由于局部扩散或复发性肿瘤。单纯的异位小脑脑桥角(CPA)或第四脑室肿瘤极为罕见,并且已发现与遗传性疾病家族性腺瘤性息肉病(FAP)显著相关。

病例描述

迄今为止,仅报道了4例与FAP相关的异位CPA颅咽管瘤病例。在此,我们报告第5例以FAP为背景的异位CPA颅咽管瘤病例。同时也对先前描述的病例进行了阐述。

结论

以FAP为背景的CPA肿瘤应考虑颅咽管瘤的鉴别诊断,同样,原发性异位CPA颅咽管瘤可能提示潜在的APC基因突变。

https://cdn.ncbi.nlm.nih.gov/pmc/blobs/1483/11450800/5347d727d18e/SNI-15-340-g006.jpg
https://cdn.ncbi.nlm.nih.gov/pmc/blobs/1483/11450800/7e1b749ac548/SNI-15-340-g001.jpg
https://cdn.ncbi.nlm.nih.gov/pmc/blobs/1483/11450800/aa19074a7548/SNI-15-340-g002.jpg
https://cdn.ncbi.nlm.nih.gov/pmc/blobs/1483/11450800/1b9d6f3ed25d/SNI-15-340-g003.jpg
https://cdn.ncbi.nlm.nih.gov/pmc/blobs/1483/11450800/25a679d1bf8f/SNI-15-340-g004.jpg
https://cdn.ncbi.nlm.nih.gov/pmc/blobs/1483/11450800/1ec521baf7c1/SNI-15-340-g005.jpg
https://cdn.ncbi.nlm.nih.gov/pmc/blobs/1483/11450800/5347d727d18e/SNI-15-340-g006.jpg
https://cdn.ncbi.nlm.nih.gov/pmc/blobs/1483/11450800/7e1b749ac548/SNI-15-340-g001.jpg
https://cdn.ncbi.nlm.nih.gov/pmc/blobs/1483/11450800/aa19074a7548/SNI-15-340-g002.jpg
https://cdn.ncbi.nlm.nih.gov/pmc/blobs/1483/11450800/1b9d6f3ed25d/SNI-15-340-g003.jpg
https://cdn.ncbi.nlm.nih.gov/pmc/blobs/1483/11450800/25a679d1bf8f/SNI-15-340-g004.jpg
https://cdn.ncbi.nlm.nih.gov/pmc/blobs/1483/11450800/1ec521baf7c1/SNI-15-340-g005.jpg
https://cdn.ncbi.nlm.nih.gov/pmc/blobs/1483/11450800/5347d727d18e/SNI-15-340-g006.jpg

相似文献

1
Cerebellopontine angle craniopharyngioma in familial adenomatous polyposis.家族性腺瘤性息肉病中的桥小脑角颅咽管瘤
Surg Neurol Int. 2024 Sep 20;15:340. doi: 10.25259/SNI_315_2024. eCollection 2024.
2
Primary cerebellopontine angle craniopharyngioma in a patient with Gardner syndrome.患者患有 Gardner 综合征,原发性小脑脑桥角颅咽管瘤。
J Clin Neurosci. 2011 Feb;18(2):300-1. doi: 10.1016/j.jocn.2010.06.006. Epub 2011 Jan 7.
3
Primary cerebellopontine angle craniopharyngioma in a patient with gardner syndrome. Case report and review of the literature.一名患有加德纳综合征患者的原发性桥小脑角颅咽管瘤。病例报告及文献复习。
J Neurosurg. 2006 Aug;105(2):330-3. doi: 10.3171/jns.2006.105.2.330.
4
Isolated, giant cerebellopontine angle craniopharyngioma in a patient with Gardner syndrome: case report.加德纳综合征患者孤立性巨大桥小脑角颅咽管瘤:病例报告
Neurosurgery. 2002 Jul;51(1):221-5; discussion 225-6. doi: 10.1097/00006123-200207000-00033.
5
The association of ectopic craniopharyngioma in the fourth ventricle with familial adenomatous polyposis: illustrative case.第四脑室内异位颅咽管瘤与家族性腺瘤性息肉病的关联:病例说明
J Neurosurg Case Lessons. 2022 Jan 3;3(1). doi: 10.3171/CASE21572.
6
Pediatric craniopharyngioma in association with familial adenomatous polyposis.儿童颅咽管瘤合并家族性腺瘤性息肉病。
Fam Cancer. 2019 Jul;18(3):327-330. doi: 10.1007/s10689-019-00126-8.
7
Gross-total resection of a suprasellar with recurrent cerebellopontine angle region craniopharyngioma by endoscopic far-lateral supracerebellar infratentorial approach: illustrative case.经内镜远外侧小脑上幕下入路全切除鞍上复发的桥小脑角区颅咽管瘤:病例报告
J Neurosurg Case Lessons. 2022 Aug 15;4(7). doi: 10.3171/CASE22166.
8
Ectopic recurrence of craniopharyngiomas: case report.颅咽管瘤的异位复发:病例报告
Neurosurgery. 2009 Feb;64(2):E382-3; discussion E383. doi: 10.1227/01.NEU.0000337078.60998.98.
9
Unusual and Rare Locations for Craniopharyngiomas: Clinical Significance and Review of the Literature.颅咽管瘤的不寻常和罕见部位:临床意义及文献综述
World Neurosurg. 2017 Feb;98:381-387. doi: 10.1016/j.wneu.2016.10.134. Epub 2016 Nov 28.
10
Early Ectopic Recurrence of Craniopharyngioma in the Cerebellopontine Angle.
Turk Neurosurg. 2018;28(2):313-316. doi: 10.5137/1019-5149.JTN.17215-16.1.

本文引用的文献

1
The association of ectopic craniopharyngioma in the fourth ventricle with familial adenomatous polyposis: illustrative case.第四脑室内异位颅咽管瘤与家族性腺瘤性息肉病的关联:病例说明
J Neurosurg Case Lessons. 2022 Jan 3;3(1). doi: 10.3171/CASE21572.
2
Second-hit APC mutation in a familial adamantinomatous craniopharyngioma.家族性造釉细胞瘤型颅咽管瘤中的二次打击APC突变
Neuro Oncol. 2020 Jun 9;22(6):889-891. doi: 10.1093/neuonc/noaa060.
3
Craniopharyngioma of the Fourth Ventricle: Case Report and Review of Literature.第四脑室颅咽管瘤:病例报告及文献综述
Asian J Neurosurg. 2018 Jan-Mar;13(1):62-65. doi: 10.4103/1793-5482.185063.
4
Adult Craniopharyngioma: Case Series, Systematic Review, and Meta-Analysis.成人颅咽管瘤:病例系列、系统评价和荟萃分析。
Neurosurgery. 2018 Oct 1;83(4):631-641. doi: 10.1093/neuros/nyx570.
5
[Ectopic craniopharyngioma and Gardner's syndrome: Case report and literature review].[异位颅咽管瘤与加德纳综合征:病例报告及文献复习]
Neurocirugia (Astur). 2017 Mar-Apr;28(2):97-101. doi: 10.1016/j.neucir.2016.09.001. Epub 2016 Oct 31.
6
Ventricular metastatic dissemination of a paediatric craniopharyngioma: case report and literature review.
Br J Neurosurg. 2017 Aug;31(4):474-477. doi: 10.3109/02688697.2016.1139050. Epub 2016 Jun 16.
7
Ectopic craniopharyngioma of the fourth ventricle in a patient with Gardner syndrome.
Clin Imaging. 2016 Mar-Apr;40(2):232-6. doi: 10.1016/j.clinimag.2015.11.005. Epub 2015 Nov 19.
8
Exome sequencing identifies BRAF mutations in papillary craniopharyngiomas.外显子组测序发现 BRAF 突变存在于颅咽管瘤中。
Nat Genet. 2014 Feb;46(2):161-5. doi: 10.1038/ng.2868. Epub 2014 Jan 12.
9
Primary intracranial ectopic craniopharyngioma in a patient with probable Gardner's syndrome.患者可能患有 Gardner 综合征,伴原发性颅内异位颅咽管瘤。
J Neurosurg. 2014 Feb;120(2):337-41. doi: 10.3171/2013.10.JNS131401. Epub 2013 Nov 22.
10
Primary isolated cerebellopontine angle papillary craniopharyngioma.
Neurol India. 2012 Jul-Aug;60(4):438-9. doi: 10.4103/0028-3886.100727.