Suppr超能文献

人源环状RNA-ACSL1通过miR-7-5p/XBP1轴增强心肌炎心肌细胞的凋亡和自噬。

Hsa-circ-ACSL1 Enhances Apoptosis and Autophagy in Myocarditis Cardiomyocytes Through the miR-7-5p/XBP1 Axis.

作者信息

Liang Fu Li, Tong You Fu, Zhang Xiao Chun, Ma Xiao Feng

机构信息

Department of Coronary Heart Disease II, Qinghai Cardio-Cerebrovascular Specialty Hospital, Qinghai High Altitude Medical Research Institute, Xining City, Qinghai Province, China.

出版信息

Anatol J Cardiol. 2024 Oct 8;28(11):523-32. doi: 10.14744/AnatolJCardiol.2024.4472.

Abstract

BACKGROUND

Viral myocarditis (VMC) is a common cardiovascular disease, and circular RNAs (circRNAs) have been identified to play an important role in the pathophysiology of cardiovascular disease. However, the clinical significance, biological functions, and regulatory mechanisms of circRNAs in VMC remain poorly understood. Therefore, this study explored the biological functions and regulatory mechanisms of circ-ACSL1 in VMC.

METHODS

The animal and cell models of VMC were established by infecting BABL/C mice and interleukin-2 cells with coxsackievirus B3 (CVB3). Pro-inflammatory factors, markers of myocardial injury, apoptosis, and autophagy were detected to evaluate the degree of myocardial inflammation and myocardial injury after altering circ-ACSL1, microRNA-7-5p (miR-7-5p), and X-box binding protein 1 (XBP1) expression alone or in combination.

RESULTS

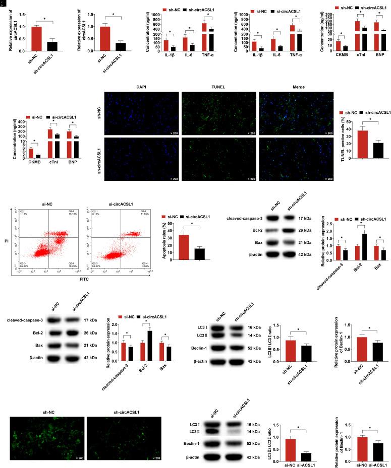
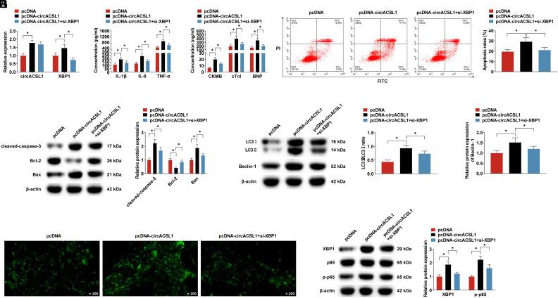
Knocking down circ-ACSL1 could inhibit inflammation, autophagy, and apoptosis in VMC animals and cells. Mechanistically, circ-ACSL1 targeted miR-7-5p to regulate the downstream target XBP1. In addition, depleting miR-7-5p rescued the therapeutic effect of depleting circ-ACSL1. Overexpression of circ-ACSL1 aggravated VMC; however, this effect was saved by knocking down XBP1.

CONCLUSION

By competitively absorbing miR-7-5p, circ-ACSL1 increases XBP1 expression and aggravates myocardial inflammation. Meaningfully, VMC treatment may benefit from circ-ACSL1 as a potential biomarker for precise diagnosis and as a potential therapeutic target.

摘要

背景

病毒性心肌炎(VMC)是一种常见的心血管疾病,环状RNA(circRNAs)已被证实在心血管疾病的病理生理学中发挥重要作用。然而,circRNAs在VMC中的临床意义、生物学功能和调控机制仍知之甚少。因此,本研究探讨了circ-ACSL1在VMC中的生物学功能和调控机制。

方法

通过用柯萨奇病毒B3(CVB3)感染BABL/C小鼠和白细胞介素-2细胞建立VMC的动物和细胞模型。在单独或联合改变circ-ACSL1、微小RNA-7-5p(miR-7-5p)和X盒结合蛋白1(XBP1)表达后,检测促炎因子、心肌损伤标志物、凋亡和自噬,以评估心肌炎症程度和心肌损伤情况。

结果

敲低circ-ACSL1可抑制VMC动物和细胞中的炎症、自噬和凋亡。机制上,circ-ACSL1靶向miR-7-5p以调节下游靶点XBP1。此外,耗尽miR-7-5p可挽救耗尽circ-ACSL1的治疗效果。circ-ACSL1的过表达加重了VMC;然而,敲低XBP1可挽救这种效应。

结论

circ-ACSL1通过竞争性吸附miR-7-5p增加XBP1表达并加重心肌炎症。有意义的是,VMC治疗可能受益于circ-ACSL1作为精确诊断的潜在生物标志物和潜在治疗靶点。

https://cdn.ncbi.nlm.nih.gov/pmc/blobs/3086/11537450/58316968820c/ajc-28-11-523_f002.jpg

文献检索

告别复杂PubMed语法,用中文像聊天一样搜索,搜遍4000万医学文献。AI智能推荐,让科研检索更轻松。

立即免费搜索

文件翻译

保留排版,准确专业,支持PDF/Word/PPT等文件格式,支持 12+语言互译。

免费翻译文档

深度研究

AI帮你快速写综述,25分钟生成高质量综述,智能提取关键信息,辅助科研写作。

立即免费体验