Suppr超能文献

环状RNA_0006168通过miR-516b-5p依赖的XBP1调控促进食管鳞状细胞癌细胞的迁移、侵袭和增殖。

Circ_0006168 Promotes the Migration, Invasion and Proliferation of Esophageal Squamous Cell Carcinoma Cells via miR-516b-5p-Dependent Regulation of XBP1.

作者信息

Huang Yunhe, Jiang Lei, Wei Guangxia

机构信息

Department of Thoracic Surgery, The First Affiliated Hospital of Nanchang University, Nanchang, 330006, People's Republic of China.

出版信息

Onco Targets Ther. 2021 Apr 12;14:2475-2488. doi: 10.2147/OTT.S293180. eCollection 2021.

Abstract

BACKGROUND

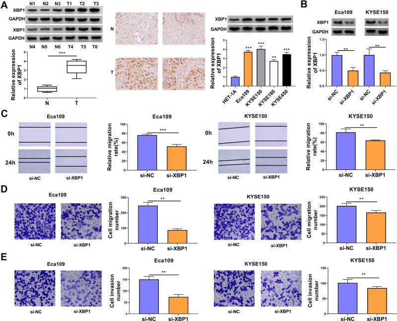
Circular RNAs (circRNAs) exert important roles in carcinogenesis. Here, we aimed to uncover the working mechanism of circ_0006168 in esophageal squamous cell carcinoma (ESCC) development.

METHODS

Western blot assay and real-time quantitative polymerase chain reaction (RT-qPCR) were used to determine protein and RNA expression, respectively. Wound healing assay and transwell migration assay were performed to assess cell migration ability, whereas cell invasion ability was evaluated by transwell invasion assay. 3-(4,5-dimethyl-thiazol-2-yl)-2,5-diphenyltetrazolium bromide (MTT) assay and colony formation assay were utilized to analyze cell proliferation ability. Xenograft tumor model was utilized to assess the role of X-box binding protein 1 (XBP1) in xenograft tumor growth in vivo. Dual-luciferase reporter assay, RNA immunoprecipitation (RIP) assay and RNA pull down assay were used to verify intermolecular interactions.

RESULTS

XBP1 silencing suppressed the migration, invasion and proliferation of ESCC cells in vitro and restrained the xenograft tumor growth in vivo. MicroRNA-516b-5p (miR-516b-5p) interacted with the 3' untranslated region (3'UTR) of XBP1 in ESCC cells. MiR-516b-5p overexpression inhibited the proliferation and motility of ESCC cells. MiR-516b-5p was a molecular target of circ_0006168 in ESCC cells. The interference of circ_0006168 restrained the motility and proliferation of ESCC cells. Circ_0006168 acted as miR-516b-5p sponge to up-regulate XBP1 expression in ESCC cells. MiR-516b-5p silencing or the accumulation of XBP1 largely rescued the proliferation ability and motility in circ_0006168-silenced ESCC cells.

CONCLUSION

In conclusion, circ_0006168 contributed to ESCC development through promoting the proliferation and motility of ESCC cells via mediating miR-516b-5p/XBP1 axis.

摘要

背景

环状RNA(circRNAs)在肿瘤发生过程中发挥重要作用。在此,我们旨在揭示circ_0006168在食管鳞状细胞癌(ESCC)发生发展中的作用机制。

方法

分别采用蛋白质免疫印迹法和实时定量聚合酶链反应(RT-qPCR)检测蛋白质和RNA表达。采用伤口愈合试验和Transwell迁移试验评估细胞迁移能力,通过Transwell侵袭试验评估细胞侵袭能力。利用3-(4,5-二甲基噻唑-2)-2,5-二苯基四氮唑溴盐(MTT)试验和集落形成试验分析细胞增殖能力。利用异种移植肿瘤模型评估X盒结合蛋白1(XBP1)在体内异种移植肿瘤生长中的作用。采用双荧光素酶报告基因试验、RNA免疫沉淀(RIP)试验和RNA下拉试验验证分子间相互作用。

结果

沉默XBP1可抑制ESCC细胞的体外迁移、侵袭和增殖,并抑制体内异种移植肿瘤的生长。微小RNA-516b-5p(miR-516b-5p)与ESCC细胞中XBP1的3'非翻译区(3'UTR)相互作用。miR-516b-5p过表达抑制ESCC细胞的增殖和运动能力。miR-516b-5p是ESCC细胞中circ_0006168的分子靶点。干扰circ_0006168可抑制ESCC细胞的运动和增殖能力。circ_0006168作为miR-516b-5p的海绵,上调ESCC细胞中XBP1的表达。沉默miR-516b-5p或积累XBP1可在很大程度上挽救circ_0006168沉默的ESCC细胞的增殖能力和运动能力。

结论

总之,circ_0006168通过介导miR-516b-5p/XBP1轴促进ESCC细胞的增殖和运动,从而促进ESCC的发生发展。

https://cdn.ncbi.nlm.nih.gov/pmc/blobs/6a23/8053607/6f31a9919692/OTT-14-2475-g0001.jpg

文献检索

告别复杂PubMed语法,用中文像聊天一样搜索,搜遍4000万医学文献。AI智能推荐,让科研检索更轻松。

立即免费搜索

文件翻译

保留排版,准确专业,支持PDF/Word/PPT等文件格式,支持 12+语言互译。

免费翻译文档

深度研究

AI帮你快速写综述,25分钟生成高质量综述,智能提取关键信息,辅助科研写作。

立即免费体验