Faraj Chaymae, Imrani Kaoutar, Essetti Sara, Benbrahim Fatima Zohra, Bahlouli Nourrelhouda, Moatassim Billah Nabil, Nassar Ittimade, Alaoui Babana Amina, Ouazzani Touhami Youssef, El Azzaoui Imad, Mkira Omar, El Malki Hadj Omar, Ifrine Lahcen, Belkouchi Abdelkader, Belkouchi Omar, El Mohtarim Rihane, Derqaoui Sabrine, Bernoussi Zakiya
Department of Radiology, Ibn Sina Hospital, Faculty of medicine and pharmacy, Mohammed V University, Rabat, Morocco.
Department of Surgery « A », Ibn Sina Hospital, Faculty of medicine and pharmacy, Mohammed V University, Rabat, Morocco.
Radiol Case Rep. 2024 Sep 27;19(12):6560-6564. doi: 10.1016/j.radcr.2024.09.082. eCollection 2024 Dec.
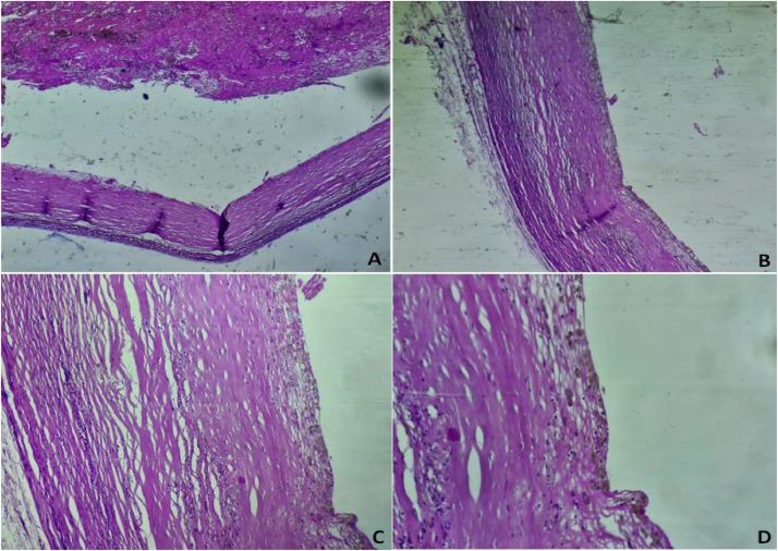
Chronic expanding hematoma of soft tissue is a rare lesion and often misdiagnosed as neoplastic mass. It is mostly related to trauma or surgery, leading to blood-filled cysts surrounded by fibrous tissues. Symptoms may include abdominal pain, nausea or bowel obstruction. Diagnosis is often difficult, and imaging tests such as CT scans or MRIs can be inconclusive. Treatment may require complete surgical removal to prevent postoperative recurrence. We present a case of a 27-year-old woman with history of recent abdominal trauma presented with an abdominal mass, along with chronic pain and vomiting. CT scan revealed a large pelvic cystic mass, suggesting an ovarian origin which was ruled out by the MRI. Surgery was performed and histopathology revealed an intraperitoneal chronic expanding hematoma. In this case report, we review the epidemiological, clinical, and paraclinical aspects of the disease, as well as the treatment modalities.
软组织慢性扩张性血肿是一种罕见的病变,常被误诊为肿瘤性肿块。它大多与创伤或手术有关,导致充满血液的囊肿被纤维组织包围。症状可能包括腹痛、恶心或肠梗阻。诊断往往很困难,CT扫描或MRI等影像学检查可能无法得出明确结论。治疗可能需要完全手术切除以防止术后复发。我们报告一例27岁女性病例,该患者近期有腹部创伤史,出现腹部肿块,伴有慢性疼痛和呕吐。CT扫描显示盆腔有一个大的囊性肿块,提示卵巢来源,但MRI排除了这种可能。进行了手术,组织病理学检查显示为腹膜内慢性扩张性血肿。在本病例报告中,我们回顾了该疾病的流行病学、临床和辅助检查方面,以及治疗方式。