• 文献检索
  • 文档翻译
  • 深度研究
  • 学术资讯
  • Suppr Zotero 插件Zotero 插件
  • 邀请有礼
  • 套餐&价格
  • 历史记录
应用&插件
Suppr Zotero 插件Zotero 插件浏览器插件Mac 客户端Windows 客户端微信小程序
定价
高级版会员购买积分包购买API积分包
服务
文献检索文档翻译深度研究API 文档MCP 服务
关于我们
关于 Suppr公司介绍联系我们用户协议隐私条款
关注我们

Suppr 超能文献

核心技术专利:CN118964589B侵权必究
粤ICP备2023148730 号-1Suppr @ 2026

文献检索

告别复杂PubMed语法,用中文像聊天一样搜索,搜遍4000万医学文献。AI智能推荐,让科研检索更轻松。

立即免费搜索

文件翻译

保留排版,准确专业,支持PDF/Word/PPT等文件格式,支持 12+语言互译。

免费翻译文档

深度研究

AI帮你快速写综述,25分钟生成高质量综述,智能提取关键信息,辅助科研写作。

立即免费体验

采用头环装置治疗的斜坡骨折伴多发颅神经麻痹:病例报告及文献综述

Clival Fracture With Multiple Cranial Nerve Palsy Treated With a Halo Device: A Case Report and Literature Review.

作者信息

Murase Makoto, Yasuda Shinichi, Yahata Tadashi, Inokuchi Koichi, Sawano Makoto

机构信息

Department of Emergency Medicine and Critical Care, Saitama Medical Center, Saitama Medical University, Kawagoe, JPN.

出版信息

Cureus. 2024 Sep 10;16(9):e69120. doi: 10.7759/cureus.69120. eCollection 2024 Sep.

DOI:10.7759/cureus.69120
PMID:39391438
原文链接:https://pmc.ncbi.nlm.nih.gov/articles/PMC11466548/
Abstract

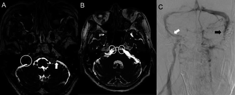
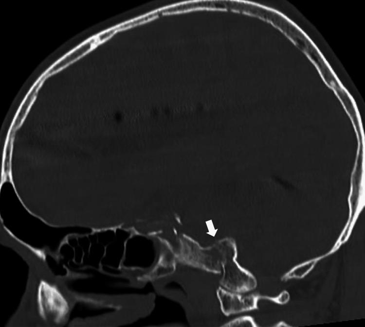
We present a rare case of clival fracture in which the patient presented with multiple lower cranial nerve palsy (similar to Vernet syndrome or Collet-Sicard syndrome). Multiple lower cranial nerve palsy from skull base lesions includes Vernet syndrome and Collet-Sicard syndrome. Clival fracture is a rare condition, and the optimal treatment method has yet to be established. A 73-year-old man fell down a flight of stairs and was diagnosed with injuries such as traumatic intracranial hemorrhage, clival fracture, and facial bone fracture. The patient presented with bilateral cranial nerve VI, IX, X, XI, and right XII palsies caused by clival fracture but no instability at the craniocervical junction, so we performed external fixation using a halo device. The patient developed delirium in the subacute phase, which was considered to be aggravated by the halo device. We therefore safely removed the halo device on hospital day 54 after confirming porosis of the fractured clivus on computed tomography. The patient did not complain of neck pain, and paralyses of cranial nerves VI and XII had completely resolved, while those of cranial nerves IX, X, and XI had also improved, so the patient could start direct swallowing training. Clival fracture with bilateral multiple cranial nerve palsies similar to Vernet syndrome or Collet-Sicard syndrome is highly rare. Accordingly, no standard treatment has been established. A halo device can be an effective treatment for clival fracture, and the duration of fixation could be determined flexibly based on the condition of each case.

摘要

我们报告一例罕见的斜坡骨折病例,该患者表现为多发性低位颅神经麻痹(类似于韦尔内综合征或科莱-西卡尔综合征)。由颅底病变引起的多发性低位颅神经麻痹包括韦尔内综合征和科莱-西卡尔综合征。斜坡骨折是一种罕见疾病,最佳治疗方法尚未确定。一名73岁男性从一段楼梯上摔倒,被诊断为创伤性颅内出血、斜坡骨折和面部骨折等损伤。该患者因斜坡骨折出现双侧颅神经VI、IX、X、XI及右侧XII麻痹,但颅颈交界处无不稳定情况,因此我们使用头环装置进行了外固定。患者在亚急性期出现谵妄,认为是头环装置加重了病情。因此,在计算机断层扫描确认骨折斜坡骨质疏松后,我们于住院第54天安全拆除了头环装置。患者未诉颈部疼痛,颅神经VI和XII的麻痹已完全缓解,而颅神经IX、X和XI的麻痹也有所改善,因此患者可以开始直接吞咽训练。类似于韦尔内综合征或科莱-西卡尔综合征的双侧多发性颅神经麻痹的斜坡骨折极为罕见。因此,尚未确立标准治疗方法。头环装置可为斜坡骨折提供有效治疗,固定时间可根据具体情况灵活确定。

https://cdn.ncbi.nlm.nih.gov/pmc/blobs/eddb/11466548/f8394f642771/cureus-0016-00000069120-i05.jpg
https://cdn.ncbi.nlm.nih.gov/pmc/blobs/eddb/11466548/71befc3f3c56/cureus-0016-00000069120-i01.jpg
https://cdn.ncbi.nlm.nih.gov/pmc/blobs/eddb/11466548/181b372bd4dd/cureus-0016-00000069120-i02.jpg
https://cdn.ncbi.nlm.nih.gov/pmc/blobs/eddb/11466548/5471c2b5fb3f/cureus-0016-00000069120-i03.jpg
https://cdn.ncbi.nlm.nih.gov/pmc/blobs/eddb/11466548/7ace23858508/cureus-0016-00000069120-i04.jpg
https://cdn.ncbi.nlm.nih.gov/pmc/blobs/eddb/11466548/f8394f642771/cureus-0016-00000069120-i05.jpg
https://cdn.ncbi.nlm.nih.gov/pmc/blobs/eddb/11466548/71befc3f3c56/cureus-0016-00000069120-i01.jpg
https://cdn.ncbi.nlm.nih.gov/pmc/blobs/eddb/11466548/181b372bd4dd/cureus-0016-00000069120-i02.jpg
https://cdn.ncbi.nlm.nih.gov/pmc/blobs/eddb/11466548/5471c2b5fb3f/cureus-0016-00000069120-i03.jpg
https://cdn.ncbi.nlm.nih.gov/pmc/blobs/eddb/11466548/7ace23858508/cureus-0016-00000069120-i04.jpg
https://cdn.ncbi.nlm.nih.gov/pmc/blobs/eddb/11466548/f8394f642771/cureus-0016-00000069120-i05.jpg

相似文献

1
Clival Fracture With Multiple Cranial Nerve Palsy Treated With a Halo Device: A Case Report and Literature Review.采用头环装置治疗的斜坡骨折伴多发颅神经麻痹:病例报告及文献综述
Cureus. 2024 Sep 10;16(9):e69120. doi: 10.7759/cureus.69120. eCollection 2024 Sep.
2
An unusual etiology of posttraumatic Collet-Sicard Syndrome: a case report.创伤后科莱-西卡尔综合征的一种罕见病因:病例报告
Pan Afr Med J. 2016 Mar 30;23:143. doi: 10.11604/pamj.2016.23.143.9143. eCollection 2016.
3
Jefferson fracture resulting in Collet-Sicard syndrome.导致科莱-西卡尔综合征的杰斐逊骨折。
Spine (Phila Pa 1976). 2000 Feb 1;25(3):395-8. doi: 10.1097/00007632-200002010-00023.
4
A Case of Collet-Sicard Syndrome Caused by Otitis Externa.1例由外耳道炎引起的科莱-西卡尔综合征
Cureus. 2022 Jul 25;14(7):e27218. doi: 10.7759/cureus.27218. eCollection 2022 Jul.
5
Delayed Collet-Sicard syndrome after internal carotid dissection and Jefferson fracture. Case report and Review of Literature.颈内动脉夹层和Jefferson骨折后延迟性Collet-Sicard综合征。病例报告及文献复习
Surg Neurol Int. 2021 Jul 27;12:374. doi: 10.25259/SNI_375_2021. eCollection 2021.
6
Collet-sicard syndrome from thrombosis of the sigmoid-jugular complex: a case report and review of the literature.乙状窦-颈静脉复合体血栓形成所致科莱-西卡尔综合征:一例报告并文献复习
Int J Otolaryngol. 2010;2010. doi: 10.1155/2010/203587. Epub 2010 Jul 25.
7
Collet-Sicard syndrome associated with occipital condyle fracture and epidural hematoma.伴有枕髁骨折和硬膜外血肿的科莱-西卡尔综合征。
Yonsei Med J. 2007 Feb 28;48(1):120-3. doi: 10.3349/ymj.2007.48.1.120.
8
Developmental abnormalities of the craniocervical junction resulting in Collet-Sicard syndrome.导致科莱-西卡尔综合征的颅颈交界区发育异常。
Spine J. 2016 Sep;16(9):e635-9. doi: 10.1016/j.spinee.2016.04.022. Epub 2016 May 6.
9
Traumatic multiple lower cranial nerve palsy: a case report and review of the literature.创伤性多发性低位颅神经麻痹:一例病例报告及文献综述
Turk J Pediatr. 2014 Sep-Oct;56(5):557-60.
10
Infectious Collet-Sicard syndrome in the differential diagnosis of cerebrovascular accident: a case of head-to-neck dissociation with skull-based osteomyelitis.感染性科列-西卡尔综合征在脑血管意外鉴别诊断中的应用:一例伴有颅骨骨髓炎的头颈部分离病例
Spine J. 2009 Apr;9(4):e6-e10. doi: 10.1016/j.spinee.2008.05.012. Epub 2008 Jul 31.

本文引用的文献

1
Bilateral occipital condyle fracture with an avulsion fracture of the foramen magnum: nonoperative care guided by a traction test. Illustrative case.双侧枕髁骨折合并枕骨大孔撕脱骨折:牵引试验指导下的非手术治疗。病例报告
J Neurosurg Case Lessons. 2023 Dec 18;6(25). doi: 10.3171/CASE23577.
2
Collet-Sicard syndrome: a scoping review.科雷尔-西卡德综合征:范围综述。
Neurosurg Rev. 2023 Sep 14;46(1):244. doi: 10.1007/s10143-023-02145-7.
3
Displaced transverse clival fracture: Infrequent but mortal.
J Clin Neurosci. 2023 Apr;110:61-62. doi: 10.1016/j.jocn.2023.02.007. Epub 2023 Feb 18.
4
Basilar artery incarceration secondary to a longitudinal clivus fracture: A rare and favorable outcome of an often devastating injury.继发于斜坡纵行骨折的基底动脉嵌顿:一种常为毁灭性损伤的罕见且良好结局。
Surg Neurol Int. 2022 Mar 25;13:107. doi: 10.25259/SNI_904_2021. eCollection 2022.
5
Posttraumatic Vernet syndrome without fracture: A case report and short literature review.创伤后 Vernet 综合征无骨折:病例报告及文献复习。
Medicine (Baltimore). 2021 Oct 29;100(43):e27618. doi: 10.1097/MD.0000000000027618.
6
A Case Report of Bilateral Abducens Palsy in the Setting of Clival Fracture - Recovery Related to Pathophysiological Basis of Injury.斜坡骨折致双侧展神经麻痹病例报告——与损伤病理生理基础相关的恢复情况
Neuroophthalmology. 2021 Jan 26;45(5):343-346. doi: 10.1080/01658107.2020.1831549. eCollection 2021.
7
Locked-In Syndrome after Traumatic Basilar Artery Entrapment within a Clivus Fracture: A Case Report and Review of the Literature.斜坡骨折致创伤性基底动脉嵌顿后的闭锁综合征:一例报告并文献复习
Neurotrauma Rep. 2020 Sep 14;1(1):73-77. doi: 10.1089/neur.2020.0015. eCollection 2020.
8
A rare case of bilateral occipital condyle fractures associated with inferior clivus separation fracture resulting in craniocervical dislocation: a case report and modification of the Anderson and Montesano classification is proposed.一例罕见的双侧枕髁骨折伴斜坡下分离骨折导致颅颈脱位:病例报告并提出对安德森和蒙特萨诺分类法的修订
Acta Neurochir (Wien). 2021 Aug;163(8):2307-2311. doi: 10.1007/s00701-021-04855-7. Epub 2021 May 14.
9
Clival fractures in children: a challenge in the trauma room setting!儿童颅底骨折:创伤室处理的挑战!
Childs Nerv Syst. 2021 Apr;37(4):1199-1208. doi: 10.1007/s00381-020-04963-2. Epub 2020 Nov 27.
10
Motion preserving management of unstable traumatic clivus fracture extending through bilateral occipital condyles.不稳定创伤性斜坡骨折延伸至双侧枕骨髁的运动保护管理。
J Clin Neurosci. 2020 Oct;80:257-260. doi: 10.1016/j.jocn.2020.08.027. Epub 2020 Sep 7.