Suppr超能文献

胆囊软斑症病例报告:诊断挑战与病理意外

A Case Report of Malakoplakia of the Gallbladder: A Diagnostic Challenge and Pathological Surprise.

作者信息

Lakkanna Aayush, Kaman Lileswar, Raypattanaik Niladri Mohan, Pentakota Naveen, Sekar Aravind

机构信息

General Surgery, Postgraduate Institute of Medical Education and Research, Chandigarh, IND.

Histopathology, Postgraduate Institute of Medical Education and Research, Chandigarh, IND.

出版信息

Cureus. 2024 Sep 12;16(9):e69257. doi: 10.7759/cureus.69257. eCollection 2024 Sep.

Abstract

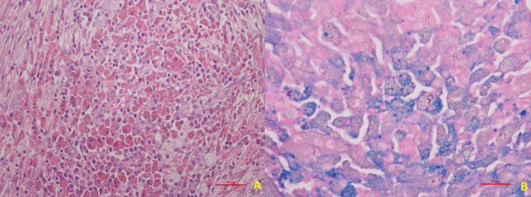
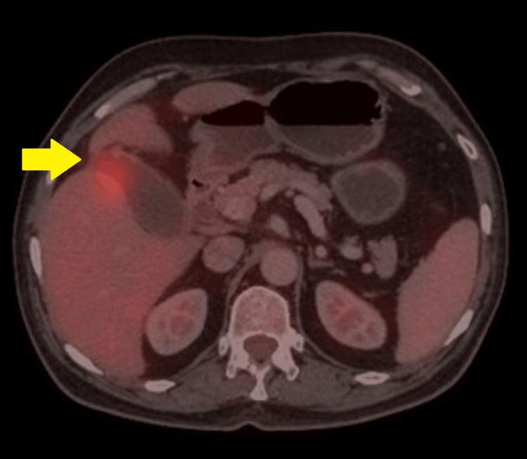
Malakoplakia, a rare granulomatous inflammatory condition, typically manifests in the genitourinary system. Its occurrence in the gallbladder is exceptionally uncommon, posing significant diagnostic challenges. A 68-year-old male presented with recurrent epigastric pain, and a suspicious gallbladder mass was found on imaging. He then underwent surgery due to concerns for malignancy. Histopathology of the surgical specimen revealed malakoplakia, highlighting the diagnostic dilemma encountered in such instances.

摘要

软斑病是一种罕见的肉芽肿性炎症性疾病,通常表现在泌尿生殖系统。其在胆囊中的发生极为罕见,带来了重大的诊断挑战。一名68岁男性因反复上腹部疼痛就诊,影像学检查发现胆囊有可疑肿块。由于担心是恶性肿瘤,他随后接受了手术。手术标本的组织病理学检查显示为软斑病,凸显了此类病例中遇到的诊断困境。

https://cdn.ncbi.nlm.nih.gov/pmc/blobs/c2b3/11470487/a9c27c2b97ca/cureus-0016-00000069257-i01.jpg

文献检索

告别复杂PubMed语法,用中文像聊天一样搜索,搜遍4000万医学文献。AI智能推荐,让科研检索更轻松。

立即免费搜索

文件翻译

保留排版,准确专业,支持PDF/Word/PPT等文件格式,支持 12+语言互译。

免费翻译文档

深度研究

AI帮你快速写综述,25分钟生成高质量综述,智能提取关键信息,辅助科研写作。

立即免费体验