• 文献检索
  • 文档翻译
  • 深度研究
  • 学术资讯
  • Suppr Zotero 插件Zotero 插件
  • 邀请有礼
  • 套餐&价格
  • 历史记录
应用&插件
Suppr Zotero 插件Zotero 插件浏览器插件Mac 客户端Windows 客户端微信小程序
定价
高级版会员购买积分包购买API积分包
服务
文献检索文档翻译深度研究API 文档MCP 服务
关于我们
关于 Suppr公司介绍联系我们用户协议隐私条款
关注我们

Suppr 超能文献

核心技术专利:CN118964589B侵权必究
粤ICP备2023148730 号-1Suppr @ 2026

文献检索

告别复杂PubMed语法,用中文像聊天一样搜索,搜遍4000万医学文献。AI智能推荐,让科研检索更轻松。

立即免费搜索

文件翻译

保留排版,准确专业,支持PDF/Word/PPT等文件格式,支持 12+语言互译。

免费翻译文档

深度研究

AI帮你快速写综述,25分钟生成高质量综述,智能提取关键信息,辅助科研写作。

立即免费体验

腹膜多灶性恶性血管周上皮样细胞瘤(PEComa):一例报告。

Multifocal malignant perivascular epithelioid cell tumor (PEComa) of the peritoneum: A case report.

作者信息

Sassi Farah, Boujelbene Nadia, Abbes Imen, Naija Lamia, Khessairi Nayssem, Mrad Karima

机构信息

Department of Pathology, Salah Azaiz Institute, Faculty of Medicine, University Tunis El Manar.

Department of Pathology, Salah Azaiz Institute, Faculty of Medicine, University Tunis El Manar.

出版信息

Int J Surg Case Rep. 2024 Nov;124:110455. doi: 10.1016/j.ijscr.2024.110455. Epub 2024 Oct 12.

DOI:10.1016/j.ijscr.2024.110455
PMID:39405767
原文链接:https://pmc.ncbi.nlm.nih.gov/articles/PMC11562393/
Abstract

INTRODUCTION AND IMPORTANCE

Neoplasms with perivascular epithelioid-cell differentiation (PEComa) are rare. We present a case of multifocal malignant PEComas arising in the peritoneum.

CASE PRESENTATION

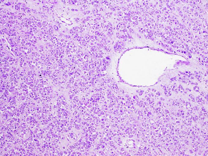
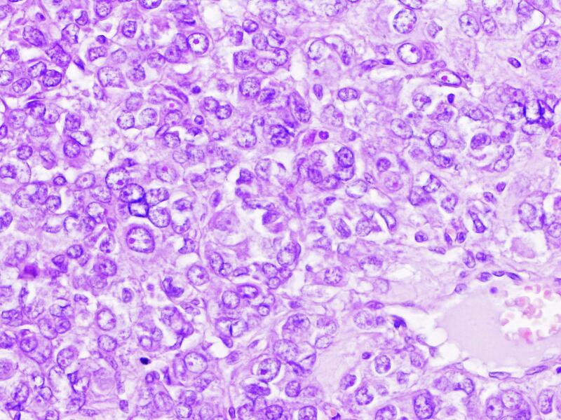
A 61-year-old woman presented with a painful abdominal mass that had progressed over the past year and recently increased in size. Pelvic magnetic resonance imaging (MRI) showed two masses: an 11-cm partially solid and cystic tumor, with moderate contrast uptake probably originating from the left ovary, and an 18-cm sized, intraperitoneal abdominal heterogeneous enhancing mass. Two nodules in the mesentery and the bladder peritoneum were discovered intraoperatively. The patient underwent Hudson's intervention with resection of the epiploic mass and the two nodules. Microscopic examination revealed a tumor proliferation of epithelioid clear cells with delicate vascular septae. Immunohistochemistry was positive for HMB45, MelanA and SMA. The final diagnosis of a malignant PEComa was retained. The patient developed two local peritoneal recurrences and died after 26 months of follow-up.

CLINICAL DISCUSSION

Our case is original by its multifocal presentation being the seventh case of a multifocal malignant PEComa reported in the literature. PEComa's clinical presentation and radiographic appearance can often mimic a soft tissue clear cell sarcoma.

CONCLUSION

Clinical and pathological correlations are mandatory to make a precise diagnosis and adapt the treatment of PEComas.

摘要

引言与重要性

伴有血管周上皮样细胞分化的肿瘤(PEComa)较为罕见。我们报告一例发生于腹膜的多灶性恶性PEComa病例。

病例介绍

一名61岁女性因腹部疼痛性肿块就诊,该肿块在过去一年中逐渐增大,近期体积进一步增加。盆腔磁共振成像(MRI)显示两个肿块:一个11厘米大小的部分实性和囊性肿瘤,造影剂摄取中等,可能起源于左侧卵巢,另一个18厘米大小的腹腔内不均匀强化肿块。术中发现肠系膜和膀胱腹膜有两个结节。患者接受了Hudson手术,切除了网膜肿块和两个结节。显微镜检查显示上皮样透明细胞肿瘤增殖,伴有纤细的血管间隔。免疫组化HMB45、MelanA和SMA呈阳性。最终诊断为恶性PEComa。患者出现两次局部腹膜复发,随访26个月后死亡。

临床讨论

我们的病例具有多灶性表现,是文献报道的第七例多灶性恶性PEComa,具有独特性。PEComa的临床表现和影像学表现常可模仿软组织透明细胞肉瘤。

结论

临床与病理相关性对于准确诊断和调整PEComa的治疗至关重要。

https://cdn.ncbi.nlm.nih.gov/pmc/blobs/070b/11562393/9a5bd179dce2/gr5.jpg
https://cdn.ncbi.nlm.nih.gov/pmc/blobs/070b/11562393/0d24c2403dc7/gr1.jpg
https://cdn.ncbi.nlm.nih.gov/pmc/blobs/070b/11562393/df5a7da781b5/gr2.jpg
https://cdn.ncbi.nlm.nih.gov/pmc/blobs/070b/11562393/7ffc320d287d/gr3.jpg
https://cdn.ncbi.nlm.nih.gov/pmc/blobs/070b/11562393/495b53629de9/gr4.jpg
https://cdn.ncbi.nlm.nih.gov/pmc/blobs/070b/11562393/9a5bd179dce2/gr5.jpg
https://cdn.ncbi.nlm.nih.gov/pmc/blobs/070b/11562393/0d24c2403dc7/gr1.jpg
https://cdn.ncbi.nlm.nih.gov/pmc/blobs/070b/11562393/df5a7da781b5/gr2.jpg
https://cdn.ncbi.nlm.nih.gov/pmc/blobs/070b/11562393/7ffc320d287d/gr3.jpg
https://cdn.ncbi.nlm.nih.gov/pmc/blobs/070b/11562393/495b53629de9/gr4.jpg
https://cdn.ncbi.nlm.nih.gov/pmc/blobs/070b/11562393/9a5bd179dce2/gr5.jpg

相似文献

1
Multifocal malignant perivascular epithelioid cell tumor (PEComa) of the peritoneum: A case report.腹膜多灶性恶性血管周上皮样细胞瘤(PEComa):一例报告。
Int J Surg Case Rep. 2024 Nov;124:110455. doi: 10.1016/j.ijscr.2024.110455. Epub 2024 Oct 12.
2
Multifocal perivascular epithelioid cell tumor of the uterus: report of one case and literature review.子宫多灶性血管周围上皮样细胞瘤:1例报告及文献复习
Int J Clin Exp Pathol. 2019 Nov 1;12(11):4113-4118. eCollection 2019.
3
Primary malignant gastric PEComa - Diagnostic and technical dilemmas.原发性恶性胃PEComa——诊断及技术难题
Int J Surg Case Rep. 2012;3(2):89-91. doi: 10.1016/j.ijscr.2011.11.003. Epub 2011 Nov 18.
4
[Uterine malignant perivascular epithelioid cell tumor (PEComa): Two case reports].[子宫恶性血管周上皮样细胞肿瘤(PEComa):两例报告]
Ann Pathol. 2021 Feb;41(1):118-122. doi: 10.1016/j.annpat.2020.06.013. Epub 2020 Jul 6.
5
Transurethral en bloc resection of a bladder perivascular epithelioid cell tumor (PEComa): a case report.经尿道整块切除术治疗膀胱血管周上皮样细胞瘤(PEComa):一例报告。
BMC Urol. 2023 Mar 2;23(1):28. doi: 10.1186/s12894-023-01198-6.
6
-expressing malignant perivascular epithelioid cell tumor of the mesentery: A case report and review of literature.表达的肠系膜恶性血管周上皮样细胞瘤:一例报告并文献复习
World J Clin Cases. 2020 Sep 26;8(18):4207-4214. doi: 10.12998/wjcc.v8.i18.4207.
7
Perivascular epithelioid cell tumor ('PEComa') of the uterus: a subset of HMB-45-positive epithelioid mesenchymal neoplasms with an uncertain relationship to pure smooth muscle tumors.子宫血管周上皮样细胞瘤(“PEComa”):一组HMB-45阳性上皮样间叶肿瘤,与纯平滑肌肿瘤的关系尚不明确。
Am J Surg Pathol. 2002 Jan;26(1):1-13. doi: 10.1097/00000478-200201000-00001.
8
Pneumothorax caused by cystic and nodular lung metastases from a malignant uterine perivascular epithelioid cell tumor (PEComa).恶性子宫血管周上皮样细胞瘤(PEComa)的囊性和结节性肺转移导致的气胸
Respir Med Case Rep. 2017 Jun 27;22:77-82. doi: 10.1016/j.rmcr.2017.06.011. eCollection 2017.
9
Bladder perivascular epithelioid cell neoplasm: Review on clinical features of this rare tumor.膀胱血管周上皮样细胞瘤:关于这种罕见肿瘤临床特征的综述
Urol Ann. 2024 Jan-Mar;16(1):28-35. doi: 10.4103/ua.ua_40_23. Epub 2024 Jan 25.
10
Laparoscopic radical nephroureterectomy in the oblique supine lithotomy integrative position for rare renal malignant perivascular epithelioid cell tumor with renal vein cancerous thrombosis: A case report and literature review.斜仰卧截石位腹腔镜根治性肾输尿管切除术治疗罕见肾血管周上皮样细胞肿瘤伴肾静脉癌栓:1 例报告并文献复习。
Medicine (Baltimore). 2022 Sep 23;101(38):e30653. doi: 10.1097/MD.0000000000030653.

本文引用的文献

1
Systemic Treatments and Molecular Biomarkers for Perivascular Epithelioid Cell Tumors: A Single-institution Retrospective Analysis.血管周上皮样细胞肿瘤的系统治疗和分子标志物:单中心回顾性分析。
Cancer Res Commun. 2023 Jul 12;3(7):1212-1223. doi: 10.1158/2767-9764.CRC-23-0139. eCollection 2023 Jul.
2
The SCARE 2023 guideline: updating consensus Surgical CAse REport (SCARE) guidelines.SCARE 2023 指南:更新共识外科病例报告(SCARE)指南。
Int J Surg. 2023 May 1;109(5):1136-1140. doi: 10.1097/JS9.0000000000000373.
3
TFE3-associated perivascular epithelioid cell tumor with complete response to mTOR inhibitor therapy: report of first case and literature review.
TFE3 相关的血管周上皮样细胞肿瘤对 mTOR 抑制剂治疗有完全反应:首例病例报告及文献复习。
World J Surg Oncol. 2022 Mar 1;20(1):62. doi: 10.1186/s12957-021-02462-5.
4
Perivascular epithelioid cell tumors (PEComa) of the gynecologic tract.妇科生殖道血管周上皮样细胞瘤(PEComa)。
Genes Chromosomes Cancer. 2021 Mar;60(3):168-179. doi: 10.1002/gcc.22908. Epub 2020 Nov 6.
5
The 2020 WHO Classification of Tumors of Soft Tissue: Selected Changes and New Entities.《2020 年世卫组织软组织肿瘤分类:精选变更和新实体》。
Adv Anat Pathol. 2021 Jan;28(1):44-58. doi: 10.1097/PAP.0000000000000284.
6
Histopathologic characteristics and immunotypes of perivascular epithelioid cell tumors (PEComa).血管周上皮样细胞肿瘤(PEComa)的组织病理学特征及免疫类型
Int J Clin Exp Pathol. 2019 Dec 1;12(12):4380-4389. eCollection 2019.
7
A rare case of perivascular epithelioid cell tumor (PEComa) of the greater omentum.罕见的大网膜血管周上皮样细胞瘤(PEComa)病例。
World J Surg Oncol. 2018 Jun 19;16(1):113. doi: 10.1186/s12957-018-1407-5.
8
Successful thoracoscopic resection of a large mediastinal angiomyolipoma.成功进行胸腔镜下大型纵隔血管平滑肌脂肪瘤切除术。
J Thorac Dis. 2017 May;9(5):E427-E431. doi: 10.21037/jtd.2017.04.58.
9
An orbital perivascular epithelioid cell tumor in a 7-year-old boy: case report and review of the literature.一名7岁男孩的眼眶血管周围上皮样细胞瘤:病例报告及文献复习
J AAPOS. 2017 Aug;21(4):325-328.e1. doi: 10.1016/j.jaapos.2017.05.022. Epub 2017 May 30.
10
Primary cutaneous perivascular epithelioid cell tumor (PEComa): Five new cases and review of the literature.原发性皮肤血管周围上皮样细胞瘤(PEComa):5例新病例及文献复习
J Cutan Pathol. 2017 Aug;44(8):713-721. doi: 10.1111/cup.12972. Epub 2017 Jun 22.