Suppr超能文献

一名患有脑瘫的非免疫功能低下患者因[未提及具体病因]导致肺部感染的病例。 (注:原文中“due to”后面内容缺失)

A Case of Pulmonary Infection Due to in a Non-Immunocompromised Patient with Cerebral Palsy.

作者信息

Jiang Yanyan, Chen Zhengzheng, Lv Huoyang, Jiang Lihua, Fan Zhiyuan

机构信息

Medical Laboratory Center, Tongxiang First People's Hospital, Jiaxing, Zhejiang, People's Republic of China.

Medical Laboratory Center, Zhejiang Provincial People's Hospital, Hangzhou, Zhejiang, People's Republic of China.

出版信息

Infect Drug Resist. 2024 Oct 11;17:4369-4373. doi: 10.2147/IDR.S471082. eCollection 2024.

Abstract

BACKGROUND

() is a dimorphic opportunistic fungus that is a rare yeast and rarely reported in Asia. Owing to the absence of established clinical breakpoints, the treatment of this fungus poses challenges.

CASE PRESENTATION

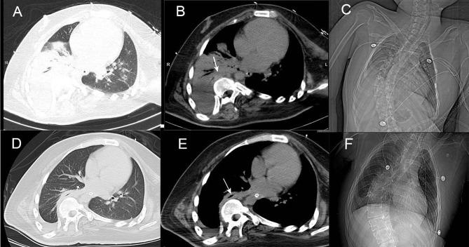
We report a rare case of a young, non-immunocompromised man with cerebral palsy, spinal deformity, and pulmonary infection. The patient's condition improved after treatment with voriconazole and became stable.

CONCLUSION

infection is commonly associated with hematologic tumors and compromised immunity. Reports of infection in patients with non-immunocompromised host are uncommon. Insufficient understanding of these fungi may lead to underdiagnosis of fungal infection and clinical misdiagnosis, potentially resulting in delayed treatment and increased mortality.

摘要

背景

()是一种双相性机会性真菌,是一种罕见的酵母菌,在亚洲鲜有报道。由于缺乏既定的临床断点,这种真菌的治疗面临挑战。

病例报告

我们报告一例罕见病例,患者为一名患有脑瘫、脊柱畸形和肺部感染的年轻非免疫功能低下男性。患者接受伏立康唑治疗后病情改善并趋于稳定。

结论

感染通常与血液系统肿瘤和免疫功能受损有关。非免疫功能低下宿主患者感染的报道并不常见。对这些真菌的认识不足可能导致真菌感染的漏诊和临床误诊,可能导致治疗延误和死亡率增加。

https://cdn.ncbi.nlm.nih.gov/pmc/blobs/6136/11476442/7b84e32c231a/IDR-17-4369-g0001.jpg

文献AI研究员

20分钟写一篇综述,助力文献阅读效率提升50倍。

立即体验

用中文搜PubMed

大模型驱动的PubMed中文搜索引擎

马上搜索

文档翻译

学术文献翻译模型,支持多种主流文档格式。

立即体验