• 文献检索
  • 文档翻译
  • 深度研究
  • 学术资讯
  • Suppr Zotero 插件Zotero 插件
  • 邀请有礼
  • 套餐&价格
  • 历史记录
应用&插件
Suppr Zotero 插件Zotero 插件浏览器插件Mac 客户端Windows 客户端微信小程序
定价
高级版会员购买积分包购买API积分包
服务
文献检索文档翻译深度研究API 文档MCP 服务
关于我们
关于 Suppr公司介绍联系我们用户协议隐私条款
关注我们

Suppr 超能文献

核心技术专利:CN118964589B侵权必究
粤ICP备2023148730 号-1Suppr @ 2026

文献检索

告别复杂PubMed语法,用中文像聊天一样搜索,搜遍4000万医学文献。AI智能推荐,让科研检索更轻松。

立即免费搜索

文件翻译

保留排版,准确专业,支持PDF/Word/PPT等文件格式,支持 12+语言互译。

免费翻译文档

深度研究

AI帮你快速写综述,25分钟生成高质量综述,智能提取关键信息,辅助科研写作。

立即免费体验

累及髋关节的致密性骨炎。

Melorheostosis Involving the Hip Joint.

作者信息

Vandendriessche Antoine, Vanhoenacker Filip

机构信息

Faculty of Medicine, Vrije Universiteit Brussel, Belgium.

Department of Radiology, AZ Sint-Maarten, Mechelen, Belgium.

出版信息

J Belg Soc Radiol. 2024 Oct 14;108(1):88. doi: 10.5334/jbsr.3752. eCollection 2024.

DOI:10.5334/jbsr.3752
PMID:39431059
原文链接:https://pmc.ncbi.nlm.nih.gov/articles/PMC11488186/
Abstract

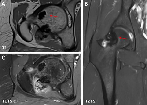
Melorheostosis is a rare sclerosing bone dysplasia, characterized by sclerosis at the periosteal and/or endosteal side of the cortex, causing undulating thickening of the bony contour resembling "dripping candle wax."

摘要

肢骨纹状肥大是一种罕见的骨硬化发育异常,其特征是皮质骨的骨膜侧和/或骨内膜侧出现硬化,导致骨轮廓呈波浪状增厚,类似“滴蜡”。

https://cdn.ncbi.nlm.nih.gov/pmc/blobs/fbb9/11488186/0c082274cbb7/jbsr-108-1-3752-g3.jpg
https://cdn.ncbi.nlm.nih.gov/pmc/blobs/fbb9/11488186/1230b4b8b780/jbsr-108-1-3752-g1.jpg
https://cdn.ncbi.nlm.nih.gov/pmc/blobs/fbb9/11488186/6a50d8ae48ad/jbsr-108-1-3752-g2.jpg
https://cdn.ncbi.nlm.nih.gov/pmc/blobs/fbb9/11488186/0c082274cbb7/jbsr-108-1-3752-g3.jpg
https://cdn.ncbi.nlm.nih.gov/pmc/blobs/fbb9/11488186/1230b4b8b780/jbsr-108-1-3752-g1.jpg
https://cdn.ncbi.nlm.nih.gov/pmc/blobs/fbb9/11488186/6a50d8ae48ad/jbsr-108-1-3752-g2.jpg
https://cdn.ncbi.nlm.nih.gov/pmc/blobs/fbb9/11488186/0c082274cbb7/jbsr-108-1-3752-g3.jpg

相似文献

1
Melorheostosis Involving the Hip Joint.累及髋关节的致密性骨炎。
J Belg Soc Radiol. 2024 Oct 14;108(1):88. doi: 10.5334/jbsr.3752. eCollection 2024.
2
Melorheostosis (Leri's Disease): A Review.骨肥大症(勒里氏病):综述
Cureus. 2024 Jun 8;16(6):e61950. doi: 10.7759/cureus.61950. eCollection 2024 Jun.
3
A Rare Case of Melorheostosis in the Hand of a Saudi Woman.一名沙特女性手部发生骨肥大症的罕见病例。
Cureus. 2020 Jun 28;12(6):e8877. doi: 10.7759/cureus.8877.
4
The dripping candle wax sign of melorheostosis.骨肥大症的滴蜡征。
SAGE Open Med Case Rep. 2020 Aug 20;8:2050313X20940564. doi: 10.1177/2050313X20940564. eCollection 2020.
5
Melorheostosis and a review of the literature in China.骨肥大症及中国文献综述
Intractable Rare Dis Res. 2013 May;2(2):51-54. doi: 10.5582/irdr.2013.v2.2.51.
6
Cross-Sectional Imaging Useful in Melorheostosis.横断面成像在骨肥大症中有用。
JBMR Plus. 2021 Feb 18;5(4):e10472. doi: 10.1002/jbm4.10472. eCollection 2021 Apr.
7
Melorheostosis with renal arterio-venous malformation: A case report with review of literature.伴有肾动静脉畸形的骨肥大症:一例报告并文献复习
Indian J Med Paediatr Oncol. 2009 Jan;30(1):39-42. doi: 10.4103/0971-5851.56336.
8
Melorheostosis: A Review of the Literature and a Case Report.骨硬化性黏液纤维瘤病:文献复习及病例报告。
Medicina (Kaunas). 2023 Apr 30;59(5):869. doi: 10.3390/medicina59050869.
9
Aneurysmal bone cyst-like changes developed in melorheostosis with epiphyseal osteopoikilosis.骨纤维结构不良合并骺板骨斑点症样动脉瘤样骨囊肿样改变。
Skeletal Radiol. 2024 Jul;53(7):1437-1441. doi: 10.1007/s00256-023-04529-8. Epub 2023 Nov 28.
10
Clinical report of metacarpal melorheostosis: a rare disease with "the dripping candle wax" appearance on different imaging modalities.掌骨肢端肥大症的临床报告:一种在不同影像学检查中呈现“滴蜡”外观的罕见疾病。
Oxf Med Case Reports. 2024 Oct 10;2024(10):omae115. doi: 10.1093/omcr/omae115. eCollection 2024 Oct.

本文引用的文献

1
Melorheostosis (Leri's Disease): A Review.骨肥大症(勒里氏病):综述
Cureus. 2024 Jun 8;16(6):e61950. doi: 10.7759/cureus.61950. eCollection 2024 Jun.