Suppr超能文献

斑秃内鼻敏化模型,采用百日咳毒素作为佐剂。

Intranasal sensitization model of alopecia areata using pertussis toxin as adjuvant.

机构信息

Division of Pediatric Gastroenterology, Department of Pediatrics, McGovern Medical School, The University of Texas Health Science Center at Houston, Houston, TX, United States.

Department of Neurology, McGovern Medical School, The University of Texas Health Science Center at Houston, Houston, TX, United States.

出版信息

Front Immunol. 2024 Oct 10;15:1469424. doi: 10.3389/fimmu.2024.1469424. eCollection 2024.

Abstract

BACKGROUND

Nasopharyngeal (BP) colonization is common, with about 5% of individuals having PCR evidence of subclinical BP infection on nasal swab, even in countries with high vaccination rates. BP secretes pertussis toxin (PTx). PTx is an adjuvant commonly used to induce autoimmunity in multiple animal models of human disease. Colocalization of PTx and myelin from myelinated nerves in the nasopharynx may lead to host sensitization to myelin with subsequent autoimmune pathology.

METHODS

C57BL/6J female adult mice were given varied doses and schedules of intranasal PTx, MOG antigen, or controls to test whether intranasal administration of PTx and myelin oligodendrocyte peptide (MOG) could induce experimental autoimmune encephalomyelitis (EAE) in mice. While we observed systemic cell-mediated immunity against MOG, we did not observe EAE. Unexpectedly, many mice developed alopecia. We systematically investigated this finding.

RESULTS

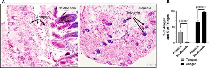
Patchy alopecia developed in 36.4% of mice with the optimized protocol. Pathology consistent with alopecia areata was confirmed histologically by documenting concomitant reduced anagen phase and increased telogen phase hair follicles (HFs) in biopsies from patches of hair loss in mice with alopecia. We also found reduced CD200 staining and increased CD3T cells surrounding the HFs of mice with alopecia compared to the mice without alopecia, indicating HF Immune Privilege (HFIP) collapse. Systemic immune responses were also found, with increased proportions of activated T cells and B cells, as well as MHCII dendritic cells in peripheral blood and/or splenocytes. Finally, in mice initially exposed to intranasal MOG and PTx in combination, but not to either agent alone, splenocytes were shown to proliferate after stimulation by MOG Consistent with prior investigations, PTx exhibited a dose-response effect on immune cell induction and phenotype, with the lowest PTx dose failing to induce autoimmunity, the highest PTx dose suppressing autoimmunity, and intermediate doses optimizing autoimmunity.

CONCLUSIONS

We propose that this is the first report of an autoimmune disease in an animal model triggered by colocalization of intranasal PTx and autoantigen. This model parallels a natural exposure and potential intranasal sensitization-to-pathology paradigm and supports the plausibility that nasopharyngeal subclinical BP colonization is a cause of alopecia areata.

摘要

背景

鼻咽部(BP)定植很常见,即使在疫苗接种率较高的国家,也有约 5%的个体经鼻拭子 PCR 检测有亚临床 BP 感染的证据。BP 分泌百日咳毒素(PTx)。PTx 是一种常用的佐剂,可在多种人类疾病的动物模型中诱导自身免疫。鼻咽部 PTx 与有髓神经的髓鞘共定位可能导致宿主对髓鞘产生致敏,随后发生自身免疫病理学。

方法

给予 C57BL/6J 成年雌性小鼠不同剂量和方案的鼻内 PTx、MOG 抗原或对照,以测试鼻内给予 PTx 和髓鞘少突胶质细胞肽(MOG)是否可在小鼠中诱导实验性自身免疫性脑脊髓炎(EAE)。虽然我们观察到针对 MOG 的全身细胞介导免疫,但未观察到 EAE。出乎意料的是,许多小鼠出现脱发。我们系统地研究了这一发现。

结果

在优化方案中,36.4%的小鼠出现斑片状脱发。组织病理学证实脱发与斑秃一致,通过记录脱发小鼠活检中毛发的休止期毛囊(HFs)增加和生长期毛囊减少来证实。与无脱发的小鼠相比,我们还发现脱发小鼠的 HF 周围 CD200 染色减少和 CD3T 细胞增加,表明 HF 免疫豁免(HFIP)崩溃。还发现全身性免疫反应,外周血和/或脾细胞中活化 T 细胞和 B 细胞以及 MHCII 树突细胞的比例增加。最后,在最初同时暴露于鼻内 MOG 和 PTx 而不是单独暴露于任何一种药物的小鼠中,用 MOG 刺激后脾细胞增殖。与先前的研究一致,PTx 对免疫细胞诱导和表型具有剂量反应效应,最低 PTx 剂量不能诱导自身免疫,最高 PTx 剂量抑制自身免疫,而中间剂量则优化自身免疫。

结论

我们提出,这是首例通过鼻内 PTx 和自身抗原共定位引发动物模型自身免疫疾病的报道。该模型与自然暴露和潜在的鼻内致敏-发病机制范例相似,并支持鼻咽部亚临床 BP 定植是斑秃的原因这一观点。

https://cdn.ncbi.nlm.nih.gov/pmc/blobs/45cb/11499204/0e27721a6138/fimmu-15-1469424-g001.jpg

文献检索

告别复杂PubMed语法,用中文像聊天一样搜索,搜遍4000万医学文献。AI智能推荐,让科研检索更轻松。

立即免费搜索

文件翻译

保留排版,准确专业,支持PDF/Word/PPT等文件格式,支持 12+语言互译。

免费翻译文档

深度研究

AI帮你快速写综述,25分钟生成高质量综述,智能提取关键信息,辅助科研写作。

立即免费体验