Suppr超能文献

分享立体定向体部放疗(SBRT)治疗胰腺癌的单机构经验。

Sharing Mono-Institutional Experience of Treating Pancreatic Cancer with Stereotactic Body Radiation Therapy (SBRT).

机构信息

Division of Radiation Oncology, Department of Oncology, University of Alberta & Cross Cancer Institute, Edmonton, AB T6G 1Z2, Canada.

Department of Radiation Therapy, Cross Cancer Institute, Edmonton, AB T6G 1Z2, Canada.

出版信息

Curr Oncol. 2024 Oct 4;31(10):5974-5986. doi: 10.3390/curroncol31100446.

Abstract

BACKGROUND

Stereotactic body radiotherapy (SBRT) is an evolving treatment for the local management of pancreatic cancer (PC). The main purpose of this study is to report our initial experience in terms of local control (LC) and toxicity for PC patients treated with SBRT.

METHODS

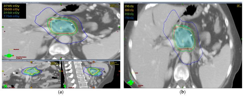
We conducted a retrospective review of patients treated with SBRT using abdominal compression (AC) or an end-expiratory breath-holding (EEBH) technique. The median prescribed dose was 35 Gy, delivered in five fractions. Toxicities were recorded using Common Terminology Criteria for Adverse Events (CTCAE) v5.0, and survival was estimated using the Kaplan-Meier method.

RESULTS

From 2017 to 2023, 17 PC patients were offered SBRT. Their median age was 69 years. The median follow-up from the date of diagnosis was 22.37 months. The overall survival (OS) was 94% at 1 year and 60.9% at 2 years. The progression-free survival (PFS) was 63.1% at 6 months and 56.1% at 9 months. The median OS was 26.3 months, and the median PFS was 20.6 months. The 6-month and 1-year LC rates were 71% and 50.8%, respectively.

CONCLUSION

We are successful in implementing the SBRT program at our centre. SBRT appears to be a promising treatment option for achieving LC with limited acute toxicities.

摘要

背景

立体定向体部放疗(SBRT)是一种治疗胰腺癌(PC)的局部管理方法,正在不断发展。本研究的主要目的是报告我们采用 SBRT 治疗 PC 患者的局部控制(LC)和毒性的初步经验。

方法

我们对采用腹部压缩(AC)或呼气末屏气(EEBH)技术进行 SBRT 的患者进行了回顾性研究。中位处方剂量为 35 Gy,分 5 次给予。采用 CTCAE v5.0 记录毒性,采用 Kaplan-Meier 法估计生存情况。

结果

2017 年至 2023 年,我们为 17 例 PC 患者提供了 SBRT。他们的中位年龄为 69 岁。从诊断日期到中位随访时间为 22.37 个月。1 年的总生存率(OS)为 94%,2 年的 OS 为 60.9%。6 个月的无进展生存率(PFS)为 63.1%,9 个月的 PFS 为 56.1%。中位 OS 为 26.3 个月,中位 PFS 为 20.6 个月。6 个月和 1 年的 LC 率分别为 71%和 50.8%。

结论

我们成功地在我们的中心实施了 SBRT 计划。SBRT 似乎是一种有前途的治疗选择,可实现 LC,且急性毒性有限。

https://cdn.ncbi.nlm.nih.gov/pmc/blobs/4d75/11506591/66aa48f91291/curroncol-31-00446-g001.jpg

文献检索

告别复杂PubMed语法,用中文像聊天一样搜索,搜遍4000万医学文献。AI智能推荐,让科研检索更轻松。

立即免费搜索

文件翻译

保留排版,准确专业,支持PDF/Word/PPT等文件格式,支持 12+语言互译。

免费翻译文档

深度研究

AI帮你快速写综述,25分钟生成高质量综述,智能提取关键信息,辅助科研写作。

立即免费体验