• 文献检索
  • 文档翻译
  • 深度研究
  • 学术资讯
  • Suppr Zotero 插件Zotero 插件
  • 邀请有礼
  • 套餐&价格
  • 历史记录
应用&插件
Suppr Zotero 插件Zotero 插件浏览器插件Mac 客户端Windows 客户端微信小程序
定价
高级版会员购买积分包购买API积分包
服务
文献检索文档翻译深度研究API 文档MCP 服务
关于我们
关于 Suppr公司介绍联系我们用户协议隐私条款
关注我们

Suppr 超能文献

核心技术专利:CN118964589B侵权必究
粤ICP备2023148730 号-1Suppr @ 2026

文献检索

告别复杂PubMed语法,用中文像聊天一样搜索,搜遍4000万医学文献。AI智能推荐,让科研检索更轻松。

立即免费搜索

文件翻译

保留排版,准确专业,支持PDF/Word/PPT等文件格式,支持 12+语言互译。

免费翻译文档

深度研究

AI帮你快速写综述,25分钟生成高质量综述,智能提取关键信息,辅助科研写作。

立即免费体验

墨西哥人群口腔鳞状细胞癌中NTRK基因表达分析

NTRK Gene Expression Analysis in Oral Squamous Cell Carcinoma Mexican Population.

作者信息

Escoto-Vasquez Lilibeth Stephania, Portilla-Robertson Javier, Ramírez-Jarquín Josué Orlando, Jacinto-Alemán Luis Fernando, Alonso-Moctezuma Alejandro, Ramírez-Martínez Carla Monserrat, Chanes-Cuevas Osmar Alejandro, Salgado-Chavarria Fabiola

机构信息

Oral Medicine and Pathology Department, Postgraduate and Research Division, Dentistry School, National Autonomous University of Mexico, Mexico City 04510, Mexico.

Neurosciences Division, Cellular Physiology Institute, National Autonomous University of Mexico, Mexico City 04510, Mexico.

出版信息

Dent J (Basel). 2024 Oct 14;12(10):327. doi: 10.3390/dj12100327.

DOI:10.3390/dj12100327
PMID:39452455
原文链接:https://pmc.ncbi.nlm.nih.gov/articles/PMC11506341/
Abstract

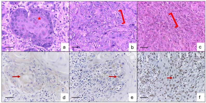
Oral cancer holds the sixth position in malignancies worldwide; 90% correspond to oral squamous cell carcinoma (OSCC). Diverse reports suggest that NTRK genes and their receptors are key oncogenesis regulators to tumor progression in human cancers. To analyze the NTRK and Trk expression and their association with clinicopathological features of OSCC in Mexican patients' samples. We analyzed 95 OSCC cases of pan-trk immunoexpression through a software-assisted method. Gene expression was analyzed by RT-qPCR employing the ΔΔCT method. Kruskal-Wallis and Spearman's correlation tests were performed. Our mean age was 62.4 (±16.9) years. A total of 37 cases were tumors in the lateral border of the tongue. Age was significantly associated with the anatomical site. 42% (40 of 95) cases were pan-trk positive. A total of 21 cases showed intense immunoexpression predominantly in poorly differentiated OSCC, with a significant correlation between immunoexpression and age and gender. Gene expression showed that poorly differentiated cases exhibited higher NTRK2 expression, while well-differentiated cases demonstrated NTRK3 significantly higher expression. Our results suggest that NTRK family expression is present in OSCC, with differential expression related to differentiation degree. Additional information about their activation or mutational status could reinforce their potential as a possible primary or adjuvant treatment target.

摘要

口腔癌在全球恶性肿瘤中位居第六;90%为口腔鳞状细胞癌(OSCC)。各种报告表明,神经营养酪氨酸激酶(NTRK)基因及其受体是人类癌症肿瘤进展的关键肿瘤发生调节因子。为了分析墨西哥患者样本中NTRK和Trk的表达及其与OSCC临床病理特征的关系。我们通过软件辅助方法分析了95例OSCC病例的泛Trk免疫表达。采用ΔΔCT法通过逆转录定量聚合酶链反应(RT-qPCR)分析基因表达。进行了克鲁斯卡尔-沃利斯检验和斯皮尔曼相关性检验。我们的平均年龄为62.4(±16.9)岁。共有37例肿瘤位于舌侧缘。年龄与解剖部位显著相关。42%(95例中的40例)病例为泛Trk阳性。共有21例主要在低分化OSCC中表现出强烈免疫表达,免疫表达与年龄和性别之间存在显著相关性。基因表达表明,低分化病例表现出较高的NTRK2表达,而高分化病例表现出NTRK3显著较高的表达。我们的结果表明,NTRK家族表达存在于OSCC中,其差异表达与分化程度有关。关于它们的激活或突变状态的更多信息可能会加强它们作为可能的主要或辅助治疗靶点的潜力。

https://cdn.ncbi.nlm.nih.gov/pmc/blobs/59ba/11506341/a16701d93343/dentistry-12-00327-g002.jpg
https://cdn.ncbi.nlm.nih.gov/pmc/blobs/59ba/11506341/5c0db99141df/dentistry-12-00327-g001.jpg
https://cdn.ncbi.nlm.nih.gov/pmc/blobs/59ba/11506341/a16701d93343/dentistry-12-00327-g002.jpg
https://cdn.ncbi.nlm.nih.gov/pmc/blobs/59ba/11506341/5c0db99141df/dentistry-12-00327-g001.jpg
https://cdn.ncbi.nlm.nih.gov/pmc/blobs/59ba/11506341/a16701d93343/dentistry-12-00327-g002.jpg

相似文献

1
NTRK Gene Expression Analysis in Oral Squamous Cell Carcinoma Mexican Population.墨西哥人群口腔鳞状细胞癌中NTRK基因表达分析
Dent J (Basel). 2024 Oct 14;12(10):327. doi: 10.3390/dj12100327.
2
The Genomic and Proteomic Profiles of NTRK Genes and Trk Receptors in Liver Hepatocellular Carcinoma.肝细胞癌中NTRK基因和Trk受体的基因组和蛋白质组图谱
Clin Med Insights Oncol. 2023 Jul 10;17:11795549231180840. doi: 10.1177/11795549231180840. eCollection 2023.
3
Detection of NTRK fusions in glioblastoma: fluorescent in situ hybridisation is more useful than pan-TRK immunohistochemistry as a screening tool prior to RNA sequencing.胶质母细胞瘤中 NTRK 融合的检测:荧光原位杂交比 pan-TRK 免疫组化作为 RNA 测序前的筛选工具更有用。
Pathology. 2022 Feb;54(1):55-62. doi: 10.1016/j.pathol.2021.05.100. Epub 2021 Sep 10.
4
Pan-Trk Immunohistochemistry Is an Efficient and Reliable Screen for the Detection of NTRK Fusions.泛Trk免疫组化是检测NTRK融合的一种有效且可靠的筛查方法。
Am J Surg Pathol. 2017 Nov;41(11):1547-1551. doi: 10.1097/PAS.0000000000000911.
5
Pan-tumor screening for NTRK gene fusions using pan-TRK immunohistochemistry and RNA NGS fusion panel testing.使用泛TRK免疫组织化学和RNA二代测序融合检测板对NTRK基因融合进行泛肿瘤筛查。
Cancer Genet. 2022 Apr;262-263:47-52. doi: 10.1016/j.cancergen.2021.12.010. Epub 2022 Jan 2.
6
Detection of Fusions and TRK Expression and Performance of pan-TRK Immunohistochemistry in Routine Diagnostics: Results from a Nationwide Community-Based Cohort.常规诊断中融合基因检测、TRK表达及泛TRK免疫组化的应用:一项基于全国社区队列的研究结果
Diagnostics (Basel). 2022 Mar 9;12(3):668. doi: 10.3390/diagnostics12030668.
7
The Diagnostic Value of Pan-Trk Expression to Detect Neurotrophic Tyrosine Receptor Kinase (NTRK) Gene Fusion in CNS Tumours: A Study Using Next-Generation Sequencing Platform.泛 Trk 表达对中枢神经系统肿瘤中神经营养酪氨酸受体激酶(NTRK)基因融合的诊断价值:使用下一代测序平台的研究。
Pathol Oncol Res. 2022 Feb 28;28:1610233. doi: 10.3389/pore.2022.1610233. eCollection 2022.
8
The sensitivity of pan-TRK immunohistochemistry in solid tumours: A meta-analysis.泛 TRK 免疫组化在实体瘤中的敏感性:一项荟萃分析。
Eur J Cancer. 2022 Sep;173:229-237. doi: 10.1016/j.ejca.2022.06.030. Epub 2022 Aug 4.
9
Broadening the spectrum of NTRK rearranged mesenchymal tumors and usefulness of pan-TRK immunohistochemistry for identification of NTRK fusions.拓宽 NTRK 重排间叶肿瘤谱及 pan-TRK 免疫组化在鉴定 NTRK 融合中的作用。
Mod Pathol. 2021 Feb;34(2):396-407. doi: 10.1038/s41379-020-00657-x. Epub 2020 Aug 28.
10
China special issue on gastrointestinal tumors-NTRK fusion in a large real-world population and clinical utility of circulating tumor DNA genotyping to guide TRK inhibitor treatment.中国胃肠道肿瘤特刊——大型真实世界人群中 NTRK 融合及循环肿瘤 DNA 基因分型指导 TRK 抑制剂治疗的临床实用性
Int J Cancer. 2023 Dec 1;153(11):1916-1927. doi: 10.1002/ijc.34522. Epub 2023 Apr 23.

引用本文的文献

1
TrkA Expression as a Novel Prognostic Biomarker in Oral Squamous Cell Carcinoma.TrkA表达作为口腔鳞状细胞癌一种新的预后生物标志物
Int J Mol Sci. 2025 Jul 16;26(14):6847. doi: 10.3390/ijms26146847.
2
Knowledge and Awareness of Medical and Dental Students About Oral Cancer Risk Factors: A Systematic Review and Meta-Analysis.医学和牙科专业学生对口腔癌危险因素的认知:一项系统评价与荟萃分析
Cancer Control. 2025 Jan-Dec;32:10732748251316603. doi: 10.1177/10732748251316603.

本文引用的文献

1
Latin American Consensus on the Treatment of Head and Neck Cancer.拉丁美洲头颈部肿瘤治疗共识。
JCO Glob Oncol. 2024 Apr;10:e2300343. doi: 10.1200/GO.23.00343.
2
Is p16 Testing Sufficient as a Surrogate for HPV-Related Squamous Cell Carcinoma?p16检测能否充分替代人乳头瘤病毒相关的鳞状细胞癌检测?
Laryngoscope. 2024 Jul;134(7):2987-2988. doi: 10.1002/lary.31392. Epub 2024 Mar 17.
3
From genomic spectrum of NTRK genes to adverse effects of its inhibitors, a comprehensive genome-based and real-world pharmacovigilance analysis.
从NTRK基因的基因组谱到其抑制剂的不良反应,一项基于基因组的全面真实世界药物警戒分析。
Front Pharmacol. 2024 Jan 31;15:1329409. doi: 10.3389/fphar.2024.1329409. eCollection 2024.
4
Ultra-processed foods, adiposity and risk of head and neck cancer and oesophageal adenocarcinoma in the European Prospective Investigation into Cancer and Nutrition study: a mediation analysis.超加工食品、肥胖与欧洲癌症与营养前瞻性调查中头颈部癌症和食管腺癌风险:一项中介分析。
Eur J Nutr. 2024 Mar;63(2):377-396. doi: 10.1007/s00394-023-03270-1. Epub 2023 Nov 22.
5
Sex-biased gene expression across mammalian organ development and evolution.哺乳动物器官发育和进化过程中的性别偏向基因表达。
Science. 2023 Nov 3;382(6670):eadf1046. doi: 10.1126/science.adf1046.
6
Oral squamous cell carcinomas: state of the field and emerging directions.口腔鳞状细胞癌:研究现状与新兴方向。
Int J Oral Sci. 2023 Sep 22;15(1):44. doi: 10.1038/s41368-023-00249-w.
7
Anatomical landscape of oral squamous cell carcinoma: A single cancer center study in UAE.口腔鳞状细胞癌的解剖学特征:阿联酋某单一癌症中心的研究
Heliyon. 2023 May 3;9(5):e15884. doi: 10.1016/j.heliyon.2023.e15884. eCollection 2023 May.
8
IDH-mutant astrocytoma with an evolutional progression to CDKN2A/B homozygous deletion and NTRK fusion during recurrence: A case report.复发性 IDH 突变型星形细胞瘤中 CDKN2A/B 纯合缺失和 NTRK 融合的演进:一例报告。
Pathol Res Pract. 2022 Nov;239:154163. doi: 10.1016/j.prp.2022.154163. Epub 2022 Oct 15.
9
Epidemiology and survival outcomes of lip, oral cavity, and oropharyngeal squamous cell carcinoma in a southeast Brazilian population.巴西东南部人群唇、口腔和口咽鳞状细胞癌的流行病学及生存结果
Med Oral Patol Oral Cir Bucal. 2022 May 1;27(3):e274-e284. doi: 10.4317/medoral.25147.
10
Management of oral potentially malignant disorders.口腔潜在恶性疾病的管理。
Oral Dis. 2021 Nov;27(8):2008-2025. doi: 10.1111/odi.13980. Epub 2021 Oct 9.