• 文献检索
  • 文档翻译
  • 深度研究
  • 学术资讯
  • Suppr Zotero 插件Zotero 插件
  • 邀请有礼
  • 套餐&价格
  • 历史记录
应用&插件
Suppr Zotero 插件Zotero 插件浏览器插件Mac 客户端Windows 客户端微信小程序
定价
高级版会员购买积分包购买API积分包
服务
文献检索文档翻译深度研究API 文档MCP 服务
关于我们
关于 Suppr公司介绍联系我们用户协议隐私条款
关注我们

Suppr 超能文献

核心技术专利:CN118964589B侵权必究
粤ICP备2023148730 号-1Suppr @ 2026

文献检索

告别复杂PubMed语法,用中文像聊天一样搜索,搜遍4000万医学文献。AI智能推荐,让科研检索更轻松。

立即免费搜索

文件翻译

保留排版,准确专业,支持PDF/Word/PPT等文件格式,支持 12+语言互译。

免费翻译文档

深度研究

AI帮你快速写综述,25分钟生成高质量综述,智能提取关键信息,辅助科研写作。

立即免费体验

ARHGAP39 基因中的纯合变异与沙特一个近亲结婚家族的致死性小脑蚓部发育不全有关。

A homozygous variant in ARHGAP39 is associated with lethal cerebellar vermis hypoplasia in a consanguineous Saudi family.

机构信息

Department of Basic Medical Sciences, College of Medicine, Taibah University Medina, Almadinah Almunawwarah, Saudi Arabia.

Department of Genetics, Madinah Maternity and Children Hospital, Almadinah Almunawwarah, Saudi Arabia.

出版信息

Sci Rep. 2024 Oct 25;14(1):25291. doi: 10.1038/s41598-024-77541-0.

DOI:10.1038/s41598-024-77541-0
PMID:39455833
原文链接:https://pmc.ncbi.nlm.nih.gov/articles/PMC11511811/
Abstract

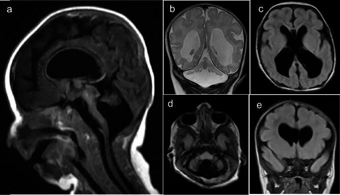
Cerebellar vermis hypoplasia refers to a varying degree of incomplete development of the cerebellum and vermis. A Saudi family with four affected individuals with cerebellar vermis hypoplasia, facial dysmorphology, visual impairment, skeletal, and cardiac abnormalities was ascertained in this study. Three out of four patients could not survive longer and had died in early infancy. Genetic analysis of the youngest affected was performed by genome-wide homozygosity mapping coupled with whole exome sequencing (WES), followed by Sanger validation. Genome-wide genotyping analysis mapped the phenotype to chromosome 8q24.3. Using an autosomal recessive model, considering deleterious variants with minor allele frequency of less than 0.001 in WES data, a homozygous missense variant (NM_025251.2; ARHGAP39; c.1301G > T; p.Cys434Phe) was selected as a potential candidate for the phenotype. The variant (c.1301G > T) in the ARHGAP39 is in the region of homozygosity on chromosome 8q24.3. ARHGAP39 is a Rho GTPase-activating protein 39 and has been known to regulate apoptosis, cell migration, neurogenesis, and cerebral and hippocampal dendritic spine morphology. Mice homozygous for arhgap39 knockouts have shown premature embryonic lethality. Our findings present the first ever human phenotype associated with ARHGAP39 alteration.

摘要

小脑蚓部发育不良是指小脑和蚓部的不同程度的不完全发育。本研究中,确定了一个沙特阿拉伯家族中有四个受影响的个体患有小脑蚓部发育不良、面部畸形、视力障碍、骨骼和心脏异常。四个患者中有三个不能存活更长时间,在婴儿早期死亡。对最年轻的受影响者进行了全基因组纯合性作图与外显子组测序(WES)相结合的遗传分析,随后进行了 Sanger 验证。全基因组基因型分析将表型定位到 8q24.3 染色体上。使用常染色体隐性遗传模型,考虑 WES 数据中杂合子频率小于 0.001 的有害变异,选择纯合错义变异(NM_025251.2; ARHGAP39; c.1301G>T; p.Cys434Phe)作为表型的潜在候选者。ARHGAP39 中的变异(c.1301G>T)位于 8q24.3 染色体的纯合区域。ARHGAP39 是一种 Rho GTPase 激活蛋白 39,已知可调节细胞凋亡、细胞迁移、神经发生以及大脑和海马树突棘形态。arhgap39 敲除纯合子小鼠表现出胚胎期过早致死。我们的发现首次提出了与 ARHGAP39 改变相关的人类表型。

https://cdn.ncbi.nlm.nih.gov/pmc/blobs/fbfa/11511811/b5085df6c07e/41598_2024_77541_Fig4_HTML.jpg
https://cdn.ncbi.nlm.nih.gov/pmc/blobs/fbfa/11511811/8b4c964a508f/41598_2024_77541_Fig1_HTML.jpg
https://cdn.ncbi.nlm.nih.gov/pmc/blobs/fbfa/11511811/e9604431bba6/41598_2024_77541_Fig5_HTML.jpg
https://cdn.ncbi.nlm.nih.gov/pmc/blobs/fbfa/11511811/63d5a9bf0d76/41598_2024_77541_Fig2_HTML.jpg
https://cdn.ncbi.nlm.nih.gov/pmc/blobs/fbfa/11511811/0d70c943dd0c/41598_2024_77541_Fig3_HTML.jpg
https://cdn.ncbi.nlm.nih.gov/pmc/blobs/fbfa/11511811/b5085df6c07e/41598_2024_77541_Fig4_HTML.jpg
https://cdn.ncbi.nlm.nih.gov/pmc/blobs/fbfa/11511811/8b4c964a508f/41598_2024_77541_Fig1_HTML.jpg
https://cdn.ncbi.nlm.nih.gov/pmc/blobs/fbfa/11511811/e9604431bba6/41598_2024_77541_Fig5_HTML.jpg
https://cdn.ncbi.nlm.nih.gov/pmc/blobs/fbfa/11511811/63d5a9bf0d76/41598_2024_77541_Fig2_HTML.jpg
https://cdn.ncbi.nlm.nih.gov/pmc/blobs/fbfa/11511811/0d70c943dd0c/41598_2024_77541_Fig3_HTML.jpg
https://cdn.ncbi.nlm.nih.gov/pmc/blobs/fbfa/11511811/b5085df6c07e/41598_2024_77541_Fig4_HTML.jpg

相似文献

1
A homozygous variant in ARHGAP39 is associated with lethal cerebellar vermis hypoplasia in a consanguineous Saudi family.ARHGAP39 基因中的纯合变异与沙特一个近亲结婚家族的致死性小脑蚓部发育不全有关。
Sci Rep. 2024 Oct 25;14(1):25291. doi: 10.1038/s41598-024-77541-0.
2
Novel ATAD3A recessive mutation associated to fatal cerebellar hypoplasia with multiorgan involvement and mitochondrial structural abnormalities.新型 ATAD3A 隐性突变与致命性小脑发育不全伴多器官受累和线粒体结构异常相关。
Mol Genet Metab. 2019 Dec;128(4):452-462. doi: 10.1016/j.ymgme.2019.10.012. Epub 2019 Nov 6.
3
WDR73 missense mutation causes infantile onset intellectual disability and cerebellar hypoplasia in a consanguineous family.WDR73 错义突变导致一个近亲结婚家族中婴儿起病的智力残疾和小脑发育不良。
Clin Chim Acta. 2017 Jan;464:24-29. doi: 10.1016/j.cca.2016.10.029. Epub 2016 Oct 28.
4
Autosomal recessive lissencephaly with cerebellar hypoplasia is associated with a loss-of-function mutation in CDK5.伴有小脑发育不全的常染色体隐性无脑回畸形与CDK5功能丧失性突变有关。
Hum Genet. 2015 Mar;134(3):305-14. doi: 10.1007/s00439-014-1522-5. Epub 2015 Jan 6.
5
Severe neurodevelopmental disease caused by a homozygous TLK2 variant.由 TLK2 纯合变体引起的严重神经发育疾病。
Eur J Hum Genet. 2020 Mar;28(3):383-387. doi: 10.1038/s41431-019-0519-x.
6
A missense variant in ITPR1 provides evidence for autosomal recessive SCA29 with asymptomatic cerebellar hypoplasia in carriers.ITPR1基因中的一个错义变异为常染色体隐性遗传性SCA29提供了证据,其携带者存在无症状性小脑发育不全。
Eur J Hum Genet. 2017 Jun;25(7):848-853. doi: 10.1038/ejhg.2017.54. Epub 2017 May 10.
7
A novel homozygous PTH1R variant identified through whole-exome sequencing further expands the clinical spectrum of primary failure of tooth eruption in a consanguineous Saudi family.通过全外显子组测序鉴定出的一种新型纯合甲状旁腺激素1型受体(PTH1R)变异,进一步扩展了一个沙特近亲家族中牙齿萌出原发性失败的临床谱。
Arch Oral Biol. 2016 Jul;67:28-33. doi: 10.1016/j.archoralbio.2016.03.012. Epub 2016 Mar 23.
8
Expanding the spectrum of CEP55-associated disease to viable phenotypes.扩大 CEP55 相关疾病的表型谱至可存活表型。
Am J Med Genet A. 2020 May;182(5):1201-1208. doi: 10.1002/ajmg.a.61512. Epub 2020 Feb 25.
9
Pontocerebellar hypoplasia type 11: Does the genetic defect determine timing of cerebellar pathology?11 型桥小脑发育不良:遗传缺陷是否决定小脑病变的时间?
Eur J Med Genet. 2020 Jul;63(7):103938. doi: 10.1016/j.ejmg.2020.103938. Epub 2020 Apr 28.
10
Homozygous Truncating Variants in TBC1D23 Cause Pontocerebellar Hypoplasia and Alter Cortical Development.TBC1D23基因的纯合截短变异导致脑桥小脑发育不全并影响皮质发育。
Am J Hum Genet. 2017 Sep 7;101(3):428-440. doi: 10.1016/j.ajhg.2017.07.010. Epub 2017 Aug 17.

本文引用的文献

1
Whole genome genotyping mapped regions on chromosome 2 and 18 in a family segregating Waardenburg syndrome type II.对一个患有Ⅱ型瓦登伯革氏综合征的家系进行全基因组基因分型,确定了2号和18号染色体上的定位区域。
Saudi J Ophthalmol. 2019 Oct-Dec;33(4):326-331. doi: 10.1016/j.sjopt.2019.09.004. Epub 2019 Sep 18.
2
Centromere protein I (CENPI) is a candidate gene for X-linked steroid sensitive nephrotic syndrome.着丝粒蛋白 I(CENPI)是 X 连锁类固醇敏感性肾病综合征的候选基因。
J Nephrol. 2020 Aug;33(4):763-769. doi: 10.1007/s40620-019-00692-1. Epub 2020 Jan 7.
3
Novel homozygous loss-of-function mutations in and genes in retinitis pigmentosa patients.
视网膜色素变性患者中 和 基因的新型纯合功能丧失突变。
Ophthalmic Genet. 2019 Dec;40(6):507-513. doi: 10.1080/13816810.2019.1703014. Epub 2019 Dec 13.
4
Redefining the Etiologic Landscape of Cerebellar Malformations.重新定义小脑畸形的病因景观。
Am J Hum Genet. 2019 Sep 5;105(3):606-615. doi: 10.1016/j.ajhg.2019.07.019. Epub 2019 Aug 29.
5
Porf-2 = Arhgap39 = Vilse: A Pivotal Role in Neurodevelopment, Learning and Memory.Porf-2 = Arhgap39 = Vilse:神经发育、学习和记忆中的关键作用。
eNeuro. 2018 Oct 15;5(5). doi: 10.1523/ENEURO.0082-18.2018. eCollection 2018 Sep-Oct.
6
An 18 bps in-frame deletion mutation in RUNX2 gene is a population polymorphism rather than a pathogenic variant.RUNX2基因中一个18个碱基对的框内缺失突变是一种群体多态性而非致病变体。
Eur J Med Genet. 2019 Feb;62(2):124-128. doi: 10.1016/j.ejmg.2018.06.013. Epub 2018 Jun 28.
7
Neuronal GAP-Porf-2 transduces EphB1 signaling to brake axon growth.神经元 GAP-Porf-2 将 EphB1 信号转导为刹车轴突生长。
Cell Mol Life Sci. 2018 Nov;75(22):4207-4222. doi: 10.1007/s00018-018-2858-0. Epub 2018 Jun 25.
8
What's new in pontocerebellar hypoplasia? An update on genes and subtypes.桥脑小脑发育不良有哪些新进展?基因和亚型的最新研究。
Orphanet J Rare Dis. 2018 Jun 15;13(1):92. doi: 10.1186/s13023-018-0826-2.
9
Prenatal diagnosis of posterior fossa anomalies: Additional value of chromosomal microarray analysis in fetuses with cerebellar hypoplasia.产前诊断后颅窝异常:染色体微阵列分析在小脑发育不良胎儿中的附加价值。
Prenat Diagn. 2018 Jan;38(2):91-98. doi: 10.1002/pd.5190. Epub 2018 Jan 10.
10
Reply: Genotype-phenotype correlation in ATAD3A deletions: not just of scientific relevance.回复:ATAD3A基因缺失中的基因型-表型相关性:不仅具有科学意义。
Brain. 2017 Nov 1;140(11):e67. doi: 10.1093/brain/awx240.