• 文献检索
  • 文档翻译
  • 深度研究
  • 学术资讯
  • Suppr Zotero 插件Zotero 插件
  • 邀请有礼
  • 套餐&价格
  • 历史记录
应用&插件
Suppr Zotero 插件Zotero 插件浏览器插件Mac 客户端Windows 客户端微信小程序
定价
高级版会员购买积分包购买API积分包
服务
文献检索文档翻译深度研究API 文档MCP 服务
关于我们
关于 Suppr公司介绍联系我们用户协议隐私条款
关注我们

Suppr 超能文献

核心技术专利:CN118964589B侵权必究
粤ICP备2023148730 号-1Suppr @ 2026

文献检索

告别复杂PubMed语法,用中文像聊天一样搜索,搜遍4000万医学文献。AI智能推荐,让科研检索更轻松。

立即免费搜索

文件翻译

保留排版,准确专业,支持PDF/Word/PPT等文件格式,支持 12+语言互译。

免费翻译文档

深度研究

AI帮你快速写综述,25分钟生成高质量综述,智能提取关键信息,辅助科研写作。

立即免费体验

针对一名存在不完全性水平裂及右上肺静脉多处异常的患者行整块右上叶双肺段切除术

En Bloc Right Upper Bilobectomy For a Patient With Incomplete Minor Fissure and Multiple Anomalies of the Right Superior Pulmonary Vein.

作者信息

Matsuda Masakazu, Mizuuchi Hiroshi, Ito Kensaku, Kouso Hidenori

机构信息

Department of Surgery, Oita Red Cross Hospital, Oita, JPN.

Department of Thoracic Surgery, Shimonoseki City Hospital, Shimonoseki, JPN.

出版信息

Cureus. 2024 Sep 24;16(9):e70080. doi: 10.7759/cureus.70080. eCollection 2024 Sep.

DOI:10.7759/cureus.70080
PMID:39463670
原文链接:https://pmc.ncbi.nlm.nih.gov/articles/PMC11503712/
Abstract

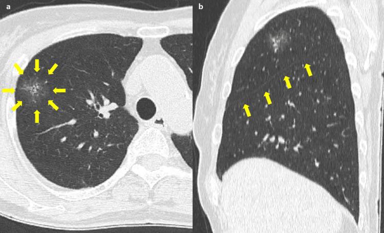
Variations in the anomaly of the right superior pulmonary vein can lead to perioperative complications if misunderstood. Additionally, incomplete fissures increase the complexity of performing pulmonary anatomical resection. Therefore, accurate preoperative anatomical assessment using three-dimensional computed tomography is crucial for ensuring safe surgery. We herein report a case of en bloc right upper bilobectomy via uniportal video-assisted thoracic surgery in a patient with an incomplete minor fissure and a complex anomaly of the right superior pulmonary vein.

摘要

右上肺静脉异常的变异如果被误解,可能导致围手术期并发症。此外,不完全裂增加了进行肺解剖性切除的复杂性。因此,使用三维计算机断层扫描进行准确的术前解剖评估对于确保手术安全至关重要。我们在此报告一例通过单孔电视辅助胸腔镜手术对一名存在不完全小裂和右上肺静脉复杂异常的患者进行整块右上叶双肺叶切除术的病例。

https://cdn.ncbi.nlm.nih.gov/pmc/blobs/5f2d/11503712/3b608861d2e1/cureus-0016-00000070080-i03.jpg
https://cdn.ncbi.nlm.nih.gov/pmc/blobs/5f2d/11503712/a5c65da194fc/cureus-0016-00000070080-i01.jpg
https://cdn.ncbi.nlm.nih.gov/pmc/blobs/5f2d/11503712/5e4f5ef2f793/cureus-0016-00000070080-i02.jpg
https://cdn.ncbi.nlm.nih.gov/pmc/blobs/5f2d/11503712/3b608861d2e1/cureus-0016-00000070080-i03.jpg
https://cdn.ncbi.nlm.nih.gov/pmc/blobs/5f2d/11503712/a5c65da194fc/cureus-0016-00000070080-i01.jpg
https://cdn.ncbi.nlm.nih.gov/pmc/blobs/5f2d/11503712/5e4f5ef2f793/cureus-0016-00000070080-i02.jpg
https://cdn.ncbi.nlm.nih.gov/pmc/blobs/5f2d/11503712/3b608861d2e1/cureus-0016-00000070080-i03.jpg

相似文献

1
En Bloc Right Upper Bilobectomy For a Patient With Incomplete Minor Fissure and Multiple Anomalies of the Right Superior Pulmonary Vein.针对一名存在不完全性水平裂及右上肺静脉多处异常的患者行整块右上叶双肺段切除术
Cureus. 2024 Sep 24;16(9):e70080. doi: 10.7759/cureus.70080. eCollection 2024 Sep.
2
Uniportal VATS right superior lobectomy: management of pulmonary vein variation: a case report.单孔电视辅助胸腔镜右上叶切除术:肺静脉变异的处理:一例报告
J Cardiothorac Surg. 2020 Feb 27;15(1):45. doi: 10.1186/s13019-020-1088-3.
3
Uniportal video-assisted thoracoscopic combined segmentectomy for lung cancer with incomplete fissure.单孔电视辅助胸腔镜联合肺段切除术治疗肺裂不全的肺癌
J Thorac Dis. 2017 Apr;9(4):1140-1143. doi: 10.21037/jtd.2017.03.78.
4
En bloc resection of the left upper lobe and the anterior basal segment of the lower lobe via a uniportal thoracoscopic approach for a dense fissure.经单孔胸腔镜手术行左肺上叶及下肺前段整块切除治疗致密性肺裂。
Multimed Man Cardiothorac Surg. 2022 Mar 31;2022. doi: 10.1510/mmcts.2022.009.
5
Robot-assisted thoracoscopic right upper lobectomy with displaced B and absence of minor fissure: a case report.机器人辅助胸腔镜右肺上叶切除术伴下副裂移位和缺失:1 例报告。
Surg Radiol Anat. 2023 Aug;45(8):1021-1025. doi: 10.1007/s00276-023-03197-6. Epub 2023 Jul 7.
6
Anatomical distribution and clinical significance of translobar bronchi, arteries, and veins hidden in the interlobar fissure.隐匿于叶间裂内的跨叶支气管、动脉和静脉的解剖分布及临床意义。
J Thorac Dis. 2024 Feb 29;16(2):901-910. doi: 10.21037/jtd-23-1534. Epub 2024 Jan 25.
7
Modified marionette technique for uniportal video-assisted thoracic surgery: a case report.改良牵线木偶技术在单孔电视辅助胸腔镜手术中的应用:一例报告
Surg Case Rep. 2019 Jun 17;5(1):96. doi: 10.1186/s40792-019-0657-y.
8
Right upper lobectomy for lung cancer associated with a displaced anomalous bronchus: two case reports.右上叶切除术治疗合并移位异常支气管的肺癌:两例病例报告
Surg Case Rep. 2024 Aug 15;10(1):187. doi: 10.1186/s40792-024-01986-8.
9
Robotic-assisted right upper lobectomy with systemic pulmonary vein anomaly: a case report.机器人辅助右上肺叶切除术合并肺静脉系统畸形:一例报告。
J Cardiothorac Surg. 2024 Jan 3;19(1):8. doi: 10.1186/s13019-023-02474-0.
10
Thoracoscopic lobectomy using indocyanine green fluorescence to detect the interlobar fissure in a patient with displaced B3 and absence of fissure: A case report.胸腔镜下使用吲哚菁绿荧光检测 B3 移位且无裂孔患者的肺叶间裂:病例报告。
Thorac Cancer. 2019 Jul;10(7):1654-1656. doi: 10.1111/1759-7714.13104. Epub 2019 Jun 19.

本文引用的文献

1
Robot-assisted thoracic surgery is effective for right upper lobectomy in cases with a rare variation pattern of the pulmonary veins.机器人辅助胸腔镜手术对于肺静脉变异模式罕见的病例行右上叶切除术是有效的。
BMJ Case Rep. 2022 Apr 1;15(4):e249909. doi: 10.1136/bcr-2022-249909.
2
Rare location and drainage pattern of right pulmonary veins and aberrant right upper lobe bronchial branch: A case report.右肺静脉罕见的位置和引流模式及右上叶支气管分支异常:一例报告
World J Clin Cases. 2021 Nov 16;9(32):9954-9959. doi: 10.12998/wjcc.v9.i32.9954.
3
Thoracoscopic right upper lobectomy in a patient with bronchial and pulmonary vein anomalies.
一名患有支气管和肺静脉异常患者的胸腔镜右上叶切除术
JTCVS Tech. 2020 Aug 13;4:316-318. doi: 10.1016/j.xjtc.2020.08.020. eCollection 2020 Dec.
4
An extremely rare case with right superior pulmonary vein translocation.一例极其罕见的右上肺静脉移位病例。
Surg Case Rep. 2020 May 7;6(1):96. doi: 10.1186/s40792-020-00860-7.
5
Uniportal VATS right superior lobectomy: management of pulmonary vein variation: a case report.单孔电视辅助胸腔镜右上叶切除术:肺静脉变异的处理:一例报告
J Cardiothorac Surg. 2020 Feb 27;15(1):45. doi: 10.1186/s13019-020-1088-3.
6
Surgical treatment of lung cancer with adjacent lobe invasion in relation to fissure integrity.与裂隙完整性相关的肺癌合并肺叶侵犯的外科治疗。
Thorac Cancer. 2020 Feb;11(2):232-242. doi: 10.1111/1759-7714.13217. Epub 2019 Dec 18.
7
Combined Ectopic Variation of the Right Upper Pulmonary Vein and Bronchus.右上肺静脉和支气管的联合异位变异。
Ann Thorac Surg. 2020 May;109(5):e353-e355. doi: 10.1016/j.athoracsur.2019.07.081. Epub 2019 Sep 12.
8
Anomalous right upper lobe pulmonary veins draining posterior to the pulmonary artery.右上肺静脉异常引流至肺动脉后方。
Gen Thorac Cardiovasc Surg. 2019 Oct;67(10):901-903. doi: 10.1007/s11748-019-01078-7. Epub 2019 Feb 13.
9
Degree of pulmonary fissure completeness can predict postoperative cardiopulmonary complications and length of hospital stay in patients undergoing video-assisted thoracoscopic lobectomy for early-stage lung cancer.肺裂完整程度可预测早期肺癌患者行电视辅助胸腔镜肺叶切除术后的心肺并发症及住院时间。
Interact Cardiovasc Thorac Surg. 2018 Jan 1;26(1):25-33. doi: 10.1093/icvts/ivx261.
10
A rare anomaly of the right superior pulmonary vein: Report of a case.右上肺静脉罕见异常:一例报告。
Int J Surg Case Rep. 2017;38:26-28. doi: 10.1016/j.ijscr.2017.05.035. Epub 2017 Jul 6.