• 文献检索
  • 文档翻译
  • 深度研究
  • 学术资讯
  • Suppr Zotero 插件Zotero 插件
  • 邀请有礼
  • 套餐&价格
  • 历史记录
应用&插件
Suppr Zotero 插件Zotero 插件浏览器插件Mac 客户端Windows 客户端微信小程序
定价
高级版会员购买积分包购买API积分包
服务
文献检索文档翻译深度研究API 文档MCP 服务
关于我们
关于 Suppr公司介绍联系我们用户协议隐私条款
关注我们

Suppr 超能文献

核心技术专利:CN118964589B侵权必究
粤ICP备2023148730 号-1Suppr @ 2026

文献检索

告别复杂PubMed语法,用中文像聊天一样搜索,搜遍4000万医学文献。AI智能推荐,让科研检索更轻松。

立即免费搜索

文件翻译

保留排版,准确专业,支持PDF/Word/PPT等文件格式,支持 12+语言互译。

免费翻译文档

深度研究

AI帮你快速写综述,25分钟生成高质量综述,智能提取关键信息,辅助科研写作。

立即免费体验

伴有牙源性角化囊肿的原发性牙源性肿瘤的组织病理学谱:世界上 1 例报道病例,并提出了“更新的诊断标准”。

Histopathological spectrum of primordial odontogenic tumor with co-existing dentigerous cyst: 1 reported case of the world with a proposed 'updated diagnostic criteria'.

机构信息

Department of Dental Medicine, College of Medicine and Health Sciences, Hawassa University Comprehensive Specialized Hospital, Hawassa, Ethiopia.

Department of Pathology, Saveetha Dental College and Hospitals, Saveetha Institute of Medical and Technical Sciences, Saveetha University, Chennai, 600077, India.

出版信息

Diagn Pathol. 2024 Oct 29;19(1):143. doi: 10.1186/s13000-024-01560-8.

DOI:10.1186/s13000-024-01560-8
PMID:39472990
原文链接:https://pmc.ncbi.nlm.nih.gov/articles/PMC11520492/
Abstract

BACKGROUND

POT is a relatively newly described benign odontogenic tumor with very few cases registered to date. We present the 1st case of Primordial odontogenic tumor (POT) from Sub-Saharan Africa with unique clinicopathological features; also, this is the first case to report POT's existence as a Hybrid Odontogenic lesion (HOL), with a pertinent review of the literature.

CASE PRESENTATION

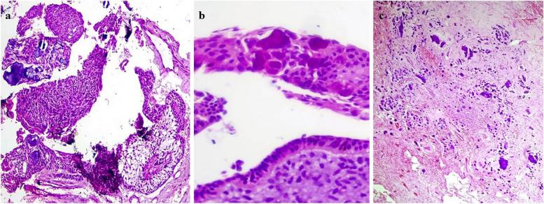
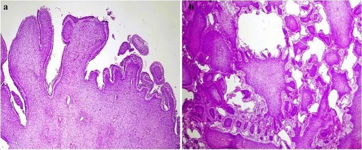
This was a 17-year-old patient who presented with slow-growing, painless posterior mandibular swelling. The imaging revealed a well-defined, unilocular, expansile, lytic lesion with internal calcific foci surrounding an impacted #36, indicating a calcifying odontogenic cyst. The incisional biopsy revealed the presence of POT. The tumor was excised along with the involved tooth.

CONCLUSION

POT is predominantly a non-aggressive and mostly affects the pediatric population. Hence, clinicians must be updated on all the aspects of this tumor to diagnose it appropriately and avoid any undue over-or under-treatment.

摘要

背景

POT 是一种相对较新描述的良性牙源性肿瘤,迄今为止登记的病例非常少。我们报告了首例来自撒哈拉以南非洲的原始牙源性肿瘤(POT),具有独特的临床病理特征;此外,这也是首例报告 POT 作为混合性牙源性病变(HOL)存在的病例,并对文献进行了相关回顾。

病例介绍

这是一名 17 岁的患者,表现为缓慢生长、无痛性下颌后牙区肿胀。影像学检查显示一个界限清楚、单房性、膨胀性、溶骨性病变,内部有钙化灶,围绕着一颗埋伏的#36,提示为牙源性钙化囊肿。切开活检显示存在 POT。肿瘤连同受累牙齿被切除。

结论

POT 主要为非侵袭性,多发生于儿童。因此,临床医生必须了解该肿瘤的所有方面,以便进行适当诊断,避免过度或不足治疗。

https://cdn.ncbi.nlm.nih.gov/pmc/blobs/fec1/11520492/4b38f34ee5f4/13000_2024_1560_Fig11_HTML.jpg
https://cdn.ncbi.nlm.nih.gov/pmc/blobs/fec1/11520492/9088a5a9e0ec/13000_2024_1560_Fig1_HTML.jpg
https://cdn.ncbi.nlm.nih.gov/pmc/blobs/fec1/11520492/dfccd753ae88/13000_2024_1560_Fig2_HTML.jpg
https://cdn.ncbi.nlm.nih.gov/pmc/blobs/fec1/11520492/b55a55b01760/13000_2024_1560_Fig3_HTML.jpg
https://cdn.ncbi.nlm.nih.gov/pmc/blobs/fec1/11520492/1006aac07e27/13000_2024_1560_Fig4_HTML.jpg
https://cdn.ncbi.nlm.nih.gov/pmc/blobs/fec1/11520492/b524545ab0dc/13000_2024_1560_Fig5_HTML.jpg
https://cdn.ncbi.nlm.nih.gov/pmc/blobs/fec1/11520492/2eb69932644a/13000_2024_1560_Fig6_HTML.jpg
https://cdn.ncbi.nlm.nih.gov/pmc/blobs/fec1/11520492/b7cf9dca6645/13000_2024_1560_Fig7_HTML.jpg
https://cdn.ncbi.nlm.nih.gov/pmc/blobs/fec1/11520492/4a2bda410718/13000_2024_1560_Fig8_HTML.jpg
https://cdn.ncbi.nlm.nih.gov/pmc/blobs/fec1/11520492/dc40db0487b2/13000_2024_1560_Fig9_HTML.jpg
https://cdn.ncbi.nlm.nih.gov/pmc/blobs/fec1/11520492/f8a0a15f264f/13000_2024_1560_Fig10_HTML.jpg
https://cdn.ncbi.nlm.nih.gov/pmc/blobs/fec1/11520492/4b38f34ee5f4/13000_2024_1560_Fig11_HTML.jpg
https://cdn.ncbi.nlm.nih.gov/pmc/blobs/fec1/11520492/9088a5a9e0ec/13000_2024_1560_Fig1_HTML.jpg
https://cdn.ncbi.nlm.nih.gov/pmc/blobs/fec1/11520492/dfccd753ae88/13000_2024_1560_Fig2_HTML.jpg
https://cdn.ncbi.nlm.nih.gov/pmc/blobs/fec1/11520492/b55a55b01760/13000_2024_1560_Fig3_HTML.jpg
https://cdn.ncbi.nlm.nih.gov/pmc/blobs/fec1/11520492/1006aac07e27/13000_2024_1560_Fig4_HTML.jpg
https://cdn.ncbi.nlm.nih.gov/pmc/blobs/fec1/11520492/b524545ab0dc/13000_2024_1560_Fig5_HTML.jpg
https://cdn.ncbi.nlm.nih.gov/pmc/blobs/fec1/11520492/2eb69932644a/13000_2024_1560_Fig6_HTML.jpg
https://cdn.ncbi.nlm.nih.gov/pmc/blobs/fec1/11520492/b7cf9dca6645/13000_2024_1560_Fig7_HTML.jpg
https://cdn.ncbi.nlm.nih.gov/pmc/blobs/fec1/11520492/4a2bda410718/13000_2024_1560_Fig8_HTML.jpg
https://cdn.ncbi.nlm.nih.gov/pmc/blobs/fec1/11520492/dc40db0487b2/13000_2024_1560_Fig9_HTML.jpg
https://cdn.ncbi.nlm.nih.gov/pmc/blobs/fec1/11520492/f8a0a15f264f/13000_2024_1560_Fig10_HTML.jpg
https://cdn.ncbi.nlm.nih.gov/pmc/blobs/fec1/11520492/4b38f34ee5f4/13000_2024_1560_Fig11_HTML.jpg

相似文献

1
Histopathological spectrum of primordial odontogenic tumor with co-existing dentigerous cyst: 1 reported case of the world with a proposed 'updated diagnostic criteria'.伴有牙源性角化囊肿的原发性牙源性肿瘤的组织病理学谱:世界上 1 例报道病例,并提出了“更新的诊断标准”。
Diagn Pathol. 2024 Oct 29;19(1):143. doi: 10.1186/s13000-024-01560-8.
2
Metachronous ameloblastic fibro-odontoma and dentigerous cyst in the posterior mandible.下颌骨后部的异时性成釉细胞纤维牙瘤和含牙囊肿。
Gen Dent. 2017 Nov-Dec;65(6):69-72.
3
Primordial Odontogenic Tumor: Report of a New Case and Literature Review.原始牙源性肿瘤:1例新病例报告及文献复习
Head Neck Pathol. 2019 Jun;13(2):125-130. doi: 10.1007/s12105-018-0913-7. Epub 2018 Mar 19.
4
Adenoameloblastoma: a dilemma in diagnosis.腺成釉细胞瘤:诊断中的难题。
J Contemp Dent Pract. 2012 Nov 1;13(6):925-9. doi: 10.5005/jp-journals-10024-1255.
5
Adenomatoid odontogenic tumour associated with dentigerous cyst--unusual case report.与含牙囊肿相关的腺瘤样牙源性肿瘤——罕见病例报告
Braz J Otorhinolaryngol. 2007 Jan-Feb;73(1):129-31. doi: 10.1016/s1808-8694(15)31135-6.
6
Central Odontogenic Fibroma of the Mandible.下颌骨中央性牙源性纤维瘤
J Dent Child (Chic). 2016;83(2):94-7.
7
Odontogenic Cysts and Neoplasms.牙源性囊肿和肿瘤
Surg Pathol Clin. 2017 Mar;10(1):177-222. doi: 10.1016/j.path.2016.10.006. Epub 2016 Dec 29.
8
Keratocystic odontogenic tumor arising at the mandibular ramus with an impacted tooth: a case report and mimic lesions.下颌升支处伴阻生牙的牙源性角化囊性瘤:一例报告及类似病变
Cranio. 2016 Jan;34(1):58-63. doi: 10.1179/2151090314Y.0000000035. Epub 2014 Nov 4.
9
An unusual presentation of ghost cell odontogenic carcinoma: A case report with review of literature.幽灵细胞牙源性癌的一种罕见表现:一例病例报告并文献复习
Indian J Dent Res. 2018 Mar-Apr;29(2):238-243. doi: 10.4103/ijdr.IJDR_442_17.
10
Case series of adenomatoid odontogenic tumour of jaws with variations in presentation.颌骨腺样牙源性肿瘤病例系列及临床表现的差异
BMJ Case Rep. 2020 Jan 12;13(1):e229358. doi: 10.1136/bcr-2019-229358.

本文引用的文献

1
Primordial odontogenic tumour: Report of a novel entity - The third case from India.原始牙源性肿瘤:一种新实体的报告——来自印度的第三例病例
J Oral Maxillofac Pathol. 2023 Jan-Mar;27(1):210-215. doi: 10.4103/jomfp.jomfp_28_22. Epub 2023 Mar 21.
2
Primordial odontogenic tumor with prominent calcifications.具有显著钙化的原发性牙源性肿瘤。
J Oral Sci. 2022 Oct 1;64(4):327-328. doi: 10.2334/josnusd.22-0028. Epub 2022 Sep 7.
3
Update from the 5th Edition of the World Health Organization Classification of Head and Neck Tumors: Odontogenic and Maxillofacial Bone Tumours.
《头颈部肿瘤第五版世界卫生组织分类更新:牙源性和颌骨肿瘤》。
Head Neck Pathol. 2022 Mar;16(1):63-75. doi: 10.1007/s12105-021-01404-7. Epub 2022 Mar 21.
4
Hybrid odontogenic lesions: A systematic review of 203 cases reported in the literature.牙源性混合性肿瘤:文献报道的 203 例病例的系统回顾。
J Oral Pathol Med. 2022 Jan;51(1):5-12. doi: 10.1111/jop.13238. Epub 2021 Sep 20.
5
Recurrent Primordial Odontogenic Tumor: Epithelium-Rich Variant.复发性原始性牙源性肿瘤:富含上皮型变异。
Head Neck Pathol. 2022 Jun;16(2):550-559. doi: 10.1007/s12105-021-01354-0. Epub 2021 Jul 5.
6
Primordial Odontogenic Tumor of Anterior Maxilla in a Young Male: A Case Report and an Updated Review of Literature.上颌前部原始性牙源性肿瘤:1 例报告及文献复习
Pediatr Dev Pathol. 2021 Jan-Feb;24(1):73-79. doi: 10.1177/1093526620972589. Epub 2021 Jan 12.
7
Primordial odontogenic tumor occurred in the maxilla with unique calcifications and its crucial points for differential diagnosis.发生在上颌骨的原发性牙源性肿瘤,具有独特的钙化特征及其鉴别诊断要点。
Pathol Int. 2021 Jan;71(1):80-87. doi: 10.1111/pin.13036. Epub 2020 Oct 20.
8
Primordial odontogenic tumor: report of 2 new cases.原发性牙源性肿瘤:2 例新病例报告。
Oral Surg Oral Med Oral Pathol Oral Radiol. 2021 Aug;132(2):e69-e77. doi: 10.1016/j.oooo.2020.08.004. Epub 2020 Aug 8.
9
Report of a classic primordial odontogenic tumour and an unusual mixed odontogenic tumour with features of primordial odontogenic tumour: diagnostic implications.一例经典原始性牙源性肿瘤及一例具有原始性牙源性肿瘤特征的罕见混合性牙源性肿瘤的报告:诊断意义
Pathology. 2020 Aug;52(5):596-599. doi: 10.1016/j.pathol.2020.04.007. Epub 2020 Jun 24.
10
Primordial odontogenic tumor: A systematic review.原发性牙源性肿瘤:系统评价。
Med Oral Patol Oral Cir Bucal. 2020 May 1;25(3):e388-e394. doi: 10.4317/medoral.23432.