• 文献检索
  • 文档翻译
  • 深度研究
  • 学术资讯
  • Suppr Zotero 插件Zotero 插件
  • 邀请有礼
  • 套餐&价格
  • 历史记录
应用&插件
Suppr Zotero 插件Zotero 插件浏览器插件Mac 客户端Windows 客户端微信小程序
定价
高级版会员购买积分包购买API积分包
服务
文献检索文档翻译深度研究API 文档MCP 服务
关于我们
关于 Suppr公司介绍联系我们用户协议隐私条款
关注我们

Suppr 超能文献

核心技术专利:CN118964589B侵权必究
粤ICP备2023148730 号-1Suppr @ 2026

文献检索

告别复杂PubMed语法,用中文像聊天一样搜索,搜遍4000万医学文献。AI智能推荐,让科研检索更轻松。

立即免费搜索

文件翻译

保留排版,准确专业,支持PDF/Word/PPT等文件格式,支持 12+语言互译。

免费翻译文档

深度研究

AI帮你快速写综述,25分钟生成高质量综述,智能提取关键信息,辅助科研写作。

立即免费体验

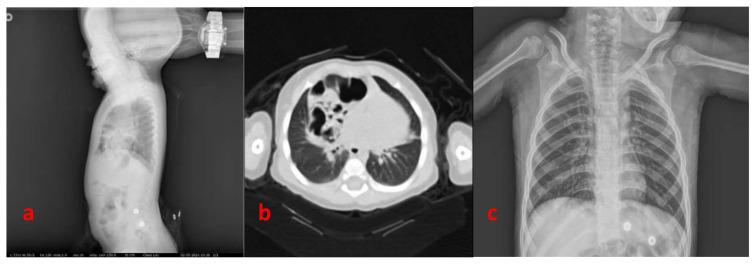
双端口腹腔镜辅助体外缝合技术与开放手术修补 Morgagni 疝的比较。

Comparison of double-port laparoscopic-assisted extracorporeal suture technique and open surgical repair for Morgagni hernia.

机构信息

Department of Pediatric Surgery, Faculty of Medicine, Selçuk University, Konya, Turkiye.

出版信息

Turk J Med Sci. 2024 May 22;54(5):989-994. doi: 10.55730/1300-0144.5877. eCollection 2024.

DOI:10.55730/1300-0144.5877
PMID:39473731
原文链接:https://pmc.ncbi.nlm.nih.gov/articles/PMC11518355/
Abstract

BACKGROUND/AIM: We aimed to compare the results of open surgery and double-port laparoscopic-assisted extracorporeal suturing repair for the treatment of Morgagni hernia (MH).

MATERIALS AND METHODS

Twenty-two patients with MH who were operated on in our clinic between January 2012 and January 2023 were included in the study. Patients were divided into two groups according to the surgical technique: open surgery (OS) (n = 14) or laparoscopic surgery (LS) (n = 8). Retrospective comparisons were made between the groups' demographic information, surgical method used, defect size, operation time, length of hospital stay, costs, postoperative problems, and recurrence.

RESULTS

There were no statistically significant differences between the groups regarding sex, defect size, or costs. The mean age of the patients in the LS group (101 ± 68.3 months) was significantly higher than that of the OS group (23 ± 18.2 months) (p = 0.005). The operation time of the LS group (33.8 ± 3.6 min) was significantly shorter than that of the OS group (50.8 ± 6.5 min) (p < 0.01). Moreover, the LS group's mean length of hospitalization (1.6 ± 0.9 days) was significantly lower than that of the OS group (2.8 ± 0.7 days) (p = 0.027).

CONCLUSION

Double-port laparoscopic-assisted extracorporeal suturing repair is a reliable technique preferred over open surgical repair due to its shorter operative time and hospital stay, ease of application, better cosmetic results, and no cost difference.

摘要

背景/目的:我们旨在比较开腹手术和双端口腹腔镜辅助体外缝合修复治疗 Morgagni 疝(MH)的结果。

材料和方法

本研究纳入了 2012 年 1 月至 2023 年 1 月在我院接受手术治疗的 22 例 MH 患者。根据手术技术将患者分为两组:开腹手术(OS)组(n = 14)和腹腔镜手术(LS)组(n = 8)。对两组的人口统计学信息、手术方法、缺损大小、手术时间、住院时间、费用、术后问题和复发情况进行回顾性比较。

结果

两组在性别、缺损大小或费用方面无统计学差异。LS 组患者的平均年龄(101 ± 68.3 个月)明显高于 OS 组(23 ± 18.2 个月)(p = 0.005)。LS 组的手术时间(33.8 ± 3.6 min)明显短于 OS 组(50.8 ± 6.5 min)(p < 0.01)。此外,LS 组的平均住院时间(1.6 ± 0.9 天)明显短于 OS 组(2.8 ± 0.7 天)(p = 0.027)。

结论

双端口腹腔镜辅助体外缝合修复是一种可靠的技术,由于其手术时间和住院时间更短、易于操作、美容效果更好,且费用无差异,因此优于开腹手术修复。

https://cdn.ncbi.nlm.nih.gov/pmc/blobs/6060/11518355/d1b76d63b4da/tjmed-54-05-989f2.jpg
https://cdn.ncbi.nlm.nih.gov/pmc/blobs/6060/11518355/28587fa91dfb/tjmed-54-05-989f1.jpg
https://cdn.ncbi.nlm.nih.gov/pmc/blobs/6060/11518355/d1b76d63b4da/tjmed-54-05-989f2.jpg
https://cdn.ncbi.nlm.nih.gov/pmc/blobs/6060/11518355/28587fa91dfb/tjmed-54-05-989f1.jpg
https://cdn.ncbi.nlm.nih.gov/pmc/blobs/6060/11518355/d1b76d63b4da/tjmed-54-05-989f2.jpg

相似文献

1
Comparison of double-port laparoscopic-assisted extracorporeal suture technique and open surgical repair for Morgagni hernia.双端口腹腔镜辅助体外缝合技术与开放手术修补 Morgagni 疝的比较。
Turk J Med Sci. 2024 May 22;54(5):989-994. doi: 10.55730/1300-0144.5877. eCollection 2024.
2
Comparison of Optical Forceps-Assisted Single-Port Laparoscopic PIRS and Open Surgery in Morgagni Hernia Repair.经光学器械辅助的单孔腹腔镜经脐腹膜外疝修补术(PIRS)与开放手术治疗 Morgagni 疝的比较。
Eur J Pediatr Surg. 2022 Feb;32(1):127-131. doi: 10.1055/s-0042-1742663. Epub 2022 Feb 3.
3
Laparoscopic repair of giant Morgagni hernia by direct suturing with V-Loc.经 V-Loc 直接缝合修补巨大 Morgagni 疝腹腔镜手术
Minerva Chir. 2020 Oct;75(5):298-304. doi: 10.23736/S0026-4733.20.08477-1.
4
Comparison of Laparoscopic Versus Open Surgical Management of Morgagni Hernia.比较腹腔镜与开放手术治疗 Morgagni 疝。
Ann Thorac Surg. 2019 Jan;107(1):257-261. doi: 10.1016/j.athoracsur.2018.08.021. Epub 2018 Oct 6.
5
Laparoscopic assisted anterior transabdominal wall closure using loop suture removing technique in Morgagni hernia: safe and easy method.使用套圈缝线移除技术经腹腔镜辅助行前腹壁闭合术治疗 Morgagni 疝:安全简便的方法
Pediatr Surg Int. 2020 Jun;36(6):679-685. doi: 10.1007/s00383-020-04658-4. Epub 2020 Apr 27.
6
Comparison of Single-incision Laparoscopic Percutaneous and Cystoscope Forceps Assisted Morgagni Hernia Repair Techniques.经脐单孔腹腔镜与膀胱镜鞘辅助 Morgagni 疝修补技术的比较。
J Pediatr Surg. 2024 Jun;59(6):1089-1093. doi: 10.1016/j.jpedsurg.2023.11.015. Epub 2023 Dec 2.
7
Comparison of Single-Port Percutaneous Extraperitoneal Repair and Three-Port Mini-Laparoscopic Repair for Pediatric Inguinal Hernia.单孔经皮腹膜外修补术与三孔迷你腹腔镜修补术治疗小儿腹股沟疝的比较
J Laparoendosc Adv Surg Tech A. 2018 Mar;28(3):337-342. doi: 10.1089/lap.2016.0223. Epub 2017 Oct 19.
8
A novel scarless laparoscopic method for morgagni hernia repair.一种新型的无痕腹腔镜 Morgagni 疝修补方法。
Niger J Clin Pract. 2022 Sep;25(9):1517-1522. doi: 10.4103/njcp.njcp_36_22.
9
Laparoscopic Repair of Morgagni Hernia in Children.儿童 Morgagni 疝的腹腔镜修补术。
J Pediatr Surg. 2023 Sep;58(9):1670-1673. doi: 10.1016/j.jpedsurg.2023.01.045. Epub 2023 Jan 26.
10
Congenital Morgagni's hernia: a national multicenter study.先天性莫尔加尼疝:一项全国多中心研究。
J Pediatr Surg. 2014 Apr;49(4):503-7. doi: 10.1016/j.jpedsurg.2013.08.029. Epub 2013 Oct 11.

本文引用的文献

1
Laparoscopic Repair of Morgagni Hernia in Children.儿童 Morgagni 疝的腹腔镜修补术。
J Pediatr Surg. 2023 Sep;58(9):1670-1673. doi: 10.1016/j.jpedsurg.2023.01.045. Epub 2023 Jan 26.
2
Laparoscopic Repair of Morgagni Hernia in Children.儿童 Morgagni 疝的腹腔镜修补术。
J Laparoendosc Adv Surg Tech A. 2022 Jul;32(7):811-816. doi: 10.1089/lap.2021.0797. Epub 2022 Feb 11.
3
Comparison of Optical Forceps-Assisted Single-Port Laparoscopic PIRS and Open Surgery in Morgagni Hernia Repair.经光学器械辅助的单孔腹腔镜经脐腹膜外疝修补术(PIRS)与开放手术治疗 Morgagni 疝的比较。
Eur J Pediatr Surg. 2022 Feb;32(1):127-131. doi: 10.1055/s-0042-1742663. Epub 2022 Feb 3.
4
Morgagni hernia repair in children over two decades: Institutional experience, systematic review, and meta-analysis of 296 patients.二十多年来儿童 Morgagni 疝修补术:机构经验、系统评价及对 296 例患者的荟萃分析
J Pediatr Surg. 2018 Oct;53(10):1883-1889. doi: 10.1016/j.jpedsurg.2018.04.009. Epub 2018 Apr 13.
5
Open Versus Laparoscopic Approach for Morgagni's Hernia in Infants and Children: A Systematic Review and Meta-Analysis.婴幼儿及儿童 Morgagni 疝的开放手术与腹腔镜手术治疗:系统评价与 Meta 分析
J Laparoendosc Adv Surg Tech A. 2018 Jul;28(7):888-893. doi: 10.1089/lap.2018.0103. Epub 2018 May 18.
6
Technical standardization of laparoscopic repair of Morgagni diaphragmatic hernia in children: results of a multicentric survey on 43 patients.小儿 Morgagni 型膈疝腹腔镜修补术的技术标准化:43 例患者的多中心调查结果
Surg Endosc. 2017 Aug;31(8):3320-3325. doi: 10.1007/s00464-016-5365-0. Epub 2016 Dec 6.
7
Outpatient single-port laparoscopic percutaneous Morgagni hernia repair assisted by an optical forceps.光学钳辅助下门诊单孔腹腔镜经皮 Morgagni 疝修补术
Minim Invasive Ther Allied Technol. 2017 Jun;26(3):182-187. doi: 10.1080/13645706.2016.1263213. Epub 2016 Dec 8.
8
Congenital Morgagni's hernia: a national multicenter study.先天性莫尔加尼疝:一项全国多中心研究。
J Pediatr Surg. 2014 Apr;49(4):503-7. doi: 10.1016/j.jpedsurg.2013.08.029. Epub 2013 Oct 11.
9
Morgagni hernia repair in children: comparison of laparoscopic and open results.儿童 Morgagni 疝修补术:腹腔镜与开放手术结果比较
J Laparoendosc Adv Surg Tech A. 2011 Jan-Feb;21(1):89-91. doi: 10.1089/lap.2010.0174. Epub 2011 Jan 8.
10
Single-port laparoscopic repair of a Morgagni diaphragmatic hernia in a pediatric patient: advancement in single-port technology allows effective intracorporeal suturing.经脐单孔腹腔镜修补术治疗小儿 Morgagni 膈疝:单孔技术的进步使得有效的腹腔内缝合成为可能。
J Pediatr Surg. 2010 Mar;45(3):E21-4. doi: 10.1016/j.jpedsurg.2009.12.029.