• 文献检索
  • 文档翻译
  • 深度研究
  • 学术资讯
  • Suppr Zotero 插件Zotero 插件
  • 邀请有礼
  • 套餐&价格
  • 历史记录
应用&插件
Suppr Zotero 插件Zotero 插件浏览器插件Mac 客户端Windows 客户端微信小程序
定价
高级版会员购买积分包购买API积分包
服务
文献检索文档翻译深度研究API 文档MCP 服务
关于我们
关于 Suppr公司介绍联系我们用户协议隐私条款
关注我们

Suppr 超能文献

核心技术专利:CN118964589B侵权必究
粤ICP备2023148730 号-1Suppr @ 2026

文献检索

告别复杂PubMed语法,用中文像聊天一样搜索,搜遍4000万医学文献。AI智能推荐,让科研检索更轻松。

立即免费搜索

文件翻译

保留排版,准确专业,支持PDF/Word/PPT等文件格式,支持 12+语言互译。

免费翻译文档

深度研究

AI帮你快速写综述,25分钟生成高质量综述,智能提取关键信息,辅助科研写作。

立即免费体验

PMCNA_RS00975 通过 TLR2 激活 NF-κB 和 ERK1/2,并有助于 的毒力。

PMCNA_RS00975 activates NF-κB and ERK1/2 through TLR2 and contributes to the virulence of .

机构信息

Division of Zoonosis of Natural Foci, State Key Laboratory of Veterinary Biotechnology, Harbin Veterinary Research Institute, Chinese Academy of Agricultural Sciences, Harbin, China.

出版信息

Front Cell Infect Microbiol. 2024 Oct 15;14:1469304. doi: 10.3389/fcimb.2024.1469304. eCollection 2024.

DOI:10.3389/fcimb.2024.1469304
PMID:39473924
原文链接:https://pmc.ncbi.nlm.nih.gov/articles/PMC11518796/
Abstract

INTRODUCTION

is a pathogenic bacterium known to cause hemorrhagic septicemia and pneumonia in poultry. Reports have indicated that certain proteins, either directly involved in or regulating iron metabolism, are important virulence factors of . Therefore, understanding virulent factors and analyzing the role of pro-inflammatory cytokines can help us elucidate the underlying pathogenesis.

METHODS

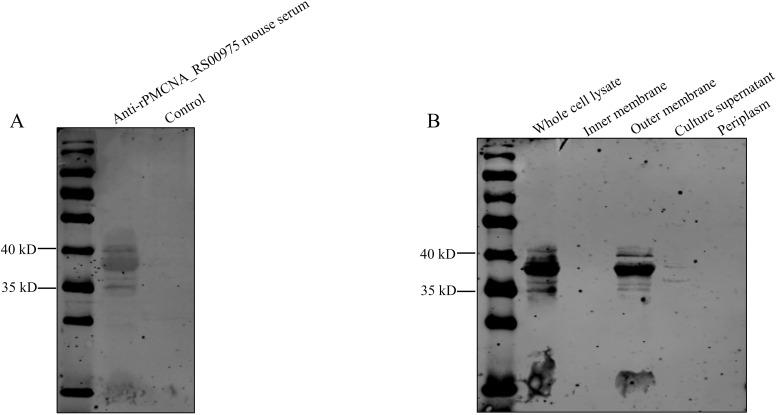
In this study, the PMCNA_RS00975 protein, a putative encapsuling protein encoded by a gene from a specific prophage island of the pathogenic strain of , was investigated. To further explore the impact of the PMCNA_RS00975 protein on pathogenicity, a gene mutant of strain was constructed using positive selection technology. Subcellular localization was performed to determine the location of the PMCNA_RS00975 protein within The recombinant protein PMCNA_RS00975 of was soluble expressed, purified, and its role in pro-inflammatory cytokines was investigated.

RESULTS

The mutant exhibited significantly reduced pathogenicity in the mice model. Furthermore, subcellular localization indicated that the PMCNA_RS00975 protein was located at the outer membrane and expressed during infection of Additionally, our experiments revealed that recombinant PMCNA_RS00975 protein promotes the secretion of the IL-6 pro-inflammatory cytokines triggered by the TLR2 receptor via NF-κB and ERK1/2 signaling pathways in the macrophages.

DISCUSSION

This study identified a novel virulence factor in the strain, providing a basis for understanding the pathogenesis and directions for the development of attenuated vaccines against

摘要

简介

是一种已知可引起家禽出血性败血症和肺炎的病原菌。有报道称,某些直接参与或调节铁代谢的蛋白质是 的重要毒力因子。因此,了解毒力因子并分析促炎细胞因子的作用可以帮助我们阐明潜在的发病机制。

方法

在本研究中,我们研究了编码自致病性菌株 特定噬菌体岛基因的 PMCNA_RS00975 蛋白,这是一种假定的包裹蛋白。为了进一步探讨 PMCNA_RS00975 蛋白对致病性的影响,我们使用正选择技术构建了 菌株的 基因缺失突变体。通过亚细胞定位来确定 PMCNA_RS00975 蛋白在 中的位置。可溶性表达重组蛋白 PMCNA_RS00975,并研究其在促炎细胞因子中的作用。

结果

突变体在小鼠模型中表现出明显降低的致病性。此外,亚细胞定位表明,在感染 时,PMCNA_RS00975 蛋白位于外膜上并表达。此外,我们的实验表明,重组 PMCNA_RS00975 蛋白通过 TLR2 受体触发的 NF-κB 和 ERK1/2 信号通路促进巨噬细胞中 IL-6 促炎细胞因子的分泌。

讨论

本研究鉴定了 菌株中的一种新的毒力因子,为了解发病机制和开发针对 的减毒疫苗提供了依据。

https://cdn.ncbi.nlm.nih.gov/pmc/blobs/600f/11518796/7aff8ab1da5d/fcimb-14-1469304-g005.jpg
https://cdn.ncbi.nlm.nih.gov/pmc/blobs/600f/11518796/135b7c0ffb6d/fcimb-14-1469304-g001.jpg
https://cdn.ncbi.nlm.nih.gov/pmc/blobs/600f/11518796/71558c51d2b4/fcimb-14-1469304-g002.jpg
https://cdn.ncbi.nlm.nih.gov/pmc/blobs/600f/11518796/8b46ff038fd0/fcimb-14-1469304-g003.jpg
https://cdn.ncbi.nlm.nih.gov/pmc/blobs/600f/11518796/c3561c23aa98/fcimb-14-1469304-g004.jpg
https://cdn.ncbi.nlm.nih.gov/pmc/blobs/600f/11518796/7aff8ab1da5d/fcimb-14-1469304-g005.jpg
https://cdn.ncbi.nlm.nih.gov/pmc/blobs/600f/11518796/135b7c0ffb6d/fcimb-14-1469304-g001.jpg
https://cdn.ncbi.nlm.nih.gov/pmc/blobs/600f/11518796/71558c51d2b4/fcimb-14-1469304-g002.jpg
https://cdn.ncbi.nlm.nih.gov/pmc/blobs/600f/11518796/8b46ff038fd0/fcimb-14-1469304-g003.jpg
https://cdn.ncbi.nlm.nih.gov/pmc/blobs/600f/11518796/c3561c23aa98/fcimb-14-1469304-g004.jpg
https://cdn.ncbi.nlm.nih.gov/pmc/blobs/600f/11518796/7aff8ab1da5d/fcimb-14-1469304-g005.jpg

相似文献

1
PMCNA_RS00975 activates NF-κB and ERK1/2 through TLR2 and contributes to the virulence of .PMCNA_RS00975 通过 TLR2 激活 NF-κB 和 ERK1/2,并有助于 的毒力。
Front Cell Infect Microbiol. 2024 Oct 15;14:1469304. doi: 10.3389/fcimb.2024.1469304. eCollection 2024.
2
, a Virulence Factor in Pasteurella multocida, Activates Nuclear Factor Kappa B and Mitogen-Activated Protein Kinase via Toll-Like Receptor 1/2.多杀巴斯德氏菌中的一种毒力因子,通过 Toll 样受体 1/2 激活核因子 κB 和丝裂原活化蛋白激酶。
Infect Immun. 2023 Jan 24;91(1):e0019322. doi: 10.1128/iai.00193-22. Epub 2022 Dec 21.
3
Identification of the crp gene in avian Pasteurella multocida and evaluation of the effects of crp deletion on its phenotype, virulence and immunogenicity.禽多杀性巴氏杆菌中crp基因的鉴定及其缺失对其表型、毒力和免疫原性影响的评估。
BMC Microbiol. 2016 Jun 24;16(1):125. doi: 10.1186/s12866-016-0739-y.
4
The activity of hyaD contributed to the virulence of avian Pasteurella multocida.hyaD 的活性有助于禽多杀性巴氏杆菌的毒力。
Microb Pathog. 2024 Aug;193:106768. doi: 10.1016/j.micpath.2024.106768. Epub 2024 Jul 1.
5
Experimental pathogenicity and comparative genome analysis of high- and low-virulence strains of rabbit-origin Pasteurella multocida.兔源多杀性巴氏杆菌高毒力和低毒力菌株的实验致病性及比较基因组分析
Comp Immunol Microbiol Infect Dis. 2022 Nov-Dec;90-91:101889. doi: 10.1016/j.cimid.2022.101889. Epub 2022 Oct 11.
6
In vitro and in vivo pathogenicity studies of Pasteurella multocida strains harbouring different ompA.携带不同ompA的多杀性巴氏杆菌菌株的体外和体内致病性研究
Vet Res Commun. 2014 Sep;38(3):183-91. doi: 10.1007/s11259-014-9601-6. Epub 2014 Mar 7.
7
[Construction and characterization of ompH gene knockout mutant of avian Pasteurella multocida C48-3].[禽多杀性巴氏杆菌C48-3 ompH基因敲除突变株的构建与鉴定]
Wei Sheng Wu Xue Bao. 2013 Jan 4;53(1):66-73.
8
Use of Molecular Pathogenicity Indices to Identify Pathogenic Strains of Pasteurella multocida.利用分子致病性指数鉴定多杀性巴氏杆菌的致病菌株
Avian Dis. 2016 Dec;60(4):792-798. doi: 10.1637/11436-051116-Reg.
9
Genome sequencing of a virulent avian Pasteurella multocida strain GX-Pm reveals the candidate genes involved in the pathogenesis.一株强毒禽多杀性巴氏杆菌GX-Pm的全基因组测序揭示了与致病机制相关的候选基因。
Res Vet Sci. 2016 Apr;105:23-7. doi: 10.1016/j.rvsc.2016.01.013. Epub 2016 Jan 18.
10
Identification of genes transcribed by Pasteurella multocida in rabbit livers through the selective capture of transcribed sequences.通过转录序列的选择性捕获鉴定多杀巴斯德氏菌在兔肝中转录的基因。
FEMS Microbiol Lett. 2012 Jun;331(2):105-12. doi: 10.1111/j.1574-6968.2012.02559.x. Epub 2012 Apr 17.

本文引用的文献

1
In field evaluation of impact on clinical signs of an inactivated autogenous vaccine against in rabbits.在兔用灭活自体疫苗对临床症状影响的现场评估中。
Int J Vet Sci Med. 2024 Jun 6;12(1):39-47. doi: 10.1080/23144599.2024.2348900. eCollection 2024.
2
Encapsulins: Nanotechnology's future in a shell.胶囊:纳米技术的壳中未来。
Adv Appl Microbiol. 2023;125:1-48. doi: 10.1016/bs.aambs.2023.09.001. Epub 2023 Oct 20.
3
Phage biology: The ins and outs of prophages in bacterial populations.噬菌体生物学:细菌群体中前噬菌体的来龙去脉。
Curr Biol. 2024 Apr 22;34(8):R331-R333. doi: 10.1016/j.cub.2024.03.033.
4
Structural basis for peroxidase encapsulation inside the encapsulin from the Gram-negative pathogen Klebsiella pneumoniae.革兰氏阴性病原菌肺炎克雷伯氏菌中 encapsulin 内部过氧化物酶包封的结构基础。
Nat Commun. 2024 Mar 22;15(1):2558. doi: 10.1038/s41467-024-46880-x.
5
NF-κB in biology and targeted therapy: new insights and translational implications.生物学与靶向治疗中的核因子-κB:新见解与转化意义
Signal Transduct Target Ther. 2024 Mar 4;9(1):53. doi: 10.1038/s41392-024-01757-9.
6
Conservation and similarity of bacterial and eukaryotic innate immunity.细菌和真核生物先天免疫的保守性和相似性。
Nat Rev Microbiol. 2024 Jul;22(7):420-434. doi: 10.1038/s41579-024-01017-1. Epub 2024 Feb 28.
7
Bloodstream infection, peritonitis, and pneumonia caused by in a patient with liver cirrhosis despite no animal contact: case report and literature review.肝硬化患者在无动物接触的情况下发生血流感染、腹膜炎和肺炎:病例报告和文献复习。
Front Cell Infect Microbiol. 2023 Sep 26;13:1267941. doi: 10.3389/fcimb.2023.1267941. eCollection 2023.
8
Comparative genome analysis of strains of porcine origin.猪源 株的比较基因组分析。
Genome. 2024 Jan 1;67(1):13-23. doi: 10.1139/gen-2023-0021. Epub 2023 Aug 28.
9
Formalin and ferric chloride inactivated Pasteurella multocida type a adjuvanted with bacterial DNA and alum as a new vaccine candidate in sheep pasteurellosis.甲醛和三氯化铁使 A 型多杀性巴氏杆菌失活,并用细菌 DNA 和明矾作为佐剂制成绵羊巴氏杆菌病的新型疫苗候选物。
Microb Pathog. 2023 Oct;183:106282. doi: 10.1016/j.micpath.2023.106282. Epub 2023 Aug 15.
10
Mitogen-Activated Protein Kinases (MAPKs) and Enteric Bacterial Pathogens: A Complex Interplay.丝裂原活化蛋白激酶(MAPKs)与肠道细菌病原体:复杂的相互作用。
Int J Mol Sci. 2023 Jul 25;24(15):11905. doi: 10.3390/ijms241511905.