• 文献检索
  • 文档翻译
  • 深度研究
  • 学术资讯
  • Suppr Zotero 插件Zotero 插件
  • 邀请有礼
  • 套餐&价格
  • 历史记录
应用&插件
Suppr Zotero 插件Zotero 插件浏览器插件Mac 客户端Windows 客户端微信小程序
定价
高级版会员购买积分包购买API积分包
服务
文献检索文档翻译深度研究API 文档MCP 服务
关于我们
关于 Suppr公司介绍联系我们用户协议隐私条款
关注我们

Suppr 超能文献

核心技术专利:CN118964589B侵权必究
粤ICP备2023148730 号-1Suppr @ 2026

文献检索

告别复杂PubMed语法,用中文像聊天一样搜索,搜遍4000万医学文献。AI智能推荐,让科研检索更轻松。

立即免费搜索

文件翻译

保留排版,准确专业,支持PDF/Word/PPT等文件格式,支持 12+语言互译。

免费翻译文档

深度研究

AI帮你快速写综述,25分钟生成高质量综述,智能提取关键信息,辅助科研写作。

立即免费体验

间隔26年的多相性急性播散性脑脊髓炎:一例具有新表现的病例报告

Multiphasic Acute Disseminated Encephalomyelitis with a Temporal Gap of 26 Years: A Case Report with Novel Presentation.

作者信息

Asif Muhammad Hamza, Butt Armeen, Riaz Khadija, Shahzad Faizan, Asif Maimoonah, Farhan Muhammad, Ahmed Waqas, Shami Besher

机构信息

Rawalpindi Medical University, Rawalpindi, Pakistan.

Department of Medicine, Shalalamr Hospital, Lahore, Pakistan.

出版信息

Case Rep Neurol. 2024 Aug 19;16(1):242-248. doi: 10.1159/000540951. eCollection 2024 Jan-Dec.

DOI:10.1159/000540951
PMID:39474291
原文链接:https://pmc.ncbi.nlm.nih.gov/articles/PMC11521480/
Abstract

INTRODUCTION

Acute disseminated encephalomyelitis (ADEM) is an acute autoimmune demyelinating disease of the central nervous system that typically follows an acute viral infection or post-vaccination. It is more common in children than in adults and is characterized by widespread demyelination of the white matter of the brain and spinal cord. ADEM typically presents as a monophasic illness. Multiphasic ADEM has been an emerging topic with case reports highlighting the importance of the need for further investigation and literature on this topic. Multiphasic ADEM in adults is a rare presentation with an atypical course that can cause a delay in diagnosis leading to disability in patients.

CASE PRESENTATION

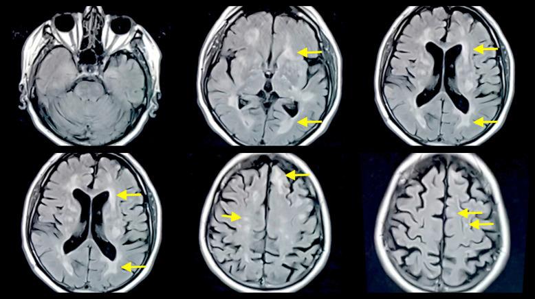
Multiple case reports have shown the presence of multiphasic ADEM without an established cause, emphasizing the importance of additional insight and data in this context. This is a unique case of multiphasic ADEM in a 59-year-old male with a temporal gap of 26 years with an idiopathic cause. He was suffering from many neurologic symptoms involving his upper and lower extremities and level of consciousness, and after he was diagnosed with ADEM, he was commenced on steroids and achieved a marked improvement in his clinical status.

CONCLUSION

Rarely, ADEM can present with recurrence or multiple phases, which requires prompt diagnosis and treatment. These phases may or may not be preceded by an identifiable trigger. Most patients respond well to steroids. However, further studies are required to achieve a good understanding and guidelines when dealing with such cases.

摘要

引言

急性播散性脑脊髓炎(ADEM)是一种中枢神经系统的急性自身免疫性脱髓鞘疾病,通常发生在急性病毒感染或接种疫苗之后。它在儿童中比在成人中更常见,其特征是脑和脊髓白质广泛脱髓鞘。ADEM通常表现为单相疾病。多相性ADEM一直是一个新兴话题,病例报告强调了对此进行进一步研究和相关文献的必要性。成人多相性ADEM是一种罕见的表现形式,病程不典型,可能导致诊断延迟,进而使患者致残。

病例介绍

多项病例报告显示存在病因不明的多相性ADEM,强调了在这种情况下深入了解和获取数据的重要性。这是一例59岁男性的独特多相性ADEM病例,两次发病间隔26年,病因不明。他出现了许多涉及上下肢及意识水平的神经症状,在被诊断为ADEM后,开始使用类固醇治疗,临床状况有显著改善。

结论

罕见情况下,ADEM可表现为复发或多相性,这需要及时诊断和治疗。这些阶段可能有或没有可识别的触发因素。大多数患者对类固醇治疗反应良好。然而,在处理此类病例时,还需要进一步研究以加深理解并制定指导原则。

https://cdn.ncbi.nlm.nih.gov/pmc/blobs/51c8/11521480/47f0e29579e8/crn-2024-0016-0001-540951_F01.jpg
https://cdn.ncbi.nlm.nih.gov/pmc/blobs/51c8/11521480/47f0e29579e8/crn-2024-0016-0001-540951_F01.jpg
https://cdn.ncbi.nlm.nih.gov/pmc/blobs/51c8/11521480/47f0e29579e8/crn-2024-0016-0001-540951_F01.jpg

相似文献

1
Multiphasic Acute Disseminated Encephalomyelitis with a Temporal Gap of 26 Years: A Case Report with Novel Presentation.间隔26年的多相性急性播散性脑脊髓炎:一例具有新表现的病例报告
Case Rep Neurol. 2024 Aug 19;16(1):242-248. doi: 10.1159/000540951. eCollection 2024 Jan-Dec.
2
Acute disseminated encephalomyelitis, multiphasic disseminated encephalomyelitis and multiple sclerosis in children.儿童急性播散性脑脊髓炎、多相性播散性脑脊髓炎和多发性硬化症。
Brain. 2000 Dec;123 Pt 12:2407-22. doi: 10.1093/brain/123.12.2407.
3
Rare and Atypical Presentations of Acute Disseminated Encephalomyelitis in Children: A Case Series.儿童急性播散性脑脊髓炎的罕见和非典型表现:病例系列研究。
J Trop Pediatr. 2021 May 17;67(2). doi: 10.1093/tropej/fmab045.
4
Acute disseminated encephalomyelitis in children: differential diagnosis from multiple sclerosis on the basis of clinical course.儿童急性播散性脑脊髓炎:基于临床病程与多发性硬化的鉴别诊断
Korean J Pediatr. 2011 Jun;54(6):234-40. doi: 10.3345/kjp.2011.54.6.234. Epub 2011 Jun 30.
5
A unique case of multiphasic ADEM or what else?单相 ADEM 还是其他疾病?这是一个独特的病例
Mult Scler Relat Disord. 2019 Oct;35:73-75. doi: 10.1016/j.msard.2019.07.012. Epub 2019 Jul 20.
6
Neurological complications of influenza vaccination: navigating the spectrum with a focus on acute disseminated encephalomyelitis (ADEM).流感疫苗接种的神经系统并发症:聚焦急性播散性脑脊髓炎(ADEM)全面解析
Ann Med Surg (Lond). 2024 Jan 3;86(2):1029-1041. doi: 10.1097/MS9.0000000000001656. eCollection 2024 Feb.
7
[Clinical analysis of acute disseminated encephalomyelitis in 44 cases].
Zhonghua Yi Xue Za Zhi. 2016 Oct 25;96(39):3146-3150. doi: 10.3760/cma.j.issn.0376-2491.2016.39.007.
8
Acute disseminated encephalomyelitis: A retrospective study of 20 children in a pediatrics department in Tunisia.急性播散性脑脊髓炎:突尼斯儿科的 20 例儿童回顾性研究。
Arch Pediatr. 2021 Nov;28(8):638-646. doi: 10.1016/j.arcped.2021.09.027. Epub 2021 Oct 22.
9
Acute disseminated encephalomyelitis.急性播散性脑脊髓炎
Neurology. 2007 Apr 17;68(16 Suppl 2):S23-36. doi: 10.1212/01.wnl.0000259404.51352.7f.
10
Acute disseminated encephalomyelitis: an update.急性播散性脑脊髓炎:最新进展
Arch Neurol. 2005 Nov;62(11):1673-80. doi: 10.1001/archneur.62.11.1673.

本文引用的文献

1
Clinical comparative analysis of monophasic and multiphasic acute disseminated encephalomyelitis in adults.成人单相和多相急性播散性脑脊髓炎的临床对比分析
Arch Med Sci. 2020 Oct 13;19(3):687-693. doi: 10.5114/aoms.2020.99801. eCollection 2023.
2
Clinical Presentation and Outcomes of Acute Disseminated Encephalomyelitis in Adults Worldwide: Systematic Review and Meta-Analysis.全球范围内成人急性播散性脑脊髓炎的临床表现和结局:系统评价和荟萃分析。
Front Immunol. 2022 Jun 9;13:870867. doi: 10.3389/fimmu.2022.870867. eCollection 2022.
3
Adult onset acute disseminated encephalomyelitis: A case report.
成人起病的急性播散性脑脊髓炎:一例报告。
Radiol Case Rep. 2021 Jul 2;16(9):2469-2473. doi: 10.1016/j.radcr.2021.05.052. eCollection 2021 Sep.
4
Update on Acute Disseminated Encephalomyelitis in Children and Adolescents.儿童和青少年急性播散性脑脊髓炎的最新进展
Children (Basel). 2021 Apr 6;8(4):280. doi: 10.3390/children8040280.
5
Acute Disseminated Encephalomyelitis: Current Perspectives.急性播散性脑脊髓炎:当前观点
Children (Basel). 2020 Nov 3;7(11):210. doi: 10.3390/children7110210.
6
Acute disseminated encephalomyelitis in children and adults: A focused review emphasizing new developments.儿童和成人急性播散性脑脊髓炎:重点综述新进展。
Mult Scler. 2021 Jul;27(8):1153-1160. doi: 10.1177/1352458520929627. Epub 2020 Jun 18.
7
A unique case of multiphasic ADEM or what else?单相 ADEM 还是其他疾病?这是一个独特的病例
Mult Scler Relat Disord. 2019 Oct;35:73-75. doi: 10.1016/j.msard.2019.07.012. Epub 2019 Jul 20.
8
Vaccination-associated acute disseminated encephalomyelitis.疫苗接种相关急性播散性脑脊髓炎。
Vaccine. 2019 Feb 14;37(8):1126-1129. doi: 10.1016/j.vaccine.2019.01.021. Epub 2019 Jan 23.
9
Delayed appearance of transient hyperintensity foci on T1-weighted magnetic resonance imaging in acute disseminated encephalomyelitis.急性播散性脑脊髓炎 T1 加权磁共振成像上短暂性高信号灶的延迟出现。
Jpn J Radiol. 2019 Apr;37(4):277-282. doi: 10.1007/s11604-018-00808-w. Epub 2019 Jan 22.
10
Recurrent disseminated encephalomyelitis: A case report and literature review.复发性播散性脑脊髓炎:病例报告及文献复习。
Mult Scler Relat Disord. 2018 Nov;26:86-89. doi: 10.1016/j.msard.2018.09.007. Epub 2018 Sep 11.