• 文献检索
  • 文档翻译
  • 深度研究
  • 学术资讯
  • Suppr Zotero 插件Zotero 插件
  • 邀请有礼
  • 套餐&价格
  • 历史记录
应用&插件
Suppr Zotero 插件Zotero 插件浏览器插件Mac 客户端Windows 客户端微信小程序
定价
高级版会员购买积分包购买API积分包
服务
文献检索文档翻译深度研究API 文档MCP 服务
关于我们
关于 Suppr公司介绍联系我们用户协议隐私条款
关注我们

Suppr 超能文献

核心技术专利:CN118964589B侵权必究
粤ICP备2023148730 号-1Suppr @ 2026

文献检索

告别复杂PubMed语法,用中文像聊天一样搜索,搜遍4000万医学文献。AI智能推荐,让科研检索更轻松。

立即免费搜索

文件翻译

保留排版,准确专业,支持PDF/Word/PPT等文件格式,支持 12+语言互译。

免费翻译文档

深度研究

AI帮你快速写综述,25分钟生成高质量综述,智能提取关键信息,辅助科研写作。

立即免费体验

具有非典型类癌特征的右上叶大细胞神经内分泌癌:病例报告

Right Upper Lobe Large Cell Neuroendocrine Carcinoma with Atypical Carcinoid Features: Case Report.

作者信息

Lee Yelim, Rodrigs Ryan, Wallace William Dean, Wightman Sean C

机构信息

Keck School of Medicine, The University of Southern California, Los Angeles, CA, USA.

Department of Pathology, Keck School of Medicine, The University of Southern California, Los Angeles, CA, USA.

出版信息

Case Rep Oncol. 2024 Sep 18;17(1):1042-1049. doi: 10.1159/000540889. eCollection 2024 Jan-Dec.

DOI:10.1159/000540889
PMID:39474548
原文链接:https://pmc.ncbi.nlm.nih.gov/articles/PMC11521487/
Abstract

INTRODUCTION

Large cell neuroendocrine carcinoma (LCNEC) and atypical carcinoid (AC) tumor are two distinct types of pulmonary neuroendocrine tumors (NETs) that are considered genetically unrelated. AC is categorized as a well-differentiated NET, while LCNEC is considered a poorly differentiated NET with a significantly poorer prognosis.

CASE PRESENTATION

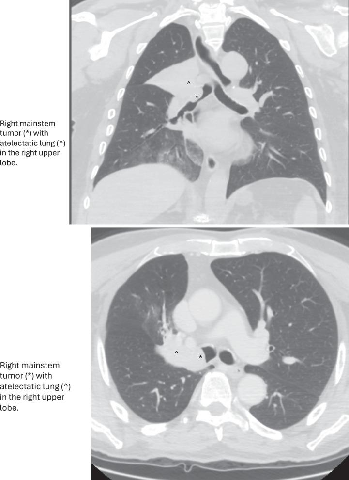
In this case report, we present an 83-year-old male who presented with 2-day history of hemoptysis and subsequently diagnosed with a right upper lobe carcinoid tumor on pre-excision biopsy. After evaluation of the entire excised specimen, the tumor was subsequently reclassified as LCNEC. This case is rare as the tumor displayed pathologic features of AC (areas with low mitotic activity and punctate necrosis) alternating with areas of LCNEC (high mitotic activity with sheets of necrosis). Subsequent molecular studies were more characteristic of AC, with no mutations detected in Rb1 or p53. The patient underwent surgical resection (right upper lobectomy with bronchoplasty and mediastinal lymph node dissection) to remove the tumor.

CONCLUSION

This report outlines the clinical presentation and the underlying pathology of this rare case, which underscores the complex molecular landscape of neuroendocrine neoplasms and the need for nuanced molecular analyses in refining diagnostic approaches.

摘要

引言

大细胞神经内分泌癌(LCNEC)和非典型类癌(AC)肿瘤是两种不同类型的肺神经内分泌肿瘤(NETs),被认为在基因上无关联。AC被归类为高分化NET,而LCNEC被认为是低分化NET,预后明显较差。

病例报告

在本病例报告中,我们介绍了一名83岁男性,他有2天咯血病史,术前活检后被诊断为右上叶类癌肿瘤。对整个切除标本进行评估后,该肿瘤随后被重新分类为LCNEC。该病例罕见,因为肿瘤表现出AC的病理特征(有低有丝分裂活性和点状坏死区域)与LCNEC区域(高有丝分裂活性伴大片坏死)交替出现。随后的分子研究更具AC特征,未在Rb1或p53中检测到突变。患者接受了手术切除(右上叶切除加支气管成形术和纵隔淋巴结清扫)以切除肿瘤。

结论

本报告概述了这一罕见病例的临床表现和潜在病理,强调了神经内分泌肿瘤复杂的分子格局以及在完善诊断方法中进行细致分子分析的必要性。

https://cdn.ncbi.nlm.nih.gov/pmc/blobs/2a3b/11521487/d1a74b66ebaf/cro-2024-0017-0001-540889_F03.jpg
https://cdn.ncbi.nlm.nih.gov/pmc/blobs/2a3b/11521487/17876c51207b/cro-2024-0017-0001-540889_F01.jpg
https://cdn.ncbi.nlm.nih.gov/pmc/blobs/2a3b/11521487/74dfd8ba3968/cro-2024-0017-0001-540889_F02.jpg
https://cdn.ncbi.nlm.nih.gov/pmc/blobs/2a3b/11521487/d1a74b66ebaf/cro-2024-0017-0001-540889_F03.jpg
https://cdn.ncbi.nlm.nih.gov/pmc/blobs/2a3b/11521487/17876c51207b/cro-2024-0017-0001-540889_F01.jpg
https://cdn.ncbi.nlm.nih.gov/pmc/blobs/2a3b/11521487/74dfd8ba3968/cro-2024-0017-0001-540889_F02.jpg
https://cdn.ncbi.nlm.nih.gov/pmc/blobs/2a3b/11521487/d1a74b66ebaf/cro-2024-0017-0001-540889_F03.jpg

相似文献

1
Right Upper Lobe Large Cell Neuroendocrine Carcinoma with Atypical Carcinoid Features: Case Report.具有非典型类癌特征的右上叶大细胞神经内分泌癌:病例报告
Case Rep Oncol. 2024 Sep 18;17(1):1042-1049. doi: 10.1159/000540889. eCollection 2024 Jan-Dec.
2
Survival analysis of 200 pulmonary neuroendocrine tumors with clarification of criteria for atypical carcinoid and its separation from typical carcinoid.200例肺神经内分泌肿瘤的生存分析及非典型类癌标准的明确及其与典型类癌的鉴别
Am J Surg Pathol. 1998 Aug;22(8):934-44. doi: 10.1097/00000478-199808000-00003.
3
Large cell neuroendocrine carcinoma of the larynx: definition of an entity.喉大细胞神经内分泌癌:一种实体的定义
Head Neck Pathol. 2010 Sep;4(3):198-207. doi: 10.1007/s12105-010-0188-0. Epub 2010 Jun 30.
4
[Pulmonary neuroendocrine tumors in the new WHO 2015 classification: Start of breaking new grounds?].[2015年世界卫生组织新分类中的肺神经内分泌肿瘤:开拓新领域的开端?]
Pathologe. 2015 May;36(3):283-92. doi: 10.1007/s00292-015-0030-2.
5
Characteristics of 252 patients with bronchopulmonary neuroendocrine tumours treated at the Copenhagen NET Centre of Excellence.252 例支气管肺神经内分泌肿瘤患者在哥本哈根神经内分泌肿瘤卓越中心的治疗特征。
Lung Cancer. 2019 Jun;132:141-149. doi: 10.1016/j.lungcan.2019.03.013. Epub 2019 Apr 5.
6
Automated quantification of Ki-67 proliferative index of excised neuroendocrine tumors of the lung.肺切除神经内分泌肿瘤Ki-67增殖指数的自动化定量分析
Diagn Pathol. 2014 Oct 16;9:174. doi: 10.1186/s13000-014-0174-z.
7
Thymic atypical carcinoid tumors with elevated mitotic counts in a patient with multiple endocrine neoplasia: A case report.胸腺非典型类癌伴核分裂象增多患者伴多发性内分泌肿瘤:病例报告。
Thorac Cancer. 2023 May;14(14):1311-1315. doi: 10.1111/1759-7714.14863. Epub 2023 Mar 20.
8
Analysis of p53, K-ras-2, and C-raf-1 in pulmonary neuroendocrine tumors. Correlation with histological subtype and clinical outcome.肺神经内分泌肿瘤中p53、K-ras-2和C-raf-1的分析。与组织学亚型和临床结果的相关性。
Am J Pathol. 1996 May;148(5):1531-41.
9
Pulmonary atypical carcinoid: predictors of survival in 106 cases.肺非典型类癌:106例患者的生存预测因素
Hum Pathol. 2000 Oct;31(10):1255-65. doi: 10.1053/hupa.2000.19294.
10
Two cases of lung neuroendocrine carcinoma with carcinoid morphology.两例类癌形态的肺神经内分泌癌。
Diagn Pathol. 2019 Sep 12;14(1):104. doi: 10.1186/s13000-019-0886-1.

本文引用的文献

1
Comparative study of the genomic landscape and tumor microenvironment among large cell carcinoma of the lung, large cell neuroendocrine of the lung, and small cell lung cancer.大细胞肺癌、肺大细胞神经内分泌癌和小细胞肺癌的基因组景观和肿瘤微环境比较研究。
Medicine (Baltimore). 2023 Jan 27;102(4):e32781. doi: 10.1097/MD.0000000000032781.
2
Clinic and genetic similarity assessments of atypical carcinoid, neuroendocrine neoplasm with atypical carcinoid morphology and elevated mitotic count and large cell neuroendocrine carcinoma.不典型类癌、具有不典型类癌形态和核分裂象增多的神经内分泌肿瘤、大细胞神经内分泌癌的临床和遗传学相似性评估。
BMC Cancer. 2022 Mar 24;22(1):321. doi: 10.1186/s12885-022-09391-w.
3
Pulmonary large cell carcinoma with neuroendocrine morphology shows genetic similarity to large cell neuroendocrine carcinoma.
具有神经内分泌形态的肺大细胞癌显示出与大细胞神经内分泌癌的遗传相似性。
Diagn Pathol. 2022 Feb 10;17(1):26. doi: 10.1186/s13000-022-01204-9.
4
Lung neuroendocrine tumors: A systematic literature review (Review).肺神经内分泌肿瘤:一项系统文献综述(综述)
Exp Ther Med. 2022 Feb;23(2):176. doi: 10.3892/etm.2021.11099. Epub 2021 Dec 28.
5
Classification of neuroendocrine neoplasms: lights and shadows.神经内分泌肿瘤的分类:光明与阴影。
Rev Endocr Metab Disord. 2021 Sep;22(3):527-538. doi: 10.1007/s11154-020-09612-2. Epub 2020 Nov 9.
6
Beyond Traditional Morphological Characterization of Lung Neuroendocrine Neoplasms: In Silico Study of Next-Generation Sequencing Mutations Analysis across the Four World Health Organization Defined Groups.超越肺神经内分泌肿瘤的传统形态学特征:针对世界卫生组织定义的四个组别的下一代测序突变分析的计算机模拟研究
Cancers (Basel). 2020 Sep 24;12(10):2753. doi: 10.3390/cancers12102753.
7
Two cases of lung neuroendocrine carcinoma with carcinoid morphology.两例类癌形态的肺神经内分泌癌。
Diagn Pathol. 2019 Sep 12;14(1):104. doi: 10.1186/s13000-019-0886-1.
8
Clinicopathological Profiling of Lung Carcinoids with a Ki67 Index > 20.Ki67 指数>20%的肺类癌的临床病理特征分析。
Neuroendocrinology. 2019;108(2):109-120. doi: 10.1159/000495806. Epub 2018 Nov 28.
9
Incidence and prevalence of neuroendocrine tumors of the lung: analysis of a US commercial insurance claims database.肺神经内分泌肿瘤的发病率和患病率:一项美国商业保险理赔数据库分析。
BMC Pulm Med. 2018 Aug 13;18(1):135. doi: 10.1186/s12890-018-0678-5.
10
New Insights into the Molecular Characteristics of Pulmonary Carcinoids and Large Cell Neuroendocrine Carcinomas, and the Impact on Their Clinical Management.肺类癌和大细胞神经内分泌癌的分子特征新见解及其对临床管理的影响。
J Thorac Oncol. 2018 Jun;13(6):752-766. doi: 10.1016/j.jtho.2018.02.002. Epub 2018 Feb 14.