Suppr超能文献

ATM加SF3B1突变且肿瘤突变负荷中等的高级别治疗引发的神经内分泌前列腺癌患者对联合免疫疗法的完全缓解:病例报告及文献综述

A Complete Response to Combined Immunotherapy in a Patient with an ATM plus SF3B1 Mutation and a Moderate Tumor Mutational Burden with a High-Grade Treatment-Emergent Neuroendocrine Prostate Cancer: Case Report and Review of the Literature.

作者信息

Ferreira Bruzzi Porto Helena, C K Lopes Gabriela, B V Bekierman Hannah, Altino De Almeida Sérgio, Da Matta Andreiuolo Felipe, Lucena Evandro, Pravin Patel Sandip, Freire Vinicius, Herchenhorn Daniel

机构信息

Medical School, Universidade Estácio de Sá, Rio de Janeiro, Brazil.

Nuclear Medicine, Oncologia D'Or, Rio de Janeiro, Brazil.

出版信息

Case Rep Oncol. 2024 Aug 29;17(1):950-959. doi: 10.1159/000540573. eCollection 2024 Jan-Dec.

Abstract

INTRODUCTION

High-grade treatment-emergent neuroendocrine prostate cancer (T-NEPC) is a rare subtype of prostate cancer with limited therapeutic options and poor prognosis. Understanding biomarkers that influence the efficacy of immune checkpoint inhibitors (IO) is vital to form a better therapeutic arsenal for these patients.

CASE PRESENTATION

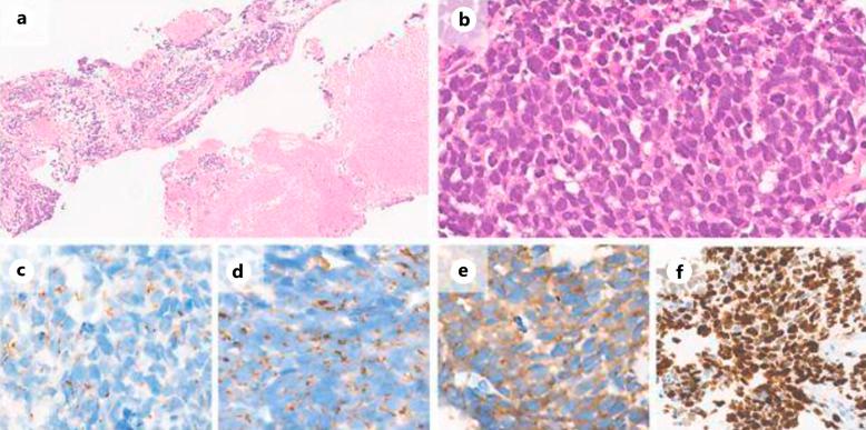
We describe an impressive response to IO combination immunotherapy with ipilimumab plus nivolumab (Ipi/nivo) in a patient with T-NEPC who had failed standard treatment approaches. The patient was showing signs of a rapid decline in quality of life despite his prostate-specific antigen levels remaining undetectable and had no previous response to standard therapies. The results of the next-generation sequencing DNA analysis demonstrated the presence of intermediary tumor burden, an ATM mutation and a rare SF3B1 (G742D) mutation, and served as rational for IO therapy in this patient.

CONCLUSIONS

This case highlights the genetic profile of tumor with a rare combination of ATM and SF3B1 mutations that could be further explored as biomarkers for IO therapy in T-NEPC and other tumor types.

摘要

引言

高级别治疗引发的神经内分泌前列腺癌(T-NEPC)是前列腺癌的一种罕见亚型,治疗选择有限且预后较差。了解影响免疫检查点抑制剂(IO)疗效的生物标志物对于为这些患者打造更有效的治疗方案至关重要。

病例介绍

我们描述了一例T-NEPC患者,在标准治疗方法失败后,对伊匹单抗加纳武单抗(Ipi/nivo)的IO联合免疫疗法产生了显著反应。尽管该患者的前列腺特异性抗原水平仍无法检测到,但生活质量却出现了迅速下降的迹象,且此前对标准疗法无反应。下一代测序DNA分析结果显示存在中等肿瘤负荷、ATM突变和罕见的SF3B1(G742D)突变,这为该患者接受IO治疗提供了依据。

结论

该病例突出了具有ATM和SF3B1突变罕见组合的肿瘤基因特征,这可作为T-NEPC和其他肿瘤类型中IO治疗生物标志物进行进一步探索。

https://cdn.ncbi.nlm.nih.gov/pmc/blobs/c525/11521452/5979d7bfb215/cro-2024-0017-0001-540573_F01.jpg

文献检索

告别复杂PubMed语法,用中文像聊天一样搜索,搜遍4000万医学文献。AI智能推荐,让科研检索更轻松。

立即免费搜索

文件翻译

保留排版,准确专业,支持PDF/Word/PPT等文件格式,支持 12+语言互译。

免费翻译文档

深度研究

AI帮你快速写综述,25分钟生成高质量综述,智能提取关键信息,辅助科研写作。

立即免费体验