• 文献检索
  • 文档翻译
  • 深度研究
  • 学术资讯
  • Suppr Zotero 插件Zotero 插件
  • 邀请有礼
  • 套餐&价格
  • 历史记录
应用&插件
Suppr Zotero 插件Zotero 插件浏览器插件Mac 客户端Windows 客户端微信小程序
定价
高级版会员购买积分包购买API积分包
服务
文献检索文档翻译深度研究API 文档MCP 服务
关于我们
关于 Suppr公司介绍联系我们用户协议隐私条款
关注我们

Suppr 超能文献

核心技术专利:CN118964589B侵权必究
粤ICP备2023148730 号-1Suppr @ 2026

文献检索

告别复杂PubMed语法,用中文像聊天一样搜索,搜遍4000万医学文献。AI智能推荐,让科研检索更轻松。

立即免费搜索

文件翻译

保留排版,准确专业,支持PDF/Word/PPT等文件格式,支持 12+语言互译。

免费翻译文档

深度研究

AI帮你快速写综述,25分钟生成高质量综述,智能提取关键信息,辅助科研写作。

立即免费体验

模块化牢固固定型髋关节翻修柄骨折:一例报告及文献综述

Modular Well-Fixed Hip Revision Stem Fracture: A Case Report and Literature Review.

作者信息

Pessina Fabio, Cazzaniga Carlo, Manzini Beatrice, Cardile Carlo

机构信息

Department of Medicine and Surgery, University of Milano-Bicocca, Monza, Italy.

Department of Orthopedics and Trauma Surgery, ASST Rhodense, Ospedale Salvini, Garbagnate Milanese, Milano, Italy.

出版信息

Arch Bone Jt Surg. 2024;12(10):735-741. doi: 10.22038/ABJS.2024.80313.3666.

DOI:10.22038/ABJS.2024.80313.3666
PMID:39478845
原文链接:https://pmc.ncbi.nlm.nih.gov/articles/PMC11519420/
Abstract

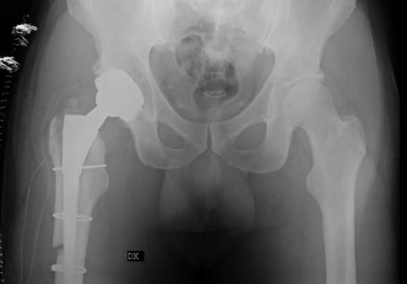
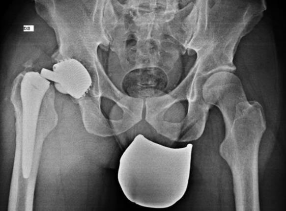
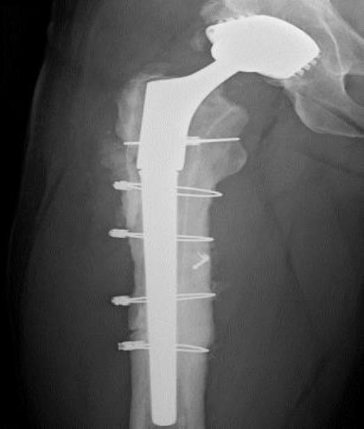
This study presents a case of repeated prosthetic fractures in a modular hip prosthesis in a 56-year-old male patient. After the initial implantation of a modular total hip prosthesis in 2006, the patient experienced two instances of prosthetic implant fractures over seventeen years. In this study, we analyze the clinical case, explore potential underlying causes of this complication, and delve into current indications and strategies for the revision of fractured prosthesis stems. The discussion is informed by a literature review and underscores the significance of selecting appropriate revision techniques to address this challenge.

摘要

本研究报告了一例56岁男性患者模块化髋关节假体反复发生假体骨折的病例。2006年首次植入模块化全髋关节假体后,该患者在十七年中经历了两次假体植入物骨折。在本研究中,我们分析了该临床病例,探讨了这种并发症的潜在根本原因,并深入研究了目前骨折假体柄翻修的适应症和策略。讨论以文献综述为依据,并强调选择合适的翻修技术来应对这一挑战的重要性。

https://cdn.ncbi.nlm.nih.gov/pmc/blobs/5d14/11519420/bdfdb9cca253/ABJS-12-735-g015.jpg
https://cdn.ncbi.nlm.nih.gov/pmc/blobs/5d14/11519420/3adbf261e825/ABJS-12-735-g001.jpg
https://cdn.ncbi.nlm.nih.gov/pmc/blobs/5d14/11519420/faea2f0ea032/ABJS-12-735-g002.jpg
https://cdn.ncbi.nlm.nih.gov/pmc/blobs/5d14/11519420/668f8a9ca367/ABJS-12-735-g003.jpg
https://cdn.ncbi.nlm.nih.gov/pmc/blobs/5d14/11519420/76f2196b6cb4/ABJS-12-735-g004.jpg
https://cdn.ncbi.nlm.nih.gov/pmc/blobs/5d14/11519420/d06a0bd666c5/ABJS-12-735-g005.jpg
https://cdn.ncbi.nlm.nih.gov/pmc/blobs/5d14/11519420/8c1eb8616d64/ABJS-12-735-g006.jpg
https://cdn.ncbi.nlm.nih.gov/pmc/blobs/5d14/11519420/e7bca57350b2/ABJS-12-735-g007.jpg
https://cdn.ncbi.nlm.nih.gov/pmc/blobs/5d14/11519420/c6b3e47bbb49/ABJS-12-735-g008.jpg
https://cdn.ncbi.nlm.nih.gov/pmc/blobs/5d14/11519420/e504aa2c4f92/ABJS-12-735-g009.jpg
https://cdn.ncbi.nlm.nih.gov/pmc/blobs/5d14/11519420/a6ec117f7bf9/ABJS-12-735-g010.jpg
https://cdn.ncbi.nlm.nih.gov/pmc/blobs/5d14/11519420/fa80151cf57c/ABJS-12-735-g011.jpg
https://cdn.ncbi.nlm.nih.gov/pmc/blobs/5d14/11519420/f5bfa0b5604f/ABJS-12-735-g012.jpg
https://cdn.ncbi.nlm.nih.gov/pmc/blobs/5d14/11519420/9323eb1c840b/ABJS-12-735-g013.jpg
https://cdn.ncbi.nlm.nih.gov/pmc/blobs/5d14/11519420/a31754ae6d2c/ABJS-12-735-g014.jpg
https://cdn.ncbi.nlm.nih.gov/pmc/blobs/5d14/11519420/bdfdb9cca253/ABJS-12-735-g015.jpg
https://cdn.ncbi.nlm.nih.gov/pmc/blobs/5d14/11519420/3adbf261e825/ABJS-12-735-g001.jpg
https://cdn.ncbi.nlm.nih.gov/pmc/blobs/5d14/11519420/faea2f0ea032/ABJS-12-735-g002.jpg
https://cdn.ncbi.nlm.nih.gov/pmc/blobs/5d14/11519420/668f8a9ca367/ABJS-12-735-g003.jpg
https://cdn.ncbi.nlm.nih.gov/pmc/blobs/5d14/11519420/76f2196b6cb4/ABJS-12-735-g004.jpg
https://cdn.ncbi.nlm.nih.gov/pmc/blobs/5d14/11519420/d06a0bd666c5/ABJS-12-735-g005.jpg
https://cdn.ncbi.nlm.nih.gov/pmc/blobs/5d14/11519420/8c1eb8616d64/ABJS-12-735-g006.jpg
https://cdn.ncbi.nlm.nih.gov/pmc/blobs/5d14/11519420/e7bca57350b2/ABJS-12-735-g007.jpg
https://cdn.ncbi.nlm.nih.gov/pmc/blobs/5d14/11519420/c6b3e47bbb49/ABJS-12-735-g008.jpg
https://cdn.ncbi.nlm.nih.gov/pmc/blobs/5d14/11519420/e504aa2c4f92/ABJS-12-735-g009.jpg
https://cdn.ncbi.nlm.nih.gov/pmc/blobs/5d14/11519420/a6ec117f7bf9/ABJS-12-735-g010.jpg
https://cdn.ncbi.nlm.nih.gov/pmc/blobs/5d14/11519420/fa80151cf57c/ABJS-12-735-g011.jpg
https://cdn.ncbi.nlm.nih.gov/pmc/blobs/5d14/11519420/f5bfa0b5604f/ABJS-12-735-g012.jpg
https://cdn.ncbi.nlm.nih.gov/pmc/blobs/5d14/11519420/9323eb1c840b/ABJS-12-735-g013.jpg
https://cdn.ncbi.nlm.nih.gov/pmc/blobs/5d14/11519420/a31754ae6d2c/ABJS-12-735-g014.jpg
https://cdn.ncbi.nlm.nih.gov/pmc/blobs/5d14/11519420/bdfdb9cca253/ABJS-12-735-g015.jpg

相似文献

1
Modular Well-Fixed Hip Revision Stem Fracture: A Case Report and Literature Review.模块化牢固固定型髋关节翻修柄骨折:一例报告及文献综述
Arch Bone Jt Surg. 2024;12(10):735-741. doi: 10.22038/ABJS.2024.80313.3666.
2
Femoral Stem Fracture in Hip Revision Arthroplasty: A Systematic Literature Review of the Real-World Evidence.髋关节翻修术中股骨柄骨折:真实世界证据的系统文献回顾。
Z Orthop Unfall. 2022 Apr;160(2):160-171. doi: 10.1055/a-1348-2873. Epub 2021 Apr 13.
3
Modified transfemoral approach to revision arthroplasty with uncemented modular revision stems.采用改良经股入路行非骨水泥型模块化翻修柄的关节置换翻修术。
Oper Orthop Traumatol. 2007 Mar;19(1):32-55. doi: 10.1007/s00064-007-1194-6.
4
Femoral revision in total hip arthroplasty using a cementless modular stem: clinical and radiological results with a 8-year follow-up.全髋关节置换术中使用非骨水泥模块化柄进行股骨翻修:8 年随访的临床和影像学结果。
Arch Orthop Trauma Surg. 2024 Mar;144(3):1369-1377. doi: 10.1007/s00402-023-05066-8. Epub 2023 Oct 24.
5
Fracture of cementless femoral stems at the mid-stem junction in modular revision hip arthroplasty systems.非骨水泥股骨柄在模块化翻修髋关节系统中的柄中-柄交界处断裂。
J Bone Joint Surg Am. 2011 Jan 5;93(1):57-65. doi: 10.2106/JBJS.I.01589.
6
Clinical outcomes and survival rates of a uncemented modular revision stem system in hip arthroplasty: a 10-year single-institution study on a frail population.非骨水泥模块化翻修柄系统在髋关节置换中的临床疗效和生存率:10 年单中心对虚弱人群的研究。
Arch Orthop Trauma Surg. 2024 Aug;144(8):3833-3840. doi: 10.1007/s00402-024-05483-3. Epub 2024 Aug 10.
7
Risk Factors for Subsidence of Modular Fluted Tapered Stems Used During Revision Total Hip Arthroplasty for Periprosthetic Hip Fractures.翻修全髋关节置换术治疗人工关节周围骨折中使用的模块化带槽锥形柄下沉的危险因素。
J Arthroplasty. 2018 Sep;33(9):2967-2970. doi: 10.1016/j.arth.2018.05.006. Epub 2018 May 9.
8
Revision Total Hip Arthroplasty with a Modular Fluted Tapered Stem for a Periprosthetic Femoral Fracture.采用模块化带槽锥形柄治疗假体周围股骨骨折的翻修全髋关节置换术
JBJS Essent Surg Tech. 2023 Jul 21;13(3). doi: 10.2106/JBJS.ST.22.00023. eCollection 2023 Jul-Sep.
9
Short proximal components in modular revision stems carry a higher risk for stem fractures.短的近段组件在模块化翻修柄中会增加柄骨折的风险。
Hip Int. 2021 May;31(3):398-403. doi: 10.1177/1120700019884049. Epub 2019 Oct 22.
10
What Factors Are Associated With Neck Fracture in One Commonly Used Bimodular THA Design? A Multicenter, Nationwide Study in Slovenia.哪些因素与一种常用的双模块化 THA 设计中的颈部骨折有关?一项来自斯洛文尼亚的多中心、全国性研究。
Clin Orthop Relat Res. 2019 Jun;477(6):1324-1332. doi: 10.1097/CORR.0000000000000646.

本文引用的文献

1
Cantilever Failure of Modular Uncemented Femoral Revision Stem in Patients with Poor Proximal Femoral Support; How to avoid it?股骨近端支撑不佳患者中模块化非骨水泥型股骨翻修柄的悬臂梁式失效;如何避免?
Arch Bone Jt Surg. 2024;12(4):240-244. doi: 10.22038/ABJS.2023.75373.3485.
2
The "Inside-Out" Anterior Osteotomy of the Proximal Femur via the Direct Anterior Approach in Revision Hip Arthroplasty.翻修髋关节置换术中经直接前路入路的股骨近端“由内向外”前截骨术
Arthroplast Today. 2023 Oct 16;24:101219. doi: 10.1016/j.artd.2023.101219. eCollection 2023 Dec.
3
Total hip arthroplasty monobloc stem neck rupture in patient with massive heterotopic ossifications: a case report and literature review.
全髋关节置换术单块柄颈部断裂在伴有大量异位骨化患者中的病例报告及文献综述
Acta Biomed. 2023 Jun 23;94(S2):e2023117. doi: 10.23750/abm.v94iS2.13888.
4
Fracture of femoral neck in modular total hip arthroplasty: a systematic review of the literature.髋关节置换术后股骨颈骨折:文献系统回顾。
Hip Int. 2024 May;34(3):409-420. doi: 10.1177/11207000231211253. Epub 2023 Nov 6.
5
Revision Hip Arthroplasty Using a Modular, Cementless Femoral Stem: Long-Term Follow-Up.使用模块化、非骨水泥股骨柄进行髋关节翻修:长期随访。
J Arthroplasty. 2023 May;38(5):903-908. doi: 10.1016/j.arth.2022.12.018. Epub 2022 Dec 16.
6
Modular neck stems in total hip arthroplasty: current concepts.全髋关节置换术中的模块化颈干:当前概念
EFORT Open Rev. 2021 Sep 14;6(9):751-758. doi: 10.1302/2058-5241.6.200064. eCollection 2021 Sep.
7
Femoral Stem Fracture in Hip Revision Arthroplasty: A Systematic Literature Review of the Real-World Evidence.髋关节翻修术中股骨柄骨折:真实世界证据的系统文献回顾。
Z Orthop Unfall. 2022 Apr;160(2):160-171. doi: 10.1055/a-1348-2873. Epub 2021 Apr 13.
8
Taper corrosion: a complication of total hip arthroplasty.锥形腐蚀:全髋关节置换术的一种并发症。
EFORT Open Rev. 2020 Nov 13;5(11):776-784. doi: 10.1302/2058-5241.5.200013. eCollection 2020 Nov.
9
Trochanteric osteotomy in revision total hip arthroplasty.翻修全髋关节置换术中的转子截骨术
EFORT Open Rev. 2020 Sep 10;5(8):477-485. doi: 10.1302/2058-5241.5.190063. eCollection 2020 Aug.
10
Revision of a Fractured Titanium Modular Revision Hip Stem Without Removal of the Well-Fixed Part of the Stem: A New Approach Using a Cemented Tube.不取出股骨柄固定良好部分的骨折钛合金模块化翻修髋关节股骨柄翻修术:使用骨水泥填充管的新方法
Arthroplast Today. 2020 Jun 13;6(3):363-368. doi: 10.1016/j.artd.2020.04.018. eCollection 2020 Sep.