Suppr超能文献

一名沙特女童中罕见的血小板生成素基因(THPO)突变:病例报告及文献综述

A Rare THPO Gene Mutation in a Saudi Female Child: A Case Report and Literature Review.

作者信息

Alasmari Badriah G, Elzubair Khalid, Alquraishi Ali, Adlan Mohammed, Alabbas Ali, Elzubair Lina, Al Tala Saeed

机构信息

Pediatrics Hematology/Oncology, Armed Forces Hospital Southern Region, Khamis Mushait, SAU.

Pediatrics, Armed Forces Hospital Southern Region, Khamis Mushait, SAU.

出版信息

Cureus. 2024 Sep 30;16(9):e70513. doi: 10.7759/cureus.70513. eCollection 2024 Sep.

Abstract

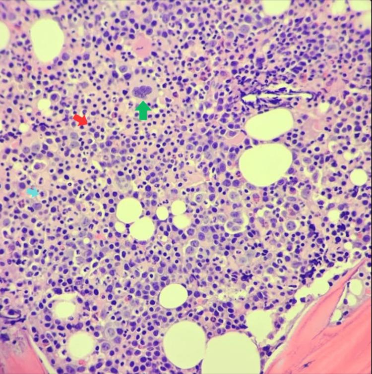
Thrombopoietin (THPO) is a regulator of megakaryopoiesis and thrombopoiesis. Mutation of the gene is known to cause congenital amegakaryocytic thrombocytopenia (CAMT2), which is a rare inherited disorder characterized by early infancy thrombocytopenia and absent or decreased megakaryocytes with gradual progression to pancytopenia. We report the case of a Saudi girl who had been asymptomatic until age seven when she was found to have unexplained thrombocytopenia. Whole-genome sequencing detected loss between the genomic coordinates (chr3:184088108-184090520) partially encompassing exon 6 of the gene in a homozygous state, which is reported as a new variant. This report highlights the importance of genetic testing for unexplained persistent hematological abnormalities for early diagnosis, especially in consanguineous populations.

摘要

血小板生成素(THPO)是巨核细胞生成和血小板生成的调节因子。已知该基因突变会导致先天性无巨核细胞血小板减少症(CAMT2),这是一种罕见的遗传性疾病,其特征为婴儿早期血小板减少,巨核细胞缺失或减少,并逐渐发展为全血细胞减少。我们报告了一名沙特女孩的病例,她在7岁之前一直无症状,之后被发现患有不明原因的血小板减少症。全基因组测序检测到在基因组坐标(chr3:184088108 - 184090520)之间存在缺失,该区域部分包含该基因的外显子6,呈纯合状态,这被报告为一种新的变异。本报告强调了对不明原因的持续性血液学异常进行基因检测以早期诊断的重要性,尤其是在近亲结婚人群中。

https://cdn.ncbi.nlm.nih.gov/pmc/blobs/faf1/11524171/99a236ef976b/cureus-0016-00000070513-i01.jpg

文献检索

告别复杂PubMed语法,用中文像聊天一样搜索,搜遍4000万医学文献。AI智能推荐,让科研检索更轻松。

立即免费搜索

文件翻译

保留排版,准确专业,支持PDF/Word/PPT等文件格式,支持 12+语言互译。

免费翻译文档

深度研究

AI帮你快速写综述,25分钟生成高质量综述,智能提取关键信息,辅助科研写作。

立即免费体验