• 文献检索
  • 文档翻译
  • 深度研究
  • 学术资讯
  • Suppr Zotero 插件Zotero 插件
  • 邀请有礼
  • 套餐&价格
  • 历史记录
应用&插件
Suppr Zotero 插件Zotero 插件浏览器插件Mac 客户端Windows 客户端微信小程序
定价
高级版会员购买积分包购买API积分包
服务
文献检索文档翻译深度研究API 文档MCP 服务
关于我们
关于 Suppr公司介绍联系我们用户协议隐私条款
关注我们

Suppr 超能文献

核心技术专利:CN118964589B侵权必究
粤ICP备2023148730 号-1Suppr @ 2026

文献检索

告别复杂PubMed语法,用中文像聊天一样搜索,搜遍4000万医学文献。AI智能推荐,让科研检索更轻松。

立即免费搜索

文件翻译

保留排版,准确专业,支持PDF/Word/PPT等文件格式,支持 12+语言互译。

免费翻译文档

深度研究

AI帮你快速写综述,25分钟生成高质量综述,智能提取关键信息,辅助科研写作。

立即免费体验

Cyclin D3 蛋白降解受损导致曲妥珠单抗耐药的 HER2 阳性乳腺癌。

Impaired cyclin D3 protein degradation contributes to trastuzumab resistance in HER2 positive breast cancer.

机构信息

Department of Medical Oncology, Cancer Center of Zhejiang University, Sir Run Run Shaw Hospital, School of Medicine, Zhejiang University, Hangzhou, 310016, Zhejiang, China.

Laboratory of Cancer Biology, Key Lab of Biotherapy in Zhejiang Province, Cancer Center of Zhejiang University, Sir Run Run Shaw Hospital, School of Medicine, Zhejiang University, Hangzhou, Zhejiang, China.

出版信息

Med Oncol. 2024 Nov 2;41(12):305. doi: 10.1007/s12032-024-02535-x.

DOI:10.1007/s12032-024-02535-x
PMID:39487929
原文链接:https://pmc.ncbi.nlm.nih.gov/articles/PMC11531418/
Abstract

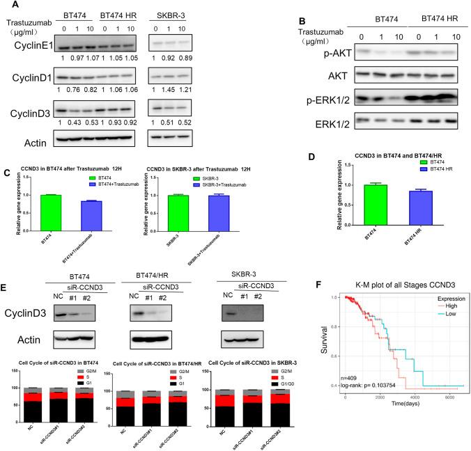
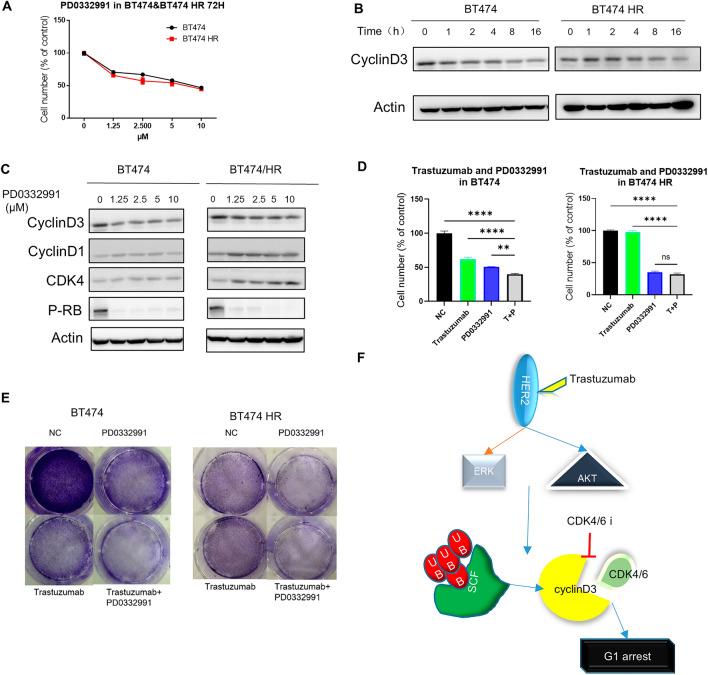
As the first anti-HER2 targeted agent approved by FDA in 1998, Trastuzumab has significantly improved the outcome of patients with HER2 positive metastatic breast cancer. Unfortunately, resistance to trastuzumab is a severe obstacle to its therapeutic efficacy in clinical application, and its mechanism has not yet been fully elucidated. In our study, we found that stabilization of cyclin D3 could be one reason for trastuzumab resistance. Trastuzumab could induce G1/G0 phase arrest by downregulating cyclin D3 protein expression. However, the protein expression of cyclin D3 was not affected in trastuzumab-resistant cells, which might be related to aberrant activation of ERK signaling pathway. Furthermore, degradation of cyclin D3 protein by trastuzumab was mainly resulted from ubiquitin-dependent proteasome mechanism instead of transcriptional regulation. In trastuzumab-resistant breast cancer cells, trastuzumab-induced degradation of cyclin D3 protein was abrogated. When the ubiquitin pathway was inhibited, cells would show a predisposition to resistance to trastuzumab. Further, CDK4/6 inhibitor can inhibit the proliferation of trastuzumab-resistant HER-2 positive breast cancer cells. Therefore, combination of CDK4/6 inhibitors and anti-HER2 targeted therapy may be an alternative and promising strategy to overcome trastuzumab resistance in the future.

摘要

作为 1998 年 FDA 批准的首个抗 HER2 靶向药物,曲妥珠单抗显著改善了 HER2 阳性转移性乳腺癌患者的预后。不幸的是,曲妥珠单抗耐药是其临床应用疗效的严重障碍,其机制尚未完全阐明。在我们的研究中,我们发现 cyclin D3 的稳定可能是曲妥珠单抗耐药的一个原因。曲妥珠单抗可以通过下调 cyclin D3 蛋白表达诱导 G1/G0 期阻滞。然而,曲妥珠单抗耐药细胞中 cyclin D3 的蛋白表达不受影响,这可能与 ERK 信号通路的异常激活有关。此外,曲妥珠单抗诱导 cyclin D3 蛋白降解主要是通过泛素依赖性蛋白酶体机制,而不是转录调控。在曲妥珠单抗耐药的乳腺癌细胞中,曲妥珠单抗诱导的 cyclin D3 蛋白降解被阻断。当抑制泛素途径时,细胞对曲妥珠单抗的耐药性会增加。此外,CDK4/6 抑制剂可以抑制曲妥珠单抗耐药的 HER-2 阳性乳腺癌细胞的增殖。因此,联合 CDK4/6 抑制剂和抗 HER2 靶向治疗可能是未来克服曲妥珠单抗耐药的一种替代和有前途的策略。

https://cdn.ncbi.nlm.nih.gov/pmc/blobs/054e/11531418/a516aeeab4a9/12032_2024_2535_Fig6_HTML.jpg
https://cdn.ncbi.nlm.nih.gov/pmc/blobs/054e/11531418/6c9a146434c3/12032_2024_2535_Fig1_HTML.jpg
https://cdn.ncbi.nlm.nih.gov/pmc/blobs/054e/11531418/ab50b8557336/12032_2024_2535_Fig2_HTML.jpg
https://cdn.ncbi.nlm.nih.gov/pmc/blobs/054e/11531418/4f9015ade79a/12032_2024_2535_Fig3_HTML.jpg
https://cdn.ncbi.nlm.nih.gov/pmc/blobs/054e/11531418/10a9ab7dd1ef/12032_2024_2535_Fig4_HTML.jpg
https://cdn.ncbi.nlm.nih.gov/pmc/blobs/054e/11531418/dab51e3abafc/12032_2024_2535_Fig5_HTML.jpg
https://cdn.ncbi.nlm.nih.gov/pmc/blobs/054e/11531418/a516aeeab4a9/12032_2024_2535_Fig6_HTML.jpg
https://cdn.ncbi.nlm.nih.gov/pmc/blobs/054e/11531418/6c9a146434c3/12032_2024_2535_Fig1_HTML.jpg
https://cdn.ncbi.nlm.nih.gov/pmc/blobs/054e/11531418/ab50b8557336/12032_2024_2535_Fig2_HTML.jpg
https://cdn.ncbi.nlm.nih.gov/pmc/blobs/054e/11531418/4f9015ade79a/12032_2024_2535_Fig3_HTML.jpg
https://cdn.ncbi.nlm.nih.gov/pmc/blobs/054e/11531418/10a9ab7dd1ef/12032_2024_2535_Fig4_HTML.jpg
https://cdn.ncbi.nlm.nih.gov/pmc/blobs/054e/11531418/dab51e3abafc/12032_2024_2535_Fig5_HTML.jpg
https://cdn.ncbi.nlm.nih.gov/pmc/blobs/054e/11531418/a516aeeab4a9/12032_2024_2535_Fig6_HTML.jpg

相似文献

1
Impaired cyclin D3 protein degradation contributes to trastuzumab resistance in HER2 positive breast cancer.Cyclin D3 蛋白降解受损导致曲妥珠单抗耐药的 HER2 阳性乳腺癌。
Med Oncol. 2024 Nov 2;41(12):305. doi: 10.1007/s12032-024-02535-x.
2
Targeted dual degradation of HER2 and EGFR obliterates oncogenic signaling, overcomes therapy resistance, and inhibits metastatic lesions in HER2-positive breast cancer models.靶向双重降解 HER2 和 EGFR 可消除致癌信号,克服治疗耐药性,并抑制 HER2 阳性乳腺癌模型中的转移病灶。
Drug Resist Updat. 2024 May;74:101078. doi: 10.1016/j.drup.2024.101078. Epub 2024 Mar 13.
3
A Non-Canonical p75HER2 Signaling Pathway Underlying Trastuzumab Action and Resistance in Breast Cancer.一种非经典的 p75HER2 信号通路,该通路是曲妥珠单抗在乳腺癌中发挥作用和产生耐药性的基础。
Cells. 2024 Aug 29;13(17):1452. doi: 10.3390/cells13171452.
4
TNFα-Induced Mucin 4 Expression Elicits Trastuzumab Resistance in HER2-Positive Breast Cancer.TNFα 诱导的粘蛋白 4 表达导致 HER2 阳性乳腺癌对曲妥珠单抗产生耐药性。
Clin Cancer Res. 2017 Feb 1;23(3):636-648. doi: 10.1158/1078-0432.CCR-16-0970. Epub 2016 Oct 3.
5
miR‑135b‑5p enhances the sensitivity of HER‑2 positive breast cancer to trastuzumab via binding to cyclin D2.微小RNA-135b-5p通过与细胞周期蛋白D2结合增强HER-2阳性乳腺癌对曲妥珠单抗的敏感性。
Int J Mol Med. 2020 Oct;46(4):1514-1524. doi: 10.3892/ijmm.2020.4681. Epub 2020 Jul 22.
6
HER2-Targeted PET Imaging and Therapy of Hyaluronan-Masked HER2-Overexpressing Breast Cancer.透明质酸掩蔽过表达 HER2 的乳腺癌的 HER2 靶向 PET 成像与治疗。
Mol Pharm. 2020 Jan 6;17(1):327-337. doi: 10.1021/acs.molpharmaceut.9b01091. Epub 2019 Dec 19.
7
UGT1A7 altered HER2-positive breast cancer response to trastuzumab by affecting epithelial-to-mesenchymal transition: A potential biomarker to identify patients resistant to trastuzumab treatment.UGT1A7 通过影响上皮间质转化改变曲妥珠单抗治疗 HER2 阳性乳腺癌的反应:一种潜在的生物标志物,用于识别对曲妥珠单抗治疗耐药的患者。
Cancer Gene Ther. 2024 Oct;31(10):1525-1535. doi: 10.1038/s41417-024-00819-y. Epub 2024 Aug 10.
8
Targeting of the HER2/HER3 signaling axis overcomes ligand-mediated resistance to trastuzumab in HER2-positive breast cancer.针对 HER2/HER3 信号轴可克服曲妥珠单抗治疗 HER2 阳性乳腺癌的配体介导耐药性。
Cancer Med. 2019 Mar;8(3):1258-1268. doi: 10.1002/cam4.1995. Epub 2019 Jan 31.
9
Tamoxifen overcomes the trastuzumab-resistance of SK-BR-3 tumorspheres by targeting crosstalk between cytoplasmic estrogen receptor α and the EGFR/HER2 signaling pathway.他莫昔芬通过靶向细胞浆雌激素受体α与 EGFR/HER2 信号通路的串扰克服 SK-BR-3 肿瘤球对曲妥珠单抗的耐药性。
Biochem Pharmacol. 2021 Aug;190:114635. doi: 10.1016/j.bcp.2021.114635. Epub 2021 May 28.
10
CTMP, a predictive biomarker for trastuzumab resistance in HER2-enriched breast cancer patient.CTMP是HER2富集型乳腺癌患者曲妥珠单抗耐药的预测性生物标志物。
Oncotarget. 2017 May 2;8(18):29699-29710. doi: 10.18632/oncotarget.10719.

本文引用的文献

1
Cancer incidence and mortality in China, 2022.2022年中国癌症发病率与死亡率
J Natl Cancer Cent. 2024 Feb 2;4(1):47-53. doi: 10.1016/j.jncc.2024.01.006. eCollection 2024 Mar.
2
Cancer statistics, 2024.2024年癌症统计数据。
CA Cancer J Clin. 2024 Jan-Feb;74(1):12-49. doi: 10.3322/caac.21820. Epub 2024 Jan 17.
3
Global trends and forecasts of breast cancer incidence and deaths.全球乳腺癌发病与死亡趋势及预测。
Sci Data. 2023 May 27;10(1):334. doi: 10.1038/s41597-023-02253-5.
4
Crystal structure of active CDK4-cyclin D and mechanistic basis for abemaciclib efficacy.活性CDK4-细胞周期蛋白D的晶体结构及阿贝西利疗效的作用机制基础
NPJ Breast Cancer. 2022 Nov 29;8(1):126. doi: 10.1038/s41523-022-00494-y.
5
LncRNA DILA1 inhibits Cyclin D1 degradation and contributes to tamoxifen resistance in breast cancer.长链非编码 RNA DILA1 抑制细胞周期蛋白 D1 的降解,促进乳腺癌对他莫昔芬的耐药性。
Nat Commun. 2020 Nov 2;11(1):5513. doi: 10.1038/s41467-020-19349-w.
6
Regulation of cell cycle drivers by Cullin-RING ubiquitin ligases.Cullin-RING 泛素连接酶对细胞周期驱动因子的调控。
Exp Mol Med. 2020 Oct;52(10):1637-1651. doi: 10.1038/s12276-020-00508-4. Epub 2020 Oct 2.
7
Palbociclib and Trastuzumab in HER2-Positive Advanced Breast Cancer: Results from the Phase II SOLTI-1303 PATRICIA Trial.帕博西尼与曲妥珠单抗治疗HER2阳性晚期乳腺癌:II期SOLTI-1303 PATRICIA试验结果
Clin Cancer Res. 2020 Nov 15;26(22):5820-5829. doi: 10.1158/1078-0432.CCR-20-0844. Epub 2020 Sep 16.
8
Abemaciclib plus trastuzumab with or without fulvestrant versus trastuzumab plus standard-of-care chemotherapy in women with hormone receptor-positive, HER2-positive advanced breast cancer (monarcHER): a randomised, open-label, phase 2 trial.阿贝西利联合曲妥珠单抗和(或)氟维司群对比曲妥珠单抗联合标准治疗化疗用于激素受体阳性、HER2 阳性晚期乳腺癌患者(monarcHER):一项随机、开放标签、二期临床试验。
Lancet Oncol. 2020 Jun;21(6):763-775. doi: 10.1016/S1470-2045(20)30112-1. Epub 2020 Apr 27.
9
The role of ubiquitination in tumorigenesis and targeted drug discovery.泛素化在肿瘤发生和靶向药物发现中的作用。
Signal Transduct Target Ther. 2020 Feb 29;5(1):11. doi: 10.1038/s41392-020-0107-0.
10
Cyclin D degradation by E3 ligases in cancer progression and treatment.E3 连接酶介导的细胞周期蛋白 D 降解在癌症进展和治疗中的作用。
Semin Cancer Biol. 2020 Dec;67(Pt 2):159-170. doi: 10.1016/j.semcancer.2020.01.012. Epub 2020 Jan 30.