• 文献检索
  • 文档翻译
  • 深度研究
  • 学术资讯
  • Suppr Zotero 插件Zotero 插件
  • 邀请有礼
  • 套餐&价格
  • 历史记录
应用&插件
Suppr Zotero 插件Zotero 插件浏览器插件Mac 客户端Windows 客户端微信小程序
定价
高级版会员购买积分包购买API积分包
服务
文献检索文档翻译深度研究API 文档MCP 服务
关于我们
关于 Suppr公司介绍联系我们用户协议隐私条款
关注我们

Suppr 超能文献

核心技术专利:CN118964589B侵权必究
粤ICP备2023148730 号-1Suppr @ 2026

文献检索

告别复杂PubMed语法,用中文像聊天一样搜索,搜遍4000万医学文献。AI智能推荐,让科研检索更轻松。

立即免费搜索

文件翻译

保留排版,准确专业,支持PDF/Word/PPT等文件格式,支持 12+语言互译。

免费翻译文档

深度研究

AI帮你快速写综述,25分钟生成高质量综述,智能提取关键信息,辅助科研写作。

立即免费体验

具有生物相容性表面的微流控生成可注射填充剂及其在大鼠肛门括约肌损伤模型中的中期结果

Microfluidic-Generated Injectable Bulking Agents with Biocompatible Surfaces and Their Mid-term Outcomes in a Rat Model with Anal Sphincter Injury.

作者信息

Lee Joonbum, Choi Jung-Woo, Lee Sang-A, Jang Seokhyun, Seo Ji-Hun, Hong Kwang Dae

机构信息

Department of Materials Science and Engineering, Korea University, 145 Anam-ro, Seongbuk-gu, Seoul 02841, Republic of Korea.

Department of Pathology, Korea University Ansan Hospital, 123 Jeokgeum-ro, Danwon-gu, Ansan-si, Gyeonggi-do 15355, Republic of Korea.

出版信息

ACS Omega. 2024 Oct 21;9(43):43817-43825. doi: 10.1021/acsomega.4c06043. eCollection 2024 Oct 29.

DOI:10.1021/acsomega.4c06043
PMID:39494012
原文链接:https://pmc.ncbi.nlm.nih.gov/articles/PMC11525505/
Abstract

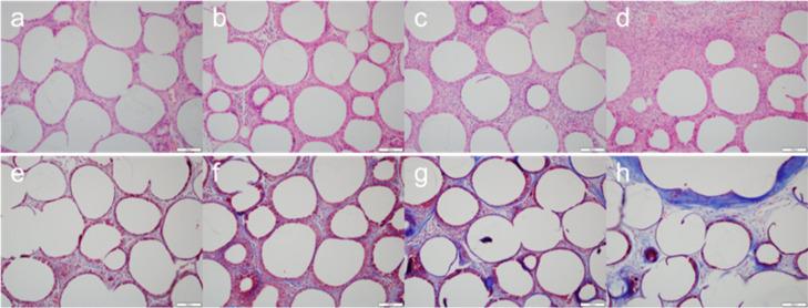
Bulking agents have gained attention as new, minimally invasive treatments for fecal incontinence. Various materials and surface treatment techniques have been extensively studied to ensure good biocompatibility and long-term stability. Despite significant improvements in biocompatibility, the nonuniform particle size of existing materials has led to other challenges, such as the induction of phagocytosis or reduction of injectability during in vivo tests. This study aimed to conduct a preclinical test of the midterm stability of bulking agents with newly formulated particles with uniform size. To this end, the particles were fabricated using microfluidics, resulting in a narrow size dispersity of less than 5% as the coefficient of variation, which is essentially distinct from conventional bulking agents. The microfluidic fabrication resulted in uniformly sized particles larger than the in vivo migratory limit of 80 μm and in a reduction in maximum injection pressure. Histological staining and microscopic observations confirmed proper positioning of the filler materials in vivo and a negligible immune response for up to 6 months, indicating successful midterm stability.

摘要

填充剂作为治疗大便失禁的新型微创治疗方法已受到关注。人们对各种材料和表面处理技术进行了广泛研究,以确保良好的生物相容性和长期稳定性。尽管生物相容性有了显著改善,但现有材料的粒径不均匀导致了其他挑战,例如在体内测试中诱导吞噬作用或降低可注射性。本研究旨在对具有新配方均匀粒径颗粒的填充剂进行中期稳定性的临床前测试。为此,使用微流控技术制造颗粒,变异系数小于5%,粒径分散度窄,这与传统填充剂有本质区别。微流控制造产生的颗粒尺寸均匀,大于80μm的体内迁移极限,并降低了最大注射压力。组织学染色和显微镜观察证实了填充材料在体内的正确定位,以及长达6个月的可忽略不计的免疫反应,表明中期稳定性成功。

https://cdn.ncbi.nlm.nih.gov/pmc/blobs/b20c/11525505/126d553d761d/ao4c06043_0010.jpg
https://cdn.ncbi.nlm.nih.gov/pmc/blobs/b20c/11525505/2c2f4d700e6a/ao4c06043_0001.jpg
https://cdn.ncbi.nlm.nih.gov/pmc/blobs/b20c/11525505/57b92a6dd18b/ao4c06043_0002.jpg
https://cdn.ncbi.nlm.nih.gov/pmc/blobs/b20c/11525505/63eeee58a460/ao4c06043_0003.jpg
https://cdn.ncbi.nlm.nih.gov/pmc/blobs/b20c/11525505/1fc2f206dd99/ao4c06043_0004.jpg
https://cdn.ncbi.nlm.nih.gov/pmc/blobs/b20c/11525505/78e9d67945cd/ao4c06043_0005.jpg
https://cdn.ncbi.nlm.nih.gov/pmc/blobs/b20c/11525505/cd0303a8249a/ao4c06043_0006.jpg
https://cdn.ncbi.nlm.nih.gov/pmc/blobs/b20c/11525505/08867320f1e5/ao4c06043_0007.jpg
https://cdn.ncbi.nlm.nih.gov/pmc/blobs/b20c/11525505/d38ae7af412b/ao4c06043_0008.jpg
https://cdn.ncbi.nlm.nih.gov/pmc/blobs/b20c/11525505/84b4baec4ef4/ao4c06043_0009.jpg
https://cdn.ncbi.nlm.nih.gov/pmc/blobs/b20c/11525505/126d553d761d/ao4c06043_0010.jpg
https://cdn.ncbi.nlm.nih.gov/pmc/blobs/b20c/11525505/2c2f4d700e6a/ao4c06043_0001.jpg
https://cdn.ncbi.nlm.nih.gov/pmc/blobs/b20c/11525505/57b92a6dd18b/ao4c06043_0002.jpg
https://cdn.ncbi.nlm.nih.gov/pmc/blobs/b20c/11525505/63eeee58a460/ao4c06043_0003.jpg
https://cdn.ncbi.nlm.nih.gov/pmc/blobs/b20c/11525505/1fc2f206dd99/ao4c06043_0004.jpg
https://cdn.ncbi.nlm.nih.gov/pmc/blobs/b20c/11525505/78e9d67945cd/ao4c06043_0005.jpg
https://cdn.ncbi.nlm.nih.gov/pmc/blobs/b20c/11525505/cd0303a8249a/ao4c06043_0006.jpg
https://cdn.ncbi.nlm.nih.gov/pmc/blobs/b20c/11525505/08867320f1e5/ao4c06043_0007.jpg
https://cdn.ncbi.nlm.nih.gov/pmc/blobs/b20c/11525505/d38ae7af412b/ao4c06043_0008.jpg
https://cdn.ncbi.nlm.nih.gov/pmc/blobs/b20c/11525505/84b4baec4ef4/ao4c06043_0009.jpg
https://cdn.ncbi.nlm.nih.gov/pmc/blobs/b20c/11525505/126d553d761d/ao4c06043_0010.jpg

相似文献

1
Microfluidic-Generated Injectable Bulking Agents with Biocompatible Surfaces and Their Mid-term Outcomes in a Rat Model with Anal Sphincter Injury.具有生物相容性表面的微流控生成可注射填充剂及其在大鼠肛门括约肌损伤模型中的中期结果
ACS Omega. 2024 Oct 21;9(43):43817-43825. doi: 10.1021/acsomega.4c06043. eCollection 2024 Oct 29.
2
Preclinical testing of an anal bulking agent coated with a zwitterionic polymer in a fecal incontinence rat model.一种带两性离子聚合物涂层的肛门填充剂在粪便失禁大鼠模型中的临床前试验。
J Mater Chem B. 2022 Apr 6;10(14):2708-2718. doi: 10.1039/d1tb02341a.
3
Midterm outcomes of injectable bulking agents for fecal incontinence: a systematic review and meta-analysis.注射用填充剂治疗大便失禁的中期结果:一项系统评价和荟萃分析。
Tech Coloproctol. 2017 Mar;21(3):203-210. doi: 10.1007/s10151-017-1593-0. Epub 2017 Mar 1.
4
Microfluidic production of bioactive fibrin micro-beads embedded in crosslinked collagen used as an injectable bulking agent for urinary incontinence treatment.微流控生产的生物活性纤维蛋白微珠嵌入交联胶原中,用作治疗尿失禁的可注射填充剂。
Acta Biomater. 2018 Feb;67:156-166. doi: 10.1016/j.actbio.2017.11.034. Epub 2017 Nov 29.
5
Functional and histological evidence for the targeted therapy using biocompatible polycaprolactone beads and autologous myoblasts in a dog model of fecal incontinence.在犬大便失禁模型中,使用生物相容性聚己内酯珠和自体成肌细胞进行靶向治疗的功能和组织学证据。
Dis Colon Rectum. 2015 May;58(5):517-25. doi: 10.1097/DCR.0000000000000346.
6
Anal Sphincter Augmentation Using Biological Material.使用生物材料进行肛门括约肌增强术。
Front Surg. 2015 Nov 24;2:60. doi: 10.3389/fsurg.2015.00060. eCollection 2015.
7
Administration of an Anal Bulking Agent With Polyacrylate-Polyalcohol Copolymer Particles Versus Endoanal Electrical Stimulation With Biofeedback for the Management of Mild and Moderate Anal Incontinence: A Randomized Prospective Study.经肛门电刺激联合生物反馈与聚丙烯酸-聚醇共聚物粒子直肠内注射治疗轻中度肛门失禁的前瞻性随机对照研究。
Dis Colon Rectum. 2022 Jul 1;65(7):917-927. doi: 10.1097/DCR.0000000000002458. Epub 2022 Mar 23.
8
Novel Bioceramic Urethral Bulking Agents Elicit Improved Host Tissue Responses in a Rat Model.新型生物陶瓷尿道填充剂在大鼠模型中引发更好的宿主组织反应。
Adv Urol. 2016;2016:1282531. doi: 10.1155/2016/1282531. Epub 2016 Aug 29.
9
Carbon-coated microbeads anal injection in outpatient treatment of minor fecal incontinence.碳包被微珠经肛门注射用于轻度大便失禁的门诊治疗
Dis Colon Rectum. 2008 Apr;51(4):432-5. doi: 10.1007/s10350-007-9170-7. Epub 2008 Jan 19.
10
Injectable silicone biomaterial for fecal incontinence caused by internal anal sphincter dysfunction is effective.用于治疗由肛门内括约肌功能障碍引起的大便失禁的可注射硅酮生物材料是有效的。
Dis Colon Rectum. 2004 Dec;47(12):2138-46. doi: 10.1007/s10350-004-0760-3.

本文引用的文献

1
Recent Progress of Droplet Microfluidic Emulsification Based Synthesis of Functional Microparticles.基于液滴微流控乳化法合成功能微粒的研究进展
Glob Chall. 2023 Aug 11;7(9):2300063. doi: 10.1002/gch2.202300063. eCollection 2023 Sep.
2
Up-to-Date Procedures in Female Stress Urinary Incontinence Surgery: A Concise Review on Bulking Agents Procedures.女性压力性尿失禁手术中的最新方法:填充剂手术的简明综述。
Medicina (Kaunas). 2022 Jun 8;58(6):775. doi: 10.3390/medicina58060775.
3
Preclinical testing of an anal bulking agent coated with a zwitterionic polymer in a fecal incontinence rat model.
一种带两性离子聚合物涂层的肛门填充剂在粪便失禁大鼠模型中的临床前试验。
J Mater Chem B. 2022 Apr 6;10(14):2708-2718. doi: 10.1039/d1tb02341a.
4
Injectable polydimethylsiloxane microfiller coated with zwitterionic polymer for enhanced biocompatibility.可注射聚二甲基硅氧烷微填料,表面涂有两性离子聚合物,以提高生物相容性。
Colloids Surf B Biointerfaces. 2022 Feb;210:112223. doi: 10.1016/j.colsurfb.2021.112223. Epub 2021 Nov 16.
5
A Uniform and Robust Bioinspired Zwitterion Coating for Use in Blood-Contacting Catheters with Improved Anti-Inflammatory and Antithrombotic Properties.一种用于血液接触导管的均匀且稳健的仿生两性离子涂层,具有改善的抗炎和抗血栓形成特性。
Macromol Biosci. 2021 Dec;21(12):e2100341. doi: 10.1002/mabi.202100341. Epub 2021 Oct 22.
6
Scaling up the throughput of microfluidic droplet-based materials synthesis: A review of recent progress and outlook.扩大基于微流控液滴的材料合成的通量:近期进展与展望综述。
Appl Phys Rev. 2021 Sep;8(3):031304. doi: 10.1063/5.0049897.
7
Classification of Foreign Body Reactions due to Industrial Silicone Injection.工业硅胶注射所致异物反应的分类
Dermatol Surg. 2018 Sep;44(9):1174-1182. doi: 10.1097/DSS.0000000000001531.
8
Prevention of polydimethylsiloxane microsphere migration using a mussel-inspired polydopamine coating for potential application in injection therapy.利用受贻贝启发的聚多巴胺涂层防止聚二甲基硅氧烷微球迁移,用于注射治疗的潜在应用。
PLoS One. 2017 Nov 2;12(11):e0186877. doi: 10.1371/journal.pone.0186877. eCollection 2017.
9
Midterm outcomes of injectable bulking agents for fecal incontinence: a systematic review and meta-analysis.注射用填充剂治疗大便失禁的中期结果:一项系统评价和荟萃分析。
Tech Coloproctol. 2017 Mar;21(3):203-210. doi: 10.1007/s10151-017-1593-0. Epub 2017 Mar 1.
10
A Case of the Migration of Hyaluronic Acid Filler from Nose to Forehead Occurring as Two Sequential Soft Lumps.一例透明质酸填充剂从鼻子迁移至额头并先后出现两个软性肿块的病例。
Ann Dermatol. 2016 Oct;28(5):645-647. doi: 10.5021/ad.2016.28.5.645. Epub 2016 Sep 30.