Suppr超能文献

CXCL12/CXCR4 通路作为 RNF213 相关肺动脉高压的新型治疗靶点。

CXCL12/CXCR4 pathway as a novel therapeutic target for RNF213-associated pulmonary arterial hypertension.

机构信息

Department of Cardiology, Keio University School of Medicine, Shinanomachi 35, Shinjuku-ku, Tokyo, 160-8582, Japan.

Department of Pathology, Keio University School of Medicine, Tokyo, Japan.

出版信息

Sci Rep. 2024 Nov 4;14(1):26604. doi: 10.1038/s41598-024-77388-5.

Abstract

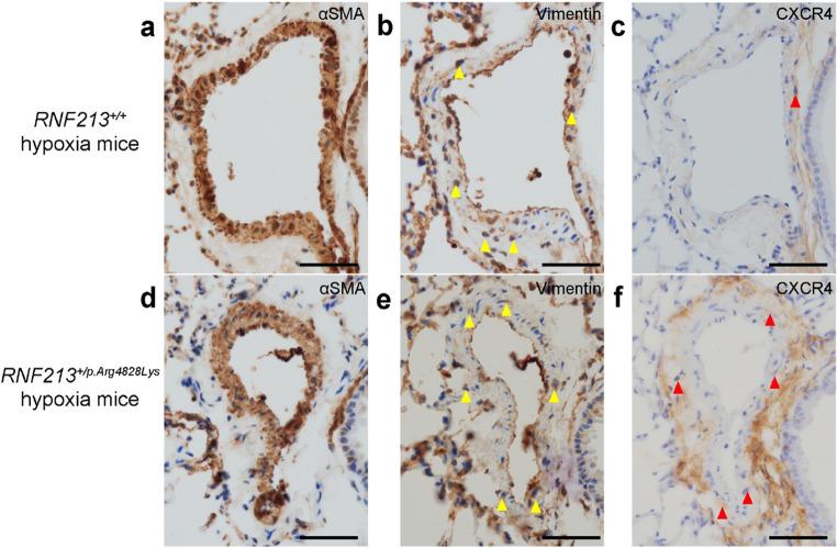
Genetic backgrounds of patients with pulmonary arterial hypertension (PAH) were not fully investigated. A variant of c.14429G > A (p.Arg4810Lys) in the ring finger protein 213 gene (RNF213) was recently identified as a risk allele for poor treatment response and poor clinical prognosis in patients with PAH. However, the molecular mechanisms of the RNF213 p.Arg4810Lys variant in development of PAH are unknown. We investigated the underlying molecular mechanisms of RNF213-associated vasculopathy using an in vivo mouse model. RNF213 mice, harboring the heterozygous RNF213 p.Arg4828Lys variant corresponding to the p.Arg4810Lys variant in humans, were created using the CRISPR-Cas9 system to recapitulate the genetic status of PAH patients. RNF213 mice had a significant elevation of the right ventricular systolic pressure, hypertrophy of the right ventricle, and increased thickness of the pulmonary arterial medial wall compared with wild-type mice after 3 months of exposure to a hypoxic environment. C-X-C motif chemokine ligand 12 (CXCL12), a C-X-C chemokine receptor type 4 (CXCR4) ligand, was significantly elevated in the lungs of RNF213 mice, and PAH was ameliorated by the administration of a CXCR4 antagonist. CXCL12-CXCR4 is an angiogenic chemokine axis, and immunohistochemistry demonstrated an increase in CXCR4 in vimentin-positive spindle-shaped cells in adventitia and interstitial lesions in RNF213 mice and lung specimens from severe PAH patients with the RNF213 p.Arg4810Lys variant. We confirmed a cause-and-effect relationship between the RNF213 p.Arg4810Lys variant and PAH via the CXCL12-CXCR4 pathway. The findings in this study suggest that targeting this pathway might be a novel therapeutic strategy for RNF213-associated vasculopathy.

摘要

患者肺动脉高压(PAH)的遗传背景尚未完全研究。最近发现,环指蛋白 213 基因(RNF213)中的 c.14429G > A(p.Arg4810Lys)变体是 PAH 患者治疗反应不良和临床预后不良的风险等位基因。然而,RNF213 p.Arg4810Lys 变体在 PAH 发展中的分子机制尚不清楚。我们使用体内小鼠模型研究了 RNF213 相关血管病变的潜在分子机制。使用 CRISPR-Cas9 系统创建了携带杂合 RNF213 p.Arg4828Lys 变体的 RNF213 小鼠,该变体对应于人类的 p.Arg4810Lys 变体,以重现 PAH 患者的遗传状态。与野生型小鼠相比,RNF213 小鼠在暴露于低氧环境 3 个月后,右心室收缩压显著升高,右心室肥大,肺动脉中膜壁增厚。C-X-C 基序趋化因子配体 12(CXCL12),一种 C-X-C 趋化因子受体 4(CXCR4)配体,在 RNF213 小鼠的肺部显著升高,并且 CXCR4 拮抗剂的给药可改善 PAH。CXCL12-CXCR4 是一种血管生成趋化因子轴,免疫组织化学显示 RNF213 小鼠的外膜和间质病变中的 CXCR4 在波形蛋白阳性的纺锤形细胞中增加,并且在具有 RNF213 p.Arg4810Lys 变体的严重 PAH 患者的肺标本中增加。我们通过 CXCL12-CXCR4 途径证实了 RNF213 p.Arg4810Lys 变体与 PAH 之间的因果关系。本研究的结果表明,针对该途径可能是 RNF213 相关血管病变的一种新的治疗策略。

https://cdn.ncbi.nlm.nih.gov/pmc/blobs/7e5d/11535198/c9dbc296783d/41598_2024_77388_Fig1_HTML.jpg

文献检索

告别复杂PubMed语法,用中文像聊天一样搜索,搜遍4000万医学文献。AI智能推荐,让科研检索更轻松。

立即免费搜索

文件翻译

保留排版,准确专业,支持PDF/Word/PPT等文件格式,支持 12+语言互译。

免费翻译文档

深度研究

AI帮你快速写综述,25分钟生成高质量综述,智能提取关键信息,辅助科研写作。

立即免费体验