Thatal Sunil, Karki Susmin, Parajuli Asmita, Bhandari Sweta, Regmi Sagar Mani, Sah Navin Kumar
B.P. Koirala Institute of Health Sciences Dharan Nepal.
Maharajgunj Medical Campus Tribhuvan University Institute of Medicine Kathmandu Nepal.
Clin Case Rep. 2024 Nov 3;12(11):e9556. doi: 10.1002/ccr3.9556. eCollection 2024 Nov.
Normal pressure hydrocephalus is rarely associated with Belly dancer's dyskinesia and seizure.
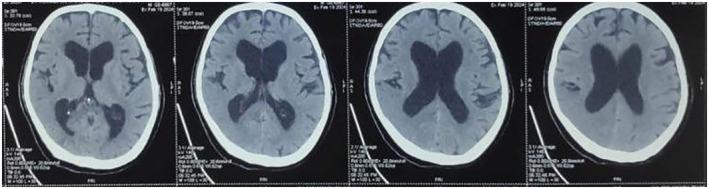
Belly dancer's dyskinesia (BDD) is characterized by bilateral, sluggish, involuntary, repetitive, and rhythmic motions of the anterior abdominal wall. We present a rare case of a 78-year-old man diagnosed with normal pressure hydrocephalus associated with BDD and seizure who presented with left-sided weakness of the body and abnormal body movements.
正常压力脑积水很少与肚皮舞样运动障碍和癫痫发作相关。
肚皮舞样运动障碍(BDD)的特征是前腹壁出现双侧、缓慢、不自主、重复且有节律的运动。我们报告一例罕见病例,一名78岁男性被诊断为与BDD及癫痫发作相关的正常压力脑积水,表现为身体左侧无力和异常身体运动。