• 文献检索
  • 文档翻译
  • 深度研究
  • 学术资讯
  • Suppr Zotero 插件Zotero 插件
  • 邀请有礼
  • 套餐&价格
  • 历史记录
应用&插件
Suppr Zotero 插件Zotero 插件浏览器插件Mac 客户端Windows 客户端微信小程序
定价
高级版会员购买积分包购买API积分包
服务
文献检索文档翻译深度研究API 文档MCP 服务
关于我们
关于 Suppr公司介绍联系我们用户协议隐私条款
关注我们

Suppr 超能文献

核心技术专利:CN118964589B侵权必究
粤ICP备2023148730 号-1Suppr @ 2026

文献检索

告别复杂PubMed语法,用中文像聊天一样搜索,搜遍4000万医学文献。AI智能推荐,让科研检索更轻松。

立即免费搜索

文件翻译

保留排版,准确专业,支持PDF/Word/PPT等文件格式,支持 12+语言互译。

免费翻译文档

深度研究

AI帮你快速写综述,25分钟生成高质量综述,智能提取关键信息,辅助科研写作。

立即免费体验

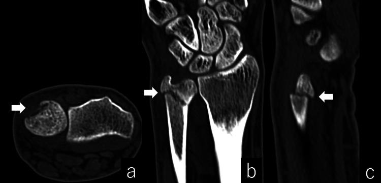
尺骨远端干骺端骨折保守治疗后尺侧腕伸肌腱病:一例报告

Extensor Carpi Ulnaris Tendinopathy Following Conservative Treatment of a Distal Ulnar Metaphyseal Fracture: A Case Report.

作者信息

Kudo Takamasa, Ikumi Akira, Yoshii Yuichi, Totoki Yasukazu, Matsumoto Yukei

机构信息

Department of Orthopedic Surgery, Kikkoman General Hospital, Noda, JPN.

Department of Orthopedic Surgery, University of Tsukuba, Tsukuba, JPN.

出版信息

Cureus. 2024 Oct 7;16(10):e71027. doi: 10.7759/cureus.71027. eCollection 2024 Oct.

DOI:10.7759/cureus.71027
PMID:39507161
原文链接:https://pmc.ncbi.nlm.nih.gov/articles/PMC11540450/
Abstract

Distal ulnar metaphyseal fractures are often treated conservatively with good clinical outcomes. Extensor carpi ulnaris (ECU) tendinopathy after conservative treatment for distal ulnar metaphyseal fractures has not been reported. We present a case of a 20-year-old university baseball player who developed ECU tendinopathy after conservative treatment for a distal ulnar metaphyseal fracture. A slight step-off at the fracture site and repeated movements as a catcher were considered to have caused the ECU tendinopathy. Clinicians should be aware of ECU tendinopathy after distal ulnar metaphyseal fractures with repeated ECU loading in sports or occupations.

摘要

尺骨远端干骺端骨折通常采用保守治疗,临床效果良好。保守治疗尺骨远端干骺端骨折后发生尺侧腕伸肌(ECU)肌腱病的情况尚未见报道。我们报告一例20岁的大学棒球运动员,在保守治疗尺骨远端干骺端骨折后发生了ECU肌腱病。骨折部位的轻微台阶样畸形以及作为接球手的反复运动被认为是导致ECU肌腱病的原因。临床医生应注意在运动或职业中反复加载ECU的尺骨远端干骺端骨折后发生的ECU肌腱病。

https://cdn.ncbi.nlm.nih.gov/pmc/blobs/ea23/11540450/30ccf308672f/cureus-0016-00000071027-i06.jpg
https://cdn.ncbi.nlm.nih.gov/pmc/blobs/ea23/11540450/e94796ed6fec/cureus-0016-00000071027-i01.jpg
https://cdn.ncbi.nlm.nih.gov/pmc/blobs/ea23/11540450/b4b59867251e/cureus-0016-00000071027-i02.jpg
https://cdn.ncbi.nlm.nih.gov/pmc/blobs/ea23/11540450/449832911e2c/cureus-0016-00000071027-i03.jpg
https://cdn.ncbi.nlm.nih.gov/pmc/blobs/ea23/11540450/a4a3a0eb8311/cureus-0016-00000071027-i04.jpg
https://cdn.ncbi.nlm.nih.gov/pmc/blobs/ea23/11540450/ca295994a3c0/cureus-0016-00000071027-i05.jpg
https://cdn.ncbi.nlm.nih.gov/pmc/blobs/ea23/11540450/30ccf308672f/cureus-0016-00000071027-i06.jpg
https://cdn.ncbi.nlm.nih.gov/pmc/blobs/ea23/11540450/e94796ed6fec/cureus-0016-00000071027-i01.jpg
https://cdn.ncbi.nlm.nih.gov/pmc/blobs/ea23/11540450/b4b59867251e/cureus-0016-00000071027-i02.jpg
https://cdn.ncbi.nlm.nih.gov/pmc/blobs/ea23/11540450/449832911e2c/cureus-0016-00000071027-i03.jpg
https://cdn.ncbi.nlm.nih.gov/pmc/blobs/ea23/11540450/a4a3a0eb8311/cureus-0016-00000071027-i04.jpg
https://cdn.ncbi.nlm.nih.gov/pmc/blobs/ea23/11540450/ca295994a3c0/cureus-0016-00000071027-i05.jpg
https://cdn.ncbi.nlm.nih.gov/pmc/blobs/ea23/11540450/30ccf308672f/cureus-0016-00000071027-i06.jpg

相似文献

1
Extensor Carpi Ulnaris Tendinopathy Following Conservative Treatment of a Distal Ulnar Metaphyseal Fracture: A Case Report.尺骨远端干骺端骨折保守治疗后尺侧腕伸肌腱病:一例报告
Cureus. 2024 Oct 7;16(10):e71027. doi: 10.7759/cureus.71027. eCollection 2024 Oct.
2
Conservative treatment of an acute traumatic extensor carpi ulnaris tendon subluxation in a collegiate basketball player: a case report.大学生篮球运动员急性创伤性尺侧伸腕肌腱脱位的保守治疗:一例报告。
J Athl Train. 2011 Sep-Oct;46(5):574-6. doi: 10.4085/1062-6050-46.5.574.
3
Extensor carpi ulnaris tenosynovitis caused by the tip of an oversized ulnar styloid: a case report.尺骨茎突过长尖端引起的尺侧腕伸肌腱鞘炎:一例报告
J Wrist Surg. 2015 Feb;4(1):65-7. doi: 10.1055/s-0034-1398473.
4
Association between distal ulnar morphology and extensor carpi ulnaris tendon pathology.尺骨远端形态与尺侧腕伸肌腱病理之间的关联。
Skeletal Radiol. 2014 Jun;43(6):793-800. doi: 10.1007/s00256-014-1845-2. Epub 2014 Mar 5.
5
Extensor Carpi Ulnaris Tendinopathy in Athletes: A Review of the Conservative and Rehabilitative Options.运动员尺侧腕伸肌肌腱病:保守治疗与康复方案综述
Hand (N Y). 2024 May;19(3):407-413. doi: 10.1177/15589447221127331. Epub 2022 Oct 15.
6
Extensor Carpi Ulnaris Instability: A Comprehensive Review of Pathology and Operative Techniques.尺侧腕伸肌不稳定:病理与手术技术的全面综述。
Hand (N Y). 2024 Oct;19(7):1090-1096. doi: 10.1177/15589447231168908. Epub 2023 May 24.
7
Subluxation of the extensor carpi ulnaris on magnetic resonance imaging on neutral wrist position: correlation with tenosynovitis of the extensor carpi ulnaris and translation of the distal radioulnar joint.中立位腕关节磁共振成像上尺侧伸腕肌腱半脱位:与尺侧伸腕肌腱腱鞘炎的相关性及远尺桡关节的平移。
Skeletal Radiol. 2021 Aug;50(8):1593-1603. doi: 10.1007/s00256-020-03705-4. Epub 2021 Jan 11.
8
Diagnostic Performance of the Extensor Carpi Ulnaris (ECU) Synergy Test to Detect Sonographic ECU Abnormalities in Chronic Dorsal Ulnar-Sided Wrist Pain.尺侧腕伸肌(ECU)协同试验检测慢性尺侧腕背侧疼痛患者超声下ECU异常的诊断效能
J Ultrasound Med. 2016 Jan;35(1):7-14. doi: 10.7863/ultra.15.01055. Epub 2015 Nov 20.
9
Recurrent Dislocation of the Extensor Carpi Ulnaris Tendon with Ulnar-Sided Triangular Fibrocartilage Complex Injury in an Ice Hockey Player: A Case Report.一名冰球运动员尺侧腕伸肌腱复发性脱位合并尺侧三角纤维软骨复合体损伤:病例报告
J Nippon Med Sch. 2020 Sep 9;87(4):233-239. doi: 10.1272/jnms.JNMS.2020_87-410. Epub 2020 Apr 30.
10
Anatomical Study of Stabilizing Structures of the Extensor Carpi Ulnaris Tendon Around the Wrist.腕关节伸肌支持带稳定结构的解剖学研究。
J Hand Surg Am. 2021 Oct;46(10):930.e1-930.e9. doi: 10.1016/j.jhsa.2021.02.008. Epub 2021 Apr 9.

本文引用的文献

1
Is intramedullary pinning for isolated ulnar shaft fractures a surgical alternative to plate fixation?单纯尺骨干骨折髓内钉固定术是否可替代钢板固定术?
Orthop Traumatol Surg Res. 2023 Apr;109(2):103507. doi: 10.1016/j.otsr.2022.103507. Epub 2022 Dec 9.
2
Hand and Wrist Tendinopathies.手部和腕部肌腱病。
Clin Sports Med. 2020 Apr;39(2):247-258. doi: 10.1016/j.csm.2019.10.004.
3
Ulnar-sided wrist pain in the athlete (TFCC/DRUJ/ECU).运动员尺侧腕部疼痛(三角纤维软骨复合体/下尺桡关节/尺侧腕伸肌)
Curr Rev Musculoskelet Med. 2017 Mar;10(1):53-61. doi: 10.1007/s12178-017-9384-9.
4
Extensor Carpi Ulnaris Subsheath Reconstruction.尺侧腕伸肌腱鞘重建术
J Hand Surg Am. 2016 Nov;41(11):e433-e439. doi: 10.1016/j.jhsa.2016.08.009. Epub 2016 Sep 18.
5
Management of Distal Ulnar Fracture Combined with Distal Radius Fracture.尺骨远端骨折合并桡骨远端骨折的治疗
J Hand Surg Asian Pac Vol. 2016 Jun;21(2):155-60. doi: 10.1142/S2424835516400075.
6
Tendinopathies of the Extensor Carpi Ulnaris.尺侧腕伸肌腱病
Handchir Mikrochir Plast Chir. 2015 Oct;47(5):281-9. doi: 10.1055/s-0035-1559720. Epub 2015 Sep 7.
7
Anatomic Considerations for Plating of the Distal Ulna.尺骨远端钢板固定的解剖学考量
J Wrist Surg. 2015 Aug;4(3):188-93. doi: 10.1055/s-0035-1556864.
8
Extensor tendon injuries in athletes.运动员的伸肌腱损伤
Sports Med Arthrosc Rev. 2014 Mar;22(1):45-55. doi: 10.1097/JSA.0000000000000011.
9
Distal ulna fractures.尺骨远端骨折。
J Hand Surg Am. 2014 Feb;39(2):385-91. doi: 10.1016/j.jhsa.2013.08.103. Epub 2014 Jan 9.
10
Sports-related extensor carpi ulnaris pathology: a review of functional anatomy, sports injury and management.运动相关性尺侧腕伸肌腱病:功能解剖学、运动损伤与治疗的综述。
Br J Sports Med. 2013 Nov;47(17):1105-11. doi: 10.1136/bjsports-2013-092835. Epub 2013 Oct 4.