• 文献检索
  • 文档翻译
  • 深度研究
  • 学术资讯
  • Suppr Zotero 插件Zotero 插件
  • 邀请有礼
  • 套餐&价格
  • 历史记录
应用&插件
Suppr Zotero 插件Zotero 插件浏览器插件Mac 客户端Windows 客户端微信小程序
定价
高级版会员购买积分包购买API积分包
服务
文献检索文档翻译深度研究API 文档MCP 服务
关于我们
关于 Suppr公司介绍联系我们用户协议隐私条款
关注我们

Suppr 超能文献

核心技术专利:CN118964589B侵权必究
粤ICP备2023148730 号-1Suppr @ 2026

文献检索

告别复杂PubMed语法,用中文像聊天一样搜索,搜遍4000万医学文献。AI智能推荐,让科研检索更轻松。

立即免费搜索

文件翻译

保留排版,准确专业,支持PDF/Word/PPT等文件格式,支持 12+语言互译。

免费翻译文档

深度研究

AI帮你快速写综述,25分钟生成高质量综述,智能提取关键信息,辅助科研写作。

立即免费体验

揭开隐匿面纱:一例罕见的原发性肺淋巴瘤病例

Unveiling the Unseen: A Rare Case of Primary Pulmonary Lymphoma.

作者信息

Jose Maria, Jayanthi Nalini, P Harshavardhini, P Sowmya

机构信息

Respiratory Medicine, SRM Medical College Hospital and Research Centre, Chennai, IND.

出版信息

Cureus. 2024 Oct 6;16(10):e70959. doi: 10.7759/cureus.70959. eCollection 2024 Oct.

DOI:10.7759/cureus.70959
PMID:39507165
原文链接:https://pmc.ncbi.nlm.nih.gov/articles/PMC11540108/
Abstract

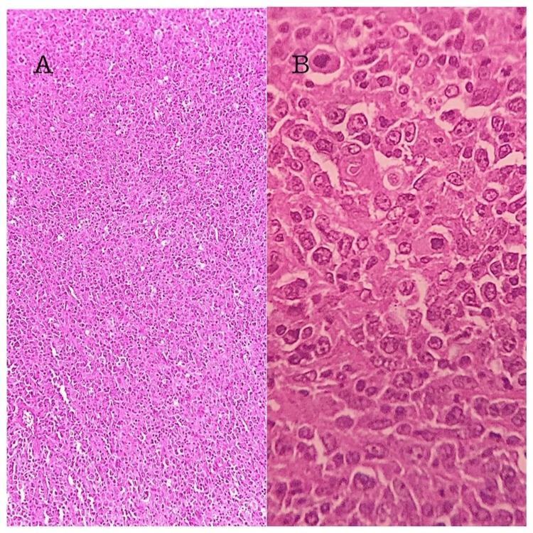
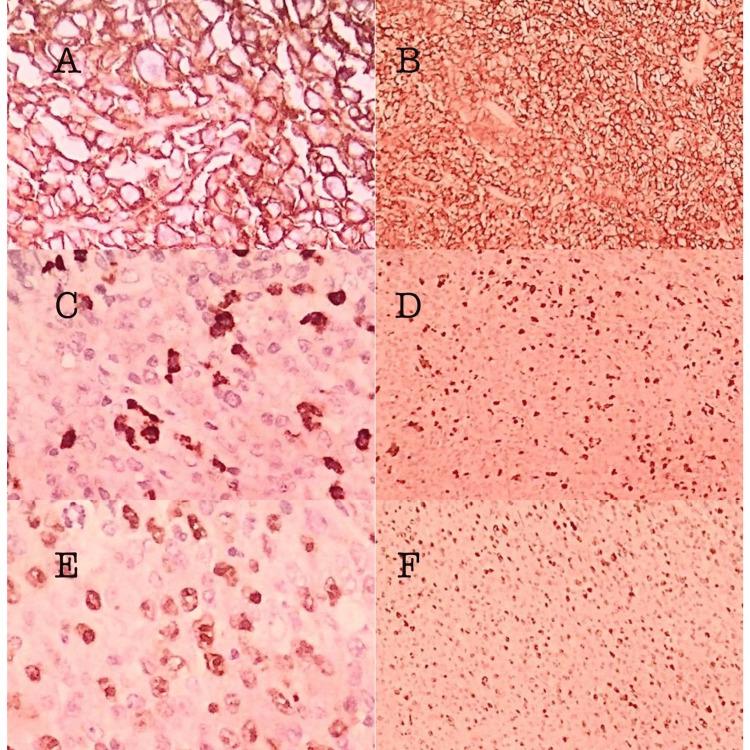
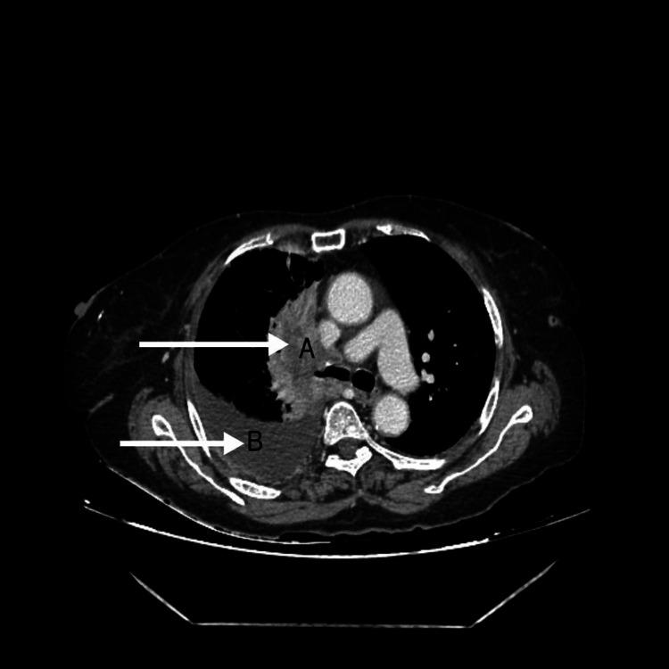
Primary pulmonary lymphoma (PPL) is an uncommon condition involving the lungs, characterized by the abnormal clonal growth of lymphoid cells. Patients with PPL can be asymptomatic or present with vague clinical signs such as cough, fever, chest discomfort, and shortness of breath. Some may also have underlying immunosuppression or autoimmune conditions. Tuberculosis being more common with a higher incidence in endemic areas, PPL can often be misdiagnosed as tuberculosis. Also, they share common symptoms like cough, fever, fatigue, unexplained weight loss, and an upper lobe predilection. Therefore, diagnosing PPL from other common pulmonary diseases is of utmost importance in early diagnosis and treatment. Generally, small biopsy samples are essential for precise diagnosis and prompt treatment. Therapeutic options include chemotherapy, radiotherapy, immunotherapy, and surgical intervention. Herewith we outline a case initially presented as acanthosis nigricans, referred with respiratory symptoms, pleural effusion, and mediastinal lymphadenopathy, which was primarily thought to be a tuberculous pleural effusion. Apart from clinicoradiological and laboratory analysis, thoracoscopy-guided biopsy and histopathological examination pointed toward further steps in diagnosis. The patient was initiated on chemotherapy with an R-CHOP regimen. This case depicts the call for a multidisciplinary perspective for the definite and expeditious diagnosis and management of a paraneoplastic syndrome associated with diffuse large B cell lymphoma. This discussion also highlights the need for a thorough evaluation of paraneoplastic syndromes, as they are crucial in the early diagnosis of the disease and in identifying relapses.

摘要

原发性肺淋巴瘤(PPL)是一种累及肺部的罕见疾病,其特征为淋巴样细胞的异常克隆性生长。PPL患者可能无症状,或表现出如咳嗽、发热、胸部不适和呼吸急促等模糊的临床症状。一些患者可能还存在潜在的免疫抑制或自身免疫性疾病。在流行地区,结核病更为常见且发病率更高,PPL常常会被误诊为结核病。此外,它们有共同的症状,如咳嗽、发热、疲劳、不明原因的体重减轻,且好发于上叶。因此,将PPL与其他常见肺部疾病进行鉴别诊断对于早期诊断和治疗至关重要。一般来说,小活检样本对于精确诊断和及时治疗必不可少。治疗选择包括化疗、放疗、免疫治疗和手术干预。在此,我们概述了一例最初表现为黑棘皮病,因呼吸道症状、胸腔积液和纵隔淋巴结肿大前来就诊的病例,最初被认为是结核性胸腔积液。除了临床放射学和实验室分析外,胸腔镜引导下活检和组织病理学检查为进一步诊断指明了方向。患者开始接受R-CHOP方案化疗。该病例表明,对于与弥漫性大B细胞淋巴瘤相关的副肿瘤综合征,需要多学科视角来进行明确和快速的诊断及管理。该讨论还强调了对副肿瘤综合征进行全面评估的必要性,因为它们在疾病的早期诊断和识别复发方面至关重要。

https://cdn.ncbi.nlm.nih.gov/pmc/blobs/781b/11540108/e959e235bbc5/cureus-0016-00000070959-i06.jpg
https://cdn.ncbi.nlm.nih.gov/pmc/blobs/781b/11540108/70b7709b212c/cureus-0016-00000070959-i01.jpg
https://cdn.ncbi.nlm.nih.gov/pmc/blobs/781b/11540108/5d3e04ccb13b/cureus-0016-00000070959-i02.jpg
https://cdn.ncbi.nlm.nih.gov/pmc/blobs/781b/11540108/1d045bdfa36a/cureus-0016-00000070959-i03.jpg
https://cdn.ncbi.nlm.nih.gov/pmc/blobs/781b/11540108/f80149d7a21c/cureus-0016-00000070959-i04.jpg
https://cdn.ncbi.nlm.nih.gov/pmc/blobs/781b/11540108/1cb5a2d88ce4/cureus-0016-00000070959-i05.jpg
https://cdn.ncbi.nlm.nih.gov/pmc/blobs/781b/11540108/e959e235bbc5/cureus-0016-00000070959-i06.jpg
https://cdn.ncbi.nlm.nih.gov/pmc/blobs/781b/11540108/70b7709b212c/cureus-0016-00000070959-i01.jpg
https://cdn.ncbi.nlm.nih.gov/pmc/blobs/781b/11540108/5d3e04ccb13b/cureus-0016-00000070959-i02.jpg
https://cdn.ncbi.nlm.nih.gov/pmc/blobs/781b/11540108/1d045bdfa36a/cureus-0016-00000070959-i03.jpg
https://cdn.ncbi.nlm.nih.gov/pmc/blobs/781b/11540108/f80149d7a21c/cureus-0016-00000070959-i04.jpg
https://cdn.ncbi.nlm.nih.gov/pmc/blobs/781b/11540108/1cb5a2d88ce4/cureus-0016-00000070959-i05.jpg
https://cdn.ncbi.nlm.nih.gov/pmc/blobs/781b/11540108/e959e235bbc5/cureus-0016-00000070959-i06.jpg

相似文献

1
Unveiling the Unseen: A Rare Case of Primary Pulmonary Lymphoma.揭开隐匿面纱:一例罕见的原发性肺淋巴瘤病例
Cureus. 2024 Oct 6;16(10):e70959. doi: 10.7759/cureus.70959. eCollection 2024 Oct.
2
Diagnosis and management of a patient with primary pulmonary diffuse large B-cell lymphoma: A case report and review of the literature.原发性肺弥漫性大B细胞淋巴瘤患者的诊断与治疗:一例病例报告及文献复习
Exp Ther Med. 2014 Sep;8(3):797-800. doi: 10.3892/etm.2014.1797. Epub 2014 Jun 20.
3
A Curious Case of Pericardial Effusion Diagnosed as Diffuse Large B-cell Lymphoma.一例被诊断为弥漫性大B细胞淋巴瘤的心包积液罕见病例。
Cureus. 2024 Aug 2;16(8):e65991. doi: 10.7759/cureus.65991. eCollection 2024 Aug.
4
A case report of primary pancreatic lymphoma revealed by an acute pancreatitis.一例由急性胰腺炎引发的原发性胰腺淋巴瘤病例报告。
Int J Surg Case Rep. 2024 Apr;117:109476. doi: 10.1016/j.ijscr.2024.109476. Epub 2024 Mar 5.
5
Clinical and misdiagnosed analysis of primary pulmonary lymphoma: a retrospective study.原发性肺淋巴瘤的临床与误诊分析:一项回顾性研究。
BMC Cancer. 2018 Mar 12;18(1):281. doi: 10.1186/s12885-018-4184-1.
6
[Pulmonary mucosa-associated lymphoid tissue lymphoma concurrent with lung squamous cell carcinoma: a case report and literature review].[肺黏膜相关淋巴组织淋巴瘤合并肺鳞状细胞癌:1例报告及文献复习]
Zhonghua Jie He He Hu Xi Za Zhi. 2020 Dec 12;43(12):1071-1076. doi: 10.3760/cma.j.cn112147-20200729-00859.
7
Misdiagnosis of primary pleural DLBCL as tuberculosis: A case report and literature review.原发性胸膜弥漫大B细胞淋巴瘤误诊为肺结核:一例报告及文献复习
Mol Clin Oncol. 2018 Jun;8(6):729-732. doi: 10.3892/mco.2018.1601. Epub 2018 Apr 2.
8
A retrospective study on the clinical characteristics and radiological features of primary pulmonary lymphoma.原发性肺淋巴瘤临床特征及影像学表现的回顾性研究
Transl Cancer Res. 2020 Mar;9(3):1969-1977. doi: 10.21037/tcr.2020.02.16.
9
[Primary pleural diffuse large B cell lymphoma:a case report and review of literature].[原发性胸膜弥漫性大B细胞淋巴瘤:一例报告并文献复习]
Zhonghua Jie He He Hu Xi Za Zhi. 2014 Nov;37(11):835-9.
10
Role of 18F-FDG PET/CT in patients affected by pulmonary primary lymphoma.18F-FDG PET/CT在原发性肺淋巴瘤患者中的作用。
Front Oncol. 2022 Sep 14;12:973109. doi: 10.3389/fonc.2022.973109. eCollection 2022.

本文引用的文献

1
Primary pulmonary extranodal marginal zone B-cell lymphoma of mucosa-associated lymphoid tissue type: a case report and literature review.原发性肺黏膜相关淋巴组织型结外边缘区B细胞淋巴瘤:1例报告及文献复习
Am J Transl Res. 2022 Dec 15;14(12):9072-9077. eCollection 2022.
2
Clinical Features and Surgical Treatment of Primary Pulmonary Lymphoma: A Retrospective Study.原发性肺淋巴瘤的临床特征与外科治疗:一项回顾性研究
Front Oncol. 2022 Feb 3;12:779395. doi: 10.3389/fonc.2022.779395. eCollection 2022.
3
Clinicopathological characteristics and prognostic factors of primary pulmonary lymphoma.
原发性肺淋巴瘤的临床病理特征及预后因素
J Thorac Dis. 2021 Feb;13(2):1106-1117. doi: 10.21037/jtd-20-3159.
4
Primary Pulmonary B-Cell Lymphoma: A Review and Update.原发性肺B细胞淋巴瘤:综述与更新
Cancers (Basel). 2021 Jan 22;13(3):415. doi: 10.3390/cancers13030415.
5
Primary pulmonary lymphoma: imaging findings in 30 cases.原发性肺淋巴瘤:30 例影像表现。
Radiol Med. 2019 Dec;124(12):1262-1269. doi: 10.1007/s11547-019-01091-z. Epub 2019 Oct 3.
6
Clinical and misdiagnosed analysis of primary pulmonary lymphoma: a retrospective study.原发性肺淋巴瘤的临床与误诊分析:一项回顾性研究。
BMC Cancer. 2018 Mar 12;18(1):281. doi: 10.1186/s12885-018-4184-1.
7
Skin: A mirror of internal malignancy.皮肤:内部恶性肿瘤的一面镜子。
Indian J Med Paediatr Oncol. 2016 Oct-Dec;37(4):214-222. doi: 10.4103/0971-5851.195730.
8
Primary Extranodal Lymphoma of the Thorax.原发性胸外淋巴瘤
Radiol Clin North Am. 2016 Jul;54(4):673-87. doi: 10.1016/j.rcl.2016.03.002.
9
Primary Pulmonary Hodgkin Lymphoma.原发性肺霍奇金淋巴瘤
Rare Tumors. 2015 Dec 29;7(4):5968. doi: 10.4081/rt.2015.5968.
10
Primary Pulmonary Lymphoid Lesions: Radiologic and Pathologic Findings.原发性肺淋巴样病变:放射学与病理学表现
Radiographics. 2016 Jan-Feb;36(1):53-70. doi: 10.1148/rg.2016140339.