Wang Weiyi, An Jingjing, Lu Minxun, He Xuanhong, Li Zhuangzhuang, Wang Yitian, Gong Taojun, Zhou Yong, Min Li, Luo Yi, Tu Chongqi
Department of Orthopedics, Orthopaedic Research Institute, West China Hospital, Sichuan University, Chengdu, China.
Model Worker and Craftsman Talent Innovation Workshop of Sichuan Province, Chengdu, China.
Orthop Surg. 2025 Jan;17(1):288-294. doi: 10.1111/os.14279. Epub 2024 Nov 11.
Malignant tumors originating in the talus are rare and present significant challenges in reconstruction. Traditional treatments, such as below-knee amputation or tbiocalcaneal fusion, often result in significant loss of ankle function. After tumor resection, reconstruction of the talus and calcaneus is necessary to preserve ankle function. However, the intricate anatomical structure and unique location of the talus and calcaneus present significant challenges for prosthetic reconstruction.
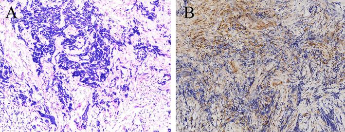
Here, we present the case of an 11-year-old adolescent patient diagnosed with Ewing's sarcoma of the talus, accompanied by suspected involvement of the calcaneus. Following a comprehensive evaluation, a 3D-printed talus-calcaneus prosthesis, which is composed of a ultrahigh-molecular weight polyethylene (UHMWPE) part and a titanium alloy part, was designed for talus and calcaneus reconstruction. In addition, a porous structure was designed to promote the integration of bone-prosthesis interface. The lesion was completely resected and the prosthesis was precisely installed. After 12 months follow-up, patients demonstrated favorable function results with the Musculoskeletal Tumor Society (MSTS) score was 27/30, and the American Orthopedic Foot and Ankle Society (AOFAS) score was 92/100. The range of motion for dorsiflexion, plantarflexion, inversion, and eversion of the right ankle joint was measured as 10° and 35°, 15°, and 10°, respectively. The postoperative radiograph showed a good position of the prosthesis. No narrowed joint space was observed. Tomosynthesis shimadzu metal artifact reduction technology (T-SMART) revealed that integration between bone and prosthesis was good.
In this case, we present a case of 3D-printed talus-calcaneal prosthesis reconstructing talus and calcaneus. Favorable postoperative function outcome and good integration of the interface were observed. Therefore, this case provides an alternative therapeutic option for the treatment invasive talus tumor accompanied by suspicious contamination of the calcaneus. Nevertheless, a larger cohort study and with longer follow-up is needed to evaluate the effectiveness and potential complications of this novel prosthesis.
起源于距骨的恶性肿瘤罕见,在重建方面存在重大挑战。传统治疗方法,如膝下截肢或距下关节融合术,常常导致踝关节功能严重丧失。肿瘤切除后,重建距骨和跟骨对于保留踝关节功能是必要的。然而,距骨和跟骨复杂的解剖结构及独特的位置给假体重建带来了重大挑战。
在此,我们报告一例11岁青少年患者,被诊断为距骨尤因肉瘤,伴有跟骨疑似受累。经过全面评估,设计了一种由超高分子量聚乙烯(UHMWPE)部分和钛合金部分组成的3D打印距骨-跟骨假体,用于距骨和跟骨重建。此外,设计了一种多孔结构以促进骨-假体界面的整合。病变被完全切除,假体精确安装。随访12个月后,患者功能结果良好,肌肉骨骼肿瘤学会(MSTS)评分为27/30,美国矫形足踝协会(AOFAS)评分为92/100。测量右踝关节背屈、跖屈、内翻和外翻的活动范围分别为10°和35°、15°和10°。术后X线片显示假体位置良好。未观察到关节间隙变窄。岛津断层合成金属伪影减少技术(T-SMART)显示骨与假体之间整合良好。
在本病例中,我们展示了一例3D打印距骨-跟骨假体重建距骨和跟骨的病例。观察到术后功能结果良好且界面整合良好。因此,该病例为伴有跟骨可疑污染的侵袭性距骨肿瘤的治疗提供了一种替代治疗选择。然而,需要更大规模的队列研究和更长时间的随访来评估这种新型假体的有效性和潜在并发症。