Suppr超能文献

肝甲氨蝶呤相关淋巴增殖性疾病:一例报告及文献综述

Hepatic methotrexate-associated lymphoproliferative disease: a case report and literature review.

作者信息

Sakamoto Shinya, Tabuchi Motoyasu, Yoshimatsu Rika, Matsumoto Manabu, Iwata Jun, Okabayashi Takehiro

机构信息

Department of Gastroenterological Surgery, Kochi Health Sciences Center, 2125-1 Ike, Kochi-City, Kochi, 781-8555, Japan.

Department of Radiology, Kochi Health Sciences Center, 2125-1 Ike, Kochi-City, Kochi, 781-8555, Japan.

出版信息

Surg Case Rep. 2024 Nov 15;10(1):260. doi: 10.1186/s40792-024-02065-8.

Abstract

BACKGROUND

Methotrexate-associated lymphoproliferative disease (MTX-LPD) is a rare and life-threatening complication of MTX administration. MTX-LPD features more extranodal lesions than malignant lymphoma; however, the liver is an extremely rare organ that develops LPD. Herein, we present a case of hepatic MTX-LPD treated with surgical resection. We also reviewed the literature on hepatic MTX-LPD.

CASE PRESENTATION

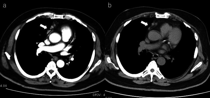
A 66-year-old man with a history of rheumatoid arthritis (RA) was admitted to our department for the treatment of hepatic solitary liver tumor. The patient had been receiving MTX (14 mg/week) for RA for 6 years. MTX was withdrawn and salazosulfapyridine was prescribed 3 weeks prior to admission because of mediastinal MTX-LPD. Abdominal contrast-enhanced computed tomography showed a slightly ring-like enhanced hypovascularized mass (80 mm) in the lateral section of the liver. Carbohydrate antigen 19-9 (78.1 U/mL) level was elevated. No evidence was observed on esophagogastroduodenoscopy or colonoscopy. The tumor was suspected to be an intrahepatic cholangiocarcinoma. The patient underwent hepatic lateral sectionectomy and lymphadenectomy. Pathological examination revealed that the hepatic mass was coagulative necrosis of the CD20-positive B-cell lymphocytes. These histological findings were similar to those of rapid necrotic lymphoma. MTX-LPD is known to spontaneously regress after withdrawing MTX, and the patient was diagnosed with hepatic MTX-LPD.

CONCLUSIONS

MTX-LPD can occur in the liver. Clinician should suspect hepatic MTX-LPD when a liver mass is detected in patient who had been treating with MTX for RA.

摘要

背景

甲氨蝶呤相关淋巴增殖性疾病(MTX-LPD)是甲氨蝶呤给药后一种罕见且危及生命的并发症。MTX-LPD比恶性淋巴瘤具有更多的结外病变;然而,肝脏是发生LPD极其罕见的器官。在此,我们报告一例经手术切除治疗的肝MTX-LPD病例。我们还回顾了关于肝MTX-LPD的文献。

病例介绍

一名66岁有类风湿关节炎(RA)病史的男性因治疗肝脏孤立性肿瘤入住我科。该患者因RA接受甲氨蝶呤(14mg/周)治疗6年。因纵隔MTX-LPD,在入院前3周停用甲氨蝶呤并开具柳氮磺胺吡啶。腹部增强计算机断层扫描显示肝脏外侧段有一个略呈环状强化的低血运肿块(80mm)。糖类抗原19-9(78.1U/mL)水平升高。食管胃十二指肠镜检查或结肠镜检查未发现异常。肿瘤疑似为肝内胆管癌。患者接受了肝外侧段切除术和淋巴结清扫术。病理检查显示肝脏肿块为CD20阳性B淋巴细胞的凝固性坏死。这些组织学表现与快速坏死性淋巴瘤相似。已知MTX-LPD在停用甲氨蝶呤后可自发消退,该患者被诊断为肝MTX-LPD。

结论

MTX-LPD可发生于肝脏。当在接受甲氨蝶呤治疗RA的患者中检测到肝脏肿块时,临床医生应怀疑肝MTX-LPD。

https://cdn.ncbi.nlm.nih.gov/pmc/blobs/1a3b/11564438/14e2c22160fe/40792_2024_2065_Fig1_HTML.jpg

文献检索

告别复杂PubMed语法,用中文像聊天一样搜索,搜遍4000万医学文献。AI智能推荐,让科研检索更轻松。

立即免费搜索

文件翻译

保留排版,准确专业,支持PDF/Word/PPT等文件格式,支持 12+语言互译。

免费翻译文档

深度研究

AI帮你快速写综述,25分钟生成高质量综述,智能提取关键信息,辅助科研写作。

立即免费体验