• 文献检索
  • 文档翻译
  • 深度研究
  • 学术资讯
  • Suppr Zotero 插件Zotero 插件
  • 邀请有礼
  • 套餐&价格
  • 历史记录
应用&插件
Suppr Zotero 插件Zotero 插件浏览器插件Mac 客户端Windows 客户端微信小程序
定价
高级版会员购买积分包购买API积分包
服务
文献检索文档翻译深度研究API 文档MCP 服务
关于我们
关于 Suppr公司介绍联系我们用户协议隐私条款
关注我们

Suppr 超能文献

核心技术专利:CN118964589B侵权必究
粤ICP备2023148730 号-1Suppr @ 2026

文献检索

告别复杂PubMed语法,用中文像聊天一样搜索,搜遍4000万医学文献。AI智能推荐,让科研检索更轻松。

立即免费搜索

文件翻译

保留排版,准确专业,支持PDF/Word/PPT等文件格式,支持 12+语言互译。

免费翻译文档

深度研究

AI帮你快速写综述,25分钟生成高质量综述,智能提取关键信息,辅助科研写作。

立即免费体验

基于转录组学的液体活检用于局部进展期胃癌复发的早期检测

Transcriptomics-Based Liquid Biopsy for Early Detection of Recurrence in Locally Advanced Gastric Cancer.

作者信息

Ding Ping'an, Wu Jiaxiang, Wu Haotian, Li Tongkun, Niu Xiaoman, Yang Peigang, Guo Honghai, Tian Yuan, He Jinchen, Yang Jiaxuan, Gu Renjun, Zhang Lilong, Meng Ning, Li Xiaolong, Guo Zhenjiang, Meng Lingjiao, Zhao Qun

机构信息

The Third Department of Surgery, the Fourth Hospital of Hebei Medical University, Shijiazhuang, 050011, China.

Hebei Key Laboratory of Precision Diagnosis and Comprehensive Treatment of Gastric Cancer, Shijiazhuang, 050011, China.

出版信息

Adv Sci (Weinh). 2024 Dec;11(47):e2406276. doi: 10.1002/advs.202406276. Epub 2024 Nov 18.

DOI:10.1002/advs.202406276
PMID:39556695
原文链接:https://pmc.ncbi.nlm.nih.gov/articles/PMC11653671/
Abstract

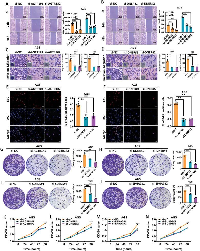
The study presents a transcriptomics-based liquid biopsy approach for early recurrence detection in locally advanced gastric cancer (LAGC). Four mRNA biomarkers (AGTR1, DNER, EPHA7, and SUSD5) linked to recurrence are identified through transcriptomic data analysis. A Risk Stratification Assessment (RSA) model combining these biomarkers with clinical features showed superior predictive accuracy for postoperative recurrence, with AUCs of 0.919 and 0.935 in surgical and liquid biopsy validation cohorts, respectively. Functional studies using human gastric cancer cell lines AGS and HGC-27 demonstrated that silencing the identified mRNA panel genes impaired cell migration, invasion, and proliferation. In vivo experiments further showed reduced tumor growth, metastasis, and lymphangiogenesis in mice, possibly mediated by the cAMP signaling pathway. This non-invasive approach offers significant potential for enhancing recurrence detection and enabling personalized treatment strategies, thereby improving patient outcomes in the management of LAGC.

摘要

该研究提出了一种基于转录组学的液体活检方法,用于局部晚期胃癌(LAGC)的早期复发检测。通过转录组数据分析确定了四种与复发相关的mRNA生物标志物(AGTR1、DNER、EPHA7和SUSD5)。将这些生物标志物与临床特征相结合的风险分层评估(RSA)模型对术后复发显示出卓越的预测准确性,在手术验证队列和液体活检验证队列中的曲线下面积(AUC)分别为0.919和0.935。使用人胃癌细胞系AGS和HGC-27进行的功能研究表明,沉默所鉴定的mRNA基因面板会损害细胞迁移、侵袭和增殖。体内实验进一步表明,小鼠的肿瘤生长、转移和淋巴管生成减少,这可能由cAMP信号通路介导。这种非侵入性方法在增强复发检测和制定个性化治疗策略方面具有巨大潜力,从而改善LAGC管理中的患者预后。

https://cdn.ncbi.nlm.nih.gov/pmc/blobs/0100/11653671/39521116edbb/ADVS-11-2406276-g003.jpg
https://cdn.ncbi.nlm.nih.gov/pmc/blobs/0100/11653671/b290859f69fa/ADVS-11-2406276-g002.jpg
https://cdn.ncbi.nlm.nih.gov/pmc/blobs/0100/11653671/d0a148e2b899/ADVS-11-2406276-g005.jpg
https://cdn.ncbi.nlm.nih.gov/pmc/blobs/0100/11653671/1d25cc0ab5ad/ADVS-11-2406276-g006.jpg
https://cdn.ncbi.nlm.nih.gov/pmc/blobs/0100/11653671/f00973585a93/ADVS-11-2406276-g008.jpg
https://cdn.ncbi.nlm.nih.gov/pmc/blobs/0100/11653671/b9c428010397/ADVS-11-2406276-g009.jpg
https://cdn.ncbi.nlm.nih.gov/pmc/blobs/0100/11653671/02734ed764ea/ADVS-11-2406276-g001.jpg
https://cdn.ncbi.nlm.nih.gov/pmc/blobs/0100/11653671/896bc1dea849/ADVS-11-2406276-g007.jpg
https://cdn.ncbi.nlm.nih.gov/pmc/blobs/0100/11653671/39521116edbb/ADVS-11-2406276-g003.jpg
https://cdn.ncbi.nlm.nih.gov/pmc/blobs/0100/11653671/b290859f69fa/ADVS-11-2406276-g002.jpg
https://cdn.ncbi.nlm.nih.gov/pmc/blobs/0100/11653671/d0a148e2b899/ADVS-11-2406276-g005.jpg
https://cdn.ncbi.nlm.nih.gov/pmc/blobs/0100/11653671/1d25cc0ab5ad/ADVS-11-2406276-g006.jpg
https://cdn.ncbi.nlm.nih.gov/pmc/blobs/0100/11653671/f00973585a93/ADVS-11-2406276-g008.jpg
https://cdn.ncbi.nlm.nih.gov/pmc/blobs/0100/11653671/b9c428010397/ADVS-11-2406276-g009.jpg
https://cdn.ncbi.nlm.nih.gov/pmc/blobs/0100/11653671/02734ed764ea/ADVS-11-2406276-g001.jpg
https://cdn.ncbi.nlm.nih.gov/pmc/blobs/0100/11653671/896bc1dea849/ADVS-11-2406276-g007.jpg
https://cdn.ncbi.nlm.nih.gov/pmc/blobs/0100/11653671/39521116edbb/ADVS-11-2406276-g003.jpg

相似文献

1
Transcriptomics-Based Liquid Biopsy for Early Detection of Recurrence in Locally Advanced Gastric Cancer.基于转录组学的液体活检用于局部进展期胃癌复发的早期检测
Adv Sci (Weinh). 2024 Dec;11(47):e2406276. doi: 10.1002/advs.202406276. Epub 2024 Nov 18.
2
Transcriptomics-based liquid biopsy panel for early non-invasive identification of peritoneal recurrence and micrometastasis in locally advanced gastric cancer.基于转录组学的液体活检panel 用于早期无创性识别局部进展期胃癌的腹膜复发和微转移。
J Exp Clin Cancer Res. 2024 Jun 28;43(1):181. doi: 10.1186/s13046-024-03098-5.
3
Preoperative liquid biopsy transcriptomic panel for risk assessment of lymph node metastasis in T1 gastric cancer.用于T1期胃癌淋巴结转移风险评估的术前液体活检转录组分析
J Exp Clin Cancer Res. 2025 Feb 7;44(1):43. doi: 10.1186/s13046-025-03305-x.
4
Transcriptomic Profiling Identifies a Risk Stratification Signature for Predicting Peritoneal Recurrence and Micrometastasis in Gastric Cancer.转录组谱分析鉴定出用于预测胃癌腹膜复发和微转移的风险分层特征。
Clin Cancer Res. 2021 Apr 15;27(8):2292-2300. doi: 10.1158/1078-0432.CCR-20-3835. Epub 2021 Feb 8.
5
Multi-dimensional cell-free DNA-based liquid biopsy for sensitive early detection of gastric cancer.基于多维游离细胞 DNA 的液体活检用于灵敏的胃癌早期检测。
Genome Med. 2024 Jun 7;16(1):79. doi: 10.1186/s13073-024-01352-1.
6
Diagnostic efficacy of circular RNAs as noninvasive, liquid biopsy biomarkers for early detection of gastric cancer.环状 RNA 作为非侵入性液体活检生物标志物用于早期胃癌检测的诊断效能。
Mol Cancer. 2022 Feb 9;21(1):42. doi: 10.1186/s12943-022-01527-7.
7
Pattern-Specific Transcriptomics Identifies as a Predictor of Hematogenous Recurrence of Gastric Cancer.基于模式的转录组学鉴定为胃癌血行复发的预测因子。
Mol Cancer Res. 2018 Sep;16(9):1420-1429. doi: 10.1158/1541-7786.MCR-17-0467. Epub 2018 May 21.
8
Transcriptional landscape and predictive potential of long noncoding RNAs in peritoneal recurrence of gastric cancer.长链非编码RNA在胃癌腹膜复发中的转录图谱及预测潜力
Mol Cancer. 2024 Dec 30;23(1):284. doi: 10.1186/s12943-024-02196-4.
9
Plasma cell-free DNA methylome-based liquid biopsy for accurate gastric cancer detection.基于无细胞血浆 DNA 甲基化组的液体活检用于准确检测胃癌。
Cancer Sci. 2024 Oct;115(10):3426-3438. doi: 10.1111/cas.16284. Epub 2024 Jul 22.
10
Discovery and validation of an expression signature for recurrence prediction in high-risk diffuse-type gastric cancer.高危弥漫型胃癌复发预测表达谱的发现和验证。
Gastric Cancer. 2021 May;24(3):655-665. doi: 10.1007/s10120-021-01155-y. Epub 2021 Feb 1.

引用本文的文献

1
Liquid biopsy - a narrative review with an update on current US governmental clinical trials targeting immunotherapy.液体活检——一篇叙述性综述及美国目前针对免疫疗法的政府临床试验的最新情况
Future Sci OA. 2025 Dec;11(1):2527598. doi: 10.1080/20565623.2025.2527598. Epub 2025 Aug 7.
2
A promising frontier of circulating messenger RNA in liquid biopsy: From mechanisms to clinical applications.液体活检中循环信使核糖核酸的一个前沿领域:从机制到临床应用
Int J Cancer. 2025 Oct 15;157(8):1519-1537. doi: 10.1002/ijc.35523. Epub 2025 Jun 19.
3
Peripheral blood metabolic composite score based on peripheral blood metabolism can be used as an assessment of recurrence after surgery in patients with locally advanced gastric cancer: a novel and promising index.

本文引用的文献

1
Exploration of lncRNA/circRNA-miRNA-mRNA network in patients with chronic atrophic gastritis in Tibetan plateau areas based on DNBSEQ-G99 RNA sequencing.基于DNBSEQ-G99 RNA测序技术对青藏高原地区慢性萎缩性胃炎患者lncRNA/circRNA-miRNA-mRNA网络的探索
Sci Rep. 2024 Apr 22;14(1):9212. doi: 10.1038/s41598-024-59836-4.
2
[Call for attention to the value and challenge of liquid biopsy in diagnosis and treatment for peritoneal metastasis of gastric cancer].[呼吁关注液体活检在胃癌腹膜转移诊断和治疗中的价值与挑战]
Zhonghua Yi Xue Za Zhi. 2024 Apr 23;104(16):1337-1340. doi: 10.3760/cma.j.cn112137-20230823-00292.
3
基于外周血代谢的外周血代谢综合评分可作为局部晚期胃癌患者术后复发的评估指标:一个新颖且有前景的指标。
Front Oncol. 2025 Apr 17;15:1536811. doi: 10.3389/fonc.2025.1536811. eCollection 2025.
4
Non-invasive liquid biopsy based on transcriptomic profiling for early diagnosis of occult peritoneal metastases in locally advanced gastric cancer.基于转录组分析的非侵入性液体活检用于局部晚期胃癌隐匿性腹膜转移的早期诊断
NPJ Precis Oncol. 2025 Apr 15;9(1):109. doi: 10.1038/s41698-025-00875-z.
5
Preoperative liquid biopsy transcriptomic panel for risk assessment of lymph node metastasis in T1 gastric cancer.用于T1期胃癌淋巴结转移风险评估的术前液体活检转录组分析
J Exp Clin Cancer Res. 2025 Feb 7;44(1):43. doi: 10.1186/s13046-025-03305-x.
Global cancer statistics 2022: GLOBOCAN estimates of incidence and mortality worldwide for 36 cancers in 185 countries.
2022 年全球癌症统计数据:全球 185 个国家和地区 36 种癌症的发病率和死亡率全球估计数。
CA Cancer J Clin. 2024 May-Jun;74(3):229-263. doi: 10.3322/caac.21834. Epub 2024 Apr 4.
4
Cancer statistics, 2024.2024年癌症统计数据。
CA Cancer J Clin. 2024 Jan-Feb;74(1):12-49. doi: 10.3322/caac.21820. Epub 2024 Jan 17.
5
The Chinese Society of Clinical Oncology (CSCO): Clinical guidelines for the diagnosis and treatment of gastric cancer, 2023.中国临床肿瘤学会(CSCO):胃癌诊断与治疗临床实践指南,2023 年版。
Cancer Commun (Lond). 2024 Jan;44(1):127-172. doi: 10.1002/cac2.12516. Epub 2023 Dec 31.
6
Cell-free multi-omics analysis reveals potential biomarkers in gastrointestinal cancer patients' blood.无细胞多组学分析揭示了胃肠道癌症患者血液中的潜在生物标志物。
Cell Rep Med. 2023 Nov 21;4(11):101281. doi: 10.1016/j.xcrm.2023.101281.
7
Systematic review of diagnostic tools for peritoneal metastasis in gastric cancer-staging laparoscopy and its alternatives.胃癌腹膜转移诊断工具的系统评价——分期腹腔镜检查及其替代方法
World J Gastrointest Surg. 2023 Oct 27;15(10):2280-2293. doi: 10.4240/wjgs.v15.i10.2280.
8
Neoadjuvant docetaxel, oxaliplatin plus capecitabine versus oxaliplatin plus capecitabine for patients with locally advanced gastric adenocarcinoma: long-term results of a phase III randomized controlled trial.新辅助多西紫杉醇、奥沙利铂加卡培他滨与奥沙利铂加卡培他滨治疗局部进展期胃腺癌患者:一项 III 期随机对照临床试验的长期结果。
Int J Surg. 2023 Dec 1;109(12):4000-4008. doi: 10.1097/JS9.0000000000000692.
9
Circular RNA circ-TNRC6B inhibits the proliferation and invasion of esophageal squamous cell carcinoma cells by regulating the miR-452-5p/DAG1 axis.环状 RNA circ-TNRC6B 通过调控 miR-452-5p/DAG1 轴抑制食管鳞癌细胞的增殖和侵袭。
Mol Oncol. 2023 Jul;17(7):1437-1452. doi: 10.1002/1878-0261.13432. Epub 2023 Apr 16.
10
Screening of Differentially Expressed Genes Based on the ACRG Molecular Subtypes of Gastric Cancer and the Significance and Mechanism of Gene Expression.基于胃癌ACRG分子亚型的差异表达基因筛选及基因表达的意义与机制
J Pers Med. 2023 Mar 20;13(3):560. doi: 10.3390/jpm13030560.