Laboratory of Cell Biology, International Institute of Molecular and Cell Biology, Warsaw, Poland.
Department of Genetics, Maria Sklodowska-Curie National Research Institute of Oncology, Warsaw, Poland.
Cell Mol Life Sci. 2024 Nov 19;81(1):458. doi: 10.1007/s00018-024-05490-y.
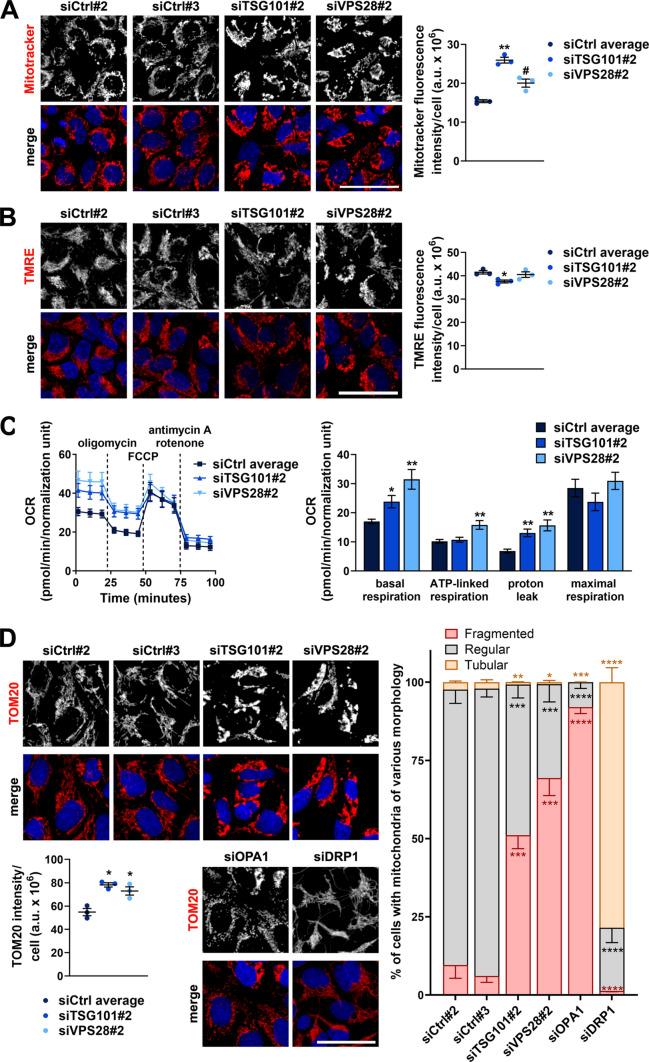
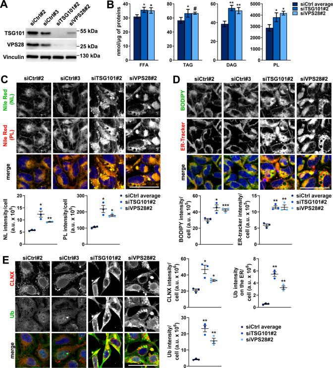
Endosomal Sorting Complexes Required for Transport (ESCRTs) are crucial for delivering membrane receptors or intracellular organelles for lysosomal degradation which provides the cell with lysosome-derived nutrients. Yet, how ESCRT dysfunction affects cell metabolism remained elusive. To address this, we analyzed transcriptomes of cells lacking TSG101 or VPS28 proteins, components of ESCRT-I subcomplex. ESCRT-I deficiency reduced the expression of genes encoding enzymes involved in oxidation of fatty acids and amino acids, such as branched-chain amino acids, and increased the expression of genes encoding glycolytic enzymes. The changes in metabolic gene expression were associated with Warburg effect-like metabolic reprogramming that included intracellular accumulation of lipids, increased glucose/glutamine consumption and lactate production. Moreover, depletion of ESCRT-I components led to expansion of the ER and accumulation of small mitochondria, most of which retained proper potential and performed ATP-linked respiration. Mechanistically, the observed transcriptional reprogramming towards glycolysis in the absence of ESCRT-I occurred due to activation of the canonical NFκB and JNK signaling pathways and at least in part by perturbed lysosomal degradation. We propose that by activating the stress signaling pathways ESCRT-I deficiency leads to preferential usage of extracellular nutrients, like glucose and glutamine, for energy production instead of lysosome-derived nutrients, such as fatty acids and branched-chain amino acids.
内体分选复合物运输所需(ESCRTs)对于将膜受体或细胞内细胞器递送至溶酶体降解至关重要,这为细胞提供了溶酶体衍生的营养物质。然而,ESCRT 功能障碍如何影响细胞代谢仍然难以捉摸。为了解决这个问题,我们分析了缺乏 TSG101 或 VPS28 蛋白(ESCRT-I 亚复合物的组成部分)的细胞的转录组。ESCRT-I 缺陷降低了编码参与脂肪酸和氨基酸氧化的酶的基因的表达,例如支链氨基酸,并增加了编码糖酵解酶的基因的表达。代谢基因表达的变化与类似于沃伯格效应的代谢重编程有关,包括脂质在细胞内的积累、葡萄糖/谷氨酰胺消耗和乳酸生成增加。此外,ESCRT-I 成分的耗竭导致 ER 扩张和小线粒体的积累,其中大多数保留了适当的潜力并进行 ATP 连接的呼吸。在机制上,在没有 ESCRT-I 的情况下观察到的向糖酵解的转录重编程是由于经典 NFκB 和 JNK 信号通路的激活以及至少部分由于溶酶体降解受到干扰而发生的。我们提出,通过激活应激信号通路,ESCRT-I 缺陷导致优先使用葡萄糖和谷氨酰胺等细胞外营养物质来产生能量,而不是使用溶酶体衍生的营养物质,如脂肪酸和支链氨基酸。