• 文献检索
  • 文档翻译
  • 深度研究
  • 学术资讯
  • Suppr Zotero 插件Zotero 插件
  • 邀请有礼
  • 套餐&价格
  • 历史记录
应用&插件
Suppr Zotero 插件Zotero 插件浏览器插件Mac 客户端Windows 客户端微信小程序
定价
高级版会员购买积分包购买API积分包
服务
文献检索文档翻译深度研究API 文档MCP 服务
关于我们
关于 Suppr公司介绍联系我们用户协议隐私条款
关注我们

Suppr 超能文献

核心技术专利:CN118964589B侵权必究
粤ICP备2023148730 号-1Suppr @ 2026

文献检索

告别复杂PubMed语法,用中文像聊天一样搜索,搜遍4000万医学文献。AI智能推荐,让科研检索更轻松。

立即免费搜索

文件翻译

保留排版,准确专业,支持PDF/Word/PPT等文件格式,支持 12+语言互译。

免费翻译文档

深度研究

AI帮你快速写综述,25分钟生成高质量综述,智能提取关键信息,辅助科研写作。

立即免费体验

IL-10 介导系统性红斑狼疮中的胸膜重塑。

IL-10 mediates pleural remodeling in systemic lupus erythematosus.

机构信息

Department of Respiratory and Critical Care Medicine, Union Hospital, Tongji Medical College, Huazhong University of Science and Technology, Wuhan, 430022, China.

Key Laboratory of Respiratory Diseases of National Health Commission of China, Wuhan, 430030, China.

出版信息

Cell Commun Signal. 2024 Nov 19;22(1):554. doi: 10.1186/s12964-024-01911-4.

DOI:10.1186/s12964-024-01911-4
PMID:39563376
原文链接:https://pmc.ncbi.nlm.nih.gov/articles/PMC11575414/
Abstract

BACKGROUND

Interleukin-10 (IL-10), a pivotal anti-inflammatory cytokine, has gotten attention for its involvement in tissue remodeling and organ fibrosis. Pleurisy and subsequent pleural remodeling are recognized as quantifiable indicators of systemic lupus erythematosus (SLE) activity. However, the role of IL-10 in SLE-associated pleural remodeling remains unknown. In this study, we investigated role of IL-10 in SLE-associated pleural remodeling and the underlying mechanism.

METHODS

Clinical data and serum specimens were obtained from SLE patients, while pleural mesothelial cells and mouse models served as primary experimental subjects. The protein expression-related technologies, histopathological staining, and other experimental methods were used in the study.

RESULTS

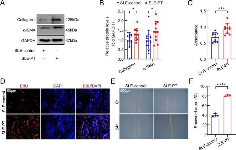
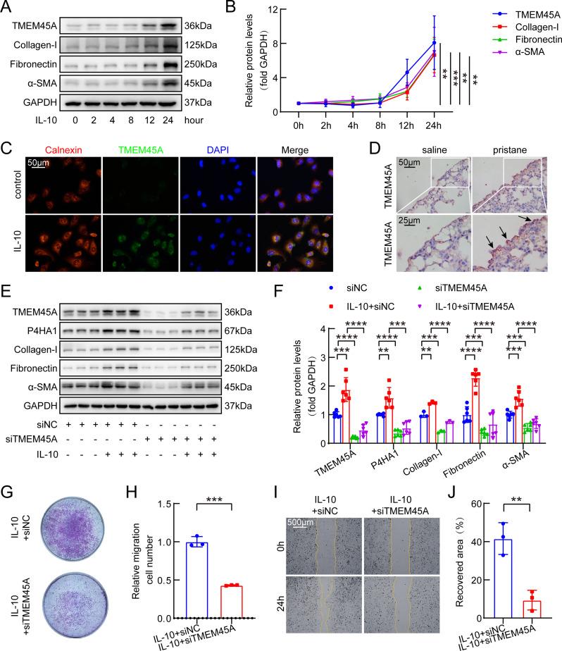
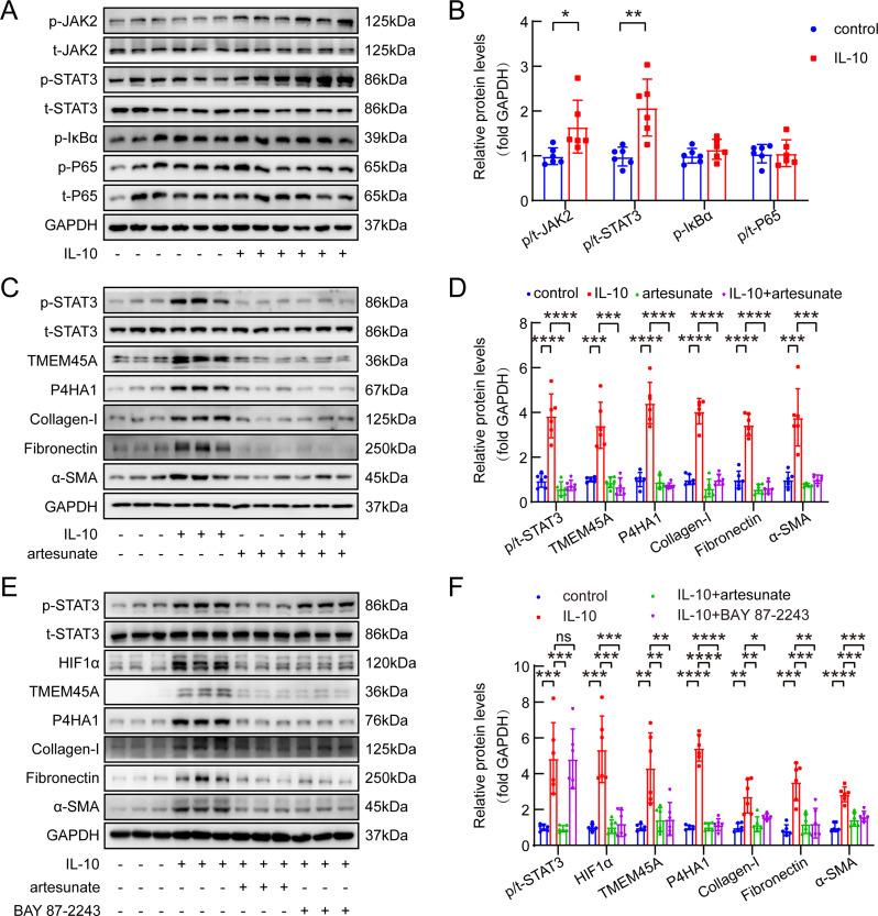
Our investigation got several key findings. Firstly, serum obtained from SLE patients with pleural thickening was found to induce pleural mesothelial cell remodeling. Subsequently, heightened levels of IL-10 were found in serum from SLE patients with pleural thickening compared to that of SLE patients without pleural thickening. Secondly, administration of recombinant IL-10 was confirmed its ability to induce pleural mesothelial cell remodeling, on the contrary, this remodeling was effectively mitigated by IL-10 inhibition. Notably, blockade of IL-10 significantly prevented collagen deposition and prevented thickening in pleura of SLE mouse models. Lastly, the IL-10/JAK2/STAT3/HIF1α/TMEM45A/P4HA1 signaling axis was elucidated to mediate pleural remodeling and thickening.

CONCLUSIONS

Our study uncovered that IL-10 mediated pleural remodeling in SLE. We suggested that serum IL-10 level exceeding 6.32 pg/mL was a potential reference threshold for predicting pleural thickening in SLE patients.

摘要

背景

白细胞介素-10(IL-10)是一种关键的抗炎细胞因子,因其参与组织重塑和器官纤维化而受到关注。胸膜炎和随后的胸膜重塑被认为是系统性红斑狼疮(SLE)活动的可量化指标。然而,IL-10 在 SLE 相关的胸膜重塑中的作用尚不清楚。在这项研究中,我们研究了 IL-10 在 SLE 相关的胸膜重塑中的作用及其潜在机制。

方法

从 SLE 患者中获取临床数据和血清标本,同时将胸膜间皮细胞和小鼠模型作为主要实验对象。使用蛋白质表达相关技术、组织病理学染色和其他实验方法进行研究。

结果

我们的研究有几个关键发现。首先,从胸膜增厚的 SLE 患者中获得的血清被发现可诱导胸膜间皮细胞重塑。随后,发现胸膜增厚的 SLE 患者血清中的 IL-10 水平高于无胸膜增厚的 SLE 患者。其次,给予重组 IL-10 可证实其诱导胸膜间皮细胞重塑的能力,相反,IL-10 抑制可有效减轻这种重塑。值得注意的是,阻断 IL-10 可显著防止胶原沉积并防止 SLE 小鼠模型胸膜增厚。最后,阐明了 IL-10/JAK2/STAT3/HIF1α/TMEM45A/P4HA1 信号轴介导胸膜重塑和增厚。

结论

我们的研究揭示了 IL-10 在 SLE 中介导的胸膜重塑。我们建议血清 IL-10 水平超过 6.32pg/mL 可能是预测 SLE 患者胸膜增厚的潜在参考阈值。

https://cdn.ncbi.nlm.nih.gov/pmc/blobs/6506/11575414/c0a11d270b96/12964_2024_1911_Fig9_HTML.jpg
https://cdn.ncbi.nlm.nih.gov/pmc/blobs/6506/11575414/60ad7c134140/12964_2024_1911_Fig1_HTML.jpg
https://cdn.ncbi.nlm.nih.gov/pmc/blobs/6506/11575414/f3293e224796/12964_2024_1911_Fig2_HTML.jpg
https://cdn.ncbi.nlm.nih.gov/pmc/blobs/6506/11575414/b41931f6be15/12964_2024_1911_Fig3_HTML.jpg
https://cdn.ncbi.nlm.nih.gov/pmc/blobs/6506/11575414/628fe54de533/12964_2024_1911_Fig4_HTML.jpg
https://cdn.ncbi.nlm.nih.gov/pmc/blobs/6506/11575414/abf2efc0e52d/12964_2024_1911_Fig5_HTML.jpg
https://cdn.ncbi.nlm.nih.gov/pmc/blobs/6506/11575414/2ccc7644e3b2/12964_2024_1911_Fig6_HTML.jpg
https://cdn.ncbi.nlm.nih.gov/pmc/blobs/6506/11575414/77a5137fdd30/12964_2024_1911_Fig7_HTML.jpg
https://cdn.ncbi.nlm.nih.gov/pmc/blobs/6506/11575414/32c3042ee5a3/12964_2024_1911_Fig8_HTML.jpg
https://cdn.ncbi.nlm.nih.gov/pmc/blobs/6506/11575414/c0a11d270b96/12964_2024_1911_Fig9_HTML.jpg
https://cdn.ncbi.nlm.nih.gov/pmc/blobs/6506/11575414/60ad7c134140/12964_2024_1911_Fig1_HTML.jpg
https://cdn.ncbi.nlm.nih.gov/pmc/blobs/6506/11575414/f3293e224796/12964_2024_1911_Fig2_HTML.jpg
https://cdn.ncbi.nlm.nih.gov/pmc/blobs/6506/11575414/b41931f6be15/12964_2024_1911_Fig3_HTML.jpg
https://cdn.ncbi.nlm.nih.gov/pmc/blobs/6506/11575414/628fe54de533/12964_2024_1911_Fig4_HTML.jpg
https://cdn.ncbi.nlm.nih.gov/pmc/blobs/6506/11575414/abf2efc0e52d/12964_2024_1911_Fig5_HTML.jpg
https://cdn.ncbi.nlm.nih.gov/pmc/blobs/6506/11575414/2ccc7644e3b2/12964_2024_1911_Fig6_HTML.jpg
https://cdn.ncbi.nlm.nih.gov/pmc/blobs/6506/11575414/77a5137fdd30/12964_2024_1911_Fig7_HTML.jpg
https://cdn.ncbi.nlm.nih.gov/pmc/blobs/6506/11575414/32c3042ee5a3/12964_2024_1911_Fig8_HTML.jpg
https://cdn.ncbi.nlm.nih.gov/pmc/blobs/6506/11575414/c0a11d270b96/12964_2024_1911_Fig9_HTML.jpg

相似文献

1
IL-10 mediates pleural remodeling in systemic lupus erythematosus.IL-10 介导系统性红斑狼疮中的胸膜重塑。
Cell Commun Signal. 2024 Nov 19;22(1):554. doi: 10.1186/s12964-024-01911-4.
2
JAK-STAT signaling mediates the senescence of bone marrow-mesenchymal stem cells from systemic lupus erythematosus patients.JAK-STAT 信号转导介导系统性红斑狼疮患者骨髓间充质干细胞衰老。
Acta Biochim Biophys Sin (Shanghai). 2017 Mar 1;49(3):208-215. doi: 10.1093/abbs/gmw134.
3
Upregulated expression of STAT3/IL-17 in patients with systemic lupus erythematosus.系统性红斑狼疮患者中 STAT3/IL-17 的表达上调。
Clin Rheumatol. 2019 May;38(5):1361-1366. doi: 10.1007/s10067-019-04467-8. Epub 2019 Feb 15.
4
USP18 induction regulates immunometabolism to attenuate M1 signal-polarized macrophages and enhance IL-4-polarized macrophages in systemic lupus erythematosus.USP18 诱导调节免疫代谢,以减轻系统性红斑狼疮中 M1 信号极化的巨噬细胞,并增强 IL-4 极化的巨噬细胞。
Clin Immunol. 2024 Aug;265:110285. doi: 10.1016/j.clim.2024.110285. Epub 2024 Jun 14.
5
MiR-410 Down-Regulates the Expression of Interleukin-10 by Targeting STAT3 in the Pathogenesis of Systemic Lupus Erythematosus.在系统性红斑狼疮发病机制中,miR-410通过靶向信号转导和转录激活因子3(STAT3)下调白细胞介素-10的表达。
Cell Physiol Biochem. 2016;39(1):303-15. doi: 10.1159/000445625. Epub 2016 Jun 29.
6
Stat3 promotes IL-10 expression in lupus T cells through trans-activation and chromatin remodeling.信号转导及转录激活因子3(Stat3)通过反式激活和染色质重塑促进狼疮T细胞中白细胞介素-10(IL-10)的表达。
Proc Natl Acad Sci U S A. 2014 Sep 16;111(37):13457-62. doi: 10.1073/pnas.1408023111. Epub 2014 Sep 3.
7
REDD1/autophagy pathway promotes thromboinflammation and fibrosis in human systemic lupus erythematosus (SLE) through NETs decorated with tissue factor (TF) and interleukin-17A (IL-17A).REDD1/自噬途径通过组织因子 (TF) 和白细胞介素-17A (IL-17A) 修饰的 NETs 促进人类系统性红斑狼疮 (SLE) 的血栓炎症和纤维化。
Ann Rheum Dis. 2019 Feb;78(2):238-248. doi: 10.1136/annrheumdis-2018-213181. Epub 2018 Dec 18.
8
Overexpression of microRNA-155 increases IL-21 mediated STAT3 signaling and IL-21 production in systemic lupus erythematosus.微小RNA-155的过表达增强了系统性红斑狼疮中白细胞介素-21介导的信号转导及转录激活因子3信号传导和白细胞介素-21的产生。
Arthritis Res Ther. 2015 Jun 9;17(1):154. doi: 10.1186/s13075-015-0660-z.
9
The abnormal apoptosis of T cell subsets and possible involvement of IL-10 in systemic lupus erythematosus.系统性红斑狼疮中T细胞亚群的异常凋亡及白细胞介素-10的可能参与
Cell Immunol. 2005 Jun;235(2):117-21. doi: 10.1016/j.cellimm.2005.08.031. Epub 2005 Oct 13.
10
Neutralization of interferon-alpha/beta-inducible genes and downstream effect in a phase I trial of an anti-interferon-alpha monoclonal antibody in systemic lupus erythematosus.在系统性红斑狼疮患者中进行的一项抗干扰素-α单克隆抗体I期试验中,干扰素-α/β诱导基因的中和作用及下游效应
Arthritis Rheum. 2009 Jun;60(6):1785-96. doi: 10.1002/art.24557.

引用本文的文献

1
The role of in macrophage M2 polarization and NF-κB pathway activation in colorectal cancer.[具体物质]在结直肠癌巨噬细胞M2极化和NF-κB途径激活中的作用。 (原文中“in”前面缺少具体物质)
Front Immunol. 2025 Apr 3;16:1549564. doi: 10.3389/fimmu.2025.1549564. eCollection 2025.

本文引用的文献

1
Developmental growth plate cartilage formation suppressed by artificial light at night via inhibiting BMAL1-driven collagen hydroxylation.夜间人工光照通过抑制 BMAL1 驱动的胶原羟化抑制发育性生长板软骨形成。
Cell Death Differ. 2023 Jun;30(6):1503-1516. doi: 10.1038/s41418-023-01152-x. Epub 2023 Apr 7.
2
P4HA2 induces hepatic ductular reaction and biliary fibrosis in chronic cholestatic liver diseases.P4HA2 诱导慢性胆汁淤积性肝病中的胆管反应和胆汁性纤维化。
Hepatology. 2023 Jul 1;78(1):10-25. doi: 10.1097/HEP.0000000000000317. Epub 2023 Feb 20.
3
IL-10/IL-10 receptor 1 pathway promotes the viability and collagen synthesis of pulmonary fibroblasts originated from interstitial pneumonia tissues.
白细胞介素-10/白细胞介素-10受体1通路促进间质性肺炎组织来源的肺成纤维细胞的活力和胶原蛋白合成。
Exp Ther Med. 2022 Jun 15;24(2):518. doi: 10.3892/etm.2022.11445. eCollection 2022 Aug.
4
IL10 trains macrophage profibrotic function after lung injury.IL10 可在肺损伤后训练巨噬细胞的成纤维功能。
Am J Physiol Lung Cell Mol Physiol. 2022 Mar 1;322(3):L495-L502. doi: 10.1152/ajplung.00458.2021. Epub 2022 Feb 2.
5
Structure-based decoupling of the pro- and anti-inflammatory functions of interleukin-10.基于结构的白细胞介素-10 促炎和抗炎功能的解耦。
Science. 2021 Mar 19;371(6535). doi: 10.1126/science.abc8433.
6
Functions and regulation of T cell-derived interleukin-10.T 细胞衍生的白细胞介素-10 的功能和调节。
Semin Immunol. 2019 Aug;44:101344. doi: 10.1016/j.smim.2019.101344. Epub 2019 Nov 12.
7
Biology and therapeutic potential of interleukin-10.白细胞介素-10 的生物学特性和治疗潜力
J Exp Med. 2020 Jan 6;217(1). doi: 10.1084/jem.20190418.
8
Molecular switches for regulating the differentiation of inflammatory and IL-10-producing anti-inflammatory T-helper cells.调控炎症性和产生 IL-10 的抗炎性辅助性 T 细胞分化的分子开关。
Cell Mol Life Sci. 2020 Jan;77(2):289-303. doi: 10.1007/s00018-019-03277-0. Epub 2019 Aug 20.
9
One year in review 2019: systemic lupus erythematosus.2019 年回顾:系统性红斑狼疮。
Clin Exp Rheumatol. 2019 Sep-Oct;37(5):715-722. Epub 2019 Jul 19.
10
2019 update of the EULAR recommendations for the management of systemic lupus erythematosus.2019 年更新版的 EULAR 系统性红斑狼疮治疗建议。
Ann Rheum Dis. 2019 Jun;78(6):736-745. doi: 10.1136/annrheumdis-2019-215089. Epub 2019 Mar 29.