Suppr超能文献

1例腹主动脉瘤(AAA)开放修复术后Drummond边缘动脉假性动脉瘤病例。

A case of pseudoaneurysm of the marginal artery of Drummond post-open abdominal aortic aneurysm (AAA) repair.

作者信息

Shahid Mehrqand, Alawattegama Lakna H, Latif Sherif A, Popplewell Matthew A, Garnham Andrew, Wall Michael L

机构信息

Black Country Vascular Network, Dudley Group of Hospitals NHS Foundation Trust, Pensnett Road, Dudley DY1 2HQ, United Kingdom.

Institute of Applied Research, University of Birmingham, Birmingham B15 2TT, Pensnett Road, Dudley DY1 2HQ, United Kingdom.

出版信息

J Surg Case Rep. 2024 Nov 19;2024(11):rjae706. doi: 10.1093/jscr/rjae706. eCollection 2024 Nov.

Abstract

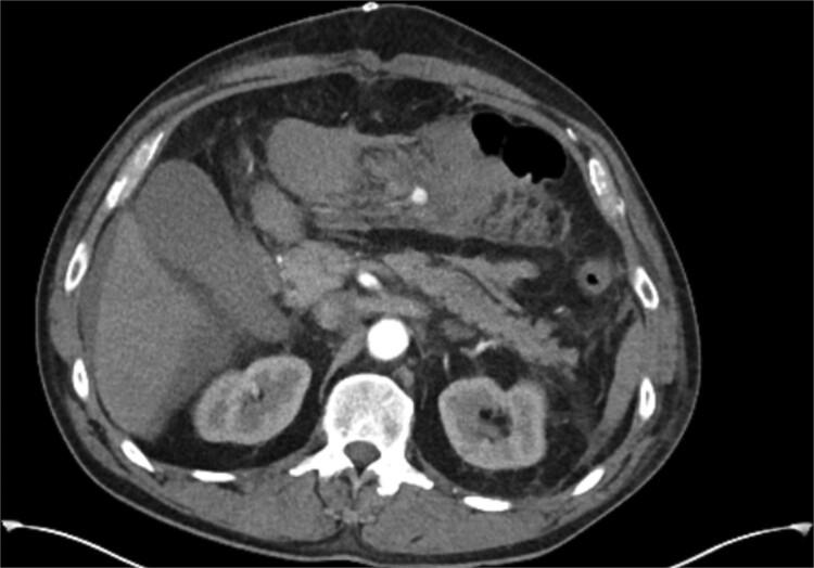
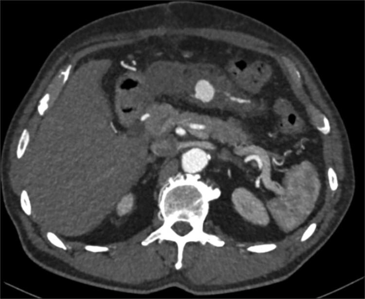
We present the first published account of a pseudoaneurysm of the Marginal artery of Drummond (MAoD) following an emergency open surgical repair of an inflammatory abdominal aortic aneurysm, in which the inferior mesenteric artery was ligated. This was hypothesized to be an iatrogenic injury secondary to retraction of the colonic mesentery during dissection of the aneurysm neck. The risk of pseudoaneurysm growth and rupture versus bowel ischaemia were evaluated in the post-operative phase. Ultimately, the patient underwent successful interventional embolization of the MAoD with no signs of bowel ischaemia post-intervention.

摘要

我们首次发表了关于在紧急开放性手术修复炎症性腹主动脉瘤并结扎肠系膜下动脉后,发生的德拉蒙德边缘动脉(MAoD)假性动脉瘤的病例报告。据推测,这是由于在动脉瘤颈部解剖过程中结肠系膜回缩导致的医源性损伤。在术后阶段评估了假性动脉瘤生长和破裂与肠缺血的风险。最终,患者成功接受了MAoD介入栓塞治疗,术后无肠缺血迹象。

https://cdn.ncbi.nlm.nih.gov/pmc/blobs/2041/11576123/43440c885091/rjae706f1.jpg

文献AI研究员

20分钟写一篇综述,助力文献阅读效率提升50倍。

立即体验

用中文搜PubMed

大模型驱动的PubMed中文搜索引擎

马上搜索

文档翻译

学术文献翻译模型,支持多种主流文档格式。

立即体验