Suppr超能文献

波兰欧洲野牛(Bison bonasus)的传染性角膜结膜炎:危险因素、流行病学和解剖病理学变化,并分析眼线虫在疾病发展中的潜在作用。

Infectious keratoconjunctivitis in European bison (Bison bonasus) in Poland: risk factors, epidemiology and anatomopathological changes with analysis of potential role of Thelazia nematodes in the disease development.

机构信息

Department of Food Hygiene and Public Health Protection, Institute of Veterinary Medicine, Warsaw University of Life Sciences-WULS, Nowoursynowska 159, 02-776, Warsaw, Poland.

Witold Stefański Institute of Parasitology, Polish Academy of Sciences, Twarda 51/55, 00-818, Warsaw, Poland.

出版信息

BMC Vet Res. 2024 Nov 21;20(1):524. doi: 10.1186/s12917-024-04375-3.

Abstract

BACKGROUND

Infectious keratoconjunctivitis (IKC) is a common ocular disease of ruminants worldwide. Recently, an outbreak of infectious keratoconjunctivitis was observed in the European bison in Poland. Hundreds of animals show conjunctival congestion, corneal opacity, and ulceration, leading to total blindness. The present study aimed to examine the ocular changes of European bison and patterns of the disease occurrence with special emphasis on the role of Thelazia nematodes in the development of IKC.

RESULTS

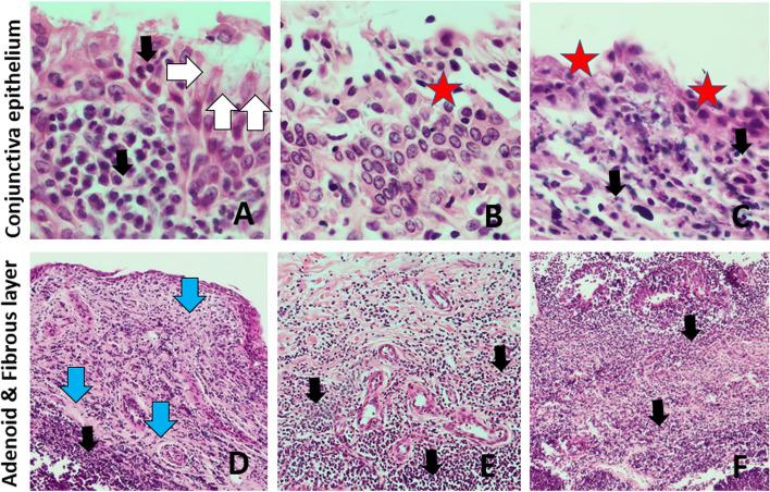
The eyes of 131 European bison, showing ocular signs and clinically healthy, were collected in Poland in 2021 - 2022 and subjected to parasitological and histopathological examination. Histopathology showed varying lesions, including corneal erosions or ulcers, diffuse purulent infiltrates to lymphocytic infiltration in the cornea, and lymphocytic or mixed conjunctivitis with CALT stimulation. The severity of ocular changes was higher in European bison from mountain areas and during the winter season. Two species of Thelazia nematodes - T. skrjabini and T. gulosa have been isolated from eyes. Prevalence of infection reached over 66.4%, and the infection intensity ranged from 1 to 16 nematodes per individual. Although nematodes of the genus Thelazia were prevalent in European bison, their occurrence did not correspond with the severity of ocular changes.

CONCLUSIONS

The results of our studies allowed to identify patterns related to the first outbreak of infectious keratoconjunctivitis in European bison. Living in mountain areas and winter season were the most predisposing factors for the development of ocular changes. Despite the high prevalence of Thelazia nematodes in the present study, their role in forming ocular lesions was not confirmed.

摘要

背景

传染性角膜结膜炎(IKC)是世界范围内反刍动物的一种常见眼部疾病。最近,波兰的欧洲野牛爆发了传染性角膜结膜炎。数百只动物出现结膜充血、角膜混浊和溃疡,导致完全失明。本研究旨在检查欧洲野牛的眼部变化,并特别强调 Thelazia 线虫在 IKC 发展中的作用,以研究疾病发生的模式。

结果

2021 年至 2022 年,在波兰收集了 131 只表现出眼部症状和临床健康的欧洲野牛的眼睛,并进行了寄生虫学和组织病理学检查。组织病理学显示出不同的病变,包括角膜糜烂或溃疡、角膜弥漫性脓性浸润至淋巴细胞浸润,以及淋巴细胞性或混合性结膜炎伴 CALT 刺激。来自山区和冬季的欧洲野牛的眼部变化更严重。从眼睛中分离出两种 Thelazia 线虫 - T. skrjabini 和 T. gulosa。感染率超过 66.4%,感染强度范围为每只个体 1 至 16 条线虫。尽管欧洲野牛中存在 Thelazia 线虫,但它们的存在与眼部变化的严重程度并不相符。

结论

我们的研究结果确定了与欧洲野牛首次爆发传染性角膜结膜炎有关的模式。生活在山区和冬季是眼部变化发展的最主要诱发因素。尽管本研究中 Thelazia 线虫的流行率很高,但它们在形成眼部病变中的作用尚未得到证实。

https://cdn.ncbi.nlm.nih.gov/pmc/blobs/4ec4/11580673/2ea161a6c17e/12917_2024_4375_Fig1_HTML.jpg

文献检索

告别复杂PubMed语法,用中文像聊天一样搜索,搜遍4000万医学文献。AI智能推荐,让科研检索更轻松。

立即免费搜索

文件翻译

保留排版,准确专业,支持PDF/Word/PPT等文件格式,支持 12+语言互译。

免费翻译文档

深度研究

AI帮你快速写综述,25分钟生成高质量综述,智能提取关键信息,辅助科研写作。

立即免费体验