• 文献检索
  • 文档翻译
  • 深度研究
  • 学术资讯
  • Suppr Zotero 插件Zotero 插件
  • 邀请有礼
  • 套餐&价格
  • 历史记录
应用&插件
Suppr Zotero 插件Zotero 插件浏览器插件Mac 客户端Windows 客户端微信小程序
定价
高级版会员购买积分包购买API积分包
服务
文献检索文档翻译深度研究API 文档MCP 服务
关于我们
关于 Suppr公司介绍联系我们用户协议隐私条款
关注我们

Suppr 超能文献

核心技术专利:CN118964589B侵权必究
粤ICP备2023148730 号-1Suppr @ 2026

文献检索

告别复杂PubMed语法,用中文像聊天一样搜索,搜遍4000万医学文献。AI智能推荐,让科研检索更轻松。

立即免费搜索

文件翻译

保留排版,准确专业,支持PDF/Word/PPT等文件格式,支持 12+语言互译。

免费翻译文档

深度研究

AI帮你快速写综述,25分钟生成高质量综述,智能提取关键信息,辅助科研写作。

立即免费体验

胸腔脾组织植入:精准医学可预防胸外科手术。

Thoracic splenosis: Precision medicine can prevent thoracic surgery.

作者信息

Harb Nathan, Fattore Julia, Saththianathan Mayuran, Parsons Stephen

机构信息

Department of Thoracic Medicine St. Vincent's Hospital Sydney New South Wales Australia.

School of Clinical Medicine St Vincent's Healthcare Clinical Campus, Faculty of Medicine and Health, UNSW Sydney Sydney New South Wales Australia.

出版信息

Respirol Case Rep. 2024 Nov 21;12(11):e70067. doi: 10.1002/rcr2.70067. eCollection 2024 Nov.

DOI:10.1002/rcr2.70067
PMID:39574783
原文链接:https://pmc.ncbi.nlm.nih.gov/articles/PMC11581776/
Abstract

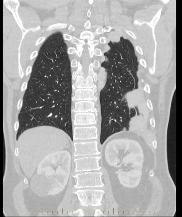
Thoracic splenosis is a rare condition referring to the auto-transplantation of splenic tissue into the thoracic cavity following splenic trauma. We present a case of thoracic splenosis in a 62-year-old man who at the age of 17 suffered three gunshot wounds to the posterior thorax and abdomen, requiring a splenectomy and intercostal catheter insertion. In 2007, he underwent a thoracotomy and biopsy of a left sided pulmonary mass which was complicated by a haemothorax requiring an emergent return to theatre and rib resection to achieve haemostasis. The biopsy revealed granulation tissue. In 2023, Technetium-99m (Tc-99m) heat-damaged erythrocyte scintigraphy confirmed the diagnosis of thoracic splenosis. This case highlights the importance of recognizing this uncommon condition to prevent unnecessary investigation, as well as the use of Tc-99m heat-damaged erythrocyte scintigraphy to confirm the diagnosis.

摘要

胸腔脾组织自体移植是一种罕见的病症,指的是脾脏组织在脾脏创伤后自体移植到胸腔。我们报告一例62岁男性胸腔脾组织自体移植病例,该患者17岁时后胸部和腹部遭受三处枪伤,需要进行脾切除术和肋间导管插入术。2007年,他接受了开胸手术及左侧肺部肿块活检,术后并发血胸,需要紧急返回手术室并进行肋骨切除以止血。活检显示为肉芽组织。2023年,锝-99m(Tc-99m)热损伤红细胞闪烁扫描术确诊为胸腔脾组织自体移植。该病例凸显了认识这种罕见病症以避免不必要检查的重要性,以及利用Tc-99m热损伤红细胞闪烁扫描术来确诊的重要性。

https://cdn.ncbi.nlm.nih.gov/pmc/blobs/538d/11581776/cd094ed293fc/RCR2-12-e70067-g003.jpg
https://cdn.ncbi.nlm.nih.gov/pmc/blobs/538d/11581776/22037e96f881/RCR2-12-e70067-g001.jpg
https://cdn.ncbi.nlm.nih.gov/pmc/blobs/538d/11581776/cd094ed293fc/RCR2-12-e70067-g003.jpg
https://cdn.ncbi.nlm.nih.gov/pmc/blobs/538d/11581776/22037e96f881/RCR2-12-e70067-g001.jpg
https://cdn.ncbi.nlm.nih.gov/pmc/blobs/538d/11581776/cd094ed293fc/RCR2-12-e70067-g003.jpg

相似文献

1
Thoracic splenosis: Precision medicine can prevent thoracic surgery.胸腔脾组织植入:精准医学可预防胸外科手术。
Respirol Case Rep. 2024 Nov 21;12(11):e70067. doi: 10.1002/rcr2.70067. eCollection 2024 Nov.
2
Parenchymal thoracic splenosis: history and nuclear imaging without invasive procedures may provide diagnosis.实质性胸腔脾组织植入:病史及无需侵入性操作的核成像检查可能有助于诊断。
J Clin Med Res. 2010 Aug 18;2(4):180-4. doi: 10.4021/jocmr401w.
3
Thoracic splenosis: Case report of a symptomatic case.胸腔内脾组织植入:一例有症状病例的报告。
Chin J Traumatol. 2020 Jun;23(3):185-186. doi: 10.1016/j.cjtee.2020.05.003. Epub 2020 May 22.
4
Thoracic splenosis twenty-nine years after traumatic splenectomy mimicking intrathoracic neoplasm.外伤性脾切除术后29年的胸腔内脾种植,酷似胸腔内肿瘤。
Eur Surg Res. 2005 Jan-Feb;37(1):76-8. doi: 10.1159/000083151.
5
Non-invasive evaluation of a liver mass in a patient post splenectomy.脾切除术后患者肝脏肿块的无创评估。
Scott Med J. 2019 Feb;64(1):35-39. doi: 10.1177/0036933018801449. Epub 2018 Oct 31.
6
Intrahepatic Splenosis: A Rare Case.肝内脾组织植入:罕见病例。
Curr Med Imaging. 2023;19(6):640-643. doi: 10.2174/1573405619666221212153639.
7
Radionuclide imaging in thoracic splenosis and a review of the literature.胸部副脾的放射性核素成像及文献综述。
Clin Nucl Med. 2003 Feb;28(2):121-3. doi: 10.1097/01.RLU.0000048681.29894.BA.
8
Thoracic splenosis: A diagnosis by history and imaging.胸腔内脾组织异位:通过病史和影像学进行诊断。
Respirology. 2008 May;13(3):481-3. doi: 10.1111/j.1440-1843.2008.01272.x.
9
Post-traumatic intrathoracic splenosis and role of Tc-99m Sulfur colloid scintigraphy in confirmation.创伤后胸腔内脾组织植入及锝-99m硫化胶体闪烁扫描术在确诊中的作用
Radiol Case Rep. 2021 Jul 22;16(9):2742-2745. doi: 10.1016/j.radcr.2021.06.069. eCollection 2021 Sep.
10
Thoracic splenosis.胸腔内脾组织异位
Ann Thorac Surg. 1998 Aug;66(2):552-3. doi: 10.1016/s0003-4975(98)00506-2.

本文引用的文献

1
Abdominal splenosis and its differential diagnoses: What the radiologist needs to know.腹部脾组织异位症及其鉴别诊断:放射科医师须知。
Curr Probl Diagn Radiol. 2021 Mar-Apr;50(2):229-235. doi: 10.1067/j.cpradiol.2020.04.012. Epub 2020 May 19.
2
Thoracic splenosis: History is the key.胸腔内脾组织植入:病史是关键。
Respir Med Case Rep. 2017 Sep 18;22:251-253. doi: 10.1016/j.rmcr.2017.09.006. eCollection 2017.
3
A Growth Opportunity: Thoracic Splenosis.一个增长机会:胸腔脾组织植入
Am J Med. 2017 Apr;130(4):420-422. doi: 10.1016/j.amjmed.2016.11.010. Epub 2016 Nov 29.
4
Thoracic splenosis: know it--avoid unnecessary investigations, interventions, and thoracotomy.胸腔内脾组织植入:了解它——避免不必要的检查、干预及开胸手术。
Gen Thorac Cardiovasc Surg. 2011 Apr;59(4):245-53. doi: 10.1007/s11748-010-0706-8. Epub 2011 Apr 12.